JavaScript is disabled in your browser. Please enable JavaScript to view this website.
AB230151

Anti-BHMT + BHMT2 antibody [EPR20822] - BSA and Azide free

Be the first to review this product! Submit a review

|

(1 Publication)

Rabbit Recombinant Monoclonal BHMT antibody. Carrier free. Suitable for IHC-P, WB and reacts with Rat, Human, Recombinant fragment samples. Cited in 1 publication.

View Alternative Names

Betaine--homocysteine S-methyltransferase 1, BHMT

3 Images
Immunohistochemistry (Formalin/PFA-fixed paraffin-embedded sections) - Anti-BHMT + BHMT2 antibody [EPR20822] - BSA and Azide free (AB230151)
  • IHC-P

Unknown

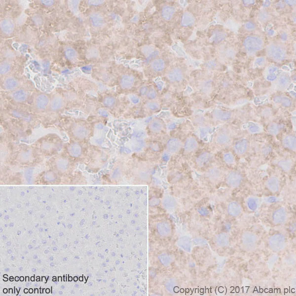
Immunohistochemistry (Formalin/PFA-fixed paraffin-embedded sections) - Anti-BHMT + BHMT2 antibody [EPR20822] - BSA and Azide free (AB230151)

Immunohistochemical analysis of paraffin-embedded human liver tissue labeling BHMT + BHMT2 with ab213491 at a 1/20,000 dilution, followed by a ready to use Goat Anti-Rabbit IgG H&L (HRP). Cytoplasmic staining on human liver is observed (PMID : 9281325; PMID : 26592251). Counter stained with hematoxylin. Secondary antibody only control : Used PBS instead of primary antibody, secondary antibody is a ready to use Goat Anti-Rabbit IgG H&L (HRP).

Perform heat-mediated antigen retrieval using ab93684 (Tris/EDTA buffer, pH 9.0).

This data was developed using the same antibody clone in a different buffer formulation containing PBS, BSA, glycerol, and sodium azide (ab213491).

Immunohistochemistry (Formalin/PFA-fixed paraffin-embedded sections) - Anti-BHMT + BHMT2 antibody [EPR20822] - BSA and Azide free (AB230151)
  • IHC-P

Supplier Data

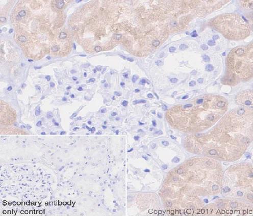
Immunohistochemistry (Formalin/PFA-fixed paraffin-embedded sections) - Anti-BHMT + BHMT2 antibody [EPR20822] - BSA and Azide free (AB230151)

Immunohistochemical analysis of paraffin-embedded human kidney tissue labeling BHMT + BHMT2 with ab213491 at 1/20,000 dilution, followed by a ready to use Goat Anti-Rabbit IgG H&L (HRP). Cytoplasmic staining on human kidney tissue is observed (PMID : 9281325; PMID : 26592251). Counter stained with hematoxylin. Secondary antibody only control : Used PBS instead of primary antibody, secondary antibody is a ready to use Goat Anti-Rabbit IgG H&L (HRP).

Perform heat-mediated antigen retrieval using ab93684 (Tris/EDTA buffer, pH 9.0).

IHC note : 1 : 20,000, recommend human and rat. BHMT2 involved in the regulation of homocysteine metabolism. It's mainly expressed on liver and kidney and its subcellular location was cytoplasm. IHC results showed specific staining on liver and kidney of human and liver, mouse kidney was very weak staining and testis leydig cells were non-specific staining. So IHC recommend human and rat.

Note : It can show nuclear staining if working at higher concentration.

This data was developed using the same antibody clone in a different buffer formulation containing PBS, BSA, glycerol, and sodium azide (ab213491).

Immunohistochemistry (Formalin/PFA-fixed paraffin-embedded sections) - Anti-BHMT + BHMT2 antibody [EPR20822] - BSA and Azide free (AB230151)
  • IHC-P

Unknown

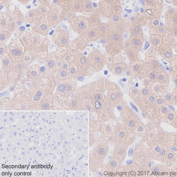
Immunohistochemistry (Formalin/PFA-fixed paraffin-embedded sections) - Anti-BHMT + BHMT2 antibody [EPR20822] - BSA and Azide free (AB230151)

Immunohistochemical analysis of paraffin-embedded rat liver tissue labeling BHMT + BHMT2 with ab213491 at 1/20,000 dilution followed by a ready to use Goat Anti-Rabbit IgG H&L (HRP). Cytoplasmic staining on rat liver is observed (PMID : 9281325; PMID : 26592251).counterstained with hematoxylin. Secondary antibody only control : Used PBS instead of primary antibody, secondary antibody is a ready to use Goat Anti-Rabbit IgG H&L (HRP).

Perform heat-mediated antigen retrieval using ab93684 (Tris/EDTA buffer, pH 9.0).

This data was developed using the same antibody clone in a different buffer formulation containing PBS, BSA, glycerol, and sodium azide (ab213491).

Key facts

Host species

Rabbit

Clonality

Monoclonal

Clone number

EPR20822

Isotype

IgG

Carrier free

Yes

Reacts with

Rat, Human

Applications

IHC-P, WB

applications

Immunogen

The exact immunogen used to generate this antibody is proprietary information.

