JavaScript is disabled in your browser. Please enable JavaScript to view this website.
AB170589

Anti-Bim antibody [Y36] - BSA and Azide free

Be the first to review this product! Submit a review

|

(3 Publications)

Rabbit Recombinant Monoclonal Bim antibody. Carrier free. Suitable for ICC/IF, IP, WB, Flow Cyt (Intra), IHC-P and reacts with Mouse, Human, Rat samples. Cited in 3 publications.

View Alternative Names

BIM, BCL2L11, Bcl-2-like protein 11, Bcl2-L-11, Bcl2-interacting mediator of cell death

9 Images
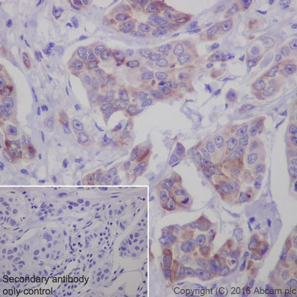
Immunohistochemistry (Formalin/PFA-fixed paraffin-embedded sections) - Anti-Bim antibody [Y36] - BSA and Azide free (AB170589)
  • IHC-P

Unknown

Immunohistochemistry (Formalin/PFA-fixed paraffin-embedded sections) - Anti-Bim antibody [Y36] - BSA and Azide free (AB170589)

ab32158 staining Bim in human breast cancer tissue sections by Immunohistochemistry (IHC-P - paraformaldehyde-fixed, paraffin-embedded sections). Antigen retrieval was by heat mediated antigen retrieval using Tris/EDTA Buffer, PH9 (ab93684). Samples were incubated with primary antibody (1/100 in blocking buffer) and a Biotin-conjugated Donkey anti-rabbit IgG polyclonal (1/500) was used as the secondary antibody. Cytoplasmic staining can be seen in the human breast cancer cells. Hematoxylin was used as a counter stain.

This data was developed using the same antibody clone in a different buffer formulation containing PBS, BSA, glycerol, and sodium azide (ab32158).

Flow Cytometry (Intracellular) - Anti-Bim antibody [Y36] - BSA and Azide free (AB170589)
  • Flow Cyt (Intra)

Unknown

Flow Cytometry (Intracellular) - Anti-Bim antibody [Y36] - BSA and Azide free (AB170589)

Intracellular Flow Cytometry analysis of A431 (human epidermoid carcinoma) cells labelling Bim with ab32158 at 1/50 (red). Cells were fixed with 4% paraformaldehyde and permeabilised with 90% methanol. An Alexa Fluor®488-conjugated goat anti-rabbit IgG (1/2000) was used as the secondary antibody. Black - Isotype control, rabbit monoclonal IgG. Blue - Unlabelled control, cells without incubation with primary and secondary antibodies.

This data was developed using the same antibody clone in a different buffer formulation containing PBS, BSA, glycerol, and sodium azide (ab32158).

Immunocytochemistry/ Immunofluorescence - Anti-Bim antibody [Y36] - BSA and Azide free (AB170589)
  • ICC/IF

Unknown

Immunocytochemistry/ Immunofluorescence - Anti-Bim antibody [Y36] - BSA and Azide free (AB170589)

Clone Y36 (ab170589) has been successfully conjugated by Abcam. This image was generated using Anti-Bim antibody [Y36] (Alexa Fluor® 488). Please refer to ab200667 for protocol details.

ab200667 staining Bim in MCF7 cells. The cells were fixed with 4% formaldehyde (10min), permeabilized with 0.1% Triton X-100 for 5 minutes and then blocked with 1% BSA/10% normal goat serum/0.3M glycine in 0.1% PBS-Tween for 1h. The cells were then incubated overnight at +4°C with ab200667 at 1/200 dilution (shown in green) and ab195889, Mouse monoclonal to alpha Tubulin (Alexa Fluor® 594), at 2µg/ml (shown in red). Nuclear DNA was labelled with DAPI (shown in blue).

Image was taken with a confocal microscope (Leica-Microsystems, TCS SP8).

