JavaScript is disabled in your browser. Please enable JavaScript to view this website.
AB213491

Anti-BHMT + BHMT2 antibody [EPR20822]

Be the first to review this product! Submit a review

|

(1 Publication)

Rabbit Recombinant Monoclonal BHMT antibody. Suitable for WB, IHC-P and reacts with Rat, Human, Recombinant fragment samples. Cited in 1 publication.

View Alternative Names

Betaine--homocysteine S-methyltransferase 1, BHMT

6 Images
Immunohistochemistry (Formalin/PFA-fixed paraffin-embedded sections) - Anti-BHMT + BHMT2 antibody [EPR20822] (AB213491)
  • IHC-P

Unknown

Immunohistochemistry (Formalin/PFA-fixed paraffin-embedded sections) - Anti-BHMT + BHMT2 antibody [EPR20822] (AB213491)

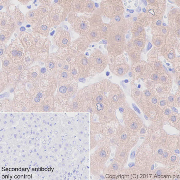
Immunohistochemical analysis of paraffin-embedded human liver tissue labeling BHMT + BHMT2 with ab213491 at a 1/20,000 dilution, followed by a ready to use Goat Anti-Rabbit IgG H&L (HRP). Cytoplasmic staining on human liver is observed (PMID : 9281325; PMID : 26592251). Counter stained with hematoxylin. Secondary antibody only control : Used PBS instead of primary antibody, secondary antibody is a ready to use Goat Anti-Rabbit IgG H&L (HRP).

Perform heat-mediated antigen retrieval using ab93684 (Tris/EDTA buffer, pH 9.0).

Immunohistochemistry (Formalin/PFA-fixed paraffin-embedded sections) - Anti-BHMT + BHMT2 antibody [EPR20822] (AB213491)
  • IHC-P

Unknown

Immunohistochemistry (Formalin/PFA-fixed paraffin-embedded sections) - Anti-BHMT + BHMT2 antibody [EPR20822] (AB213491)

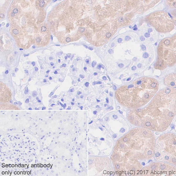
Immunohistochemical analysis of paraffin-embedded human kidney tissue labeling BHMT + BHMT2 with ab213491 at 1/20,000 dilution, followed by a ready to use Goat Anti-Rabbit IgG H&L (HRP). Cytoplasmic staining on human kidney tissue is observed (PMID : 9281325; PMID : 26592251). Counter stained with hematoxylin. Secondary antibody only control : Used PBS instead of primary antibody, secondary antibody is a ready to use Goat Anti-Rabbit IgG H&L (HRP).

Perform heat-mediated antigen retrieval using ab93684 (Tris/EDTA buffer, pH 9.0).

IHC note : 1 : 20,000, recommend human and rat. BHMT2 involved in the regulation of homocysteine metabolism. It's mainly expressed on liver and kidney and its subcellular location was cytoplasm. IHC results showed specific staining on liver and kidney of human and liver, mouse kidney was very weak staining and testis leydig cells were non-specific staining. So IHC recommend human and rat.

Note : It can show nuclear staining if working at higher concentration.

Immunohistochemistry (Formalin/PFA-fixed paraffin-embedded sections) - Anti-BHMT + BHMT2 antibody [EPR20822] (AB213491)
  • IHC-P

Unknown

Immunohistochemistry (Formalin/PFA-fixed paraffin-embedded sections) - Anti-BHMT + BHMT2 antibody [EPR20822] (AB213491)

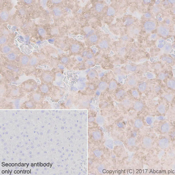
Immunohistochemical analysis of paraffin-embedded rat liver tissue labeling BHMT + BHMT2 with ab213491 at 1/20,000 dilution followed by a ready to use Goat Anti-Rabbit IgG H&L (HRP). Cytoplasmic staining on rat liver is observed (PMID : 9281325; PMID : 26592251).counterstained with hematoxylin. Secondary antibody only control : Used PBS instead of primary antibody, secondary antibody is a ready to use Goat Anti-Rabbit IgG H&L (HRP).

Perform heat-mediated antigen retrieval using ab93684 (Tris/EDTA buffer, pH 9.0).

