JavaScript is disabled in your browser. Please enable JavaScript to view this website.
AB108342

Anti-beta Tubulin antibody [EPR1330] - Loading Control

  • RabMAb
  • Recombinant
  • KO Validated
  • Lab Essentials
  • 20ul selling size
  • What is this?

4

(5 Reviews)

|

(36 Publications)

Rabbit Recombinant Monoclonal Beta-5-tubulin antibody. Microtubule marker. Suitable for IHC-P, WB, ICC/IF, Flow Cyt (Intra) and reacts with Mouse, Rat, Human samples. Cited in 36 publications.

View Alternative Names

TUBB5, OK/SW-cl.56, TUBB, Tubulin beta chain, Tubulin beta-5 chain

16 Images
Immunocytochemistry/ Immunofluorescence - Anti-beta Tubulin antibody [EPR1330] - Loading Control (AB108342)
  • ICC/IF

Unknown

Immunocytochemistry/ Immunofluorescence - Anti-beta Tubulin antibody [EPR1330] - Loading Control (AB108342)

Immunofluorescent staining of HeLa cells using ab108342 at 1/100 dilution.

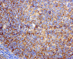
Immunohistochemistry (Formalin/PFA-fixed paraffin-embedded sections) - Anti-beta Tubulin antibody [EPR1330] - Loading Control (AB108342)
  • IHC-P

Unknown

Immunohistochemistry (Formalin/PFA-fixed paraffin-embedded sections) - Anti-beta Tubulin antibody [EPR1330] - Loading Control (AB108342)

ab108342 showing positive staining in human Breast carcinoma tissue.

Perform heat mediated antigen retrieval with citrate buffer pH 6 before commencing with IHC staining protocol.

Flow Cytometry (Intracellular) - Anti-beta Tubulin antibody [EPR1330] - Loading Control (AB108342)
  • Flow Cyt (Intra)

Lab

Flow Cytometry (Intracellular) - Anti-beta Tubulin antibody [EPR1330] - Loading Control (AB108342)

Overlay histogram showing 4% paraformaldehyde fixed Hela (human cervix adenocarcinoma) cells labelling beta Tubulin with purified ab108342 at dilution of 1/20. The secondary antibody used was Alexa Fluor® 488 goat-anti-rabbit IgG at dilution of 1/2000. A non-specific IgG antibody (rabbit monoclonal) was used as isotype control (black line). The blue line shows cells without incubation with primary antibody and secondary antibody.

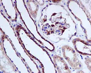
Immunohistochemistry (Formalin/PFA-fixed paraffin-embedded sections) - Anti-beta Tubulin antibody [EPR1330] - Loading Control (AB108342)
  • IHC-P

Unknown

Immunohistochemistry (Formalin/PFA-fixed paraffin-embedded sections) - Anti-beta Tubulin antibody [EPR1330] - Loading Control (AB108342)

Immunohistochemical analysis of paraffin-embedded human kidney tissue sections labelling beta Tubulin with purified ab108342 at dilution of 1/50. The secondary antibody used was ab97051; a goat anti-rabbit IgG H&L (HRP) at dilution of 1/500. Sample was counterstained with hematoxylin. Antigen retrieval was performed using EDTA Buffer; pH 9.0. PBS was used instead of the primary antibody as the negative control and is shown in the inset.

Immunohistochemistry (Formalin/PFA-fixed paraffin-embedded sections) - Anti-beta Tubulin antibody [EPR1330] - Loading Control (AB108342)
  • IHC-P

Unknown

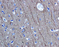
Immunohistochemistry (Formalin/PFA-fixed paraffin-embedded sections) - Anti-beta Tubulin antibody [EPR1330] - Loading Control (AB108342)

ab108342 at 1/250 dilution staining beta Tubulin in Human brain tissue by Immunohistochemistry Formalin-fixed, Paraffin-embedded tissue.

