JavaScript is disabled in your browser. Please enable JavaScript to view this website.
AB62469

Anti-Bid antibody

4

(2 Reviews)

|

(6 Publications)

Rabbit Polyclonal BID antibody. Suitable for WB, IHC-P, ICC/IF and reacts with Mouse samples. Cited in 6 publications. Immunogen corresponding to Synthetic Peptide within Human BID.

View Alternative Names

BH3-interacting domain death agonist, p22 BID, BID

4 Images
Western blot - Anti-Bid antibody (AB62469)
  • WB

AbReview34316****

Western blot - Anti-Bid antibody (AB62469)

All lanes:

Western blot - Anti-Bid antibody (ab62469) at 1/1000 dilution

Lane 1:

HCT116 colon cancer cell line treated with DMSO (control) at 30 µg

Lane 2:

HCT116 colon cancer cell line treated with 2 µM SAHA for 24 hrs at 30 µg

Secondary

All lanes:

Western blot - Goat Anti-Rabbit IgG H&L (HRP) (<a href='/en-us/products/secondary-antibodies/goat-rabbit-igg-h-l-hrp-ab97051'>ab97051</a>) at 1/10000 dilution

Predicted band size: 22 kDa

true

Exposure time: 10s

Courtesy of an Abreview submitted by Christian Marx

Western blot - Anti-Bid antibody (AB62469)
  • WB

Unknown

Western blot - Anti-Bid antibody (AB62469)

Lane 1:

Western blot - Anti-Bid antibody (ab62469) at 0.5 µg/mL

Lane 2:

Western blot - Anti-Bid antibody (ab62469) at 1 µg/mL

Lane 3:

Western blot - Anti-Bid antibody (ab62469) at 2 µg/mL

All lanes:

Mouse lung cell lysates at 15 µg

Secondary

All lanes:

Anti rabbit IgG secondary antibody

Predicted band size: 22 kDa

Observed band size: 28 kDa

false

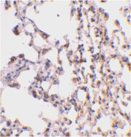
Immunohistochemistry (Formalin/PFA-fixed paraffin-embedded sections) - Anti-Bid antibody (AB62469)
  • IHC-P

Unknown

Immunohistochemistry (Formalin/PFA-fixed paraffin-embedded sections) - Anti-Bid antibody (AB62469)

Immunohistochemical staining of mouse lung tissue using ab62469 antibody at 2 µg/ml.

Immunocytochemistry/ Immunofluorescence - Anti-Bid antibody (AB62469)
  • ICC/IF

Unknown

Immunocytochemistry/ Immunofluorescence - Anti-Bid antibody (AB62469)

Immunofluorescence of Bid in Mouse Lung cells using ab62469 at 10 ug/ml.

Key facts

Host species

Rabbit

Clonality

Polyclonal

Isotype

IgG

Carrier free

No

Reacts with

Mouse

Applications

ICC/IF, WB, IHC-P

applications

Immunogen

Synthetic Peptide within Human BID. The exact immunogen used to generate this antibody is proprietary information.

P55957

Reactivity data

{ "title": "Reactivity Data", "filters": { "stats": ["", "Species", "Dilution Info", "Notes"], "tabs": { "all-applications": {"fullname" : "All Applications", "shortname": "All Applications"}, "WB" : {"fullname" : "Western blot", "shortname":"WB"}, "IHCP" : {"fullname" : "Immunohistochemistry (Formalin/PFA-fixed paraffin-embedded sections)", "shortname":"IHC-P"}, "ICCIF" : {"fullname" : "Immunocytochemistry/ Immunofluorescence", "shortname":"ICC/IF"} }, "product-promise": { "all": "all", "testedAndGuaranteed": "tested", "guaranteed": "expected", "predicted": "predicted", "notRecommended": "not-recommended" } }, "values": { "Mouse": { "WB-species-checked": "testedAndGuaranteed", "WB-species-dilution-info": "0.50000-1.00000 µg/mL", "WB-species-notes": "<p></p>", "IHCP-species-checked": "testedAndGuaranteed", "IHCP-species-dilution-info": "2 µg/mL", "IHCP-species-notes": "<p></p>", "ICCIF-species-checked": "testedAndGuaranteed", "ICCIF-species-dilution-info": "20 µg/mL", "ICCIF-species-notes": "<p></p>" } } }

Properties and storage information

Form
Liquid
Purification technique
Ion exchange chromatography
Storage buffer
pH: 7.2 Preservative: 0.02% Sodium azide Constituents: PBS
Shipped at conditions
Blue Ice
Appropriate short-term storage conditions
+4°C
Appropriate long-term storage conditions
+4°C

Supplementary information

This supplementary information is collated from multiple sources and compiled automatically.

Bid also known as BH3-interacting domain death agonist or BID protein functions as a pro-apoptotic member of the Bcl-2 protein family. This protein plays a significant role in the apoptotic process by helping to mediate the release of cytochrome c from mitochondria an important step in this cell death pathway. Bid exists in cells as an inactive uncleaved form but upon activation a caspase cleaves it into a truncated form tBID. The molecular weight of Bid is approximately 22 kDa. It is commonly expressed in numerous tissues throughout the body contributing to its various apoptotic regulatory roles.
Biological function summary

Bid induces mitochondria-mediated apoptosis that significantly affects cellular homeostasis. Bid is not considered to be part of a permanent protein complex; instead it acts as a mobile activator bridging interactions between different proteins within the apoptotic pathway. Upon activation tBID interacts with other Bcl-2 family members like Bax and Bak which leads to mitochondrial membrane permeabilization and subsequent release of cytochrome c.

