JavaScript is disabled in your browser. Please enable JavaScript to view this website.
AB273661

Anti-Bile Acid Receptor NR1H4 antibody [OTI4F12] - BSA and Azide free

Be the first to review this product! Submit a review

|

(0 Publication)

Mouse Monoclonal Bile Acid Receptor NR1H4 antibody. Carrier free. Suitable for WB, IHC-P and reacts with Human samples. Immunogen corresponding to Recombinant Fragment Protein within Human NR1H4 aa 1-300.

View Alternative Names

BAR, FXR, HRR1, RIP14, NR1H4, Bile acid receptor, Farnesoid X-activated receptor, Farnesol receptor HRR-1, Nuclear receptor subfamily 1 group H member 4, Retinoid X receptor-interacting protein 14, RXR-interacting protein 14

2 Images
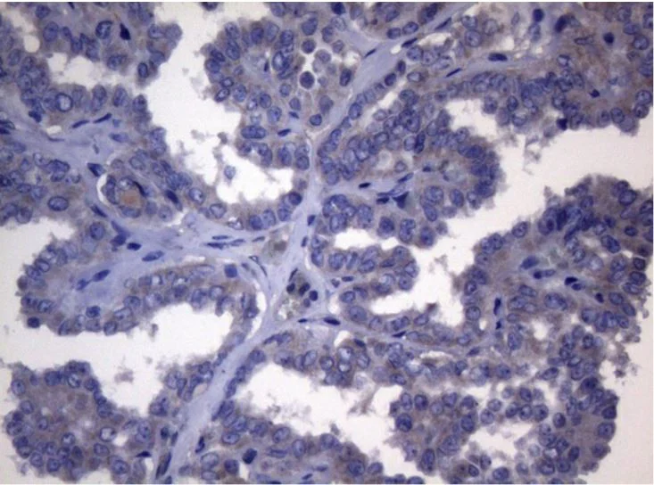
Immunohistochemistry (Formalin/PFA-fixed paraffin-embedded sections) - Anti-Bile Acid Receptor NR1H4 antibody [OTI4F12] - BSA and Azide free (AB273661)
  • IHC-P

Supplier Data

Immunohistochemistry (Formalin/PFA-fixed paraffin-embedded sections) - Anti-Bile Acid Receptor NR1H4 antibody [OTI4F12] - BSA and Azide free (AB273661)

Immunohistochemical analysis of paraffin-embedded human thyroid carcinoma tissue staining Bile Acid Receptor NR1H4 using ab273661 at 1/150 dilution.

This data was developed using the same antibody clone in a different buffer formulation containing PBS, pH 7.3, 8% trehalose.

Western blot - Anti-Bile Acid Receptor NR1H4 antibody [OTI4F12] - BSA and Azide free (AB273661)
  • WB

Supplier Data

Western blot - Anti-Bile Acid Receptor NR1H4 antibody [OTI4F12] - BSA and Azide free (AB273661)

This data was developed using the same antibody clone in a different buffer formulation containing PBS, pH 7.3, 8% trehalose.

All lanes:

Western blot - Anti-Bile Acid Receptor NR1H4 antibody [OTI4F12] - BSA and Azide free (ab273661) at 1/2000 dilution

Lane 1:

pCMV6-ENTRY control-transfected HEK-293T (human epithelial cell line from embryonic kidney transformed with large T antigen) whole cell lysate at 5 µg

Lane 2:

pCMV6-ENTRY Bile Acid Receptor NR1H4-transfected HEK-293T whole cell lysate at 5 µg

Predicted band size: 56 kDa

false

Key facts

Host species

Mouse

Clonality

Monoclonal

Clone number

OTI4F12

Isotype

IgG1

Carrier free

Yes

Reacts with

Human

Applications

IHC-P, WB

applications

Immunogen

Recombinant Fragment Protein within Human NR1H4 aa 1-300. The exact immunogen used to generate this antibody is proprietary information.

Q96RI1

Reactivity data

{ "title": "Reactivity Data", "filters": { "stats": ["", "Species", "Dilution Info", "Notes"], "tabs": { "all-applications": {"fullname" : "All Applications", "shortname": "All Applications"}, "WB" : {"fullname" : "Western blot", "shortname":"WB"}, "IHCP" : {"fullname" : "Immunohistochemistry (Formalin/PFA-fixed paraffin-embedded sections)", "shortname":"IHC-P"} }, "product-promise": { "all": "all", "testedAndGuaranteed": "tested", "guaranteed": "expected", "predicted": "predicted", "notRecommended": "not-recommended" } }, "values": { "Human": { "WB-species-checked": "testedAndGuaranteed", "WB-species-dilution-info": "1/2000", "WB-species-notes": "<p></p>", "IHCP-species-checked": "testedAndGuaranteed", "IHCP-species-dilution-info": "1/150", "IHCP-species-notes": "<p>Heat-induced epitope retrieval by 1mM EDTA in 10mM Tris buffer (pH8.5) at 120°C for 3minutes.</p>" } } }

