JavaScript is disabled in your browser. Please enable JavaScript to view this website.
AB32060

Anti-Bid antibody [Y8]

3

(4 Reviews)

|

(29 Publications)

Rabbit Recombinant Monoclonal BID antibody. Suitable for IHC-P, ICC/IF, IP, WB, Flow Cyt (Intra) and reacts with Human samples. Cited in 29 publications.

View Alternative Names

BH3-interacting domain death agonist, p22 BID, BID

6 Images
Flow Cytometry (Intracellular) - Anti-Bid antibody [Y8] (AB32060)
  • Flow Cyt (Intra)

Lab

Flow Cytometry (Intracellular) - Anti-Bid antibody [Y8] (AB32060)

Overlay histogram showing HeLa cells stained with ab32060 (red line). The cells were fixed with 80% methanol (5 min) and then permeabilized with 0.1% PBS-Tween for 20 min. The cells were then incubated in 1x PBS / 10% normal goat serum / 0.3M glycine to block non-specific protein-protein interactions followed by the antibody (ab32060 1/100 dilution) for 30 min at 22°C. The secondary antibody used was DyLight® 488 goat anti-rabbit IgG (H+L) (ab96899) at 1/500 dilution for 30 min at 22°C. Isotype control antibody (black line) was rabbit IgG (monoclonal) (1μg/1x106 cells) used under the same conditions. Unlabelled sample (blue line). Acquisition of >5000 events were collected using a 20mW Argon ion laser (488nm) and 525/30 bandpass filter. This antibody gave a positive signal in HeLa cells fixed with 4% paraformaldehyde (10 min)/permeabilized with 0.1% PBS-Tween for 20 min used under the same conditions.

Immunohistochemistry (Formalin/PFA-fixed paraffin-embedded sections) - Anti-Bid antibody [Y8] (AB32060)
  • IHC-P

Unknown

Immunohistochemistry (Formalin/PFA-fixed paraffin-embedded sections) - Anti-Bid antibody [Y8] (AB32060)

Immunohistochemical analysis of paraffin-embedded human prostate carcinoma using ab32060 at 1/100 dilution.

Perform heat mediated antigen retrieval with citrate buffer pH 6 before commencing with IHC staining protocol.

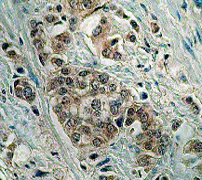
Immunocytochemistry/ Immunofluorescence - Anti-Bid antibody [Y8] (AB32060)
  • ICC/IF

Unknown

Immunocytochemistry/ Immunofluorescence - Anti-Bid antibody [Y8] (AB32060)

Immunocytochemistry analysis of MCF7 (human breast adenocarcinoma epithelial cell) labeling Bid with purified ab32060 at 1/500 dilution (10 µg/ml). Cells were fixed with 100% methanol. Goat anti rabbit IgG (Alexa Fluor® 488, ab150077) at 1/1000 (2 µg/ml) was used as the secondary antibody. ab195889 Anti-alpha Tubulin antibody [DM1A] - Microtubule Marker (Alexa Fluor® 594) 1/200 (2.5 µg/ml) was used as counterstain. Nuclei were stained blue with DAPI.
Negative control : PBS instead of the primary antibody.

Immunoprecipitation - Anti-Bid antibody [Y8] (AB32060)
  • IP

Lab

Immunoprecipitation - Anti-Bid antibody [Y8] (AB32060)

Purified ab32060 at 1/50 dilution (2μg) immunoprecipitating Bid in Jurkat whole cell lysate.
Lane 1 (input) : Jurkat (Human T cell leukemia T lymphocyte) whole cell lysate 10μg
Lane 2 (+) : ab32060 + Jurkat whole cell lysate.
Lane 3 (-) : Rabbit monoclonal IgG (ab172730) instead of ab32060 in Jurkat whole cell lysate.
VeriBlot for IP Detection Reagent (HRP) (ab131366) (1/1000 dilution) was used for Western blotting.
Blocking Buffer and concentration : 5% NFDM/TBST.
Diluting buffer and concentration : 5% NFDM/TBST.
Observed band size : 22 kDa

