JavaScript is disabled in your browser. Please enable JavaScript to view this website.
AB131477

Anti-Bim (phospho S69) antibody

Be the first to review this product! Submit a review

|

(1 Publication)

Rabbit Polyclonal Bim phospho S69 antibody. Suitable for IHC-P, ICC/IF and reacts with Human samples. Cited in 1 publication. Immunogen corresponding to Synthetic Peptide within Human BCL2L11 phospho S69 conjugated to Keyhole Limpet Haemocyanin.

View Alternative Names

BIM, BCL2L11, Bcl-2-like protein 11, Bcl2-L-11, Bcl2-interacting mediator of cell death

2 Images
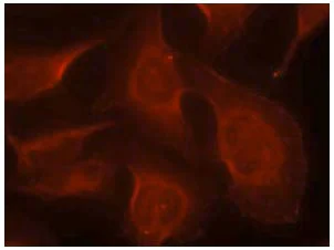
Immunocytochemistry/ Immunofluorescence - Anti-Bim (phospho S69) antibody (AB131477)
  • ICC/IF

Supplier Data

Immunocytochemistry/ Immunofluorescence - Anti-Bim (phospho S69) antibody (AB131477)

Immunofluorescent analysis of methanol-fixed HeLa cells labelling Bim (phospho S69) with ab131477 at 1/100 dilution.

Immunohistochemistry (Formalin/PFA-fixed paraffin-embedded sections) - Anti-Bim (phospho S69) antibody (AB131477)
  • IHC-P

Unknown

Immunohistochemistry (Formalin/PFA-fixed paraffin-embedded sections) - Anti-Bim (phospho S69) antibody (AB131477)

Immunohistochemical analysis of paraffin-embedded Human breast carcinoma tissue labelling Bim (phospho S69) with ab131477 at 1/50 dilution (left) or ab131477 preincubated with blocking peptide (right).

Key facts

Host species

Rabbit

Clonality

Polyclonal

Isotype

IgG

Carrier free

No

Reacts with

Human

Applications

IHC-P, ICC/IF

applications

Immunogen

Synthetic Peptide within Human BCL2L11 phospho S69 conjugated to Keyhole Limpet Haemocyanin. The exact immunogen used to generate this antibody is proprietary information.

O43521

Reactivity data

{ "title": "Reactivity Data", "filters": { "stats": ["", "Species", "Dilution Info", "Notes"], "tabs": { "all-applications": {"fullname" : "All Applications", "shortname": "All Applications"}, "IHCP" : {"fullname" : "Immunohistochemistry (Formalin/PFA-fixed paraffin-embedded sections)", "shortname":"IHC-P"}, "ICCIF" : {"fullname" : "Immunocytochemistry/ Immunofluorescence", "shortname":"ICC/IF"} }, "product-promise": { "all": "all", "testedAndGuaranteed": "tested", "guaranteed": "expected", "predicted": "predicted", "notRecommended": "not-recommended" } }, "values": { "Human": { "IHCP-species-checked": "testedAndGuaranteed", "IHCP-species-dilution-info": "1/50 - 1/100", "IHCP-species-notes": "<p></p>", "ICCIF-species-checked": "testedAndGuaranteed", "ICCIF-species-dilution-info": "1/100 - 1/200", "ICCIF-species-notes": "<p></p>" } } }

Properties and storage information

Form
Liquid
Purification technique
Affinity purification Immunogen
Purification notes
ab131477 was purified by affinity-chromatography using epitope-specific phosphopeptide. Non-phospho specific antibodies were removed by chromatography using non-phosphopeptide.
Storage buffer
pH: 7.4 Preservative: 0.02% Sodium azide Constituents: PBS, 50% Glycerol (glycerin, glycerine), 0.88% Sodium chloride
Shipped at conditions
Blue Ice
Appropriate short-term storage conditions
+4°C
Appropriate long-term storage conditions
-20°C
Storage information
Stable for 12 months at -20°C

Supplementary information

This supplementary information is collated from multiple sources and compiled automatically.

Bim also known as Bcl-2-interacting mediator of cell death is an important pro-apoptotic protein within the Bcl-2 family. It has a molecular weight of approximately 23 kDa. Bim is expressed in various tissues including the immune system nervous system and lymphoid tissues. It exists in multiple isoforms such as BimEL BimL and BimS due to alternative splicing. Bim's interaction with cellular membranes allows it to regulate apoptotic processes through mitochondrial pathways effectively.
Biological function summary

Bim regulates apoptosis by binding to pro-survival proteins like Bcl-2 and Bcl-xL releasing pro-apoptotic factors from mitochondria and activating caspases. Bim acts as part of the apoptosome complex and influences cell death regulation significantly. By promoting cytochrome c release from mitochondria Bim initiates a cascade of events leading to cell apoptosis. This regulation is vital in maintaining the balance between cell survival and death necessary for normal development and tissue homeostasis.

Pathways

Bim plays a critical role in the intrinsic apoptotic pathway. This pathway involves mitochondrial outer membrane permeabilization where Bim interacts with several Bcl-2 family proteins such as Bax and Bak to induce apoptosis. The modulation of Bim expression and activity is influenced by growth factor signaling pathways such as the PI3K-Akt pathway which affects Bim phosphorylation leading to its inactivation and subsequent degradation. Therefore Bim acts as an important node linking survival signals and apoptotic machinery.

Bim dysregulation has been implicated in conditions like cancer and autoimmune diseases. In certain cancers reduced Bim expression can result in unchecked cell proliferation and resistance to apoptosis. Conversely in autoimmune disorders overactivity of Bim may lead to excessive immune cell apoptosis contributing to disease pathogenesis. Bim's interactions with proteins like Bcl-2 and Bcl-xL are significant in cancer therapy as targeting these interactions can help overcome resistance to apoptosis in cancer cells improving treatment outcomes.

Product protocols

For this product, it's our understanding that no specific protocols are required. You can visit:

Target data

Induces apoptosis and anoikis. Isoform BimL is more potent than isoform BimEL. Isoform Bim-alpha1, isoform Bim-alpha2 and isoform Bim-alpha3 induce apoptosis, although less potent than isoform BimEL, isoform BimL and isoform BimS. Isoform Bim-gamma induces apoptosis. Isoform Bim-alpha3 induces apoptosis possibly through a caspase-mediated pathway. Isoform BimAC and isoform BimABC lack the ability to induce apoptosis.
See full target information BCL2L11 phospho S69

Publications (1)

Recent publications for all applications. Explore the full list and refine your search

Brazilian journal of medical and biological research = Revista brasileira de pesquisas medicas e biologica 58:e14540 PubMed40862456

2025

Pitavastatin reduces intestinal fibrosis in chronic colitis and inhibits colon fibroblast activation by enhancing MMP-9 expression via the IGF-1/IGF-1R pathway.

Applications

Unspecified application

Species

Unspecified reactive species

Mengran Zhang,Hongping Lu,Jun Cheng
View all publications

Product promise

We are committed to supporting your work with high-quality reagents, and we're here for you every step of the way. In the unlikely event that one of our products does not perform as expected, you're protected by our Product Promise.
For full details, please see our Terms & Conditions

Please note: All products are 'FOR RESEARCH USE ONLY. NOT FOR USE IN DIAGNOSTIC OR THERAPEUTIC PROCEDURES'.

For licensing inquiries, please contact partnerships@abcam.com