Perform heat mediated antigen retrieval with citrate buffer pH 6 before commencing with IHC staining protocol.

Immunohistochemistry (Formalin/PFA-fixed paraffin-embedded sections) - Anti-beta Tubulin antibody [EPR1330] - Loading Control (AB108342)
  • IHC-P

Unknown

Immunohistochemistry (Formalin/PFA-fixed paraffin-embedded sections) - Anti-beta Tubulin antibody [EPR1330] - Loading Control (AB108342)

ab108342 showing positive staining in Normal human kidney tissue.

Perform heat mediated antigen retrieval with citrate buffer pH 6 before commencing with IHC staining protocol.

Flow Cytometry (Intracellular) - Anti-beta Tubulin antibody [EPR1330] - Loading Control (AB108342)
  • Flow Cyt (Intra)

Unknown

Flow Cytometry (Intracellular) - Anti-beta Tubulin antibody [EPR1330] - Loading Control (AB108342)

Overlay histogram showing HeLa cells stained with ab108342 (red line). The cells were fixed with 4% paraformaldehyde (10 min) and then permeabilized with 0.1% PBS-Triton X-100 for 20 min. The cells were then incubated in 1x PBS / 10% normal goat serum / 0.3M glycine to block non-specific protein-protein interactions followed by the antibody (ab108342 1/1000 dilution) for 30 min at 22°C. The secondary antibody used was Alexa Fluor® 488 goat anti-rabbit IgG (H&L) (ab150077) at 1/2000 dilution for 30 min at 22°C. Isotype control antibody (black line) was rabbit IgG (monoclonal) (0.1μg/1x106 cells) used under the same conditions. Unlabelled sample (blue line) was also used as a control. Acquisition of >5000 events were collected using a 20mW Argon ion laser (488nm) and 525/30 bandpass filter. This antibody gave a positive signal in HeLa fixed with 80% methanol (5 min)/permeabilized with 0.1% PBS-Triton X-100 for 20 min used under the same conditions.

Immunocytochemistry/ Immunofluorescence - Anti-beta Tubulin antibody [EPR1330] - Loading Control (AB108342)
  • ICC/IF

Lab

Immunocytochemistry/ Immunofluorescence - Anti-beta Tubulin antibody [EPR1330] - Loading Control (AB108342)

Immunocytochemistry/Immunofluorescence staining of HeLa cells labelling beta Tubulin with purified ab108342 at a working dilution of 1/500. The secondary antibody was Alexa Fluor® 488 goat anti-rabbit (ab150077), used at a dilution of 1/1000. ab7291, a mouse anti-tubulin antibody (1/1000), was used to stain tubulin along with ab150120 (Alexa Fluor® 594 goat anti-mouse, 1/1000), shown in the top right hand panel. DAPI was used as nuclear counterstain (bottom left hand panel). The cells were fixed in 4% Paraformaldehyde and permeabilized using 0.1% Triton X-100. The negative controls are shown in bottom middle and right hand panels - for negative control 1, rabbit primary antibody was used followed by an Alexa Fluor® 594 goat anti-mouse antibody (ab150120). For negative control 2, ab7291 (mouse anti-tubulin) was used followed by an Alexa Fluor® 488 goat anti-rabbit secondary (ab150077).

Immunohistochemistry (Formalin/PFA-fixed paraffin-embedded sections) - Anti-beta Tubulin antibody [EPR1330] - Loading Control (AB108342)
  • IHC-P

Unknown

Immunohistochemistry (Formalin/PFA-fixed paraffin-embedded sections) - Anti-beta Tubulin antibody [EPR1330] - Loading Control (AB108342)

ab108342 at 1/250 dilution staining beta Tubulin in Human tonsil tissue by Immunohistochemistry Formalin-fixed, Paraffin-embedded tissue.

Perform heat mediated antigen retrieval with citrate buffer pH 6 before commencing with IHC staining protocol.