Reactivity data

{ "title": "Reactivity Data", "filters": { "stats": ["", "Species", "Dilution Info", "Notes"], "tabs": { "all-applications": {"fullname" : "All Applications", "shortname": "All Applications"}, "IHCP" : {"fullname" : "Immunohistochemistry (Formalin/PFA-fixed paraffin-embedded sections)", "shortname":"IHC-P"}, "WB" : {"fullname" : "Western blot", "shortname":"WB"} }, "product-promise": { "all": "all", "testedAndGuaranteed": "tested", "guaranteed": "expected", "predicted": "predicted", "notRecommended": "not-recommended" } }, "values": { "Human": { "IHCP-species-checked": "testedAndGuaranteed", "IHCP-species-dilution-info": "", "IHCP-species-notes": "<p>IHC note: <strong>1:20,000, recommend human and rat.</strong> BHMT2 involved in the regulation of homocysteine metabolism. It's mainly expressed on liver and kidney and its subcellular location was cytoplasm. IHC results showed specific staining on liver and kidney of human and liver, mouse kidney was very weak staining and testis leydig cells were non-specific staining. So IHC recommend human and rat.</p><p><strong>Note: It can show nuclear staining if working at higher concentration.</strong></p>", "WB-species-checked": "testedAndGuaranteed", "WB-species-dilution-info": "", "WB-species-notes": "<p></p>" }, "Rat": { "IHCP-species-checked": "testedAndGuaranteed", "IHCP-species-dilution-info": "", "IHCP-species-notes": "<p>IHC note: <strong>1:20,000, recommend human and rat.</strong> BHMT2 involved in the regulation of homocysteine metabolism. It's mainly expressed on liver and kidney and its subcellular location was cytoplasm. IHC results showed specific staining on liver and kidney of human and liver, mouse kidney was very weak staining and testis leydig cells were non-specific staining. So IHC recommend human and rat.</p><p><strong>Note: It can show nuclear staining if working at higher concentration.</strong></p>", "WB-species-checked": "testedAndGuaranteed", "WB-species-dilution-info": "", "WB-species-notes": "<p></p>" }, "Recombinant fragment": { "IHCP-species-checked": "testedAndGuaranteed", "IHCP-species-dilution-info": "", "IHCP-species-notes": "<p>IHC note: <strong>1:20,000, recommend human and rat.</strong> BHMT2 involved in the regulation of homocysteine metabolism. It's mainly expressed on liver and kidney and its subcellular location was cytoplasm. IHC results showed specific staining on liver and kidney of human and liver, mouse kidney was very weak staining and testis leydig cells were non-specific staining. So IHC recommend human and rat.</p><p><strong>Note: It can show nuclear staining if working at higher concentration.</strong></p>", "WB-species-checked": "guaranteed", "WB-species-dilution-info": "", "WB-species-notes": "<p></p>" } } }

Product details

ab230151 is the carrier-free version of ab213491.

Patented technology
Our RabMAb® technology is a patented hybridoma-based technology for making rabbit monoclonal antibodies. For details on our patents, please refer to RabMAb® patents.

What are the advantages of a recombinant monoclonal antibody?
This product is a recombinant monoclonal antibody, which offers several advantages including:

  • - High batch-to-batch consistency and reproducibility
  • - Improved sensitivity and specificity
  • - Long-term security of supply
  • - Animal-free batch production

For more information, read more on recombinant antibodies.

Conjugation ready
Our carrier-free antibodies are typically supplied in a PBS-only formulation, purified and free of BSA, sodium azide and glycerol. This conjugation-ready format is designed for use with fluorochromes, metal isotopes, oligonucleotides, and enzymes, which makes them ideal for antibody labelling, functional and cell-based assays, flow-based assays (e.g. mass cytometry) and Multiplex Imaging applications.

Use our conjugation kits for antibody conjugates that are ready-to-use in as little as 20 minutes with 1 minute hands-on-time and 100% antibody recovery: available for fluorescent dyes, HRP, biotin and gold.

Compatibility
This product is compatible with the Maxpar® Antibody Labeling Kit from Fluidigm, without the need for antibody preparation. Maxpar® is a trademark of Fluidigm Canada Inc.

Properties and storage information

Form
Liquid
Purification technique
Affinity purification Protein A
Storage buffer
pH: 7.2 - 7.4 Constituents: PBS
Shipped at conditions
Blue Ice
Appropriate short-term storage conditions
+4°C
Appropriate long-term storage conditions
+4°C
Storage information
Do Not Freeze

Product protocols

For this product, it's our understanding that no specific protocols are required. You can visit:

Target data

Involved in the regulation of homocysteine metabolism. Converts betaine and homocysteine to dimethylglycine and methionine, respectively. This reaction is also required for the irreversible oxidation of choline.
See full target information Betaine--homocysteine S-methyltransferase 1

Additional targets

S-methylmethionine--homocysteine S-methyltransferase BHMT2

Publications (1)

Recent publications for all applications. Explore the full list and refine your search

Cellular and molecular life sciences : CMLS 80:194 PubMed37392222

2023

The normalizing effects of the CYP46A1 activator efavirenz on retinal sterol levels and risk factors for glaucoma in Apoj mice.

Applications

Unspecified application

Species

Unspecified reactive species

Nicole El-Darzi,Natalia Mast,Yong Li,Brian Dailey,Min Kang,Douglas J Rhee,Irina A Pikuleva
View all publications

Product promise

We are committed to supporting your work with high-quality reagents, and we're here for you every step of the way. In the unlikely event that one of our products does not perform as expected, you're protected by our Product Promise.
For full details, please see our Terms & Conditions

Please note: All products are 'FOR RESEARCH USE ONLY. NOT FOR USE IN DIAGNOSTIC OR THERAPEUTIC PROCEDURES'.

For licensing inquiries, please contact partnerships@abcam.com