JavaScript is disabled in your browser. Please enable JavaScript to view this website.
AB207765

Anti-BHMT antibody [EPR20076]

4

(1 Review)

|

(1 Publication)

Rabbit Recombinant Monoclonal BHMT antibody. Suitable for WB and reacts with Recombinant fragment - Human, Mouse, Rat, Human samples. Cited in 1 publication.

View Alternative Names

Betaine--homocysteine S-methyltransferase 1, BHMT

4 Images
Western blot - Anti-BHMT antibody [EPR20076] (AB207765)
  • WB

Supplier Data

Western blot - Anti-BHMT antibody [EPR20076] (AB207765)

Blocking/Dilution buffer : 5% NFDM/TBST.

All lanes:

Western blot - Anti-BHMT antibody [EPR20076] (ab207765) at 1/5000 dilution

All lanes:

Human fetal liver lysate at 1 µg

Secondary

All lanes:

Goat Anti-Rabbit IgG Peroxidase Conjugate, specific to the non-reduced form of IgG at 1/100000 dilution

Predicted band size: 45 kDa

Observed band size: 45 kDa

false

Exposure time: 5s

Western blot - Anti-BHMT antibody [EPR20076] (AB207765)
  • WB

Supplier Data

Western blot - Anti-BHMT antibody [EPR20076] (AB207765)

5% NFDM/TBST : Blocking and dilution buffer.

BHMT1 is mainly expressed in liver and kidney according to the literature (PMID : 9281325). Negative control : HepG2 (PMID : 22138536).

All lanes:

Western blot - Anti-BHMT antibody [EPR20076] (ab207765) at 1/10000 dilution

Lane 1:

Human fetal kidney tissue lysate at 20 µg

Lane 2:

Human brain lysate at 20 µg

Lane 3:

Human lung lysate at 20 µg

Lane 4:

Human spleen lysate at 20 µg

Lane 5:

HepG2 (Human liver hepatocellular carcinoma cell line) whole cell lysate at 20 µg

Secondary

All lanes:

Goat Anti-Rabbit IgG Peroxidase Conjugate, specific to the non-reduced form of IgG at 1/10000 dilution

Predicted band size: 45 kDa

Observed band size: 45 kDa

false

Exposure time: 1s

Western blot - Anti-BHMT antibody [EPR20076] (AB207765)
  • WB

Supplier Data

Western blot - Anti-BHMT antibody [EPR20076] (AB207765)

Blocking/Dilution buffer : 5% NFDM/TBST.

Human BHMT1 and BHMT2 recombinant proteins contain aa11-314 and aa1-363 respectively, and both are with a His-tag.

All lanes:

Western blot - Anti-BHMT antibody [EPR20076] (ab207765) at 1/50000 dilution

Lane 1:

Human BHMT1 recombinant protein at 0.02 µg

Lane 2:

Human BHMT2 recombinant protein at 0.02 µg

Secondary

All lanes:

Western blot - Goat Anti-Rabbit IgG H&L (HRP) (<a href='/en-us/products/secondary-antibodies/goat-rabbit-igg-h-l-hrp-ab97051'>ab97051</a>) at 1/10000 dilution

Predicted band size: 45 kDa

Observed band size: 45 kDa

false

Exposure time: 1s

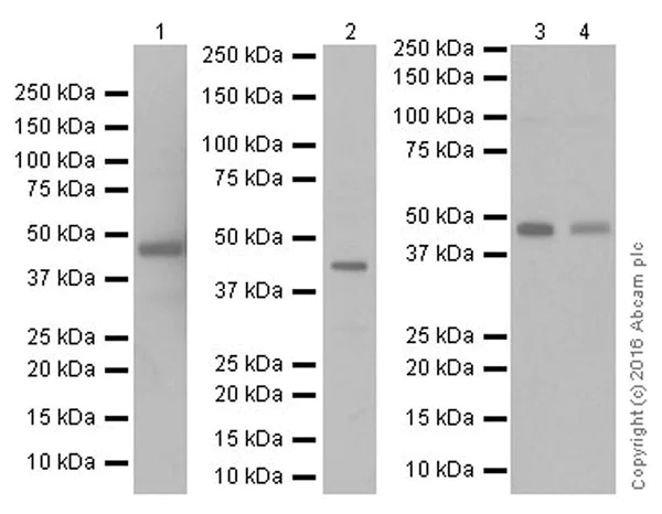
Western blot - Anti-BHMT antibody [EPR20076] (AB207765)
  • WB

Supplier Data

Western blot - Anti-BHMT antibody [EPR20076] (AB207765)

Blocking/Dilution buffer : 5% NFDM/TBST.

Exposure time : Lane 1/3/4 : 1 second; Lane 2 : 3 minutes.