Immunohistochemistry (Formalin/PFA-fixed paraffin-embedded sections) - Anti-beta Tubulin antibody [EPR1330] - Loading Control (AB108342)
  • IHC-P

Unknown

Immunohistochemistry (Formalin/PFA-fixed paraffin-embedded sections) - Anti-beta Tubulin antibody [EPR1330] - Loading Control (AB108342)

Immunohistochemical analysis of paraffin-embedded mouse cerebral cortex tissue sections labelling beta Tubulin with purified ab108342 at dilution of 1/50. The secondary antibody used was ab97051; a goat anti-rabbit IgG H&L (HRP) at dilution of 1/500. Sample was counterstained with hematoxylin. Antigen retrieval was performed using EDTA Buffer; pH 9.0. PBS was used instead of the primary antibody as the negative control and is shown in the inset.

Immunohistochemistry (Formalin/PFA-fixed paraffin-embedded sections) - Anti-beta Tubulin antibody [EPR1330] - Loading Control (AB108342)
  • IHC-P

Unknown

Immunohistochemistry (Formalin/PFA-fixed paraffin-embedded sections) - Anti-beta Tubulin antibody [EPR1330] - Loading Control (AB108342)

Immunohistochemical analysis of paraffin-embedded rat cerebral cortex tissue sections labelling beta Tubulin with purified ab108342 at dilution of 1/50. The secondary antibody used was ab97051; a goat anti-rabbit IgG H&L (HRP) at dilution of 1/500. Sample was counterstained with hematoxylin. Antigen retrieval was performed using EDTA Buffer; pH 9.0. PBS was used instead of the primary antibody as the negative control and is shown in the inset.

Western blot - Anti-beta Tubulin antibody [EPR1330] - Loading Control (AB108342)
  • WB

Unknown

Western blot - Anti-beta Tubulin antibody [EPR1330] - Loading Control (AB108342)

All lanes:

Western blot - Anti-beta Tubulin antibody [EPR1330] - Loading Control (ab108342) at 1/1000 dilution

Lane 1:

MCF-7 cell lysates

Lane 2:

Jurkat cell lysates

Lane 3:

Ramos cell lysates

Lane 4:

HeLa cell lysates

Secondary

All lanes:

HRP labelled goat anti-rabbit at 1/2000 dilution

Predicted band size: 49 kDa

false

Immunocytochemistry/ Immunofluorescence - Anti-beta Tubulin antibody [EPR1330] - Loading Control (AB108342)
  • ICC/IF

AbReview40712****

Immunocytochemistry/ Immunofluorescence - Anti-beta Tubulin antibody [EPR1330] - Loading Control (AB108342)

ab108342 staining beta Tubulin in human HeLa cells by ICC/IF (Immunocytochemistry/immunofluorescence). Cells were fixed with paraformaldehyde and permeabilized with 0.5% Triton X-100 in PBS. Samples were incubated with primary antibody (1/200 in PBS) for 1 hour at 22°C. An Alexa Fluor® 488-conjugated goat anti-rabbit IgG polyclonal (1/200) was used as the secondary antibody. Counterstained with DAPI.

This image is courtesy of an Abreview submitted by Kirk McManus

Western blot - Anti-beta Tubulin antibody [EPR1330] - Loading Control (AB108342)
  • WB

Unknown

Western blot - Anti-beta Tubulin antibody [EPR1330] - Loading Control (AB108342)

Blocking/Diluting buffer 5% NFDM /TBST

All lanes:

Western blot - Anti-beta Tubulin antibody [EPR1330] - Loading Control (ab108342) at 1/1000 dilution

Lane 1:

Neuro-2a (mouse neuroblastoma) whole cell lysate at 20 µg

Lane 2:

C6 (rat glioma) whole cell lysate at 20 µg

Secondary

All lanes:

Anti-Rabbit IgG (HRP), specific to the non-reduced form of IgG at 1/2000 dilution