Properties and storage information

Form
Liquid
Purification technique
Affinity purification Protein A/G
Purification notes
Purified from tissue culture supernatant
Storage buffer
pH: 7.3 Constituents: PBS
Shipped at conditions
Blue Ice
Appropriate short-term storage duration
1-2 weeks
Appropriate short-term storage conditions
+4°C
Appropriate long-term storage conditions
-20°C
Aliquoting information
Upon delivery aliquot
Storage information
Avoid freeze / thaw cycle

Supplementary information

This supplementary information is collated from multiple sources and compiled automatically.

Bile Acid Receptor NR1H4 also known as Farnesoid X Receptor (FXR) is a nuclear receptor with a mass of approximately 57 kDa. It functions as a transcription factor regulating the expression of genes involved in bile acid lipid and glucose homeostasis. NR1H4 is expressed mainly in the liver intestines kidneys and adrenal glands where it plays a critical role in maintaining metabolic balance. By binding bile acids NR1H4 activates allowing it to bind to DNA and modulate gene expression.
Biological function summary

NR1H4 influences the body's metabolism by controlling genes responsible for bile acid synthesis conjugation and transport. It forms a heterodimer with Retinoid X Receptor (RXR) to regulate these processes. As an important regulator NR1H4 controls the enterohepatic circulation of bile acids reducing toxicity by lowering hepatic bile acid production. Additionally it influences lipid and glucose metabolism linking it to broader metabolic functions.

Pathways

NR1H4 is involved in the bile acid signaling and lipid metabolism pathways. Within the bile acid signaling pathway NR1H4 modulates the interaction with various proteins such as Small Heterodimer Partner (SHP) to suppress bile acid synthesis. In the context of lipid metabolism NR1H4 interacts with Liver X Receptor (LXR) to regulate cholesterol and triglyceride levels. These interactions demonstrate NR1H4's integral role in maintaining lipid homeostasis.

NR1H4 bears relevance to cholestatic liver disease and nonalcoholic fatty liver disease (NAFLD). In cholestatic liver disease impaired NR1H4 function leads to abnormal bile acid regulation contributing to liver damage. In NAFLD altered NR1H4 activity affects lipid metabolism promoting liver steatosis. Through these diseases NR1H4 shares connections with the CYP7A1 protein critical for bile acid synthesis and the Peroxisome Proliferator-Activated Receptor Alpha (PPARα) involved in lipid oxidation.

Product protocols

For this product, it's our understanding that no specific protocols are required. You can visit:

