JavaScript is disabled in your browser. Please enable JavaScript to view this website.
AB72061

Anti-BIG1 antibody

4

(1 Review)

|

(2 Publications)

Rabbit Polyclonal BIG1 antibody. Suitable for WB, IP, IHC-P and reacts with Mouse, Human samples. Cited in 2 publications. Immunogen corresponding to Synthetic Peptide within Human ARFGEF1.

View Alternative Names

ARFGEP1, BIG1, ARFGEF1, Brefeldin A-inhibited guanine nucleotide-exchange protein 1, Brefeldin A-inhibited GEP 1, ADP-ribosylation factor guanine nucleotide-exchange factor 1, p200 ARF guanine nucleotide exchange factor, p200 ARF-GEP1

3 Images
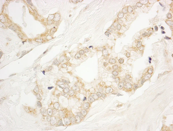
Immunohistochemistry (Formalin/PFA-fixed paraffin-embedded sections) - Anti-BIG1 antibody (AB72061)
  • IHC-P

Unknown

Immunohistochemistry (Formalin/PFA-fixed paraffin-embedded sections) - Anti-BIG1 antibody (AB72061)

Immunohistochemistry (Formalin/PFA-fixed paraffin-embedded sections) analysis of human prostate carcinoma tissue labelling BIG1 with ab72061 at 1/1000 (1µg/ml). Detection : DAB.

Immunoprecipitation - Anti-BIG1 antibody (AB72061)
  • IP

Unknown

Immunoprecipitation - Anti-BIG1 antibody (AB72061)

Detection of Human BIG1 by Immunoprecipitation in 1mg whole cell lysate from HeLa cells, using ab72061 at 3 µg/mg lysate (lane 1) or a control rabbit IgG (lane 2). Subsequent Western blot detection was performed using ab72061 at 1 µg/ml on 20% of the imunoprecipitate.

All lanes:

Immunoprecipitation - Anti-BIG1 antibody (ab72061)

Predicted band size: 209 kDa

false

Western blot - Anti-BIG1 antibody (AB72061)
  • WB

Unknown

Western blot - Anti-BIG1 antibody (AB72061)

All lanes:

Western blot - Anti-BIG1 antibody (ab72061) at 0.1 µg/mL

Lane 1:

Whole cell lysate from HeLa cells at 50 µg

Lane 2:

Whole cell lysate from HeLa cells at 15 µg

Lane 3:

Whole cell lysate from HeLa cells at 5 µg

Lane 4:

Whole cell lysate from 293T cells at 50 µg

Lane 5:

Whole cell lysate from NIH 3T3 cells at 50 µg

Predicted band size: 209 kDa

Observed band size: 250 kDa,31 kDa,41 kDa

true

Exposure time: 3min

Key facts

Host species

Rabbit

Clonality

Polyclonal

Isotype

IgG

Carrier free

No

Reacts with

Mouse, Human

Applications

IHC-P, WB, IP

applications

Immunogen

Synthetic Peptide within Human ARFGEF1. The exact immunogen used to generate this antibody is proprietary information.

