JavaScript is disabled in your browser. Please enable JavaScript to view this website.
AB253247

Anti-BFL-1/GRS antibody [SP435] - BSA and Azide free

Be the first to review this product! Submit a review

|

(0 Publication)

Rabbit Recombinant Monoclonal BFL-1/GRS antibody. Carrier free. Suitable for IHC-P, WB and reacts with Human samples.

View Alternative Names

BCL2L5, BFL1, GRS, HBPA1, BCL2A1, Bcl-2-related protein A1, Bcl-2-like protein 5, Hemopoietic-specific early response protein, Protein BFL-1, Protein GRS, Bcl2-L-5

2 Images
Immunohistochemistry (Formalin/PFA-fixed paraffin-embedded sections) - Anti-BFL-1/GRS antibody [SP435] - BSA and Azide free (AB253247)
  • IHC-P

Supplier Data

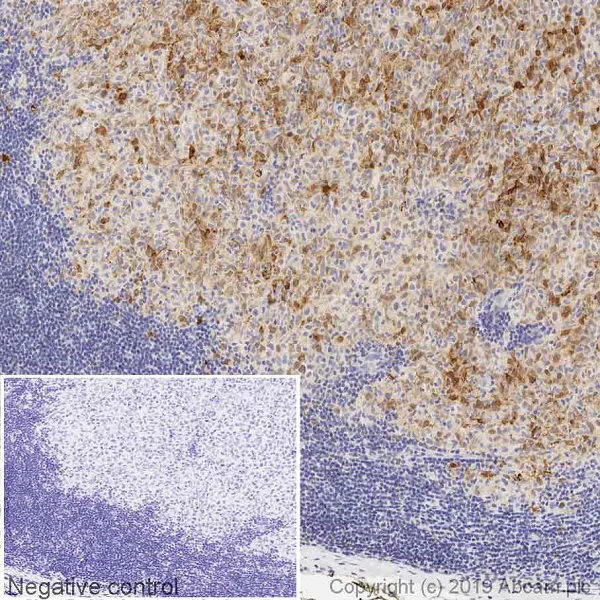
Immunohistochemistry (Formalin/PFA-fixed paraffin-embedded sections) - Anti-BFL-1/GRS antibody [SP435] - BSA and Azide free (AB253247)

IHC image of ab246319 staining BFL-1/GRS in a section of formalin-fixed paraffin-embedded human B-cell lymphoma* performed on a Leica BONDTM system using the standard protocol F. The section was pre-treated using heat mediated antigen retrieval with EDTA buffer (pH9, epitope retrieval solution 2) for 30mins. The section was then incubated with ab246319, 1/117 dilution, for 15 mins at room temperature and detected using an HRP conjugated compact polymer system. DAB was used as the chromogen. The section was then counterstained with haematoxylin and mounted with DPX. The inset secondary-only control image is taken from an identical assay without primary antibody.

For other IHC staining systems (automated and non-automated) customers should optimize variable parameters such as antigen retrieval conditions, primary antibody concentration and antibody incubation times.

*Tissue obtained from the Human Research Tissue Bank, supported by the NIHR Cambridge Biomedical Research Centre

This data was developed using the same antibody clone in a different buffer formulation containing PBS, BSA, and sodium azide (ab246319).

Western blot - Anti-BFL-1/GRS antibody [SP435] - BSA and Azide free (AB253247)
  • WB

Lab

Western blot - Anti-BFL-1/GRS antibody [SP435] - BSA and Azide free (AB253247)

This data was developed using ab246319, the same antibody clone in a different buffer formulation.

Negative control :  A-673, KATO III, LoVo.

In Western blot, Anti-GAPDH antibody [EPR16891] - Loading Control (ab181602) staining at 1/200000 dilution.

Blocking and diluting buffer and concentration : 5% NFDM/TBST.

