JavaScript is disabled in your browser. Please enable JavaScript to view this website.
AB185950

Anti-BIN1 antibody [EPR13463-25]

  • 20ul selling size
  • RabMAb
  • Recombinant
  • KO Validated
  • What is this?

5

(4 Reviews)

|

(6 Publications)

Rabbit Recombinant Monoclonal BIN1 antibody. Suitable for WB, ICC/IF, Flow Cyt (Intra), IHC-P and reacts with Human, Mouse samples. Cited in 6 publications.

View Alternative Names

AMPHL, BIN1, Myc box-dependent-interacting protein 1, Amphiphysin II, Amphiphysin-like protein, Box-dependent myc-interacting protein 1, Bridging integrator 1

7 Images
Immunohistochemistry (Formalin/PFA-fixed paraffin-embedded sections) - Anti-BIN1 antibody [EPR13463-25] (AB185950)
  • IHC-P

Supplier Data

Immunohistochemistry (Formalin/PFA-fixed paraffin-embedded sections) - Anti-BIN1 antibody [EPR13463-25] (AB185950)

Immunohistochemical analysis of paraffin-embedded Human skeletal muscle tissue labeling BIN1 with ab185950 at 1/100 dilution. Secondary ab : Ready to use HRP Polymer for Rabbit IgG. Counter stain : Hematoxylin.

Perform heat mediated antigen retrieval with EDTA buffer pH 9 before commencing with IHC staining protocol.

Flow Cytometry (Intracellular) - Anti-BIN1 antibody [EPR13463-25] (AB185950)
  • Flow Cyt (Intra)

Supplier Data

Flow Cytometry (Intracellular) - Anti-BIN1 antibody [EPR13463-25] (AB185950)

Intracellular flow cytometric analysis ofHela cells labeling BIN1 using ab185950 at 1/90 dilution (red). Secondary ab : Goat anti rabbit IgG (FITC) at 1/150 dilution. Fixative : 2% paraformaldehyde. Isotype control : Rabbit monoclonal IgG (green).

Immunocytochemistry/ Immunofluorescence - Anti-BIN1 antibody [EPR13463-25] (AB185950)
  • ICC/IF

Supplier Data

Immunocytochemistry/ Immunofluorescence - Anti-BIN1 antibody [EPR13463-25] (AB185950)

Immunofluorescent analysis of U87-MG cells labeling BIN1 with ab185950 at 1/100 dilution. Secondary ab : Goat anti rabbit IgG (Alexa Fluor®555) at 1/200 dilution. Fixative : 4% paraformaldehyde. Counter stain : Dapi (blue)

Immunocytochemistry/ Immunofluorescence - Anti-BIN1 antibody [EPR13463-25] (AB185950)
  • ICC/IF

Supplier Data

Immunocytochemistry/ Immunofluorescence - Anti-BIN1 antibody [EPR13463-25] (AB185950)

Immunofluorescent analysis of HeLa cells labeling BIN1 with ab185950 at 1/100 dilution. Secondary ab : Goat anti rabbit IgG (Alexa Fluor®555) at 1/200 dilution. Fixative : -20℃ Acetone. Counter stain : Dapi (blue).

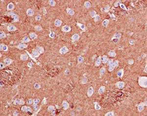
Immunohistochemistry (Formalin/PFA-fixed paraffin-embedded sections) - Anti-BIN1 antibody [EPR13463-25] (AB185950)
  • IHC-P

Supplier Data

Immunohistochemistry (Formalin/PFA-fixed paraffin-embedded sections) - Anti-BIN1 antibody [EPR13463-25] (AB185950)

Immunohistochemical analysis of paraffin-embedded Mouse brain tissue labeling BIN1 with ab185950 at 1/100 dilution. Secondary ab : Ready to use HRP Polymer for Rabbit IgG. Counter stain : Hematoxylin.

Perform heat mediated antigen retrieval with EDTA buffer pH 9 before commencing with IHC staining protocol.

Western blot - Anti-BIN1 antibody [EPR13463-25] (AB185950)
  • WB

Lab

Western blot - Anti-BIN1 antibody [EPR13463-25] (AB185950)

Lane 1 : Wild type HAP1 whole cell lysate (20 μg)
Lane 2 : BIN1 knockout HAP1 whole cell lysate (20 μg)
Lane 3 : HeLa whole cell lysate (20 μg)
Lane 4 : U-87MG whole cell lysate (20 μg)

Lanes 1 - 4 : Merged signal (red and green). Green - ab185950 observed at 45-65 kDa. Red - loading control, ab8245, observed at 37 kDa.

ab185950 was shown to specifically react with BIN1 when BIN1 knockout samples were used. Wild-type and BIN1 knockout samples were subjected to SDS-PAGE. ab185950 and ab8245 (Mouse anti GAPDH loading control) were incubated overnight at 4°C at 1 μg/ml and 1/10000 dilution respectively. Blots were developed with Goat anti-Rabbit IgG H&L (IRDye® 800CW) preabsorbed ab216773 and Goat anti-Mouse IgG H&L (IRDye® 680RD) preabsorbed ab216776 secondary antibodies at 1/10000 dilution for 1 hour at room temperature before imaging.