Predicted band size: 49 kDa

Observed band size: 50 kDa

false

Western blot - Anti-beta Tubulin antibody [EPR1330] - Loading Control (AB108342)
  • WB

Unknown

Western blot - Anti-beta Tubulin antibody [EPR1330] - Loading Control (AB108342)

Blocking/Diluting buffer 5% NFDM /TBST

All lanes:

Western blot - Anti-beta Tubulin antibody [EPR1330] - Loading Control (ab108342) at 1/5000 dilution

Lane 1:

Hela (human cervix adenocarcinoma) whole cell lysate at 20 µg

Lane 2:

Human fetal brain tissue lysate at 20 µg

Secondary

All lanes:

Anti-Rabbit IgG (HRP), specific to the non-reduced form of IgG at 1/2000 dilution

Predicted band size: 49 kDa

Observed band size: 50 kDa

false

Western blot - Anti-beta Tubulin antibody [EPR1330] - Loading Control (AB108342)
  • WB

CiteAb

Western blot - Anti-beta Tubulin antibody [EPR1330] - Loading Control (AB108342)

beta Tubulin western blot using anti-beta Tubulin antibody [EPR1330] - Microtubule Marker ab108342. Publication image and figure legend from Hur, J. H., Park, S. Y., et al., 2016, Sci Rep, PubMed 27976696.

ab108342 was used in this publication in western blot. This may not be the same as the application(s) guaranteed by Abcam. For a full list of applications guaranteed by Abcam for ab108342 please see the product overview.

Pld1 expression is decreased in HFD-induced hepatic steatosis.(a) C57BL/6 mice were fed either RC or a HFD for 4 weeks (n = 10 per group) starting at the age of 13 weeks and fasted overnight prior to collection of the liver. mRNA was isolated from the liver for qRT-PCR. (b) Mice were maintained as in (a) and the lysates were analyzed by western blot. Western blot results were analyzed by densitometry to obtain the relative ratio of either PLD1 or PLD2 to tubulin. The data are presented as means ± SE or representative blots from 3 to 5 independent experiments. *p < 0.05 versus the RC group. Abbreviations : HFD, high-fat diet; PLD2, phospholipase D2; RC, regular chow; SE, standard error; qRT-PCR quantitative real-time polymerase chain reaction.

false

Key facts

Host species

Rabbit

Clonality

Monoclonal

Clone number

EPR1330

Isotype

IgG

Carrier free

No

Reacts with

Mouse, Rat, Human

Applications

IHC-P, WB, ICC/IF, Flow Cyt (Intra)

applications

Immunogen

The exact immunogen used to generate this antibody is proprietary information.

