JavaScript is disabled in your browser. Please enable JavaScript to view this website.
AB237616

Anti-BICD2 antibody

Be the first to review this product! Submit a review

|

(4 Publications)

Rabbit Polyclonal BICD2 antibody. Suitable for WB, IHC-P, ICC/IF and reacts with Human samples. Cited in 4 publications. Immunogen corresponding to Recombinant Fragment Protein within Human BICD2 aa 500-650.

View Alternative Names

KIAA0699, BICD2, Protein bicaudal D homolog 2, Bic-D 2

3 Images
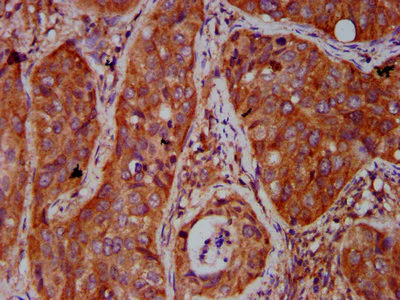
Immunohistochemistry (Formalin/PFA-fixed paraffin-embedded sections) - Anti-BICD2 antibody (AB237616)
  • IHC-P

Supplier Data

Immunohistochemistry (Formalin/PFA-fixed paraffin-embedded sections) - Anti-BICD2 antibody (AB237616)

Paraffin-embedded cervical cancer tissue stained for BICD2 using ab237616 at 1/500 dilution in immunohistochemical analysis.

After dewaxing and hydration, antigen retrieval was mediated by high pressure in a citrate buffer (pH 6.0). Section was blocked with 10% normal goat serum 30min at RT. Then primary antibody (1% BSA) was incubated at 4°C overnight. The primary is detected by a biotinylated secondary antibody and visualized using an HRP conjugated SP system.

Immunocytochemistry/ Immunofluorescence - Anti-BICD2 antibody (AB237616)
  • ICC/IF

Supplier Data

Immunocytochemistry/ Immunofluorescence - Anti-BICD2 antibody (AB237616)

HeLa (human epithelial cell line from cervix adenocarcinoma) cells stained for BICD2 (green) using ab237616 at 1/166 dilution in ICC/IF, followed by Alexa Fluor 488-congugated Goat Anti-Rabbit IgG (H+L) secondary antibody.

The cells were fixed in 4% formaldehyde, permeabilized using 0.2% Triton X-100 and blocked in 10% normal Goat Serum. The cells were then incubated with the antibody overnight at 4°C. The nuclear counter stain is DAPI.

Western blot - Anti-BICD2 antibody (AB237616)
  • WB

Supplier Data

Western blot - Anti-BICD2 antibody (AB237616)

All lanes:

Western blot - Anti-BICD2 antibody (ab237616) at 1/500 dilution

Lane 1:

HeLa (human epithelial cell line from cervix adenocarcinoma) whole cell lysate

Lane 2:

K562 (human chronic myelogenous leukemia cell line from bone marrow) whole cell lysate

Lane 3:

HL-60 (human promyelocytic leukemia cell line) whole cell lysate

Lane 4:

A549 (human lung carcinoma cell line) whole cell lysate

Secondary

All lanes:

Goat polyclonal to rabbit IgG at 1/50000 dilution

Predicted band size: 94 kDa

false

Key facts

Host species

Rabbit

Clonality

Polyclonal

Isotype

IgG

Carrier free

No

Reacts with

Human

Applications

WB, ICC/IF, IHC-P

applications

Immunogen

Recombinant Fragment Protein within Human BICD2 aa 500-650. The exact immunogen used to generate this antibody is proprietary information.

Q8TD16

Reactivity data

{ "title": "Reactivity Data", "filters": { "stats": ["", "Species", "Dilution Info", "Notes"], "tabs": { "all-applications": {"fullname" : "All Applications", "shortname": "All Applications"}, "WB" : {"fullname" : "Western blot", "shortname":"WB"}, "IHCP" : {"fullname" : "Immunohistochemistry (Formalin/PFA-fixed paraffin-embedded sections)", "shortname":"IHC-P"}, "ICCIF" : {"fullname" : "Immunocytochemistry/ Immunofluorescence", "shortname":"ICC/IF"} }, "product-promise": { "all": "all", "testedAndGuaranteed": "tested", "guaranteed": "expected", "predicted": "predicted", "notRecommended": "not-recommended" } }, "values": { "Human": { "WB-species-checked": "testedAndGuaranteed", "WB-species-dilution-info": "1/500 - 1/5000", "WB-species-notes": "<p></p>", "IHCP-species-checked": "testedAndGuaranteed", "IHCP-species-dilution-info": "", "IHCP-species-notes": "<p></p>", "ICCIF-species-checked": "testedAndGuaranteed", "ICCIF-species-dilution-info": "1/50 - 1/200", "ICCIF-species-notes": "<p></p>" } } }