Q9Y6D6

Reactivity data

{ "title": "Reactivity Data", "filters": { "stats": ["", "Species", "Dilution Info", "Notes"], "tabs": { "all-applications": {"fullname" : "All Applications", "shortname": "All Applications"}, "WB" : {"fullname" : "Western blot", "shortname":"WB"}, "IP" : {"fullname" : "Immunoprecipitation", "shortname":"IP"}, "IHCP" : {"fullname" : "Immunohistochemistry (Formalin/PFA-fixed paraffin-embedded sections)", "shortname":"IHC-P"} }, "product-promise": { "all": "all", "testedAndGuaranteed": "tested", "guaranteed": "expected", "predicted": "predicted", "notRecommended": "not-recommended" } }, "values": { "Human": { "WB-species-checked": "testedAndGuaranteed", "WB-species-dilution-info": "1/1000 - 1/10000", "WB-species-notes": "<p></p>", "IP-species-checked": "testedAndGuaranteed", "IP-species-dilution-info": "2-5 µg/mg of lysate", "IP-species-notes": "<p></p>", "IHCP-species-checked": "testedAndGuaranteed", "IHCP-species-dilution-info": "1/500 - 1/2000", "IHCP-species-notes": "<p></p>" }, "Mouse": { "WB-species-checked": "testedAndGuaranteed", "WB-species-dilution-info": "1/1000 - 1/10000", "WB-species-notes": "<p></p>", "IP-species-checked": "guaranteed", "IP-species-dilution-info": "", "IP-species-notes": "", "IHCP-species-checked": "guaranteed", "IHCP-species-dilution-info": "", "IHCP-species-notes": "" }, "Rat": { "WB-species-checked": "predicted", "WB-species-dilution-info": "", "WB-species-notes": "", "IP-species-checked": "predicted", "IP-species-dilution-info": "", "IP-species-notes": "", "IHCP-species-checked": "predicted", "IHCP-species-dilution-info": "", "IHCP-species-notes": "" }, "Chimpanzee": { "WB-species-checked": "predicted", "WB-species-dilution-info": "", "WB-species-notes": "", "IP-species-checked": "predicted", "IP-species-dilution-info": "", "IP-species-notes": "", "IHCP-species-checked": "predicted", "IHCP-species-dilution-info": "", "IHCP-species-notes": "" }, "Chinese hamster": { "WB-species-checked": "predicted", "WB-species-dilution-info": "", "WB-species-notes": "", "IP-species-checked": "predicted", "IP-species-dilution-info": "", "IP-species-notes": "", "IHCP-species-checked": "predicted", "IHCP-species-dilution-info": "", "IHCP-species-notes": "" }, "Cow": { "WB-species-checked": "predicted", "WB-species-dilution-info": "", "WB-species-notes": "", "IP-species-checked": "predicted", "IP-species-dilution-info": "", "IP-species-notes": "", "IHCP-species-checked": "predicted", "IHCP-species-dilution-info": "", "IHCP-species-notes": "" }, "Dog": { "WB-species-checked": "predicted", "WB-species-dilution-info": "", "WB-species-notes": "", "IP-species-checked": "predicted", "IP-species-dilution-info": "", "IP-species-notes": "", "IHCP-species-checked": "predicted", "IHCP-species-dilution-info": "", "IHCP-species-notes": "" }, "Gorilla": { "WB-species-checked": "predicted", "WB-species-dilution-info": "", "WB-species-notes": "", "IP-species-checked": "predicted", "IP-species-dilution-info": "", "IP-species-notes": "", "IHCP-species-checked": "predicted", "IHCP-species-dilution-info": "", "IHCP-species-notes": "" }, "Orangutan": { "WB-species-checked": "predicted", "WB-species-dilution-info": "", "WB-species-notes": "", "IP-species-checked": "predicted", "IP-species-dilution-info": "", "IP-species-notes": "", "IHCP-species-checked": "predicted", "IHCP-species-dilution-info": "", "IHCP-species-notes": "" }, "Pig": { "WB-species-checked": "predicted", "WB-species-dilution-info": "", "WB-species-notes": "", "IP-species-checked": "predicted", "IP-species-dilution-info": "", "IP-species-notes": "", "IHCP-species-checked": "predicted", "IHCP-species-dilution-info": "", "IHCP-species-notes": "" }, "Rhesus monkey": { "WB-species-checked": "predicted", "WB-species-dilution-info": "", "WB-species-notes": "", "IP-species-checked": "predicted", "IP-species-dilution-info": "", "IP-species-notes": "", "IHCP-species-checked": "predicted", "IHCP-species-dilution-info": "", "IHCP-species-notes": "" } } }

Properties and storage information

Form
Liquid
Purification technique
Affinity purification Immunogen
Storage buffer
pH: 7 - 8 Preservative: 0.09% Sodium azide Constituents: PBS, 1.815% Tris, 1.764% Sodium citrate
Shipped at conditions
Blue Ice
Appropriate short-term storage conditions
+4°C
Appropriate long-term storage conditions
-20°C
Aliquoting information
Upon delivery aliquot
Storage information
Avoid freeze / thaw cycle

Product protocols

For this product, it's our understanding that no specific protocols are required. You can visit:

Target data

Promotes guanine-nucleotide exchange on ARF1 and ARF3. Promotes the activation of ARF1/ARF3 through replacement of GDP with GTP. Involved in vesicular trafficking. Required for the maintenance of Golgi structure; the function may be independent of its GEF activity. Required for the maturation of integrin beta-1 in the Golgi. Involved in the establishment and persistence of cell polarity during directed cell movement in wound healing. Proposed to act as A kinase-anchoring protein (AKAP) and may mediate crosstalk between Arf and PKA pathways. Inhibits GAP activity of MYO9B probably through competitive RhoA binding. The function in the nucleus remains to be determined.
See full target information ARFGEF1

Publications (2)

Recent publications for all applications. Explore the full list and refine your search

Nature communications 16:8190 PubMed40897722

2025

SOX2 drives esophageal squamous carcinoma by reprogramming lipid metabolism and histone acetylation landscape.

Applications

Unspecified application

Species

Unspecified reactive species

Zhen Wang,Ruofei Dai,Li Kang,Huan Yang,Zhaosu Chen,Jianzhong He,Lei Shu,Yiting Zhong,Yunfeng Zhang,Zhengyi Hua,Yuanyong Huang,Yuhan Jiang,Jiwen Li,Liyan Xu,Fei Lan,Shu-Hai Lin,Jiemin Wong

Molecular cancer research : MCR 20:607-621 PubMed34992146

2022

MIRO2 Regulates Prostate Cancer Cell Growth via GCN1-Dependent Stress Signaling.

Applications

Unspecified application

Species

Unspecified reactive species

Madison Furnish,Dillon P Boulton,Victoria Genther,Denisa Grofova,Mitchell Lee Ellinwood,Lina Romero,M Scott Lucia,Scott D Cramer,M Cecilia Caino
View all publications

Product promise

We are committed to supporting your work with high-quality reagents, and we're here for you every step of the way. In the unlikely event that one of our products does not perform as expected, you're protected by our Product Promise.
For full details, please see our Terms & Conditions

Please note: All products are 'FOR RESEARCH USE ONLY. NOT FOR USE IN DIAGNOSTIC OR THERAPEUTIC PROCEDURES'.

For licensing inquiries, please contact partnerships@abcam.com