Flow Cytometry (Intracellular) - Anti-Bim antibody [Y36] - BSA and Azide free (AB170589)
  • Flow Cyt (Intra)

Unknown

Flow Cytometry (Intracellular) - Anti-Bim antibody [Y36] - BSA and Azide free (AB170589)

Overlay histogram showing HAP1 wildtype (green line) and HAP1-BCL2L11 knockout cells (red line) stained with ab32158. The cells were fixed 80% methanol (5 min), and then permeabilized with 0.1% PBS-Triton X-100 for 15 min. The cells were then incubated in 1x PBS / 10% normal goat serum to block non-specific protein-protein interactions followed by the antibody (ab32158, 1μg/ml) for 30 min at 22°C. The secondary antibody used was Alexa Fluor® 488 goat anti-rabbit IgG (H&L) presorbed (ab150081) at 1/2000 dilution for 30 min at 22°C. A rabbit IgG1 isotype control antibody (ab172730) was used at the same concentration and conditions as the primary antibody (HAP1 wildtype - black line, HAP1-BCL2L11 knockout - grey line). Unlabelled sample was also used as a control (this line is not shown for the purpose of simplicity). Acquisition of >5,000 events were collected using a 50 mW Blue laser (488nm) and 530/30 bandpass filter.

This data was developed using the same antibody clone in a different buffer formulation containing PBS, BSA, glycerol, and sodium azide (ab32158).

Immunocytochemistry/ Immunofluorescence - Anti-Bim antibody [Y36] - BSA and Azide free (AB170589)
  • ICC/IF

Unknown

Immunocytochemistry/ Immunofluorescence - Anti-Bim antibody [Y36] - BSA and Azide free (AB170589)

Immunocytochemistry/Immunofluorescence analysis of A20 (Mouse reticulum sarcoma cell line) labeling Bim with ab32158 at a dilution of 1/250. Cells were fixed with 100% methanol. ab150077 (1/1000) was used as the secondary antibody. Cells were co-stained with ab7291, a mouse anti-tubulin antibody (1/200) using ab150120 as the secondary. Nuclei were counterstained with DAPI (blue).

Secondary antibody only control, cells without incubation with the primary antibody was used as negative control.

Confocal image showing cytoplasmic staining on A20 cell line

This data was developed using the same antibody clone in a different buffer formulation containing PBS, BSA, glycerol, and sodium azide (ab32158).

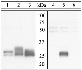
Western blot - Anti-Bim antibody [Y36] - BSA and Azide free (AB170589)
  • WB

Lab

Western blot - Anti-Bim antibody [Y36] - BSA and Azide free (AB170589)

Blocking buffer and concentration : 5% NFDM/TBST

Diluting buffer and concentration : 5% NFDM/TBST

All lanes:

Western blot - Anti-Bim antibody [Y36] - BSA and Azide free (ab170589)

All lanes:

A431 (human epidermoid carcinoma) whole cell lysate at 10 µg

Secondary

All lanes:

Western blot - Goat Anti-Rabbit IgG H&L (HRP) (<a href='/en-us/products/secondary-antibodies/goat-rabbit-igg-h-l-hrp-ab97051'>ab97051</a>)

Predicted band size: 22 kDa

false

Exposure time: 3min

Immunocytochemistry/ Immunofluorescence - Anti-Bim antibody [Y36] - BSA and Azide free (AB170589)
  • ICC/IF

Unknown

Immunocytochemistry/ Immunofluorescence - Anti-Bim antibody [Y36] - BSA and Azide free (AB170589)

Immunocytochemistry/Immunofluorescence analysis of Raji (Human Burkitt's lymphoma cell line) labeling Bim with ab32158 at a dilution of 1/250. Cells were fixed with 100% methanol. ab150077 (1/1000) was used as the secondary antibody. Cells were co-stained with ab7291, a mouse anti-tubulin antibody (1/200) using ab150120 as the secondary. Nuclei were counterstained with DAPI (blue).

Secondary antibody only control, cells without incubation with the primary antibody was used as negative control.

Confocal image showing cytoplasmic staining on Raji cell line

This data was developed using the same antibody clone in a different buffer formulation containing PBS, BSA, glycerol, and sodium azide (ab32158).