Western blot - Anti-BHMT + BHMT2 antibody [EPR20822] (AB213491)
  • WB

Supplier Data

Western blot - Anti-BHMT + BHMT2 antibody [EPR20822] (AB213491)

Blocking/Diluting buffer and concentration : 5% NFDM/TBST

Exposure time : 3 minutes

BHMT and BHMT2 are mainly expressed in liver and kidney, negative in spleen and other tissues (PMID18457970; PMID : 11087663). The blot was developed on a BIO-RAD® ChemiDoc™ MP instrument.

All lanes:

Western blot - Anti-BHMT + BHMT2 antibody [EPR20822] (ab213491) at 1/1000 dilution

Lane 1:

Human fetal liver tissue at 20 µg

Lane 2:

Human fetal kidney tissue at 20 µg

Lane 3:

Human fetal spleen tissue at 20 µg

Secondary

All lanes:

Western blot - Goat Anti-Rabbit IgG H&L (HRP) (<a href='/en-us/products/secondary-antibodies/goat-rabbit-igg-h-l-hrp-ab97051'>ab97051</a>) at 1/100000 dilution

false

Western blot - Anti-BHMT + BHMT2 antibody [EPR20822] (AB213491)
  • WB

Supplier Data

Western blot - Anti-BHMT + BHMT2 antibody [EPR20822] (AB213491)

Blocking/Diluting buffer and concentration : 5% NFDM/TBST

Exposure time : 7 seconds.

The blot was developed on a BIO-RAD® ChemiDoc™ MP instrument.

All lanes:

Western blot - Anti-BHMT + BHMT2 antibody [EPR20822] (ab213491) at 1/1000 dilution

All lanes:

Rat liver tissue at 20 µg

Secondary

All lanes:

Western blot - Goat Anti-Rabbit IgG H&L (HRP) (<a href='/en-us/products/secondary-antibodies/goat-rabbit-igg-h-l-hrp-ab97051'>ab97051</a>) at 1/100000 dilution

Observed band size: 45 kDa

false

Western blot - Anti-BHMT + BHMT2 antibody [EPR20822] (AB213491)
  • WB

Supplier Data

Western blot - Anti-BHMT + BHMT2 antibody [EPR20822] (AB213491)

Blocking/Diluting buffer and concentration : 5% NFDM/TBST

Lane 1 and 2 samples loaded at 10 ng.

Exposure time : 58 seconds.

The blot was developed on a BIO-RAD® ChemiDoc™ MP instrument.

All lanes:

Western blot - Anti-BHMT + BHMT2 antibody [EPR20822] (ab213491) at 1/1000 dilution

Lane 1:

Western blot - Recombinant Human BHMT2 protein (denatured) (<a href='/en-us/products/proteins-peptides/recombinant-human-bhmt2-protein-denatured-ab180277'>ab180277</a>)

Lane 2:

Western blot - Recombinant Human BHMT protein (<a href='/en-us/products/proteins-peptides/recombinant-human-bhmt-protein-ab51280'>ab51280</a>)

Secondary

All lanes:

Western blot - Goat Anti-Rabbit IgG H&L (HRP) (<a href='/en-us/products/secondary-antibodies/goat-rabbit-igg-h-l-hrp-ab97051'>ab97051</a>) at 1/100000 dilution

false

  • Carrier free

    Anti-BHMT + BHMT2 antibody [EPR20822] - BSA and Azide free

Key facts

Host species

Rabbit

Clonality

Monoclonal

Clone number

EPR20822

Isotype

IgG

Carrier free

No

Reacts with

Rat, Human

Applications

IHC-P, WB

applications

Immunogen

The exact immunogen used to generate this antibody is proprietary information.