All lanes:

Immunoprecipitation - Anti-Bid antibody [Y8] (ab32060)

Predicted band size: 22 kDa

false

Western blot - Anti-Bid antibody [Y8] (AB32060)
  • WB

Unknown

Western blot - Anti-Bid antibody [Y8] (AB32060)

All lanes:

Western blot - Anti-Bid antibody [Y8] (ab32060) at 1/1000 dilution

All lanes:

Jurkat cell lysate

Predicted band size: 22 kDa

Observed band size: 22 kDa

false

Western blot - Anti-Bid antibody [Y8] (AB32060)
  • WB

AbReview24935****

Western blot - Anti-Bid antibody [Y8] (AB32060)

All lanes:

Western blot - Anti-Bid antibody [Y8] (ab32060) at 1/500 dilution

Lanes 1 - 2:

Whole cell lysate prepared from breast cancer clinical extract at 20 µg

Lane 3:

Whole cell lysate prepared from MCF7 cells at 20 µg

Secondary

All lanes:

Goat anti-rabbit IgG-HRP at 1/1000 dilution

Predicted band size: 22 kDa

Observed band size: 22 kDa

true

Exposure time: 25min

Image courtesy of an anonymous Abreview.

  • HRP

    HRP Anti-Bid antibody [Y8]

  • Carrier free

    Anti-Bid antibody [Y8] - BSA and Azide free

Key facts

Host species

Rabbit

Clonality

Monoclonal

Clone number

Y8

Isotype

IgG

Carrier free

No

Reacts with

Human

Applications

Flow Cyt (Intra), WB, ICC/IF, IHC-P, IP

applications

Immunogen

The exact immunogen used to generate this antibody is proprietary information.

Specificity

This antibody does not cross-react with other Bcl-2 family members.

Reactivity data

{ "title": "Reactivity Data", "filters": { "stats": ["", "Species", "Dilution Info", "Notes"], "tabs": { "all-applications": {"fullname" : "All Applications", "shortname": "All Applications"}, "IHCP" : {"fullname" : "Immunohistochemistry (Formalin/PFA-fixed paraffin-embedded sections)", "shortname":"IHC-P"}, "ICCIF" : {"fullname" : "Immunocytochemistry/ Immunofluorescence", "shortname":"ICC/IF"}, "IP" : {"fullname" : "Immunoprecipitation", "shortname":"IP"}, "WB" : {"fullname" : "Western blot", "shortname":"WB"}, "FlowCytIntra" : {"fullname" : "Flow Cytometry (Intracellular)", "shortname":"Flow Cyt (Intra)"} }, "product-promise": { "all": "all", "testedAndGuaranteed": "tested", "guaranteed": "expected", "predicted": "predicted", "notRecommended": "not-recommended" } }, "values": { "Human": { "IHCP-species-checked": "testedAndGuaranteed", "IHCP-species-dilution-info": "", "IHCP-species-notes": "<p></p> Perform heat-mediated antigen retrieval with citrate buffer pH 6 before commencing with IHC staining protocol.", "ICCIF-species-checked": "testedAndGuaranteed", "ICCIF-species-dilution-info": "1/100", "ICCIF-species-notes": "<p></p>", "IP-species-checked": "testedAndGuaranteed", "IP-species-dilution-info": "1/50", "IP-species-notes": "<p></p>", "WB-species-checked": "testedAndGuaranteed", "WB-species-dilution-info": "1/1000", "WB-species-notes": "<p></p>", "FlowCytIntra-species-checked": "testedAndGuaranteed", "FlowCytIntra-species-dilution-info": "1/50", "FlowCytIntra-species-notes": "<p><a href='/en-us/products/primary-antibodies/rabbit-igg-monoclonal-epr25a-isotype-control-ab172730'>ab172730</a> - Rabbit monoclonal IgG, is suitable for use as an isotype control with this antibody.</p>" } } }

Product details

Species reactivity
Mouse, Rat: We have preliminary internal testing data to indicate this antibody may not react with these species.
Please contact us for more information.