Flow Cytometry (Intracellular) - Anti-Bim antibody [Y36] - BSA and Azide free (AB170589)
  • Flow Cyt (Intra)

Unknown

Flow Cytometry (Intracellular) - Anti-Bim antibody [Y36] - BSA and Azide free (AB170589)

Intracellular Flow Cytometry analysis of Raji (human Burkitt's lymphoma) whole cell lysate labeling Bim with ab32158 at 1/100 (red). Cells were fixed with 4% paraformaldehyde. An Alexa Fluor® 488)-conjugated goat anti-rabbit IgG (1/2000) was used as the secondary antibody. Black - Isotype control, rabbit monoclonal IgG (ab172730). Blue - Unlabelled control, cells without incubation with primary and secondary antibodies.

This data was developed using the same antibody clone in a different buffer formulation containing PBS, BSA, glycerol, and sodium azide (ab32158).

Immunoprecipitation - Anti-Bim antibody [Y36] - BSA and Azide free (AB170589)
  • IP

Unknown

Immunoprecipitation - Anti-Bim antibody [Y36] - BSA and Azide free (AB170589)

ab32158 at 1/50 immunoprecipitating Bim in Raji (human Burkitt's lymphoma) whole cell lysate.

Lane 1 (input) : Raji whole cell lysate (10μg)

Lane 2 (+) : ab32158 + Raji whole cell lysate.

Lane 3 (-) : Rabbit monoclonal IgG (ab172730) instead of ab32158 in Raji whole cell lysate.

For western blotting, ab32158 (1/1000) was used as the primary antibody and VeriBlot for IP Detection Reagent (HRP) (ab131366), was used for detection at 1/10,000 dilution.

Blocking buffer and concentration : 5% NFDM/TBST.

Diluting buffer and concentration : 5% NFDM /TBST.

This data was developed using the same antibody clone in a different buffer formulation containing PBS, BSA, glycerol, and sodium azide (ab32158).

All lanes:

Immunoprecipitation - Anti-Bim antibody [Y36] (<a href='/en-us/products/primary-antibodies/bim-antibody-y36-ab32158'>ab32158</a>)

Predicted band size: 22 kDa

Observed band size: 22 kDa

false

Exposure time: 3min

Key facts

Host species

Rabbit

Clonality

Monoclonal

Clone number

Y36

Isotype

IgG

Carrier free

Yes

Reacts with

Mouse, Rat, Human

Applications

WB, Flow Cyt (Intra), IP, ICC/IF, IHC-P

applications

Immunogen

The exact immunogen used to generate this antibody is proprietary information.

Specificity

Based on the sequence homology of the immunogen, this antibody is likely to detect all Bim isoforms.