Reactivity data

{ "title": "Reactivity Data", "filters": { "stats": ["", "Species", "Dilution Info", "Notes"], "tabs": { "all-applications": {"fullname" : "All Applications", "shortname": "All Applications"}, "WB" : {"fullname" : "Western blot", "shortname":"WB"}, "IHCP" : {"fullname" : "Immunohistochemistry (Formalin/PFA-fixed paraffin-embedded sections)", "shortname":"IHC-P"} }, "product-promise": { "all": "all", "testedAndGuaranteed": "tested", "guaranteed": "expected", "predicted": "predicted", "notRecommended": "not-recommended" } }, "values": { "Human": { "WB-species-checked": "testedAndGuaranteed", "WB-species-dilution-info": "1/1000", "WB-species-notes": "<p></p>", "IHCP-species-checked": "testedAndGuaranteed", "IHCP-species-dilution-info": "1/20000", "IHCP-species-notes": "<p>IHC note: <strong>1:20,000, recommend human and rat.</strong> BHMT2 involved in the regulation of homocysteine metabolism. It's mainly expressed on liver and kidney and its subcellular location was cytoplasm. IHC results showed specific staining on liver and kidney of human and liver, mouse kidney was very weak staining and testis leydig cells were non-specific staining. So IHC recommend human and rat.</p><p><strong>Note: It can show nuclear staining if working at higher concentration.</strong></p>" }, "Rat": { "WB-species-checked": "testedAndGuaranteed", "WB-species-dilution-info": "1/1000", "WB-species-notes": "<p></p>", "IHCP-species-checked": "testedAndGuaranteed", "IHCP-species-dilution-info": "1/20000", "IHCP-species-notes": "<p>IHC note: <strong>1:20,000, recommend human and rat.</strong> BHMT2 involved in the regulation of homocysteine metabolism. It's mainly expressed on liver and kidney and its subcellular location was cytoplasm. IHC results showed specific staining on liver and kidney of human and liver, mouse kidney was very weak staining and testis leydig cells were non-specific staining. So IHC recommend human and rat.</p><p><strong>Note: It can show nuclear staining if working at higher concentration.</strong></p>" }, "Recombinant fragment": { "WB-species-checked": "guaranteed", "WB-species-dilution-info": "1/1000", "WB-species-notes": "<p></p>", "IHCP-species-checked": "testedAndGuaranteed", "IHCP-species-dilution-info": "1/20000", "IHCP-species-notes": "<p>IHC note: <strong>1:20,000, recommend human and rat.</strong> BHMT2 involved in the regulation of homocysteine metabolism. It's mainly expressed on liver and kidney and its subcellular location was cytoplasm. IHC results showed specific staining on liver and kidney of human and liver, mouse kidney was very weak staining and testis leydig cells were non-specific staining. So IHC recommend human and rat.</p><p><strong>Note: It can show nuclear staining if working at higher concentration.</strong></p>" } } }

Product details

Patented technology
Our RabMAb® technology is a patented hybridoma-based technology for making rabbit monoclonal antibodies. For details on our patents, please refer to RabMAb® patents.

What are the advantages of a recombinant monoclonal antibody?
This product is a recombinant monoclonal antibody, which offers several advantages including:

  • - High batch-to-batch consistency and reproducibility
  • - Improved sensitivity and specificity
  • - Long-term security of supply
  • - Animal-free batch production

For more information, read more on recombinant antibodies.

Properties and storage information

Form
Liquid
Purification technique
Affinity purification Protein A
Storage buffer
pH: 7.2 - 7.4 Preservative: 0.01% Sodium azide Constituents: PBS, 40% Glycerol (glycerin, glycerine), 0.05% BSA
Shipped at conditions
Blue Ice
Appropriate short-term storage duration
1-2 weeks
Appropriate short-term storage conditions
+4°C
Appropriate long-term storage conditions
-20°C
Aliquoting information
Upon delivery aliquot
Storage information
Avoid freeze / thaw cycle

Product protocols

For this product, it's our understanding that no specific protocols are required. You can visit:

Target data

Involved in the regulation of homocysteine metabolism. Converts betaine and homocysteine to dimethylglycine and methionine, respectively. This reaction is also required for the irreversible oxidation of choline.
See full target information Betaine--homocysteine S-methyltransferase 1

Additional targets

S-methylmethionine--homocysteine S-methyltransferase BHMT2

Publications (1)

Recent publications for all applications. Explore the full list and refine your search

Journal of nanobiotechnology 23:648 PubMed41074162

2025

Fe-MOF loaded with capmatinib to reverse immunosuppressive microenvironment and inhibit tumor metastasis after radiofrequency ablation.

Applications

Unspecified application

Species

Unspecified reactive species

Jinchao Zhao,Lei Lei,Cheng Zeng,Xianfei Zhou,Junkang Ding,Wenbin Dai,Angfeng Jiang,Shaomin Zou,Qiao Jin,Zhe Tang
View all publications

Product promise

We are committed to supporting your work with high-quality reagents, and we're here for you every step of the way. In the unlikely event that one of our products does not perform as expected, you're protected by our Product Promise.
For full details, please see our Terms & Conditions

Please note: All products are 'FOR RESEARCH USE ONLY. NOT FOR USE IN DIAGNOSTIC OR THERAPEUTIC PROCEDURES'.

For licensing inquiries, please contact partnerships@abcam.com