JavaScript is disabled in your browser. Please enable JavaScript to view this website.
AB251501

Anti-Biglycan antibody [EPR20235] - BSA and Azide free

Be the first to review this product! Submit a review

|

(2 Publications)

Rabbit Recombinant Monoclonal Biglycan antibody. Carrier free. Suitable for IHC-P and reacts with Human samples. Cited in 2 publications.

View Alternative Names

SLRR1A, BGN, Biglycan, Bone/cartilage proteoglycan I, PG-S1

4 Images
Immunohistochemistry (Formalin/PFA-fixed paraffin-embedded sections) - Anti-Biglycan antibody [EPR20235] - BSA and Azide free (AB251501)
  • IHC-P

Supplier Data

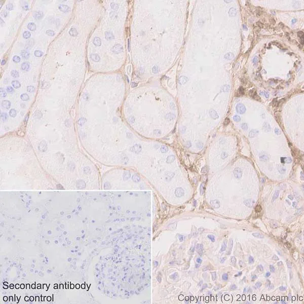
Immunohistochemistry (Formalin/PFA-fixed paraffin-embedded sections) - Anti-Biglycan antibody [EPR20235] - BSA and Azide free (AB251501)

This data was developed using ab209234, the same antibody clone in a different buffer formulation.

Immunohistochemical analysis of paraffin-embedded human kidney tissue labeling Biglycan with ab209234 at 1/2000 dilution, followed by Goat Anti-Rabbit IgG H&L (HRP) (ab97051) at 1/500 dilution. Positive staining on basement membrane and blood vessel of human kidney is observed [PMID : 11012890]. Counter stained with Hematoxylin.

Secondary antibody only control : Used PBS instead of primary antibody, secondary antibody is Goat Anti-Rabbit IgG H&L (HRP) (ab97051) at 1/500 dilution.

Perform heat mediated antigen retrieval with Tris/EDTA buffer pH 9.0 before commencing with IHC staining protocol.

Immunohistochemistry (Formalin/PFA-fixed paraffin-embedded sections) - Anti-Biglycan antibody [EPR20235] - BSA and Azide free (AB251501)
  • IHC-P

Supplier Data

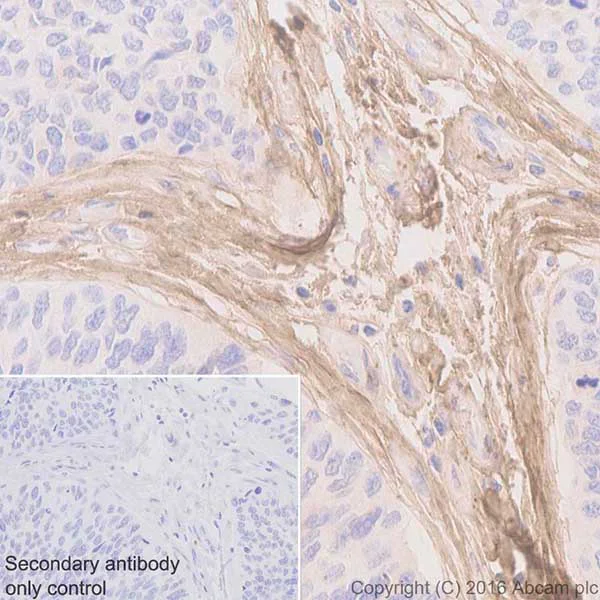
Immunohistochemistry (Formalin/PFA-fixed paraffin-embedded sections) - Anti-Biglycan antibody [EPR20235] - BSA and Azide free (AB251501)

This data was developed using ab209234, the same antibody clone in a different buffer formulation.

Immunohistochemical analysis of paraffin-embedded human testis tissue labeling Biglycan with ab209234 at 1/2000 dilution, followed by Goat Anti-Rabbit IgG H&L (HRP) (ab97051) at 1/500 dilution. Specific extracellular matrix staining on peritubular myoid cells and leydig cells of human testis is observed [PMID : 7626709]. Counter stained with Hematoxylin.