Reactivity data

{ "title": "Reactivity Data", "filters": { "stats": ["", "Species", "Dilution Info", "Notes"], "tabs": { "all-applications": {"fullname" : "All Applications", "shortname": "All Applications"}, "ICCIF" : {"fullname" : "Immunocytochemistry/ Immunofluorescence", "shortname":"ICC/IF"}, "IP" : {"fullname" : "Immunoprecipitation", "shortname":"IP"}, "WB" : {"fullname" : "Western blot", "shortname":"WB"}, "FlowCytIntra" : {"fullname" : "Flow Cytometry (Intracellular)", "shortname":"Flow Cyt (Intra)"}, "IHCP" : {"fullname" : "Immunohistochemistry (Formalin/PFA-fixed paraffin-embedded sections)", "shortname":"IHC-P"} }, "product-promise": { "all": "all", "testedAndGuaranteed": "tested", "guaranteed": "expected", "predicted": "predicted", "notRecommended": "not-recommended" } }, "values": { "Human": { "ICCIF-species-checked": "testedAndGuaranteed", "ICCIF-species-dilution-info": "", "ICCIF-species-notes": "<p></p>", "IP-species-checked": "testedAndGuaranteed", "IP-species-dilution-info": "", "IP-species-notes": "<p></p>", "WB-species-checked": "testedAndGuaranteed", "WB-species-dilution-info": "", "WB-species-notes": "<p>Please check the parent abID, <a href='/en-us/products/primary-antibodies/bim-antibody-y36-ab32158'>ab32158</a>, for a recommended dilution.</p>", "FlowCytIntra-species-checked": "testedAndGuaranteed", "FlowCytIntra-species-dilution-info": "", "FlowCytIntra-species-notes": "<p></p>", "IHCP-species-checked": "testedAndGuaranteed", "IHCP-species-dilution-info": "", "IHCP-species-notes": "<p></p>" }, "Mouse": { "ICCIF-species-checked": "testedAndGuaranteed", "ICCIF-species-dilution-info": "", "ICCIF-species-notes": "<p></p>", "IP-species-checked": "guaranteed", "IP-species-dilution-info": "", "IP-species-notes": "", "WB-species-checked": "testedAndGuaranteed", "WB-species-dilution-info": "", "WB-species-notes": "<p>Please check the parent abID, <a href='/en-us/products/primary-antibodies/bim-antibody-y36-ab32158'>ab32158</a>, for a recommended dilution.</p>", "FlowCytIntra-species-checked": "guaranteed", "FlowCytIntra-species-dilution-info": "", "FlowCytIntra-species-notes": "", "IHCP-species-checked": "guaranteed", "IHCP-species-dilution-info": "", "IHCP-species-notes": "" }, "Rat": { "ICCIF-species-checked": "guaranteed", "ICCIF-species-dilution-info": "", "ICCIF-species-notes": "", "IP-species-checked": "guaranteed", "IP-species-dilution-info": "", "IP-species-notes": "", "WB-species-checked": "testedAndGuaranteed", "WB-species-dilution-info": "", "WB-species-notes": "<p>Please check the parent abID, <a href='/en-us/products/primary-antibodies/bim-antibody-y36-ab32158'>ab32158</a>, for a recommended dilution.</p>", "FlowCytIntra-species-checked": "guaranteed", "FlowCytIntra-species-dilution-info": "", "FlowCytIntra-species-notes": "", "IHCP-species-checked": "guaranteed", "IHCP-species-dilution-info": "", "IHCP-species-notes": "" } } }

Product details

ab170589 is the carrier-free version of ab32158.

Patented technology
Our RabMAb® technology is a patented hybridoma-based technology for making rabbit monoclonal antibodies. For details on our patents, please refer to RabMAb® patents.

What are the advantages of a recombinant monoclonal antibody?
This product is a recombinant monoclonal antibody, which offers several advantages including:

  • - High batch-to-batch consistency and reproducibility
  • - Improved sensitivity and specificity
  • - Long-term security of supply
  • - Animal-free batch production

For more information, read more on recombinant antibodies.

Conjugation ready
Our carrier-free antibodies are typically supplied in a PBS-only formulation, purified and free of BSA, sodium azide and glycerol. This conjugation-ready format is designed for use with fluorochromes, metal isotopes, oligonucleotides, and enzymes, which makes them ideal for antibody labelling, functional and cell-based assays, flow-based assays (e.g. mass cytometry) and Multiplex Imaging applications.

Use our conjugation kits for antibody conjugates that are ready-to-use in as little as 20 minutes with 1 minute hands-on-time and 100% antibody recovery: available for fluorescent dyes, HRP, biotin and gold.

Compatibility
This product is compatible with the Maxpar® Antibody Labeling Kit from Fluidigm, without the need for antibody preparation. Maxpar® is a trademark of Fluidigm Canada Inc.

Properties and storage information

Form
Liquid
Purification technique
Affinity purification Protein A
Storage buffer
Constituents: PBS
Shipped at conditions
Blue Ice
Appropriate short-term storage conditions
+4°C
Appropriate long-term storage conditions
+4°C
Storage information
Do Not Freeze

Supplementary information

This supplementary information is collated from multiple sources and compiled automatically.

