JavaScript is disabled in your browser. Please enable JavaScript to view this website.
AB209234

Anti-Biglycan antibody [EPR20235]

5

(1 Review)

|

(7 Publications)

Rabbit Recombinant Monoclonal Biglycan antibody. Suitable for IHC-P and reacts with Human samples. Cited in 7 publications.

View Alternative Names

SLRR1A, BGN, Biglycan, Bone/cartilage proteoglycan I, PG-S1

4 Images
Immunohistochemistry (Formalin/PFA-fixed paraffin-embedded sections) - Anti-Biglycan antibody [EPR20235] (AB209234)
  • IHC-P

Supplier Data

Immunohistochemistry (Formalin/PFA-fixed paraffin-embedded sections) - Anti-Biglycan antibody [EPR20235] (AB209234)

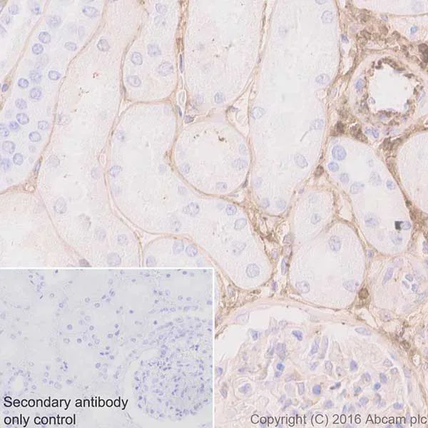
Immunohistochemical analysis of paraffin-embedded human kidney tissue labeling Biglycan with ab209234 at 1/2000 dilution followed by Goat Anti-Rabbit IgG H&L (HRP) (ab97051) at 1/500 dilution. Positive staining on basement membrane and blood vessel of human kidney is observed [PMID : 11012890]. Counter stained with Hematoxylin.

Secondary antibody only control : Used PBS instead of primary antibody secondary antibody is Goat Anti-Rabbit IgG H&L (HRP) (ab97051) at 1/500 dilution.

Perform heat mediated antigen retrieval with Tris/EDTA buffer pH 9.0 before commencing with IHC staining protocol.

Immunohistochemistry (Formalin/PFA-fixed paraffin-embedded sections) - Anti-Biglycan antibody [EPR20235] (AB209234)
  • IHC-P

Supplier Data

Immunohistochemistry (Formalin/PFA-fixed paraffin-embedded sections) - Anti-Biglycan antibody [EPR20235] (AB209234)

Immunohistochemical analysis of paraffin-embedded human testis tissue labeling Biglycan with ab209234 at 1/2000 dilution followed by Goat Anti-Rabbit IgG H&L (HRP) (ab97051) at 1/500 dilution. Specific extracellular matrix staining on peritubular myoid cells and leydig cells of human testis is observed [PMID : 7626709]. Counter stained with Hematoxylin.

Secondary antibody only control : Used PBS instead of primary antibody secondary antibody is Goat Anti-Rabbit IgG H&L (HRP) (ab97051) at 1/500 dilution.

Perform heat mediated antigen retrieval with Tris/EDTA buffer pH 9.0 before commencing with IHC staining protocol.

Immunohistochemistry (Formalin/PFA-fixed paraffin-embedded sections) - Anti-Biglycan antibody [EPR20235] (AB209234)
  • IHC-P

Supplier Data

Immunohistochemistry (Formalin/PFA-fixed paraffin-embedded sections) - Anti-Biglycan antibody [EPR20235] (AB209234)

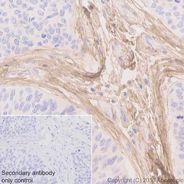
Immunohistochemical analysis of paraffin-embedded human thyroid cancer tissue labeling Biglycan with ab209234 at 1/2000 dilution followed by Goat Anti-Rabbit IgG H&L (HRP) (ab97051) at 1/500 dilution. Positive staining on stromal cells of human thyroid cancer is observed. Counter stained with Hematoxylin.

Secondary antibody only control : Used PBS instead of primary antibody secondary antibody is Goat Anti-Rabbit IgG H&L (HRP) (ab97051) at 1/500 dilution.