All lanes:

Western blot - Anti-BFL-1/GRS antibody [SP435] (<a href='/en-us/products/primary-antibodies/bfl-1-grs-antibody-sp435-ab246319'>ab246319</a>) at 1/1000 dilution

Lane 1:

KARPAS-299 (human T cell lymphoma cell) whole cell lysate at 20 µg

Lane 2:

RKO (human colorectal Adenocarcinoma cell) whole cell lysate at 20 µg

Lane 3:

SU-DHL-1 (human histiocytic lymphoblast-like cell) whole cell lysate at 20 µg

Lane 4:

SK-MEL-28 (human malignant melanoma cell ) at 20 µg

Lane 5:

A-673 (human muscle Ewings sarcoma cell line) whole cell lysate at 20 µg

Lane 6:

KATO III (human stomach spherical) whole cell lysate at 20 µg

Lane 7:

LoVo (human colorectal adenocarcinoma epithelial cell) whole cell lysate at 20 µg

Secondary

All lanes:

Goat Anti-Rabbit IgG (HRP) with minimal cross-reactivity with human IgG at 1/20000 dilution

Observed band size: 25 kDa

false

Exposure time: 180s

Key facts

Host species

Rabbit

Clonality

Monoclonal

Clone number

SP435

Isotype

IgG

Carrier free

Yes

Reacts with

Human

Applications

WB, IHC-P

applications

Immunogen

The exact immunogen used to generate this antibody is proprietary information.

Reactivity data

{ "title": "Reactivity Data", "filters": { "stats": ["", "Species", "Dilution Info", "Notes"], "tabs": { "all-applications": {"fullname" : "All Applications", "shortname": "All Applications"}, "IHCP" : {"fullname" : "Immunohistochemistry (Formalin/PFA-fixed paraffin-embedded sections)", "shortname":"IHC-P"}, "WB" : {"fullname" : "Western blot", "shortname":"WB"} }, "product-promise": { "all": "all", "testedAndGuaranteed": "tested", "guaranteed": "expected", "predicted": "predicted", "notRecommended": "not-recommended" } }, "values": { "Human": { "IHCP-species-checked": "testedAndGuaranteed", "IHCP-species-dilution-info": "", "IHCP-species-notes": "<p></p>", "WB-species-checked": "testedAndGuaranteed", "WB-species-dilution-info": "", "WB-species-notes": "<p></p>" }, "Mouse": { "IHCP-species-checked": "notRecommended", "IHCP-species-dilution-info": "", "IHCP-species-notes": "", "WB-species-checked": "notRecommended", "WB-species-dilution-info": "", "WB-species-notes": "<p></p>" } } }

Product details

ab253247 is the carrier-free version of ab246319.

Patented technology
Our RabMAb® technology is a patented hybridoma-based technology for making rabbit monoclonal antibodies. For details on our patents, please refer to RabMAb® patents.

What are the advantages of a recombinant monoclonal antibody?
This product is a recombinant monoclonal antibody, which offers several advantages including:

  • - High batch-to-batch consistency and reproducibility
  • - Improved sensitivity and specificity
  • - Long-term security of supply
  • - Animal-free batch production

For more information, read more on recombinant antibodies.

Conjugation ready
Our carrier-free antibodies are typically supplied in a PBS-only formulation, purified and free of BSA, sodium azide and glycerol. This conjugation-ready format is designed for use with fluorochromes, metal isotopes, oligonucleotides, and enzymes, which makes them ideal for antibody labelling, functional and cell-based assays, flow-based assays (e.g. mass cytometry) and Multiplex Imaging applications.

Use our conjugation kits for antibody conjugates that are ready-to-use in as little as 20 minutes with 1 minute hands-on-time and 100% antibody recovery: available for fluorescent dyes, HRP, biotin and gold.

Compatibility
This product is compatible with the Maxpar® Antibody Labeling Kit from Fluidigm, without the need for antibody preparation. Maxpar® is a trademark of Fluidigm Canada Inc.

Properties and storage information

Form
Liquid
Purification technique
Affinity purification Protein A
Storage buffer
pH: 7.2 - 7.4 Constituents: PBS
Shipped at conditions
Blue Ice
Appropriate short-term storage conditions
+4°C
Appropriate long-term storage conditions
+4°C
Storage information
Do Not Freeze

Product protocols

For this product, it's our understanding that no specific protocols are required. You can visit:

Target data

Retards apoptosis induced by IL-3 deprivation. May function in the response of hemopoietic cells to external signals and in maintaining endothelial survival during infection (By similarity). Can inhibit apoptosis induced by serum starvation in the mammary epithelial cell line HC11 (By similarity).
See full target information BCL2A1

Product promise

We are committed to supporting your work with high-quality reagents, and we're here for you every step of the way. In the unlikely event that one of our products does not perform as expected, you're protected by our Product Promise.
For full details, please see our Terms & Conditions

Please note: All products are 'FOR RESEARCH USE ONLY. NOT FOR USE IN DIAGNOSTIC OR THERAPEUTIC PROCEDURES'.

For licensing inquiries, please contact partnerships@abcam.com