JavaScript is disabled in your browser. Please enable JavaScript to view this website.
AB52182

Anti-Bik antibody

5

(3 Reviews)

|

(12 Publications)

Rabbit Polyclonal BIK antibody. Suitable for WB, IHC-P, ICC/IF and reacts with Human samples. Cited in 12 publications. Immunogen corresponding to Synthetic Peptide within Human BIK.

View Alternative Names

NBK, BIK, Bcl-2-interacting killer, Apoptosis inducer NBK, BIP1, BP4

4 Images
Immunocytochemistry/ Immunofluorescence - Anti-Bik antibody (AB52182)
  • ICC/IF

Unknown

Immunocytochemistry/ Immunofluorescence - Anti-Bik antibody (AB52182)

ICC/IF image of ab52182 stained HeLa cells. The cells were 4% PFA fixed (10 min) and then incubated in 1%BSA / 10% normal goat serum / 0.3M glycine in 0.1% PBS-Tween for 1h to permeabilise the cells and block non-specific protein-protein interactions. The cells were then incubated with the antibody (ab52182, 1µg/ml) overnight at +4°C. The secondary antibody (green) was Alexa Fluor® 488 goat anti-rabbit IgG (H+L) used at a 1/1000 dilution for 1h. Alexa Fluor® 594 WGA was used to label plasma membranes (red) at a 1/200 dilution for 1h. DAPI was used to stain the cell nuclei (blue) at a concentration of 1.43µM.

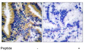
Immunohistochemistry (Formalin/PFA-fixed paraffin-embedded sections) - Anti-Bik antibody (AB52182)
  • IHC-P

Unknown

Immunohistochemistry (Formalin/PFA-fixed paraffin-embedded sections) - Anti-Bik antibody (AB52182)

ab52182 at 1/50 dilution staining Human breast carcinoma tissue, with and without blocking peptide; paraffin embedded.

Immunocytochemistry/ Immunofluorescence - Anti-Bik antibody (AB52182)
  • ICC/IF

AbReview22856****

Immunocytochemistry/ Immunofluorescence - Anti-Bik antibody (AB52182)

ab52182 staining Bik in human Jurkat cells by Immunocytochemistry/ Immunofluorescence. The cells were fixed in paraformaldehyde, permeabilised in 0.5% Triton X and then blocked using 3% serum for 3 hours at 23°C. Samples were then incubated with primary antibody at 1/100 for 16 hours at 23°C. The secondary antibody used was a goat anti-rabbit IgG conjugated to Alexa Fluor® 647 (pink) used at a 1/1000 dilution.

Image courtesy of an anonymous Abreview.

Western blot - Anti-Bik antibody (AB52182)
  • WB

Unknown

Western blot - Anti-Bik antibody (AB52182)

All lanes:

Western blot - Anti-Bik antibody (ab52182) at 1/500 dilution

Lane 1:

extracts from A549 cells, treatedwith DMSO (0.1%, 10mins)

Lane 2:

extracts from A549 cells, treatedwith DMSO (0.1%, 10mins) with blocking peptide

Predicted band size: 18 kDa

Observed band size: 30 kDa

false

Key facts

Host species

Rabbit

Clonality

Polyclonal

Isotype

IgG

Carrier free

No

Reacts with

Human

Applications

IHC-P, WB, ICC/IF

applications

Immunogen

Synthetic Peptide within Human BIK. The exact immunogen used to generate this antibody is proprietary information.