Reactivity data

{ "title": "Reactivity Data", "filters": { "stats": ["", "Species", "Dilution Info", "Notes"], "tabs": { "all-applications": {"fullname" : "All Applications", "shortname": "All Applications"}, "IHCP" : {"fullname" : "Immunohistochemistry (Formalin/PFA-fixed paraffin-embedded sections)", "shortname":"IHC-P"}, "WB" : {"fullname" : "Western blot", "shortname":"WB"}, "ICCIF" : {"fullname" : "Immunocytochemistry/ Immunofluorescence", "shortname":"ICC/IF"}, "FlowCytIntra" : {"fullname" : "Flow Cytometry (Intracellular)", "shortname":"Flow Cyt (Intra)"} }, "product-promise": { "all": "all", "testedAndGuaranteed": "tested", "guaranteed": "expected", "predicted": "predicted", "notRecommended": "not-recommended" } }, "values": { "Human": { "IHCP-species-checked": "testedAndGuaranteed", "IHCP-species-dilution-info": "1/50", "IHCP-species-notes": "<p><strong>For unpurified use at 1/250 - 1/500.</strong></p>", "WB-species-checked": "testedAndGuaranteed", "WB-species-dilution-info": "1/1000 - 1/10000", "WB-species-notes": "<p></p>", "ICCIF-species-checked": "testedAndGuaranteed", "ICCIF-species-dilution-info": "1/500", "ICCIF-species-notes": "<p><strong>For unpurified use at 1/100 - 1/250.</strong></p>", "FlowCytIntra-species-checked": "testedAndGuaranteed", "FlowCytIntra-species-dilution-info": "1/20", "FlowCytIntra-species-notes": "<p><a href='/en-us/products/primary-antibodies/rabbit-igg-monoclonal-epr25a-isotype-control-ab172730'>ab172730</a> - Rabbit monoclonal IgG, is suitable for use as an isotype control with this antibody. For unpurified use at 1/100 - 1/1000.</p>" }, "Mouse": { "IHCP-species-checked": "testedAndGuaranteed", "IHCP-species-dilution-info": "1/50", "IHCP-species-notes": "<p><strong>For unpurified use at 1/250 - 1/500.</strong></p>", "WB-species-checked": "testedAndGuaranteed", "WB-species-dilution-info": "1/1000 - 1/10000", "WB-species-notes": "<p></p>", "ICCIF-species-checked": "guaranteed", "ICCIF-species-dilution-info": "", "ICCIF-species-notes": "", "FlowCytIntra-species-checked": "guaranteed", "FlowCytIntra-species-dilution-info": "", "FlowCytIntra-species-notes": "" }, "Rat": { "IHCP-species-checked": "testedAndGuaranteed", "IHCP-species-dilution-info": "1/50", "IHCP-species-notes": "<p><strong>For unpurified use at 1/250 - 1/500.</strong></p>", "WB-species-checked": "guaranteed", "WB-species-dilution-info": "", "WB-species-notes": "", "ICCIF-species-checked": "guaranteed", "ICCIF-species-dilution-info": "", "ICCIF-species-notes": "", "FlowCytIntra-species-checked": "guaranteed", "FlowCytIntra-species-dilution-info": "", "FlowCytIntra-species-notes": "" }, "African green monkey": { "IHCP-species-checked": "predicted", "IHCP-species-dilution-info": "", "IHCP-species-notes": "", "WB-species-checked": "predicted", "WB-species-dilution-info": "", "WB-species-notes": "", "ICCIF-species-checked": "predicted", "ICCIF-species-dilution-info": "", "ICCIF-species-notes": "", "FlowCytIntra-species-checked": "predicted", "FlowCytIntra-species-dilution-info": "", "FlowCytIntra-species-notes": "" } } }

Product details

Patented technology
Our RabMAb® technology is a patented hybridoma-based technology for making rabbit monoclonal antibodies. For details on our patents, please refer to RabMAb® patents.

What are the advantages of a recombinant monoclonal antibody?
This product is a recombinant monoclonal antibody, which offers several advantages including:

  • - High batch-to-batch consistency and reproducibility
  • - Improved sensitivity and specificity
  • - Long-term security of supply
  • - Animal-free batch production

For more information, read more on recombinant antibodies.

Properties and storage information

Form
Liquid
Purification technique
Affinity purification Protein A
Storage buffer
pH: 7.2 - 7.4 Preservative: 0.01% Sodium azide Constituents: PBS, 40% Glycerol (glycerin, glycerine), 0.05% BSA
Shipped at conditions
Blue Ice
Appropriate short-term storage duration
1-2 weeks
Appropriate short-term storage conditions
+4°C
Appropriate long-term storage conditions
-20°C
Aliquoting information
Upon delivery aliquot
Storage information
Avoid freeze / thaw cycle

Supplementary information

This supplementary information is collated from multiple sources and compiled automatically.