Pathways

Bid significantly influences apoptotic signaling under different cellular stress conditions. It plays important functions in both intrinsic and extrinsic pathways of apoptosis. Within the intrinsic pathway Bid links the external death receptor signals to the mitochondria-mediated apoptotic pathway. In addition to interacting with Bax and Bak Bid indirectly connects to the apoptosome complex facilitating caspase activation which ultimately results in cellular apoptosis.

Bid has strong associations with conditions characterized by deregulated apoptosis such as cancer and neurodegenerative diseases. For instance downregulation or dysfunction of Bid is noted in certain cancer types contributing to the evasion of apoptosis a hallmark of cancer. Moreover in neurodegenerative diseases where excess apoptosis leads to loss of neuronal cells Bid activity has shown to connect with the regulation of apoptosis through its interactions with key apoptotic proteins such as Bcl-2 and Bax. Understanding Bid's role provides potential therapeutic targets to either promote or inhibit apoptotic processes in disease treatment.

Product protocols

For this product, it's our understanding that no specific protocols are required. You can visit:

Target data

Induces caspases and apoptosis (PubMed : 14583606). Counters the protective effect of BCL2 (By similarity).. BH3-interacting domain death agonist p15. Induces caspase activation and apoptosis (PubMed : 15661737, PubMed : 32029622). Allows the release of cytochrome c (PubMed : 32029622).. Isoform 1. Induces ICE-like proteases and apoptosis.. Isoform 2. Induces ICE-like proteases and apoptosis.. Isoform 3. Does not induce apoptosis.. Isoform 4. Induces ICE-like proteases and apoptosis.
See full target information BID

Publications (6)

Recent publications for all applications. Explore the full list and refine your search

International journal of molecular sciences 21: PubMed32784451

2020

Isoforsythiaside Attenuates Alzheimer's Disease via Regulating Mitochondrial Function Through the PI3K/AKT Pathway.

Applications

Unspecified application

Species

Unspecified reactive species

Chunyue Wang,Jie Hao,Xin Liu,Chenliang Li,Xuyang Yuan,Robert J Lee,Tian Bai,Di Wang

Aging 12:8710-8727 PubMed32434959

2020

Soy isoflavones improve the oxidative stress induced hypothalamic inflammation and apoptosis in high fat diet-induced obese male mice through PGC1-alpha pathway.

Applications

Unspecified application

Species

Unspecified reactive species

Dejiang Pang,Chengcheng Yang,Qihui Luo,Chao Li,Wentao Liu,Lixia Li,Yuanfeng Zou,Bin Feng,Zhengli Chen,Chao Huang

Journal of neuroinflammation 15:130 PubMed29720226

2018

Increased A20-E3 ubiquitin ligase interactions in bid-deficient glia attenuate TLR3- and TLR4-induced inflammation.

Applications

Unspecified application

Species

Unspecified reactive species

Sinéad Kinsella,Michael Fichtner,Orla Watters,Hans-Georg König,Jochen H M Prehn

JCI insight 2: PubMed29093262

2017

Human regulatory T cells undergo self-inflicted damage via granzyme pathways upon activation.

Applications

WB

Species

Unspecified reactive species

Esilida Sula Karreci,Siawosh K Eskandari,Farokh Dotiwala,Sujit K Routray,Ahmed T Kurdi,Jean Pierre Assaker,Pavlo Luckyanchykov,Albana B Mihali,Omar Maarouf,Thiago J Borges,Abdullah Alkhudhayri,Kruti R Patel,Amr Radwan,Irene Ghobrial,Martina McGrath,Anil Chandraker,Leonardo V Riella,Wassim Elyaman,Reza Abdi,Judy Lieberman,Jamil Azzi

Molecular cancer research : MCR 15:1733-1740 PubMed28851813

2017

The Influential Role of BCL2 Family Members in Synovial Sarcomagenesis.

Applications

Unspecified application

Species

Unspecified reactive species

Jared J Barrott,Ju-Fen Zhu,Kyllie Smith-Fry,Asia M Susko,Dakota Nollner,Lance D Burrell,Amir Pozner,Mario R Capecchi,Jeffrey T Yap,Lisa A Cannon-Albright,Xingming Deng,Kevin B Jones

eNeuro 3: PubMed27257617

2016

Bid Promotes K63-Linked Polyubiquitination of Tumor Necrosis Factor Receptor Associated Factor 6 (TRAF6) and Sensitizes to Mutant SOD1-Induced Proinflammatory Signaling in Microglia.

Applications

ICC/IF

Species

Unspecified reactive species

Sinéad Kinsella,Hans-Georg König,Jochen H M Prehn
View all publications

Product promise

We are committed to supporting your work with high-quality reagents, and we're here for you every step of the way. In the unlikely event that one of our products does not perform as expected, you're protected by our Product Promise.
For full details, please see our Terms & Conditions

Associated Products

Select an associated product type
Alternative Product
Primary Antibodies

AB201754

HRP Anti-Bid antibody [Y8]

primary-antibodies

hrp-bid-antibody-y8-ab201754

0

(0 reviews)

Alternative Product
Primary Antibodies

AB32060

Anti-Bid antibody [Y8]

primary-antibodies

bid-antibody-y8-ab32060

3

(4 reviews)

Alternative Product
Primary Antibodies

AB2388

Anti-Bid antibody

primary-antibodies

bid-antibody-ab2388

0

(0 reviews)

Please note: All products are 'FOR RESEARCH USE ONLY. NOT FOR USE IN DIAGNOSTIC OR THERAPEUTIC PROCEDURES'.

For licensing inquiries, please contact partnerships@abcam.com