Q13323

Reactivity data

{ "title": "Reactivity Data", "filters": { "stats": ["", "Species", "Dilution Info", "Notes"], "tabs": { "all-applications": {"fullname" : "All Applications", "shortname": "All Applications"}, "WB" : {"fullname" : "Western blot", "shortname":"WB"}, "IHCP" : {"fullname" : "Immunohistochemistry (Formalin/PFA-fixed paraffin-embedded sections)", "shortname":"IHC-P"}, "ICCIF" : {"fullname" : "Immunocytochemistry/ Immunofluorescence", "shortname":"ICC/IF"} }, "product-promise": { "all": "all", "testedAndGuaranteed": "tested", "guaranteed": "expected", "predicted": "predicted", "notRecommended": "not-recommended" } }, "values": { "Human": { "WB-species-checked": "testedAndGuaranteed", "WB-species-dilution-info": "1/500 - 1/1000", "WB-species-notes": "<p></p>", "IHCP-species-checked": "testedAndGuaranteed", "IHCP-species-dilution-info": "", "IHCP-species-notes": "<p></p>", "ICCIF-species-checked": "testedAndGuaranteed", "ICCIF-species-dilution-info": "1-5 µg/mL", "ICCIF-species-notes": "<p></p>" } } }

Properties and storage information

Form
Liquid
Purification technique
Affinity purification Immunogen
Storage buffer
pH: 7.4 Preservative: 0.02% Sodium azide Constituents: PBS, 50% Glycerol (glycerin, glycerine), 0.87% Sodium chloride
Shipped at conditions
Blue Ice
Appropriate short-term storage conditions
+4°C
Appropriate long-term storage conditions
-20°C
Aliquoting information
Upon delivery aliquot
Storage information
Avoid freeze / thaw cycle

Supplementary information

This supplementary information is collated from multiple sources and compiled automatically.

Bik also known as Bcl-2-interacting killer is a pro-apoptotic member of the Bcl-2 family proteins. It is a small protein with a molecular mass of around 13 kDa. Bik expression occurs mainly in epithelial tissues but can also be found in endothelial cells. As a member of the Bcl-2 family Bik functions by interacting with anti-apoptotic proteins in the same family leading to the promotion of apoptosis through mitochondrial outer membrane permeabilization.
Biological function summary

Within cellular apoptotic pathways Bik acts as a regulator of programmed cell death. It becomes part of a greater complex involved in mitochondrial signaling to initiate apoptosis. Once it binds to anti-apoptotic proteins Bik releases cytochrome c from the mitochondria triggering caspase activation. This liberation results in the execution of the apoptotic process fundamental to many cellular systems including development and immune response.

Pathways

Bik plays a critical role in the intrinsic (mitochondrial) apoptotic pathway. Bik displays connections with several important anti-apoptotic proteins such as Bcl-2 and Bcl-xL. Through its function Bik is engaged in the regulation of cell survival and death impacting processes like tissue homeostasis and response to cellular stress. Other proteins such as Bax and Bak also align with Bik's pathway by promoting apoptosis once liberated from inhibition.

Bik has implications in cancer and neurodegenerative disorders. Its dysregulation can result in the avoidance of apoptosis leading to tumor development particularly in cancers like breast and colorectal cancer. Additionally in neurodegenerative diseases improper Bik activity can contribute to cell death. Bik influences these conditions through interactions with proteins like Bcl-2 which inhibit apoptosis highlighting the importance of Bik in therapeutic strategies that aim to restore apoptosis in disease contexts.

Product protocols

For this product, it's our understanding that no specific protocols are required. You can visit:

Target data

Accelerates programmed cell death. Association to the apoptosis repressors Bcl-X(L), BHRF1, Bcl-2 or its adenovirus homolog E1B 19k protein suppresses this death-promoting activity. Does not interact with BAX.
See full target information BIK

Publications (12)

Recent publications for all applications. Explore the full list and refine your search

Frontiers in pharmacology 16:1559546 PubMed40115255

2025

Targeting glycolysis in esophageal squamous cell carcinoma: single-cell and multi-omics insights for risk stratification and personalized therapy.

Applications

Unspecified application

Species

Unspecified reactive species

Yan Wang,Yunjie Shi,Xiao Hu,Chenfang Wang

Cancers 15: PubMed37173935

2023

Combination of Everolimus and Bortezomib Inhibits the Growth and Metastasis of Bone and Soft Tissue Sarcomas via JNK/p38/ERK MAPK and AKT Pathways.

Applications

Unspecified application

Species

Unspecified reactive species

Koichi Nakamura,Kunihiro Asanuma,Takayuki Okamoto,Takahiro Iino,Tomohito Hagi,Tomoki Nakamura,Akihiro Sudo

American journal of cancer research 12:2641-2658 PubMed35812039

2022

Increased FOXA1 levels induce apoptosis and inhibit proliferation in FOXA1-low expressing basal breast cancer cells.