Lane 1:

Western blot - Anti-BHMT antibody [EPR20076] (ab207765) at 1/1000 dilution

Lane 2:

Western blot - Anti-BHMT antibody [EPR20076] (ab207765) at 1/5000 dilution

Lanes 3 - 4:

Western blot - Anti-BHMT antibody [EPR20076] (ab207765) at 1/20000 dilution

Lane 1:

Rat kidney lysate at 10 µg

Lane 2:

Mouse kidney lysate at 10 µg

Lane 3:

Mouse liver lysate at 0.5 µg

Lane 4:

Rat liver lysate at 0.5 µg

Secondary

All lanes:

Western blot - Goat Anti-Rabbit IgG H&L (HRP) (<a href='/en-us/products/secondary-antibodies/goat-rabbit-igg-h-l-hrp-ab97051'>ab97051</a>) at 1/100000 dilution

Predicted band size: 45 kDa

Observed band size: 45 kDa

false

  • Carrier free

    Anti-BHMT antibody [EPR20076] - BSA and Azide free

Key facts

Host species

Rabbit

Clonality

Monoclonal

Clone number

EPR20076

Isotype

IgG

Carrier free

No

Reacts with

Mouse, Rat, Human

Applications

WB

applications

Immunogen

The exact immunogen used to generate this antibody is proprietary information.

Reactivity data

{ "title": "Reactivity Data", "filters": { "stats": ["", "Species", "Dilution Info", "Notes"], "tabs": { "all-applications": {"fullname" : "All Applications", "shortname": "All Applications"}, "WB" : {"fullname" : "Western blot", "shortname":"WB"} }, "product-promise": { "all": "all", "testedAndGuaranteed": "tested", "guaranteed": "expected", "predicted": "predicted", "notRecommended": "not-recommended" } }, "values": { "Human": { "WB-species-checked": "testedAndGuaranteed", "WB-species-dilution-info": "1/1000", "WB-species-notes": "<p></p>" }, "Mouse": { "WB-species-checked": "testedAndGuaranteed", "WB-species-dilution-info": "1/1000", "WB-species-notes": "<p></p>" }, "Rat": { "WB-species-checked": "testedAndGuaranteed", "WB-species-dilution-info": "1/1000", "WB-species-notes": "<p></p>" }, "Recombinant fragment - Human": { "WB-species-checked": "testedAndGuaranteed", "WB-species-dilution-info": "1/1000", "WB-species-notes": "<p></p>" } } }

Product details

Patented technology
Our RabMAb® technology is a patented hybridoma-based technology for making rabbit monoclonal antibodies. For details on our patents, please refer to RabMAb® patents.

What are the advantages of a recombinant monoclonal antibody?
This product is a recombinant monoclonal antibody, which offers several advantages including:

  • - High batch-to-batch consistency and reproducibility
  • - Improved sensitivity and specificity
  • - Long-term security of supply
  • - Animal-free batch production

For more information, read more on recombinant antibodies.

Properties and storage information

Form
Liquid
Purification technique
Affinity purification Protein A
Storage buffer
pH: 7.2 - 7.4 Preservative: 0.01% Sodium azide Constituents: PBS, 40% Glycerol (glycerin, glycerine), 0.05% BSA
Shipped at conditions
Blue Ice
Appropriate short-term storage duration
1-2 weeks
Appropriate short-term storage conditions
+4°C
Appropriate long-term storage conditions
-20°C
Aliquoting information
Upon delivery aliquot
Storage information
Avoid freeze / thaw cycle

Product protocols

For this product, it's our understanding that no specific protocols are required. You can visit:

Target data

Involved in the regulation of homocysteine metabolism. Converts betaine and homocysteine to dimethylglycine and methionine, respectively. This reaction is also required for the irreversible oxidation of choline.
See full target information Betaine--homocysteine S-methyltransferase 1

Publications (1)

Recent publications for all applications. Explore the full list and refine your search

International journal of biological sciences 15:2037-2050 PubMed31592228

2019

Vascular Protection of TPE-CA on Hyperhomocysteinemia-induced Vascular Endothelial Dysfunction through AA Metabolism Modulated CYPs Pathway.

Applications

Unspecified application

Species

Unspecified reactive species

Hui Li,Zhenli Liu,Linlin Liu,Wen Li,Zhiwen Cao,Zhiqian Song,Qianqian Yang,Aiping Lu,Cheng Lu,Yuanyan Liu
View all publications

Product promise

We are committed to supporting your work with high-quality reagents, and we're here for you every step of the way. In the unlikely event that one of our products does not perform as expected, you're protected by our Product Promise.
For full details, please see our Terms & Conditions

Please note: All products are 'FOR RESEARCH USE ONLY. NOT FOR USE IN DIAGNOSTIC OR THERAPEUTIC PROCEDURES'.

For licensing inquiries, please contact partnerships@abcam.com