Patented technology
Our RabMAb® technology is a patented hybridoma-based technology for making rabbit monoclonal antibodies. For details on our patents, please refer to RabMAb® patents.

What are the advantages of a recombinant monoclonal antibody?
This product is a recombinant monoclonal antibody, which offers several advantages including:

  • - High batch-to-batch consistency and reproducibility
  • - Improved sensitivity and specificity
  • - Long-term security of supply
  • - Animal-free batch production

For more information, read more on recombinant antibodies.

Properties and storage information

Form
Liquid
Purification technique
Affinity purification Protein A
Storage buffer
pH: 7.2 - 7.4 Preservative: 0.01% Sodium azide Constituents: PBS, 50% Glycerol (glycerin, glycerine), 0.05% BSA
Shipped at conditions
Blue Ice
Appropriate short-term storage conditions
+4°C
Appropriate long-term storage conditions
-20°C
Aliquoting information
Upon delivery aliquot
Storage information
Avoid freeze / thaw cycle

Supplementary information

This supplementary information is collated from multiple sources and compiled automatically.

Bid also known as BH3-interacting domain death agonist or BID protein functions as a pro-apoptotic member of the Bcl-2 protein family. This protein plays a significant role in the apoptotic process by helping to mediate the release of cytochrome c from mitochondria an important step in this cell death pathway. Bid exists in cells as an inactive uncleaved form but upon activation a caspase cleaves it into a truncated form tBID. The molecular weight of Bid is approximately 22 kDa. It is commonly expressed in numerous tissues throughout the body contributing to its various apoptotic regulatory roles.
Biological function summary

Bid induces mitochondria-mediated apoptosis that significantly affects cellular homeostasis. Bid is not considered to be part of a permanent protein complex; instead it acts as a mobile activator bridging interactions between different proteins within the apoptotic pathway. Upon activation tBID interacts with other Bcl-2 family members like Bax and Bak which leads to mitochondrial membrane permeabilization and subsequent release of cytochrome c.

Pathways

Bid significantly influences apoptotic signaling under different cellular stress conditions. It plays important functions in both intrinsic and extrinsic pathways of apoptosis. Within the intrinsic pathway Bid links the external death receptor signals to the mitochondria-mediated apoptotic pathway. In addition to interacting with Bax and Bak Bid indirectly connects to the apoptosome complex facilitating caspase activation which ultimately results in cellular apoptosis.

Bid has strong associations with conditions characterized by deregulated apoptosis such as cancer and neurodegenerative diseases. For instance downregulation or dysfunction of Bid is noted in certain cancer types contributing to the evasion of apoptosis a hallmark of cancer. Moreover in neurodegenerative diseases where excess apoptosis leads to loss of neuronal cells Bid activity has shown to connect with the regulation of apoptosis through its interactions with key apoptotic proteins such as Bcl-2 and Bax. Understanding Bid's role provides potential therapeutic targets to either promote or inhibit apoptotic processes in disease treatment.

Product protocols

For this product, it's our understanding that no specific protocols are required. You can visit:

Target data

Induces caspases and apoptosis (PubMed : 14583606). Counters the protective effect of BCL2 (By similarity).. BH3-interacting domain death agonist p15. Induces caspase activation and apoptosis (PubMed : 15661737, PubMed : 32029622). Allows the release of cytochrome c (PubMed : 32029622).. Isoform 1. Induces ICE-like proteases and apoptosis.. Isoform 2. Induces ICE-like proteases and apoptosis.. Isoform 3. Does not induce apoptosis.. Isoform 4. Induces ICE-like proteases and apoptosis.
See full target information BID

Publications (29)

Recent publications for all applications. Explore the full list and refine your search

World journal of oncology 15:472-481 PubMed38751696

2024

Mitochondria of T Lymphocytes Promote Anti-Pulmonary Tumor Immune Response.

Applications

Unspecified application

Species

Unspecified reactive species

Minsuk Kim

BMC biology 20:123 PubMed35637473

2022

Ileum tissue single-cell mRNA sequencing elucidates the cellular architecture of pathophysiological changes associated with weaning in piglets.