Secondary antibody only control : Used PBS instead of primary antibody, secondary antibody is Goat Anti-Rabbit IgG H&L (HRP) (ab97051) at 1/500 dilution.

Perform heat mediated antigen retrieval with Tris/EDTA buffer pH 9.0 before commencing with IHC staining protocol.

Immunohistochemistry (Formalin/PFA-fixed paraffin-embedded sections) - Anti-Biglycan antibody [EPR20235] - BSA and Azide free (AB251501)
  • IHC-P

Supplier Data

Immunohistochemistry (Formalin/PFA-fixed paraffin-embedded sections) - Anti-Biglycan antibody [EPR20235] - BSA and Azide free (AB251501)

This data was developed using ab209234, the same antibody clone in a different buffer formulation.

Immunohistochemical analysis of paraffin-embedded human thyroid cancer tissue labeling Biglycan with ab209234 at 1/2000 dilution, followed by Goat Anti-Rabbit IgG H&L (HRP) (ab97051) at 1/500 dilution. Positive staining on stromal cells of human thyroid cancer is observed. Counter stained with Hematoxylin.

Secondary antibody only control : Used PBS instead of primary antibody, secondary antibody is Goat Anti-Rabbit IgG H&L (HRP) (ab97051) at 1/500 dilution.

Perform heat mediated antigen retrieval with Tris/EDTA buffer pH 9.0 before commencing with IHC staining protocol.

Immunohistochemistry (Formalin/PFA-fixed paraffin-embedded sections) - Anti-Biglycan antibody [EPR20235] - BSA and Azide free (AB251501)
  • IHC-P

Supplier Data

Immunohistochemistry (Formalin/PFA-fixed paraffin-embedded sections) - Anti-Biglycan antibody [EPR20235] - BSA and Azide free (AB251501)

This data was developed using ab209234, the same antibody clone in a different buffer formulation.

Immunohistochemical analysis of paraffin-embedded human bladder cancer tissue labeling Biglycan with ab209234 at 1/2000 dilution, followed by Goat Anti-Rabbit IgG H&L (HRP) (ab97051) at 1/500 dilution. Positive staining on stromal cells of human bladder cancer is observed. Counter stained with Hematoxylin.

Secondary antibody only control : Used PBS instead of primary antibody, secondary antibody is Goat Anti-Rabbit IgG H&L (HRP) (ab97051) at 1/500 dilution.

Perform heat mediated antigen retrieval with Tris/EDTA buffer pH 9.0 before commencing with IHC staining protocol.

Key facts

Host species

Rabbit

Clonality

Monoclonal

Clone number

EPR20235

Isotype

IgG

Carrier free

Yes

Reacts with

Human

Applications

IHC-P

applications

Immunogen

The exact immunogen used to generate this antibody is proprietary information.

Reactivity data

{ "title": "Reactivity Data", "filters": { "stats": ["", "Species", "Dilution Info", "Notes"], "tabs": { "all-applications": {"fullname" : "All Applications", "shortname": "All Applications"}, "IHCP" : {"fullname" : "Immunohistochemistry (Formalin/PFA-fixed paraffin-embedded sections)", "shortname":"IHC-P"} }, "product-promise": { "all": "all", "testedAndGuaranteed": "tested", "guaranteed": "expected", "predicted": "predicted", "notRecommended": "not-recommended" } }, "values": { "Human": { "IHCP-species-checked": "testedAndGuaranteed", "IHCP-species-dilution-info": "", "IHCP-species-notes": "<p></p>" } } }

Product details

ab251501 is the carrier-free version of ab209234.

Patented technology
Our RabMAb® technology is a patented hybridoma-based technology for making rabbit monoclonal antibodies. For details on our patents, please refer to RabMAb® patents.

What are the advantages of a recombinant monoclonal antibody?
This product is a recombinant monoclonal antibody, which offers several advantages including:

  • - High batch-to-batch consistency and reproducibility
  • - Improved sensitivity and specificity
  • - Long-term security of supply
  • - Animal-free batch production

For more information, read more on recombinant antibodies.

