JavaScript is disabled in your browser. Please enable JavaScript to view this website.
AB250707

Anti-BIG1 antibody [EPR10046(2)] - BSA and Azide free

Be the first to review this product! Submit a review

|

(1 Publication)

Rabbit Recombinant Monoclonal BIG1 antibody. Carrier free. Suitable for ICC/IF, WB, IHC-P and reacts with Human samples. Cited in 1 publication.

View Alternative Names

ARFGEP1, BIG1, ARFGEF1, Brefeldin A-inhibited guanine nucleotide-exchange protein 1, Brefeldin A-inhibited GEP 1, ADP-ribosylation factor guanine nucleotide-exchange factor 1, p200 ARF guanine nucleotide exchange factor, p200 ARF-GEP1

4 Images
Immunocytochemistry/ Immunofluorescence - Anti-BIG1 antibody [EPR10046(2)] - BSA and Azide free (AB250707)
  • ICC/IF

Supplier Data

Immunocytochemistry/ Immunofluorescence - Anti-BIG1 antibody [EPR10046(2)] - BSA and Azide free (AB250707)

This data was developed using ab183747, the same antibody clone in a different buffer formulation.

Immunofluorescent analysis of 4% paraformaldehyde-fixed A431 cells labeling BIG1 with ab183747 at 1/100 dilution followed by Goat anti rabbit IgG (Alexa Fluor®488) secondary antibody at 1/200 dilution. Counter stained with Dapi (blue).

Immunocytochemistry/ Immunofluorescence - Anti-BIG1 antibody [EPR10046(2)] - BSA and Azide free (AB250707)
  • ICC/IF

Supplier Data

Immunocytochemistry/ Immunofluorescence - Anti-BIG1 antibody [EPR10046(2)] - BSA and Azide free (AB250707)

This data was developed using ab183747, the same antibody clone in a different buffer formulation.

Immunofluorescent analysis of 4% paraformaldehyde-fixed 293T cells labeling BIG1 with ab183747 at 1/100 dilution followed by Goat anti rabbit IgG (Alexa Fluor®488) secondary antibody at 1/200 dilution. Counter stained with Dapi (blue).

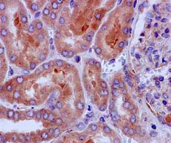
Immunohistochemistry (Formalin/PFA-fixed paraffin-embedded sections) - Anti-BIG1 antibody [EPR10046(2)] - BSA and Azide free (AB250707)
  • IHC-P

Supplier Data

Immunohistochemistry (Formalin/PFA-fixed paraffin-embedded sections) - Anti-BIG1 antibody [EPR10046(2)] - BSA and Azide free (AB250707)

This data was developed using ab183747, the same antibody clone in a different buffer formulation.

Immunohistochemical analysis of paraffin-embedded Human kidney tissue labeling BIG1 with ab183747 at 1/100 dilution followed by prediluted HRP Polymer for Rabbit IgG. Counter stained with hematoxylin.

Perform heat mediated antigen retrieval with EDTA buffer pH 9 before commencing with IHC staining protocol.

Western blot - Anti-BIG1 antibody [EPR10046(2)] - BSA and Azide free (AB250707)
  • WB

Supplier Data

Western blot - Anti-BIG1 antibody [EPR10046(2)] - BSA and Azide free (AB250707)

This data was developed using ab183747, the same antibody clone in a different buffer formulation.

All lanes:

Western blot - Anti-BIG1 antibody [EPR10046(2)] (<a href='/en-us/products/primary-antibodies/big1-antibody-epr100462-ab183747'>ab183747</a>) at 1/1000 dilution

Lane 1:

Jurkat cell lysate at 20 µg

Lane 2:

293T cell lysate at 20 µg

Lane 3:

A431 cell lysate at 20 µg

Secondary

All lanes:

Goat Anti-Rabbit IgG, (H+L), Peroxidase conjugated at 1/1000 dilution

Predicted band size: 209 kDa

Observed band size: 250 kDa

false

Key facts

Host species

Rabbit

Clonality

Monoclonal

Clone number

EPR10046(2)

Isotype

IgG

Carrier free

Yes

Reacts with

Human

Applications

IHC-P, ICC/IF, WB

applications

Immunogen

The exact immunogen used to generate this antibody is proprietary information.