Bim also known as Bcl-2-interacting mediator of cell death is an important pro-apoptotic protein within the Bcl-2 family. It has a molecular weight of approximately 23 kDa. Bim is expressed in various tissues including the immune system nervous system and lymphoid tissues. It exists in multiple isoforms such as BimEL BimL and BimS due to alternative splicing. Bim's interaction with cellular membranes allows it to regulate apoptotic processes through mitochondrial pathways effectively.
Biological function summary

Bim regulates apoptosis by binding to pro-survival proteins like Bcl-2 and Bcl-xL releasing pro-apoptotic factors from mitochondria and activating caspases. Bim acts as part of the apoptosome complex and influences cell death regulation significantly. By promoting cytochrome c release from mitochondria Bim initiates a cascade of events leading to cell apoptosis. This regulation is vital in maintaining the balance between cell survival and death necessary for normal development and tissue homeostasis.

Pathways

Bim plays a critical role in the intrinsic apoptotic pathway. This pathway involves mitochondrial outer membrane permeabilization where Bim interacts with several Bcl-2 family proteins such as Bax and Bak to induce apoptosis. The modulation of Bim expression and activity is influenced by growth factor signaling pathways such as the PI3K-Akt pathway which affects Bim phosphorylation leading to its inactivation and subsequent degradation. Therefore Bim acts as an important node linking survival signals and apoptotic machinery.

Bim dysregulation has been implicated in conditions like cancer and autoimmune diseases. In certain cancers reduced Bim expression can result in unchecked cell proliferation and resistance to apoptosis. Conversely in autoimmune disorders overactivity of Bim may lead to excessive immune cell apoptosis contributing to disease pathogenesis. Bim's interactions with proteins like Bcl-2 and Bcl-xL are significant in cancer therapy as targeting these interactions can help overcome resistance to apoptosis in cancer cells improving treatment outcomes.

Product protocols

For this product, it's our understanding that no specific protocols are required. You can visit:

Target data

Induces apoptosis and anoikis. Isoform BimL is more potent than isoform BimEL. Isoform Bim-alpha1, isoform Bim-alpha2 and isoform Bim-alpha3 induce apoptosis, although less potent than isoform BimEL, isoform BimL and isoform BimS. Isoform Bim-gamma induces apoptosis. Isoform Bim-alpha3 induces apoptosis possibly through a caspase-mediated pathway. Isoform BimAC and isoform BimABC lack the ability to induce apoptosis.
See full target information BCL2L11

Publications (3)

Recent publications for all applications. Explore the full list and refine your search

Journal of Cancer 12:1826-1837 PubMed33613771

2021

Overexpression of removes the transrepression of proapoptotic genes mediated by the CtBP1-p300-FOXO3a complex and increases the chemosensitivity in osteosarcoma cells.

Applications

Unspecified application

Species

Unspecified reactive species

Ning Duan,Wentao Zhang,Zhong Li,Liang Sun,Tao Song,Zirui Yu,Xun Chen,Wei Ma

European journal of pharmacology 862:172531 PubMed31301310

2019

MicroRNA Let-7f-1-3p attenuates smoke-induced apoptosis in bronchial and alveolar epithelial cells in vitro by targeting FOXO1.

Applications

Unspecified application

Species

Unspecified reactive species

Zhaofeng Han,Yimeng Zhu,Zhengjun Cui,Pengfei Guo,Aizhou Wei,Qingnan Meng

Nature communications 8:15280 PubMed28474680

2017

The essential role of YAP O-GlcNAcylation in high-glucose-stimulated liver tumorigenesis.

Applications

Unspecified application

Species

Unspecified reactive species

Xiao Zhang,Yongxia Qiao,Qi Wu,Yan Chen,Shaowu Zou,Xiangfan Liu,Guoqing Zhu,Yinghui Zhao,Yuxin Chen,Yongchun Yu,Qiuhui Pan,Jiayi Wang,Fenyong Sun
View all publications

Product promise

We are committed to supporting your work with high-quality reagents, and we're here for you every step of the way. In the unlikely event that one of our products does not perform as expected, you're protected by our Product Promise.
For full details, please see our Terms & Conditions

Please note: All products are 'FOR RESEARCH USE ONLY. NOT FOR USE IN DIAGNOSTIC OR THERAPEUTIC PROCEDURES'.

For licensing inquiries, please contact partnerships@abcam.com