Conjugation ready
Our carrier-free antibodies are typically supplied in a PBS-only formulation, purified and free of BSA, sodium azide and glycerol. This conjugation-ready format is designed for use with fluorochromes, metal isotopes, oligonucleotides, and enzymes, which makes them ideal for antibody labelling, functional and cell-based assays, flow-based assays (e.g. mass cytometry) and Multiplex Imaging applications.

Use our conjugation kits for antibody conjugates that are ready-to-use in as little as 20 minutes with 1 minute hands-on-time and 100% antibody recovery: available for fluorescent dyes, HRP, biotin and gold.

Compatibility
This product is compatible with the Maxpar® Antibody Labeling Kit from Fluidigm, without the need for antibody preparation. Maxpar® is a trademark of Fluidigm Canada Inc.

Properties and storage information

Form
Liquid
Purification technique
Affinity purification Protein A
Storage buffer
pH: 7.2 - 7.4 Constituents: PBS
Shipped at conditions
Blue Ice
Appropriate short-term storage conditions
+4°C
Appropriate long-term storage conditions
+4°C
Storage information
Do Not Freeze

Supplementary information

This supplementary information is collated from multiple sources and compiled automatically.

Biglycan also known as BGN is a small leucine-rich proteoglycan with a molecular weight of roughly 38 kDa. Researchers frequently observe Biglycan in tissues such as bone cartilage and vasculature. The protein interacts with several other molecules in the extracellular matrix (ECM) including collagen and elastin to maintain the structural integrity of tissues. Through these interactions Biglycan plays an important role in supporting cell attachment and matrix organization.
Biological function summary

The protein Biglycan influences cellular processes such as growth and differentiation. It is part of a complex network within the ECM that modulates cell signaling. Biglycan interacts with growth factors like transforming growth factor-beta (TGF-beta) and binds to Toll-like receptors (TLRs) affecting immune responses. These capabilities reveal Biglycan’s involvement in tissue development and repair.

Pathways

Extracellular matrix modulation shows a significant role for Biglycan. It is involved in the TGF-beta signaling pathway and the inflammatory pathway mediated by TLRs. Through these pathways Biglycan interacts with proteins such as decorin and fibromodulin contributing to the regulation of collagen fibrillogenesis and inflammatory responses. Its role in these pathways highlights Biglycan’s influence in cellular communication and matrix regulation.

Biglycan has associations with osteoarthritis and muscular dystrophy. In osteoarthritis researchers observe altered expression levels of Biglycan which affects cartilage integrity. In muscular dystrophy the protein’s connection to dystrophin an important structural protein is noted. These associations illustrate Biglycan's impact on disease progression and its potential as a therapeutic target.

Product protocols

For this product, it's our understanding that no specific protocols are required. You can visit:

Target data

May be involved in collagen fiber assembly.
See full target information BGN

Publications (2)

Recent publications for all applications. Explore the full list and refine your search

Nature protocols 16:3802-3835 PubMed34215862

2021

CODEX multiplexed tissue imaging with DNA-conjugated antibodies.

Applications

mIHC

Species

Human

Sarah Black,Darci Phillips,John W Hickey,Julia Kennedy-Darling,Vishal G Venkataraaman,Nikolay Samusik,Yury Goltsev,Christian M Schürch,Garry P Nolan

Oncology letters 18:545-552 PubMed31289526

2019

Lymphoepithelioma-like gastric carcinoma treated with partial gastrectomy: Two case reports.

Applications

Unspecified application

Species

Unspecified reactive species

Huihua Cao,Jun Xie,Yongxiang Qian,Yugang Wu,Zhaoqing Tang
View all publications

Product promise

We are committed to supporting your work with high-quality reagents, and we're here for you every step of the way. In the unlikely event that one of our products does not perform as expected, you're protected by our Product Promise.
For full details, please see our Terms & Conditions

Please note: All products are 'FOR RESEARCH USE ONLY. NOT FOR USE IN DIAGNOSTIC OR THERAPEUTIC PROCEDURES'.

For licensing inquiries, please contact partnerships@abcam.com