Target data

Ligand-activated transcription factor. Receptor for bile acids (BAs) such as chenodeoxycholic acid (CDCA), lithocholic acid, deoxycholic acid (DCA) and allocholic acid (ACA). Plays a essential role in BA homeostasis through the regulation of genes involved in BA synthesis, conjugation and enterohepatic circulation. Also regulates lipid and glucose homeostasis and is involved innate immune response (PubMed : 10334992, PubMed : 10334993, PubMed : 21383957, PubMed : 22820415). The FXR-RXR heterodimer binds predominantly to farnesoid X receptor response elements (FXREs) containing two inverted repeats of the consensus sequence 5'-AGGTCA-3' in which the monomers are spaced by 1 nucleotide (IR-1) but also to tandem repeat DR1 sites with lower affinity, and can be activated by either FXR or RXR-specific ligands. It is proposed that monomeric nuclear receptors such as NR5A2/LRH-1 bound to coregulatory nuclear responsive element (NRE) halfsites located in close proximity to FXREs modulate transcriptional activity (By similarity). In the liver activates transcription of the corepressor NR0B2 thereby indirectly inhibiting CYP7A1 and CYP8B1 (involved in BA synthesis) implicating at least in part histone demethylase KDM1A resulting in epigenomic repression, and SLC10A1/NTCP (involved in hepatic uptake of conjugated BAs). Activates transcription of the repressor MAFG (involved in regulation of BA synthesis) (By similarity). Activates transcription of SLC27A5/BACS and BAAT (involved in BA conjugation), ABCB11/BSEP (involved in bile salt export) by directly recruiting histone methyltransferase CARM1, and ABCC2/MRP2 (involved in secretion of conjugated BAs) and ABCB4 (involved in secretion of phosphatidylcholine in the small intestine) (PubMed : 12754200, PubMed : 15471871, PubMed : 17895379). Activates transcription of SLC27A5/BACS and BAAT (involved in BA conjugation), ABCB11/BSEP (involved in bile salt export) by directly recruiting histone methyltransferase CARM1, and ABCC2/MRP2 (involved in secretion of conjugated BAs) and ABCB4 (involved in secretion of phosphatidylcholine in the small intestine) (PubMed : 10514450, PubMed : 15239098, PubMed : 16269519). In the intestine activates FGF19 expression and secretion leading to hepatic CYP7A1 repression (PubMed : 12815072, PubMed : 19085950). The function also involves the coordinated induction of hepatic KLB/beta-klotho expression (By similarity). Regulates transcription of liver UGT2B4 and SULT2A1 involved in BA detoxification; binding to the UGT2B4 promoter seems to imply a monomeric transactivation independent of RXRA (PubMed : 12806625, PubMed : 16946559). Modulates lipid homeostasis by activating liver NR0B2/SHP-mediated repression of SREBF1 (involved in de novo lipogenesis), expression of PLTP (involved in HDL formation), SCARB1 (involved in HDL hepatic uptake), APOE, APOC1, APOC4, PPARA (involved in beta-oxidation of fatty acids), VLDLR and SDC1 (involved in the hepatic uptake of LDL and IDL remnants), and inhibiting expression of MTTP (involved in VLDL assembly (PubMed : 12554753, PubMed : 12660231, PubMed : 15337761). Increases expression of APOC2 (promoting lipoprotein lipase activity implicated in triglyceride clearance) (PubMed : 11579204). Transrepresses APOA1 involving a monomeric competition with NR2A1 for binding to a DR1 element (PubMed : 11927623, PubMed : 21804189). Also reduces triglyceride clearance by inhibiting expression of ANGPTL3 and APOC3 (both involved in inhibition of lipoprotein lipase) (PubMed : 12891557). Involved in glucose homeostasis by modulating hepatic gluconeogenesis through activation of NR0B2/SHP-mediated repression of respective genes. Modulates glycogen synthesis (inducing phosphorylation of glycogen synthase kinase-3) (By similarity). Modulates glucose-stimulated insulin secretion and is involved in insulin resistance (PubMed : 20447400). Involved in intestinal innate immunity. Plays a role in protecting the distal small intestine against bacterial overgrowth and preservation of the epithelial barrier (By similarity). Down-regulates inflammatory cytokine expression in several types of immune cells including macrophages and mononuclear cells (PubMed : 21242261). Mediates trans-repression of TLR4-induced cytokine expression; the function seems to require its sumoylation and prevents N-CoR nuclear receptor corepressor clearance from target genes such as IL1B and NOS2 (PubMed : 19864602). Involved in the TLR9-mediated protective mechanism in intestinal inflammation. Plays an anti-inflammatory role in liver inflammation; proposed to inhibit pro-inflammatory (but not antiapoptotic) NF-kappa-B signaling) (By similarity).. Isoform 1. Promotes transcriptional activation of target genes NR0B2/SHP (inducible by unconjugated CDCA), SLC51B/OSTB (inducible by unconjugated CDCA and DCA) and FABP6/IBAP; low activity for ABCB11/BSEP (inducible by unconjugated CDCA, DCA and ACA); not inducible by taurine- and glycine-amidated CDCA.. Isoform 2. Promotes transcriptional activation of target genes ABCB11/BSEP (inducible by unconjugated CDCA, DCA and ACA), NR0B2/SHP (inducible by unconjugated CDCA DCA and ACA), SLC51B/OSTB (inducible by unconjugated CDCA and DCA) and FABP6/IBAP; not inducible by taurine- and glycine-amidated CDCA.. Isoform 3. Promotes transcriptional activation of target genes NR0B2/SHP (inducible by unconjugated CDCA), SLC51B/OSTB (inducible by unconjugated CDCA and DCA) and IBAP; low activity for ABCB11/BSEP (inducible by unconjugated CDCA, DCA and ACA); not inducible by taurine- and glycine-amidated CDCA.. Isoform 4. Promotes transcriptional activation of target genes ABCB11/BSEP (inducible by unconjugated CDCA, ACA and DCA), NR0B2/SHP (inducible by unconjugated CDCA, ACA and DCA), SLC51B/OSTB (inducible by unconjugated CDCA and DCA) and FABP6/IBAP; most efficient isoform compared to isoforms 1 to 3; not inducible by taurine- and glycine-amidated CDCA.
See full target information NR1H4

Product promise

We are committed to supporting your work with high-quality reagents, and we're here for you every step of the way. In the unlikely event that one of our products does not perform as expected, you're protected by our Product Promise.
For full details, please see our Terms & Conditions

Please note: All products are 'FOR RESEARCH USE ONLY. NOT FOR USE IN DIAGNOSTIC OR THERAPEUTIC PROCEDURES'.

For licensing inquiries, please contact partnerships@abcam.com