JavaScript is disabled in your browser. Please enable JavaScript to view this website.
AB96415

Anti-BHMT antibody

5

(2 Reviews)

|

(8 Publications)

Rabbit Polyclonal BHMT antibody. Suitable for IHC-P, WB and reacts with Human, Mouse samples. Cited in 8 publications. Immunogen corresponding to Recombinant Fragment Protein within Human Betaine--homocysteine S-methyltransferase 1 aa 150-400.

View Alternative Names

Betaine--homocysteine S-methyltransferase 1, BHMT

3 Images
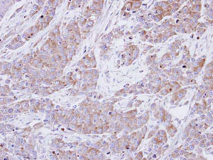
Immunohistochemistry (Formalin/PFA-fixed paraffin-embedded sections) - Anti-BHMT antibody (AB96415)
  • IHC-P

Unknown

Immunohistochemistry (Formalin/PFA-fixed paraffin-embedded sections) - Anti-BHMT antibody (AB96415)

Immunohistochemical analysis of paraffin-embedded human SG xenograft, using ab96415 at 1/100 dilution.

Western blot - Anti-BHMT antibody (AB96415)
  • WB

Supplier Data

Western blot - Anti-BHMT antibody (AB96415)

Samples were separated by 10% SDS-PAGE.

All lanes:

Western blot - Anti-BHMT antibody (ab96415) at 1/1000 dilution

All lanes:

HepG2 Whole cell extract at 30 µg

Secondary

All lanes:

HRP conjugated anti rabbit IgG antibody

Predicted band size: 45 kDa

false

Western blot - Anti-BHMT antibody (AB96415)
  • WB

Supplier Data

Western blot - Anti-BHMT antibody (AB96415)

All lanes:

Western blot - Anti-BHMT antibody (ab96415) at 1/1000 dilution

Lane 1:

Mouse liver tissue lysate at 50 µg

Lane 2:

Mouse lung tissue lysate at 50 µg

Lane 3:

Mouse heart tissue lysate at 50 µg

Predicted band size: 45 kDa

false

Key facts

Host species

Rabbit

Clonality

Polyclonal

Isotype

IgG

Carrier free

No

Reacts with

Mouse, Human

Applications

WB, IHC-P

applications

Immunogen

Recombinant Fragment Protein within Human Betaine--homocysteine S-methyltransferase 1 aa 150-400. The exact immunogen used to generate this antibody is proprietary information.

Q93088

Reactivity data

{ "title": "Reactivity Data", "filters": { "stats": ["", "Species", "Dilution Info", "Notes"], "tabs": { "all-applications": {"fullname" : "All Applications", "shortname": "All Applications"}, "IHCP" : {"fullname" : "Immunohistochemistry (Formalin/PFA-fixed paraffin-embedded sections)", "shortname":"IHC-P"}, "WB" : {"fullname" : "Western blot", "shortname":"WB"} }, "product-promise": { "all": "all", "testedAndGuaranteed": "tested", "guaranteed": "expected", "predicted": "predicted", "notRecommended": "not-recommended" } }, "values": { "Human": { "IHCP-species-checked": "testedAndGuaranteed", "IHCP-species-dilution-info": "1/100 - 1/1000", "IHCP-species-notes": "<p></p> Antigen retrieval is not essential but may optimise staining.", "WB-species-checked": "testedAndGuaranteed", "WB-species-dilution-info": "1/500 - 1/3000", "WB-species-notes": "<p></p>" }, "Mouse": { "IHCP-species-checked": "guaranteed", "IHCP-species-dilution-info": "", "IHCP-species-notes": "", "WB-species-checked": "testedAndGuaranteed", "WB-species-dilution-info": "1/500 - 1/3000", "WB-species-notes": "<p></p>" }, "Cow": { "IHCP-species-checked": "predicted", "IHCP-species-dilution-info": "", "IHCP-species-notes": "", "WB-species-checked": "predicted", "WB-species-dilution-info": "", "WB-species-notes": "" } } }

Properties and storage information

Form
Liquid
Purification technique
Affinity purification Immunogen
Storage buffer
pH: 7 Preservative: 0.01% Thimerosal (merthiolate) Constituents: 10% Glycerol (glycerin, glycerine), 1.21% Tris, 0.75% Glycine
Shipped at conditions
Blue Ice
Appropriate short-term storage conditions
+4°C
Appropriate long-term storage conditions
-20°C
Aliquoting information
Upon delivery aliquot
Storage information
Avoid freeze / thaw cycle

Product protocols

For this product, it's our understanding that no specific protocols are required. You can visit:

Target data

Involved in the regulation of homocysteine metabolism. Converts betaine and homocysteine to dimethylglycine and methionine, respectively. This reaction is also required for the irreversible oxidation of choline.
See full target information Betaine--homocysteine S-methyltransferase 1

Publications (8)

Recent publications for all applications. Explore the full list and refine your search

Cell metabolism 35:1261-1279.e11 PubMed37141889

2023

Organism-wide, cell-type-specific secretome mapping of exercise training in mice.