Applications

Unspecified application

Species

Unspecified reactive species

Ke Xia,Wenqiang Huang,Xiaoyun Zhao,Xiaoqin Huang,Yan Chen,Li Yu,Yongjun Tan

Journal of Cancer 12:1826-1837 PubMed33613771

2021

Overexpression of removes the transrepression of proapoptotic genes mediated by the CtBP1-p300-FOXO3a complex and increases the chemosensitivity in osteosarcoma cells.

Applications

Unspecified application

Species

Unspecified reactive species

Ning Duan,Wentao Zhang,Zhong Li,Liang Sun,Tao Song,Zirui Yu,Xun Chen,Wei Ma

eLife 8: PubMed31294695

2019

The CUL5 ubiquitin ligase complex mediates resistance to CDK9 and MCL1 inhibitors in lung cancer cells.

Applications

Unspecified application

Species

Unspecified reactive species

Shaheen Kabir,Justin Cidado,Courtney Andersen,Cortni Dick,Pei-Chun Lin,Therese Mitros,Hong Ma,Seung Hyun Baik,Matthew A Belmonte,Lisa Drew,Jacob E Corn

Molecular therapy. Nucleic acids 17:405-413 PubMed31310946

2019

Gene Amplification-Driven Long Noncoding RNA SNHG17 Regulates Cell Proliferation and Migration in Human Non-Small-Cell Lung Cancer.

Applications

Unspecified application

Species

Unspecified reactive species

Tianwei Xu,Shuai Yan,Lihua Jiang,Shanxun Yu,Tianyao Lei,Daolu Yang,Binbin Lu,Chenchen Wei,Erbao Zhang,Zhaoxia Wang

Cell communication and signaling : CCS 16:53 PubMed30176890

2018

KLF4, a miR-32-5p targeted gene, promotes cisplatin-induced apoptosis by upregulating BIK expression in prostate cancer.

Applications

Unspecified application

Species

Unspecified reactive species

Lu Zhang,Xiaojie Li,Yulin Chao,Ruiping He,Junqiang Liu,Yi Yuan,Wenzhi Zhao,Chuanchun Han,Xishuang Song

International journal of molecular sciences 16:26914-26 PubMed26569226

2015

Silencing of Kv1.5 Gene Inhibits Proliferation and Induces Apoptosis of Osteosarcoma Cells.

Applications

WB

Species

Human

Jin Wu,Zhida Chen,Qingjun Liu,Wenrong Zeng,Xinyu Wu,Bin Lin

Journal of applied toxicology : JAT 35:1262-70 PubMed26059411

2015

Bik subcellular localization in response to oxidative stress induced by chemotherapy, in Two different breast cancer cell lines and a Non-tumorigenic epithelial cell line.

Applications

Unspecified application

Species

Unspecified reactive species

Aglaé Trejo-Vargas,Elisa Hernández-Mercado,Rosa María Ordóñez-Razo,Roberto Lazzarini,Diego Julio Arenas-Aranda,María Concepción Gutiérrez-Ruiz,Mina Königsberg,Armando Luna-López

Journal of molecular cell biology 7:568-79 PubMed25966904

2015

Synergistic control of sex hormones by 17β-HSD type 7: a novel target for estrogen-dependent breast cancer.

Applications

Unspecified application

Species

Unspecified reactive species

Xiaoqiang Wang,Catherine Gérard,Jean-François Thériault,Donald Poirier,Charles J Doillon,Sheng-Xiang Lin
View all publications

Product promise

We are committed to supporting your work with high-quality reagents, and we're here for you every step of the way. In the unlikely event that one of our products does not perform as expected, you're protected by our Product Promise.
For full details, please see our Terms & Conditions

Please note: All products are 'FOR RESEARCH USE ONLY. NOT FOR USE IN DIAGNOSTIC OR THERAPEUTIC PROCEDURES'.

For licensing inquiries, please contact partnerships@abcam.com