JavaScript is disabled in your browser. Please enable JavaScript to view this website.
AB287162

Anti-BFL-1/GRS antibody [EPR24587-176] - BSA and Azide free

Be the first to review this product! Submit a review

|

(0 Publication)

Rabbit Recombinant Monoclonal BFL-1/GRS antibody. Carrier free. Suitable for IP, WB and reacts with Human samples.

View Alternative Names

BCL2L5, BFL1, GRS, HBPA1, BCL2A1, Bcl-2-related protein A1, Bcl-2-like protein 5, Hemopoietic-specific early response protein, Protein BFL-1, Protein GRS, Bcl2-L-5

2 Images
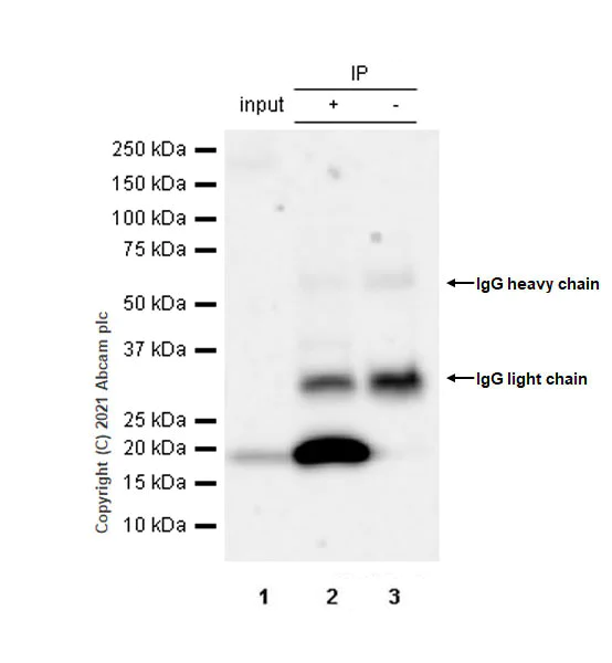
Immunoprecipitation - Anti-BFL-1/GRS antibody [EPR24587-176] - BSA and Azide free (AB287162)
  • IP

Lab

Immunoprecipitation - Anti-BFL-1/GRS antibody [EPR24587-176] - BSA and Azide free (AB287162)

This data was developed using ab287160, the same antibody clone in a different buffer formulation.

BFL-1/GRS was immunoprecipitated from 0.35 mg SK-MEL-28 (human malignant melanoma) whole cell lysate 10 μg with ab278160 at 1/30 dilution (2μg in 0.35mg lysates). Western blot was performed on the immunoprecipitate using ab278160 at 1/1000 dilution. VeriBlot for IP secondary antibody(HRP)(ab131366) was used at 1/5000 dilution.

Lane 1 : SK-MEL-28 (human malignant melanoma) whole cell lysate 10 μg

Lane 2 : ab278160 IP in SK-MEL-28 whole cell lysate

Lane 3 : Rabbit monoclonal IgG (ab172730) instead of ab278160 in SK-MEL-28 whole cell lysate

Blocking and dilution buffer and concentration : 5% NFDM/TBST.

Exposure time : 50 seconds

All lanes:

Immunoprecipitation - Anti-BFL-1/GRS antibody [EPR24587-176] (<a href='/en-us/products/primary-antibodies/bfl-1-grs-antibody-epr24587-176-ab287160'>ab287160</a>)

Predicted band size: 20 kDa

Observed band size: 18 kDa

false

Western blot - Anti-BFL-1/GRS antibody [EPR24587-176] - BSA and Azide free (AB287162)
  • WB

Lab

Western blot - Anti-BFL-1/GRS antibody [EPR24587-176] - BSA and Azide free (AB287162)

This data was developed using ab287160, the same antibody clone in a different buffer formulation.

Blocking and diluting buffer and concentration : 5% NFDM/TBST.

Negative control : HCT116, HL-60, MOLT-4, PC-3 (PMID : 23447565 )

Exposure time : 37 seconds

All lanes:

Western blot - Anti-BFL-1/GRS antibody [EPR24587-176] (<a href='/en-us/products/primary-antibodies/bfl-1-grs-antibody-epr24587-176-ab287160'>ab287160</a>) at 1/1000 dilution

Lane 1:

U937 (human histiocytic lymphoma monocyte) whole cell lysate at 60 µg

Lane 2:

SK-MEL-28 (human malignant melanoma) whole cell lysate at 60 µg

Lane 3:

HCT116 (human colorectal carcinoma epithelial cell) whole cell lysate at 60 µg

Lane 4:

HL-60 (human Acute Promyelocytic Leukemia promyeloblast) whole cell lysate at 60 µg

Lane 5:

MOLT-4 (human lymphoblastic leukemia T lymphoblast) whole cell lysate at 60 µg

Lane 6:

PC-3 (human prostate adenocarcinoma epithelial cell) whole cell lysate at 60 µg

Secondary

All lanes:

Goat Anti-Rabbit IgG, (H+L), Peroxidase conjugated (<a href='/en-us/products/secondary-antibodies/goat-rabbit-igg-h-l-hrp-ab97051'>ab97051</a>) at 1/20000 dilution

Predicted band size: 20 kDa

Observed band size: 18 kDa

false

Key facts

Host species

Rabbit

Clonality

Monoclonal

Clone number

EPR24587-176

Carrier free

Yes

Reacts with

Human

Applications

WB, IP

applications

Immunogen

The exact immunogen used to generate this antibody is proprietary information.