Properties and storage information

Form
Liquid
Purification technique
Affinity purification Protein G
Purification notes
Purity greater than 95%.
Storage buffer
pH: 7.4 Preservative: 0.03% Proclin 300 Constituents: PBS, 50% Glycerol (glycerin, glycerine)
Shipped at conditions
Blue Ice
Appropriate short-term storage duration
1-2 weeks
Appropriate short-term storage conditions
+4°C
Appropriate long-term storage conditions
-20°C
Aliquoting information
Upon delivery aliquot
Storage information
Avoid freeze / thaw cycle

Product protocols

For this product, it's our understanding that no specific protocols are required. You can visit:

Target data

Acts as an adapter protein linking the dynein motor complex to various cargos and converts dynein from a non-processive to a highly processive motor in the presence of dynactin. Facilitates and stabilizes the interaction between dynein and dynactin and activates dynein processivity (the ability to move along a microtubule for a long distance without falling off the track) (PubMed : 25814576). Facilitates the binding of RAB6A to the Golgi by stabilizing its GTP-bound form. Regulates coat complex coatomer protein I (COPI)-independent Golgi-endoplasmic reticulum transport via its interaction with RAB6A and recruitment of the dynein-dynactin motor complex (PubMed : 25962623). Contributes to nuclear and centrosomal positioning prior to mitotic entry through regulation of both dynein and kinesin-1. During G2 phase of the cell cycle, associates with RANBP2 at the nuclear pores and recruits dynein and dynactin to the nuclear envelope to ensure proper positioning of the nucleus relative to centrosomes prior to the onset of mitosis (By similarity).
See full target information BICD2

Publications (4)

Recent publications for all applications. Explore the full list and refine your search

Nature communications 16:2998 PubMed40148322

2025

Keratin-72 restricts HIV-1 infection in resting CD4 T cells by sequestering capsids in intermediate filaments.

Applications

Unspecified application

Species

Unspecified reactive species

Yang He,Meng Xu,Jiayue Ouyang,Li Zhao,Tiankui Ma,Xiaowei Zhang,Ruolin Wang,Hong Shang,Guoxin Liang

Cell death & disease 14:680 PubMed37833251

2023

Critical role of VHL/BICD2/STAT1 axis in crystal-associated kidney disease.

Applications

Unspecified application

Species

Unspecified reactive species

Wenyan Hao,Hongxian Zhang,Peng Hong,Xin Zhang,Xuyang Zhao,Lulin Ma,Xiaoyan Qiu,Hao Ping,Dan Lu,Yuxin Yin

Nature 605:527-531 PubMed35545676

2022

Group A Streptococcus induces GSDMA-dependent pyroptosis in keratinocytes.

Applications

Unspecified application

Species

Unspecified reactive species

Doris L LaRock,Anders F Johnson,Shyra Wilde,Jenna S Sands,Marcos P Monteiro,Christopher N LaRock

Frontiers in medicine 8:649279 PubMed33928106

2021

Targeting Antisense lncRNA PRKAG2-AS1, as a Therapeutic Target, Suppresses Malignant Behaviors of Hepatocellular Carcinoma Cells.

Applications

Unspecified application

Species

Unspecified reactive species

Yanjiao Ou,Yong Deng,Hong Wang,Qingyi Zhang,Huan Luo,Peng Hu
View all publications

Product promise

We are committed to supporting your work with high-quality reagents, and we're here for you every step of the way. In the unlikely event that one of our products does not perform as expected, you're protected by our Product Promise.
For full details, please see our Terms & Conditions

Please note: All products are 'FOR RESEARCH USE ONLY. NOT FOR USE IN DIAGNOSTIC OR THERAPEUTIC PROCEDURES'.

For licensing inquiries, please contact partnerships@abcam.com