Applications

Unspecified application

Species

Unspecified reactive species

Wenjie Tang,Yifan Zhong,Yusen Wei,Zhaoxi Deng,Jiangdi Mao,Jingliang Liu,Teresa G Valencak,Jianxin Liu,Heping Xu,Haifeng Wang

Frontiers in molecular biosciences 8:790804 PubMed34988121

2021

Identification of a Novel Defined Immune-Autophagy-Related Gene Signature Associated With Clinical and Prognostic Features of Kidney Renal Clear Cell Carcinoma.

Applications

Unspecified application

Species

Unspecified reactive species

Guangyuan Zhang,Lei Zhang,Si Sun,Ming Chen

Journal of cellular and molecular medicine 25:8312-8328 PubMed34363438

2021

LINC00472 suppressed by ZEB1 regulates the miR-23a-3p/FOXO3/BID axis to inhibit the progression of pancreatic cancer.

Applications

Unspecified application

Species

Unspecified reactive species

Cong Bi,Gang Wang

Molecular cancer therapeutics 20:1161-1172 PubMed33850004

2021

High-Throughput Screening Identifies Idasanutlin as a Resensitizing Drug for Venetoclax-Resistant Neuroblastoma Cells.

Applications

Unspecified application

Species

Unspecified reactive species

Lindy Vernooij,Laurel T Bate-Eya,Lindy K Alles,Jasmine Y Lee,Bianca Koopmans,Hunter C Jonus,Nil A Schubert,Linda Schild,Daphne Lelieveld,David A Egan,Mark Kerstjens,Ronald W Stam,Jan Koster,Kelly C Goldsmith,Jan J Molenaar,M Emmy M Dolman

Aging 13:11150-11169 PubMed33819182

2021

The neuroprotection of deproteinized calf blood extractives injection against Alzheimer's disease via regulation of Nrf-2 signaling.

Applications

Unspecified application

Species

Unspecified reactive species

Yidi Qu,Wenqi Wang,Tianrui Chen,Yumin Yang,Yizhi Zhang,Di Wang

Oncology letters 21:305 PubMed33732381

2021

Effects of targeted silencing on the biological processes of the T24 and 5637 cells .

Applications

Unspecified application

Species

Unspecified reactive species

Kewen Zheng,Xiaomin Han,Yan Su,Qinghai Wang,Qiang Ma,Kesi Zheng

Aging 12:6240-6259 PubMed32276266

2020

Inhibition of esophageal-carcinoma cell proliferation by genistein via suppression of JAK1/2-STAT3 and AKT/MDM2/p53 signaling pathways.

Applications

Unspecified application

Species

Unspecified reactive species

Jing Gao,Rongmu Xia,Jianbo Chen,Jing Gao,Xianyang Luo,Chunlin Ke,Caihong Ren,Jiayi Li,Yanjun Mi

eLife 8: PubMed31294695

2019

The CUL5 ubiquitin ligase complex mediates resistance to CDK9 and MCL1 inhibitors in lung cancer cells.

Applications

Unspecified application

Species

Unspecified reactive species

Shaheen Kabir,Justin Cidado,Courtney Andersen,Cortni Dick,Pei-Chun Lin,Therese Mitros,Hong Ma,Seung Hyun Baik,Matthew A Belmonte,Lisa Drew,Jacob E Corn

Journal of cellular physiology 234:20879-20887 PubMed31001861

2019

Nimotuzuma restrains proliferation and induces apoptosis in human osteosarcoma cells by regulation of EGFR/PI3K/AKT signal pathway.

Applications

Unspecified application

Species

Unspecified reactive species

Meihan Liu,Jingzhe Zhang,Hang Dong,Wenjun Wang
View all publications

Product promise

We are committed to supporting your work with high-quality reagents, and we're here for you every step of the way. In the unlikely event that one of our products does not perform as expected, you're protected by our Product Promise.
For full details, please see our Terms & Conditions

Please note: All products are 'FOR RESEARCH USE ONLY. NOT FOR USE IN DIAGNOSTIC OR THERAPEUTIC PROCEDURES'.

For licensing inquiries, please contact partnerships@abcam.com