JavaScript is disabled in your browser. Please enable JavaScript to view this website.
AB264131

Anti-BID (phospho S78) antibody

Be the first to review this product! Submit a review

|

(0 Publication)

Rabbit Polyclonal BID phospho S78 antibody. Suitable for IP, WB and reacts with Mouse samples. Immunogen corresponding to Synthetic Peptide within Mouse BH3-interacting domain death agonist phospho S78.

View Alternative Names

BH3-interacting domain death agonist, p22 BID, BID, Bid

2 Images
Immunoprecipitation - Anti-BID (phospho S78) antibody (AB264131)
  • IP

Supplier Data

Immunoprecipitation - Anti-BID (phospho S78) antibody (AB264131)

Whole cell lysate (1 mg for IP, 20% of IP loaded) from NIH/3T3 cells treated with 100 μM etoposide for 3 hours (+) or mock treated (-) cells. ab264131 was used for WB at 1 μg/ml. An alternative Rabbit anti-BID antibody was used for IP for BID and phospho-BID.

All lanes:

Immunoprecipitation - Anti-BID (phospho S78) antibody (ab264131)

Predicted band size: 22 kDa

false

Exposure time: 3min

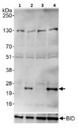
Western blot - Anti-BID (phospho S78) antibody (AB264131)
  • WB

Supplier Data

Western blot - Anti-BID (phospho S78) antibody (AB264131)

4-20% SDS-PAGE.

All lanes:

Western blot - Anti-BID (phospho S78) antibody (ab264131) at 1 µg/mL

Lane 1:

NIH/3T3 whole cell lysate untreated at 50 µg

Lane 2:

NIH/3T3 whole cell lysate treated with Etoposide (100 μM , 3 hrs) at 50 µg

Lane 3:

NIH/3T3 whole cell lysate untreated at 80 µg

Lane 4:

NIH/3T3 whole cell lysate treated with Etoposide (100 μM , 3 hrs) at 80 µg

Predicted band size: 22 kDa

false

Exposure time: 3min

Key facts

Host species

Rabbit

Clonality

Polyclonal

Isotype

IgG

Carrier free

No

Reacts with

Mouse

Applications

IP, WB

applications

Immunogen

Synthetic Peptide within Mouse BH3-interacting domain death agonist phospho S78. The exact immunogen used to generate this antibody is proprietary information.

P70444

Reactivity data

{ "title": "Reactivity Data", "filters": { "stats": ["", "Species", "Dilution Info", "Notes"], "tabs": { "all-applications": {"fullname" : "All Applications", "shortname": "All Applications"}, "IP" : {"fullname" : "Immunoprecipitation", "shortname":"IP"}, "WB" : {"fullname" : "Western blot", "shortname":"WB"} }, "product-promise": { "all": "all", "testedAndGuaranteed": "tested", "guaranteed": "expected", "predicted": "predicted", "notRecommended": "not-recommended" } }, "values": { "Mouse": { "IP-species-checked": "testedAndGuaranteed", "IP-species-dilution-info": "1 µg/mL", "IP-species-notes": "<p></p>", "WB-species-checked": "testedAndGuaranteed", "WB-species-dilution-info": "1/250 - 1/1000", "WB-species-notes": "<p></p>" } } }

Properties and storage information

Form
Liquid
Purification technique
Affinity purification Immunogen
Storage buffer
pH: 7 - 8 Preservative: 0.09% Sodium azide Constituents: Tris citrate/phosphate
Shipped at conditions
Blue Ice
Appropriate short-term storage duration
1-2 weeks
Appropriate short-term storage conditions
+4°C
Appropriate long-term storage conditions
-20°C
Aliquoting information
Upon delivery aliquot
Storage information
Avoid freeze / thaw cycle

Product protocols

For this product, it's our understanding that no specific protocols are required. You can visit:

Target data

Induces caspases and apoptosis. Counters the protective effect of BCL2.. BH3-interacting domain death agonist p15. Induces caspase activation and apoptosis (By similarity). Allows the release of cytochrome c (PubMed : 9873064).
See full target information BH3-interacting domain death agonist phospho S78

Product promise

We are committed to supporting your work with high-quality reagents, and we're here for you every step of the way. In the unlikely event that one of our products does not perform as expected, you're protected by our Product Promise.
For full details, please see our Terms & Conditions

Please note: All products are 'FOR RESEARCH USE ONLY. NOT FOR USE IN DIAGNOSTIC OR THERAPEUTIC PROCEDURES'.

For licensing inquiries, please contact partnerships@abcam.com