Applications

Unspecified application

Species

Unspecified reactive species

Wei Wei,Nicholas M Riley,Xuchao Lyu,Xiaotao Shen,Jing Guo,Steffen H Raun,Meng Zhao,Maria Dolores Moya-Garzon,Himanish Basu,Alan Sheng-Hwa Tung,Veronica L Li,Wentao Huang,Amanda L Wiggenhorn,Katrin J Svensson,Michael P Snyder,Carolyn R Bertozzi,Jonathan Z Long

Cellular and molecular life sciences : CMLS 80:39 PubMed36629912

2023

Hepatocyte PPARγ contributes to the progression of non-alcoholic steatohepatitis in male and female obese mice.

Applications

Unspecified application

Species

Unspecified reactive species

Samuel M Lee,Jose Muratalla,Saman Karimi,Alberto Diaz-Ruiz,Maria Dolores Frutos,Grace Guzman,Bruno Ramos-Molina,Jose Cordoba-Chacon

Hepatology (Baltimore, Md.) 75:567-583 PubMed34569629

2021

Intrahepatic cholangiocyte regeneration from an Fgf-dependent extrahepatic progenitor niche in a zebrafish model of Alagille Syndrome.

Applications

Unspecified application

Species

Unspecified reactive species

Chengjian Zhao,Joseph J Lancman,Yi Yang,Keith P Gates,Dan Cao,Lindsey Barske,Jonathan Matalonga,Xiangyu Pan,Jiaye He,Alyssa Graves,Jan Huisken,Chong Chen,P Duc Si Dong

Nature communications 11:1617 PubMed32238817

2020

The translational landscape of ground state pluripotency.

Applications

Unspecified application

Species

Unspecified reactive species

Yaser Atlasi,Seyed Mehdi Jafarnejad,Christos G Gkogkas,Michiel Vermeulen,Nahum Sonenberg,Hendrik G Stunnenberg

Molecular psychiatry 25:2620-2629 PubMed30622336

2019

Maternal choline supplementation ameliorates Alzheimer's disease pathology by reducing brain homocysteine levels across multiple generations.

Applications

Unspecified application

Species

Unspecified reactive species

Ramon Velazquez,Eric Ferreira,Wendy Winslow,Nikhil Dave,Ignazio S Piras,Marcus Naymik,Matthew J Huentelman,An Tran,Antonella Caccamo,Salvatore Oddo

Biochemical and biophysical research communication 458:626-631 PubMed25684186

2015

Isoaspartate, carbamoyl phosphate synthase-1, and carbonic anhydrase-III as biomarkers of liver injury.

Applications

Unspecified application

Species

Unspecified reactive species

Wayne G Carter,Vasanthy Vigneswara,Anna Newlaczyl,Declan Wayne,Bilal Ahmed,Stephen Saddington,Charlotte Brewer,Nikhilesh Raut,Henry K Gerdes,Amaia M Erdozain,David Tooth,Edward L Bolt,Natalie A Osna,Dean J Tuma,Kusum K Kharbanda

The British journal of nutrition 112:1274-85 PubMed25196630

2014

Methionine deficiency does not increase polyamine turnover through depletion of hepatic S-adenosylmethionine in juvenile Atlantic salmon.

Applications

Unspecified application

Species

Unspecified reactive species

Marit Espe,Synne Marte Andersen,Elisabeth Holen,Ivar Rønnestad,Eva Veiseth-Kent,Jens-Erik Zerrahn,Anders Aksnes

PloS one 8:e85632 PubMed24376891

2013

Homocysteine homeostasis and betaine-homocysteine S-methyltransferase expression in the brain of hibernating bats.

Applications

IHC-P, WB

Species

Bat, Bat

Yijian Zhang,Tengteng Zhu,Lina Wang,Yi-Hsuan Pan,Shuyi Zhang
View all publications

Product promise

We are committed to supporting your work with high-quality reagents, and we're here for you every step of the way. In the unlikely event that one of our products does not perform as expected, you're protected by our Product Promise.
For full details, please see our Terms & Conditions

Please note: All products are 'FOR RESEARCH USE ONLY. NOT FOR USE IN DIAGNOSTIC OR THERAPEUTIC PROCEDURES'.

For licensing inquiries, please contact partnerships@abcam.com