Beta tubulin also known as beta-tubulin or β-tubulin is a globular protein with a molecular weight of approximately 50 kDa. It is a major component of microtubules which are cylindrical structures vital for maintaining cell shape and enabling intracellular transport. This protein is expressed widely in eukaryotic cells and plays a role in mitosis and meiosis by forming the spindle apparatus important for chromosome separation during cell division. The size of beta tubulin allows it to effectively polymerize with alpha tubulin forming heterodimers which are the building blocks of the microtubule network.
Biological function summary

This protein contributes significantly to the dynamic instability of microtubules allowing rapid assembly and disassembly which is essential for cellular processes like motility signaling and maintaining the cell’s architecture. Beta tubulin operates as part of the tubulin family which includes several related proteins within microtubule structures. The beta-tubulin molecules in microtubules are critical for the interactions with microtubule-associated proteins (MAPs) and motor proteins such as kinesin and dynein influencing trafficking and positioning of organelles within the cell.

Pathways

Beta tubulin plays key roles in the mitotic spindle assembly checkpoint ensuring accurate chromosome segregation. It is actively involved in the microtubule pathway and has associations with signaling pathways such as the Wnt signaling pathway which affects cell growth and differentiation. Through these pathways beta tubulin interacts with proteins like tau and MAP2 which stabilize microtubules to control their functional dynamics within the cell.

Mutations or dysregulations in beta tubulin can affect neurological and proliferative conditions such as neurodegenerative diseases and cancer. Beta tubulin is notably linked to Alzheimer's disease where tau protein tangles disrupt normal microtubule function. It also connects to diseases like paclitaxel-resistant cancer where altered beta tubulin isoform expression can lead to chemotherapy resistance. The interaction of beta tubulin with tau and alpha tubulin provides further insight into etiological mechanisms of these conditions.

Product protocols

For this product, it's our understanding that no specific protocols are required. You can visit:

Target data

Tubulin is the major constituent of microtubules, a cylinder consisting of laterally associated linear protofilaments composed of alpha- and beta-tubulin heterodimers. Microtubules grow by the addition of GTP-tubulin dimers to the microtubule end, where a stabilizing cap forms. Below the cap, tubulin dimers are in GDP-bound state, owing to GTPase activity of alpha-tubulin.
See full target information TUBB

Publications (36)

Recent publications for all applications. Explore the full list and refine your search

Nature communications 16:8518 PubMed41006289

2025

Gtf2i-encoded transcription factor Tfii-i regulates myelination via Sox10 and Mbp regulatory elements.

Applications

Unspecified application

Species

Unspecified reactive species

Gilad Levy,May Rokach,Inbar Fischer,Omri Kimchi-Feldhorn,Shiri Shoob,Ela Bar,Tali Rosenberg,Joanna Bartman,Hadar Parnas,Meitar Grad,Ifat Israel-Elgali,Galit E Sfadia,Sari S Trangle,Anna Vainshtein,Yael Eshed Eisenbach,Olaf Jahn,Sophie B Siems,Hauke B Werner,Noam Shomron,Yaniv Assaf,Elior Peles,Inna Slutsky,Asaf Marco,Boaz Barak

Frontiers in cellular and infection microbiology 15:1538461 PubMed40496014

2025

SARS-CoV-2 exploits steroidogenic machinery, triggers lipid metabolism for viral replication and induces immune response in Leydig cells of K18-hACE2 mice.

Applications

Unspecified application

Species

Unspecified reactive species

Salmo Azambuja de Oliveira,André Acácio Souza da Silva,Barry T Hinton,Giovanni Freitas Gomes,Thiago Mattar Cunha,Paulo Sérgio Cerri,Estela Sasso-Cerri

Frontiers in medicine 11:1501761 PubMed39554500

2024

RIG012 assists in the treatment of pneumonia by inhibiting the RIG-I-like receptor signaling pathway.

Applications

Unspecified application

Species

Unspecified reactive species

Shi Zhang,Hanbing Chen,Jianfeng Xie,Lili Huang

Science advances 10:eadl4573 PubMed39392881

2024

Shank3 mutation impairs glutamate signaling and myelination in ASD mouse model and human iPSC-derived OPCs.