Reactivity data

{ "title": "Reactivity Data", "filters": { "stats": ["", "Species", "Dilution Info", "Notes"], "tabs": { "all-applications": {"fullname" : "All Applications", "shortname": "All Applications"}, "ICCIF" : {"fullname" : "Immunocytochemistry/ Immunofluorescence", "shortname":"ICC/IF"}, "WB" : {"fullname" : "Western blot", "shortname":"WB"}, "IHCP" : {"fullname" : "Immunohistochemistry (Formalin/PFA-fixed paraffin-embedded sections)", "shortname":"IHC-P"} }, "product-promise": { "all": "all", "testedAndGuaranteed": "tested", "guaranteed": "expected", "predicted": "predicted", "notRecommended": "not-recommended" } }, "values": { "Human": { "ICCIF-species-checked": "testedAndGuaranteed", "ICCIF-species-dilution-info": "", "ICCIF-species-notes": "<p></p> Perform heat-mediated antigen retrieval with Tris/EDTA buffer pH 9.0 before commencing with IHC staining protocol.", "WB-species-checked": "testedAndGuaranteed", "WB-species-dilution-info": "", "WB-species-notes": "<p></p>", "IHCP-species-checked": "testedAndGuaranteed", "IHCP-species-dilution-info": "", "IHCP-species-notes": "<p></p> Perform heat-mediated antigen retrieval with Tris/EDTA buffer pH 9.0 before commencing with IHC staining protocol." }, "Mouse": { "ICCIF-species-checked": "predicted", "ICCIF-species-dilution-info": "", "ICCIF-species-notes": "", "WB-species-checked": "predicted", "WB-species-dilution-info": "", "WB-species-notes": "", "IHCP-species-checked": "predicted", "IHCP-species-dilution-info": "", "IHCP-species-notes": "" }, "Rat": { "ICCIF-species-checked": "predicted", "ICCIF-species-dilution-info": "", "ICCIF-species-notes": "", "WB-species-checked": "predicted", "WB-species-dilution-info": "", "WB-species-notes": "", "IHCP-species-checked": "predicted", "IHCP-species-dilution-info": "", "IHCP-species-notes": "" } } }

Product details

ab250707 is the carrier-free version of ab183747.

Patented technology
Our RabMAb® technology is a patented hybridoma-based technology for making rabbit monoclonal antibodies. For details on our patents, please refer to RabMAb® patents.

What are the advantages of a recombinant monoclonal antibody?
This product is a recombinant monoclonal antibody, which offers several advantages including:

  • - High batch-to-batch consistency and reproducibility
  • - Improved sensitivity and specificity
  • - Long-term security of supply
  • - Animal-free batch production

For more information, read more on recombinant antibodies.

Conjugation ready
Our carrier-free antibodies are typically supplied in a PBS-only formulation, purified and free of BSA, sodium azide and glycerol. This conjugation-ready format is designed for use with fluorochromes, metal isotopes, oligonucleotides, and enzymes, which makes them ideal for antibody labelling, functional and cell-based assays, flow-based assays (e.g. mass cytometry) and Multiplex Imaging applications.

Use our conjugation kits for antibody conjugates that are ready-to-use in as little as 20 minutes with 1 minute hands-on-time and 100% antibody recovery: available for fluorescent dyes, HRP, biotin and gold.

Compatibility
This product is compatible with the Maxpar® Antibody Labeling Kit from Fluidigm, without the need for antibody preparation. Maxpar® is a trademark of Fluidigm Canada Inc.

Properties and storage information

Form
Liquid
Purification technique
Affinity purification Protein A
Storage buffer
pH: 7.2 - 7.4 Constituents: PBS
Shipped at conditions
Blue Ice
Appropriate short-term storage conditions
+4°C
Appropriate long-term storage conditions
+4°C
Storage information
Do Not Freeze

Product protocols

For this product, it's our understanding that no specific protocols are required. You can visit:

Target data

Promotes guanine-nucleotide exchange on ARF1 and ARF3. Promotes the activation of ARF1/ARF3 through replacement of GDP with GTP. Involved in vesicular trafficking. Required for the maintenance of Golgi structure; the function may be independent of its GEF activity. Required for the maturation of integrin beta-1 in the Golgi. Involved in the establishment and persistence of cell polarity during directed cell movement in wound healing. Proposed to act as A kinase-anchoring protein (AKAP) and may mediate crosstalk between Arf and PKA pathways. Inhibits GAP activity of MYO9B probably through competitive RhoA binding. The function in the nucleus remains to be determined.
See full target information ARFGEF1

Publications (1)

Recent publications for all applications. Explore the full list and refine your search

JCI insight 5: PubMed31094704

2019

Protective role of B cells in sterile particulate-induced lung injury.

Applications

Unspecified application

Species

Unspecified reactive species

Shaikh M Atif,Douglas G Mack,Amy S McKee,Javier Rangel-Moreno,Allison K Martin,Andrew Getahun,Lisa A Maier,John C Cambier,Rubin Tuder,Andrew P Fontenot
View all publications

Product promise

We are committed to supporting your work with high-quality reagents, and we're here for you every step of the way. In the unlikely event that one of our products does not perform as expected, you're protected by our Product Promise.
For full details, please see our Terms & Conditions

Please note: All products are 'FOR RESEARCH USE ONLY. NOT FOR USE IN DIAGNOSTIC OR THERAPEUTIC PROCEDURES'.

For licensing inquiries, please contact partnerships@abcam.com