Reactivity data

{ "title": "Reactivity Data", "filters": { "stats": ["", "Species", "Dilution Info", "Notes"], "tabs": { "all-applications": {"fullname" : "All Applications", "shortname": "All Applications"}, "ICCIF" : {"fullname" : "Immunocytochemistry/ Immunofluorescence", "shortname":"ICC/IF"}, "IP" : {"fullname" : "Immunoprecipitation", "shortname":"IP"}, "WB" : {"fullname" : "Western blot", "shortname":"WB"}, "IHCP" : {"fullname" : "Immunohistochemistry (Formalin/PFA-fixed paraffin-embedded sections)", "shortname":"IHC-P"}, "FlowCytIntra" : {"fullname" : "Flow Cytometry (Intracellular)", "shortname":"Flow Cyt (Intra)"} }, "product-promise": { "all": "all", "testedAndGuaranteed": "tested", "guaranteed": "expected", "predicted": "predicted", "notRecommended": "not-recommended" } }, "values": { "Human": { "ICCIF-species-checked": "notRecommended", "ICCIF-species-dilution-info": "", "ICCIF-species-notes": "<p></p>", "IP-species-checked": "testedAndGuaranteed", "IP-species-dilution-info": "", "IP-species-notes": "<p></p>", "WB-species-checked": "testedAndGuaranteed", "WB-species-dilution-info": "", "WB-species-notes": "<p></p>", "IHCP-species-checked": "notRecommended", "IHCP-species-dilution-info": "", "IHCP-species-notes": "<p></p>", "FlowCytIntra-species-checked": "notRecommended", "FlowCytIntra-species-dilution-info": "", "FlowCytIntra-species-notes": "<p></p>" }, "Mouse": { "ICCIF-species-checked": "notRecommended", "ICCIF-species-dilution-info": "", "ICCIF-species-notes": "<p></p>", "IP-species-checked": "notRecommended", "IP-species-dilution-info": "", "IP-species-notes": "", "WB-species-checked": "notRecommended", "WB-species-dilution-info": "", "WB-species-notes": "<p></p>", "IHCP-species-checked": "notRecommended", "IHCP-species-dilution-info": "", "IHCP-species-notes": "<p></p>", "FlowCytIntra-species-checked": "notRecommended", "FlowCytIntra-species-dilution-info": "", "FlowCytIntra-species-notes": "<p></p>" }, "Rat": { "ICCIF-species-checked": "notRecommended", "ICCIF-species-dilution-info": "", "ICCIF-species-notes": "", "IP-species-checked": "notRecommended", "IP-species-dilution-info": "", "IP-species-notes": "", "WB-species-checked": "notRecommended", "WB-species-dilution-info": "", "WB-species-notes": "<p></p>", "IHCP-species-checked": "notRecommended", "IHCP-species-dilution-info": "", "IHCP-species-notes": "<p></p>", "FlowCytIntra-species-checked": "notRecommended", "FlowCytIntra-species-dilution-info": "", "FlowCytIntra-species-notes": "" } } }

You may be interested in:

AB309280

Human BFL-1/GRS ELISA Kit

0

0 Reviews

View product

We recommend this product because it’s often used in the same experiment or related research.

We advise that you always check the datasheet to ensure it fits your experiments, or contact ourtechnical teamfor help.

Product details

ab287162 is the carrier free version of ab287160

Patented technology
Our RabMAb® technology is a patented hybridoma-based technology for making rabbit monoclonal antibodies. For details on our patents, please refer to RabMAb® patents.

What are the advantages of a recombinant monoclonal antibody?
This product is a recombinant monoclonal antibody, which offers several advantages including:

  • - High batch-to-batch consistency and reproducibility
  • - Improved sensitivity and specificity
  • - Long-term security of supply
  • - Animal-free batch production

For more information, read more on recombinant antibodies.

Conjugation ready
Our carrier-free antibodies are typically supplied in a PBS-only formulation, purified and free of BSA, sodium azide and glycerol. This conjugation-ready format is designed for use with fluorochromes, metal isotopes, oligonucleotides, and enzymes, which makes them ideal for antibody labelling, functional and cell-based assays, flow-based assays (e.g. mass cytometry) and Multiplex Imaging applications.

Use our conjugation kits for antibody conjugates that are ready-to-use in as little as 20 minutes with 1 minute hands-on-time and 100% antibody recovery: available for fluorescent dyes, HRP, biotin and gold.

Properties and storage information

Form
Liquid
Purification technique
Affinity purification Protein A
Storage buffer
pH: 7.2 - 7.4 Constituents: 100% PBS
Shipped at conditions
Blue Ice
Appropriate short-term storage conditions
+4°C
Appropriate long-term storage conditions
+4°C

Product protocols

For this product, it's our understanding that no specific protocols are required. You can visit:

Target data

Retards apoptosis induced by IL-3 deprivation. May function in the response of hemopoietic cells to external signals and in maintaining endothelial survival during infection (By similarity). Can inhibit apoptosis induced by serum starvation in the mammary epithelial cell line HC11 (By similarity).
See full target information BCL2A1

Product promise

We are committed to supporting your work with high-quality reagents, and we're here for you every step of the way. In the unlikely event that one of our products does not perform as expected, you're protected by our Product Promise.
For full details, please see our Terms & Conditions

Please note: All products are 'FOR RESEARCH USE ONLY. NOT FOR USE IN DIAGNOSTIC OR THERAPEUTIC PROCEDURES'.

For licensing inquiries, please contact partnerships@abcam.com