Applications

Unspecified application

Species

Unspecified reactive species

Inbar Fischer,Sophie Shohat,Yael Leichtmann-Bardoogo,Ritu Nayak,Gal Wiener,Idan Rosh,Aviram Shemen,Utkarsh Tripathi,May Rokach,Ela Bar,Yara Hussein,Ana Carolina Castro,Gal Chen,Adi Soffer,Sari Schokoroy-Trangle,Galit Elad-Sfadia,Yaniv Assaf,Avi Schroeder,Patricia Monteiro,Shani Stern,Ben M Maoz,Boaz Barak

Cancer cell international 24:313 PubMed39261823

2024

Long-term zinc treatment alters the mechanical properties and metabolism of prostate cancer cells.

Applications

Unspecified application

Species

Unspecified reactive species

Jiri Navratil,Monika Kratochvilova,Martina Raudenska,Jan Balvan,Tomas Vicar,Katerina Petrlakova,Kanako Suzuki,Lucie Jadrna,Jiri Bursa,Martin Kräter,Kyoohyun Kim,Michal Masarik,Jaromir Gumulec

The Journal of clinical investigation 134: PubMed39196784

2024

Proton-activated chloride channel increases endplate porosity and pain in a mouse spine degeneration model.

Applications

Unspecified application

Species

Unspecified reactive species

Peng Xue,Weixin Zhang,Mengxi Shen,Junhua Yang,Jiachen Chu,Shenyu Wang,Mei Wan,Junying Zheng,Zhaozhu Qiu,Xu Cao

Reproductive biology and endocrinology : RB&E 22:15 PubMed38254112

2024

Inhibition of mitochondrial cyclophilin D, a downstream target of glycogen synthase kinase 3α, improves sperm motility.

Applications

Unspecified application

Species

Unspecified reactive species

Seung Hyun Park,Myung Chan Gye

Biomedicines 11: PubMed37626769

2023

Deletion of via Systemic Administration of AAV-PHP.eB Virus Increases Social Behavior in a Mouse Model of a Neurodevelopmental Disorder.

Applications

Unspecified application

Species

Unspecified reactive species

Omer Ophir,Gilad Levy,Ela Bar,Omri Kimchi Feldhorn,May Rokach,Galit Elad Sfadia,Boaz Barak

The world journal of men's health : PubMed37635337

2023

Regulation of Phosphorylation of Glycogen Synthase Kinase 3α and the Correlation with Sperm Motility in Human.

Applications

Unspecified application

Species

Unspecified reactive species

Seung Hyun Park,Young-Pil Kim,Jeong Min Lee,Dong-Wook Park,Ju Tae Seo,Myung Chan Gye

Cell death & disease 14:502 PubMed37542027

2023

Exosomal PGAM1 promotes prostate cancer angiogenesis and metastasis by interacting with ACTG1.

Applications

Unspecified application

Species

Unspecified reactive species

Jun-Qi Luo,Tao-Wei Yang,Jun Wu,Hou-Hua Lai,Li-Bin Zou,Wen-Bin Chen,Xu-Min Zhou,Dao-Jun Lv,Sheng-Ren Cen,Zi-Ning Long,Yi-You Mao,Peng-Xiang Zheng,Xiao-Hong Su,Zhi-Yong Xian,Fang-Peng Shu,Xiang-Ming Mao
View all publications

Product promise

We are committed to supporting your work with high-quality reagents, and we're here for you every step of the way. In the unlikely event that one of our products does not perform as expected, you're protected by our Product Promise.
For full details, please see our Terms & Conditions

Please note: All products are 'FOR RESEARCH USE ONLY. NOT FOR USE IN DIAGNOSTIC OR THERAPEUTIC PROCEDURES'.

For licensing inquiries, please contact partnerships@abcam.com