Perform heat mediated antigen retrieval with Tris/EDTA buffer pH 9.0 before commencing with IHC staining protocol.

Immunohistochemistry (Formalin/PFA-fixed paraffin-embedded sections) - Anti-Biglycan antibody [EPR20235] (AB209234)
  • IHC-P

Supplier Data

Immunohistochemistry (Formalin/PFA-fixed paraffin-embedded sections) - Anti-Biglycan antibody [EPR20235] (AB209234)

Immunohistochemical analysis of paraffin-embedded human bladder cancer tissue labeling Biglycan with ab209234 at 1/2000 dilution followed by Goat Anti-Rabbit IgG H&L (HRP) (ab97051) at 1/500 dilution. Positive staining on stromal cells of human bladder cancer is observed. Counter stained with Hematoxylin.

Secondary antibody only control : Used PBS instead of primary antibody secondary antibody is Goat Anti-Rabbit IgG H&L (HRP) (ab97051) at 1/500 dilution.

Perform heat mediated antigen retrieval with Tris/EDTA buffer pH 9.0 before commencing with IHC staining protocol.

  • Carrier free

    Anti-Biglycan antibody [EPR20235] - BSA and Azide free

Key facts

Host species

Rabbit

Clonality

Monoclonal

Clone number

EPR20235

Isotype

IgG

Carrier free

No

Reacts with

Human

Applications

IHC-P

applications

Immunogen

The exact immunogen used to generate this antibody is proprietary information.

Reactivity data

{ "title": "Reactivity Data", "filters": { "stats": ["", "Species", "Dilution Info", "Notes"], "tabs": { "all-applications": {"fullname" : "All Applications", "shortname": "All Applications"}, "IHCP" : {"fullname" : "Immunohistochemistry (Formalin/PFA-fixed paraffin-embedded sections)", "shortname":"IHC-P"} }, "product-promise": { "all": "all", "testedAndGuaranteed": "tested", "guaranteed": "expected", "predicted": "predicted", "notRecommended": "not-recommended" } }, "values": { "Human": { "IHCP-species-checked": "testedAndGuaranteed", "IHCP-species-dilution-info": "1/2000", "IHCP-species-notes": "<p></p>" } } }

Product details

Patented technology
Our RabMAb® technology is a patented hybridoma-based technology for making rabbit monoclonal antibodies. For details on our patents, please refer to RabMAb® patents.

What are the advantages of a recombinant monoclonal antibody?
This product is a recombinant monoclonal antibody, which offers several advantages including:

  • - High batch-to-batch consistency and reproducibility
  • - Improved sensitivity and specificity
  • - Long-term security of supply
  • - Animal-free batch production

For more information, read more on recombinant antibodies.

Properties and storage information

Form
Liquid
Purification technique
Affinity purification Protein A
Storage buffer
pH: 7.2 - 7.4 Preservative: 0.01% Sodium azide Constituents: PBS, 40% Glycerol (glycerin, glycerine), 0.05% BSA
Shipped at conditions
Blue Ice
Appropriate short-term storage duration
1-2 weeks
Appropriate short-term storage conditions
+4°C
Appropriate long-term storage conditions
-20°C
Aliquoting information
Upon delivery aliquot
Storage information
Avoid freeze / thaw cycle

Supplementary information

This supplementary information is collated from multiple sources and compiled automatically.

Biglycan also known as BGN is a small leucine-rich proteoglycan with a molecular weight of roughly 38 kDa. Researchers frequently observe Biglycan in tissues such as bone cartilage and vasculature. The protein interacts with several other molecules in the extracellular matrix (ECM) including collagen and elastin to maintain the structural integrity of tissues. Through these interactions Biglycan plays an important role in supporting cell attachment and matrix organization.
Biological function summary

The protein Biglycan influences cellular processes such as growth and differentiation. It is part of a complex network within the ECM that modulates cell signaling. Biglycan interacts with growth factors like transforming growth factor-beta (TGF-beta) and binds to Toll-like receptors (TLRs) affecting immune responses. These capabilities reveal Biglycan’s involvement in tissue development and repair.

Pathways

Extracellular matrix modulation shows a significant role for Biglycan. It is involved in the TGF-beta signaling pathway and the inflammatory pathway mediated by TLRs. Through these pathways Biglycan interacts with proteins such as decorin and fibromodulin contributing to the regulation of collagen fibrillogenesis and inflammatory responses. Its role in these pathways highlights Biglycan’s influence in cellular communication and matrix regulation.

Biglycan has associations with osteoarthritis and muscular dystrophy. In osteoarthritis researchers observe altered expression levels of Biglycan which affects cartilage integrity. In muscular dystrophy the protein’s connection to dystrophin an important structural protein is noted. These associations illustrate Biglycan's impact on disease progression and its potential as a therapeutic target.

Product protocols

For this product, it's our understanding that no specific protocols are required. You can visit:

Target data

May be involved in collagen fiber assembly.
See full target information BGN

Publications (7)

Recent publications for all applications. Explore the full list and refine your search

Cells 13: PubMed39768140

2025

Stem Cell-Associated Proteins and Extracellular Matrix Composition of the Human Atrioventricular Junction.

Applications

Unspecified application

Species

Unspecified reactive species

Annika Thorsell,Linnéa Sjölin,Evelin Berger,Anders Jeppsson,Anders Oldfors,Victoria Rotter Sopasakis,Kristina Vukusic

Medicine 102:e34611 PubMed37565899

2023

Single-cell and bulk RNA sequencing reveal cancer-associated fibroblast heterogeneity and a prognostic signature in prostate cancer.

Applications

Unspecified application

Species

Unspecified reactive species

Wen Liu,Miaomiao Wang,Miao Wang,Ming Liu

Liver international : official journal of the International Association for the Study of the Liver 43:500-512 PubMed36371672

2022

Biglycan promotes hepatic fibrosis through activating heat shock protein 47.

Applications

Unspecified application

Species

Unspecified reactive species

Mengli Yu,Xinjue He,Xin Song,Jianguo Gao,Jiaqi Pan,Tianyu Zhou,Qinqiu Wang,Wei Zhu,Huijian Ma,Hang Zeng,Chengfu Xu,Chaohui Yu

Computational and mathematical methods in medicine 2022:2656480 PubMed36110576

2022

Expression and the Prognostic Value of Biglycan in Gastric Cancer.

Applications

Unspecified application

Species

Unspecified reactive species

Sizhe Hu,Peipei Li,Chenying Wang,Xiyong Liu

Frontiers in immunology 13:837991 PubMed35359973

2022

A Metabolism-Related Gene Landscape Predicts Prostate Cancer Recurrence and Treatment Response.

Applications

Unspecified application

Species

Unspecified reactive species

Lijie Zhou,Ruixin Fan,Yongbo Luo,Cai Zhang,Donghui Jia,Rongli Wang,Youmiao Zeng,Mengda Ren,Kaixuan Du,Wenbang Pan,Jinjian Yang,Fengyan Tian,Chaohui Gu

Frontiers in genetics 13:765569 PubMed35154268

2022

BGN May be a Potential Prognostic Biomarker and Associated With Immune Cell Enrichment of Gastric Cancer.

Applications

Unspecified application

Species

Unspecified reactive species

Shiyu Zhang,Huiying Yang,Xuelian Xiang,Li Liu,Huali Huang,Guodu Tang

Cancer management and research 13:8929-8951 PubMed34876855

2021

Bioinformatics Analysis of Hub Genes and Potential Therapeutic Agents Associated with Gastric Cancer.

Applications

Unspecified application

Species

Unspecified reactive species

Shiyu Zhang,Xuelian Xiang,Li Liu,Huiying Yang,Dongliang Cen,Guodu Tang
View all publications

Product promise

We are committed to supporting your work with high-quality reagents, and we're here for you every step of the way. In the unlikely event that one of our products does not perform as expected, you're protected by our Product Promise.
For full details, please see our Terms & Conditions

Please note: All products are 'FOR RESEARCH USE ONLY. NOT FOR USE IN DIAGNOSTIC OR THERAPEUTIC PROCEDURES'.

For licensing inquiries, please contact partnerships@abcam.com