All lanes:

Western blot - Anti-BIN1 antibody [EPR13463-25] (ab185950)

Predicted band size: 65 kDa

false

Western blot - Anti-BIN1 antibody [EPR13463-25] (AB185950)
  • WB

Supplier Data

Western blot - Anti-BIN1 antibody [EPR13463-25] (AB185950)

Blocking buffer : 5% NFDM/TBST

All lanes:

Western blot - Anti-BIN1 antibody [EPR13463-25] (ab185950) at 1/1000 dilution

Lane 1:

U87-MG cell lysate at 10 µg

Lane 2:

Human fetal kidney lysate at 10 µg

Lane 3:

Hela cell lysate at 10 µg

Lane 4:

Human fetal brain lysate at 10 µg

Secondary

All lanes:

Goat Anti-Rabbit IgG, (H+L), Peroxidase conjugated at 1/1000 dilution

Predicted band size: 65 kDa

false

  • Carrier free

    Anti-BIN1 antibody [EPR13463-25] - BSA and Azide free

Key facts

Host species

Rabbit

Clonality

Monoclonal

Clone number

EPR13463-25

Isotype

IgG

Carrier free

No

Reacts with

Mouse, Human

Applications

IHC-P, Flow Cyt (Intra), ICC/IF, WB

applications

Immunogen

The exact immunogen used to generate this antibody is proprietary information.

Reactivity data

{ "title": "Reactivity Data", "filters": { "stats": ["", "Species", "Dilution Info", "Notes"], "tabs": { "all-applications": {"fullname" : "All Applications", "shortname": "All Applications"}, "WB" : {"fullname" : "Western blot", "shortname":"WB"}, "ICCIF" : {"fullname" : "Immunocytochemistry/ Immunofluorescence", "shortname":"ICC/IF"}, "FlowCytIntra" : {"fullname" : "Flow Cytometry (Intracellular)", "shortname":"Flow Cyt (Intra)"}, "IHCP" : {"fullname" : "Immunohistochemistry (Formalin/PFA-fixed paraffin-embedded sections)", "shortname":"IHC-P"} }, "product-promise": { "all": "all", "testedAndGuaranteed": "tested", "guaranteed": "expected", "predicted": "predicted", "notRecommended": "not-recommended" } }, "values": { "Human": { "WB-species-checked": "testedAndGuaranteed", "WB-species-dilution-info": "1/1000", "WB-species-notes": "<p></p>", "ICCIF-species-checked": "testedAndGuaranteed", "ICCIF-species-dilution-info": "1/100", "ICCIF-species-notes": "<p></p>", "FlowCytIntra-species-checked": "testedAndGuaranteed", "FlowCytIntra-species-dilution-info": "1/90", "FlowCytIntra-species-notes": "<p><a href='/en-us/products/primary-antibodies/rabbit-igg-monoclonal-epr25a-isotype-control-ab172730'>ab172730</a> - Rabbit monoclonal IgG, is suitable for use as an isotype control with this antibody.</p>", "IHCP-species-checked": "testedAndGuaranteed", "IHCP-species-dilution-info": "1/100", "IHCP-species-notes": "<p></p>" }, "Mouse": { "WB-species-checked": "guaranteed", "WB-species-dilution-info": "", "WB-species-notes": "", "ICCIF-species-checked": "guaranteed", "ICCIF-species-dilution-info": "", "ICCIF-species-notes": "", "FlowCytIntra-species-checked": "guaranteed", "FlowCytIntra-species-dilution-info": "", "FlowCytIntra-species-notes": "", "IHCP-species-checked": "testedAndGuaranteed", "IHCP-species-dilution-info": "1/100", "IHCP-species-notes": "<p></p>" }, "Rat": { "WB-species-checked": "predicted", "WB-species-dilution-info": "", "WB-species-notes": "", "ICCIF-species-checked": "predicted", "ICCIF-species-dilution-info": "", "ICCIF-species-notes": "", "FlowCytIntra-species-checked": "predicted", "FlowCytIntra-species-dilution-info": "", "FlowCytIntra-species-notes": "", "IHCP-species-checked": "predicted", "IHCP-species-dilution-info": "", "IHCP-species-notes": "" } } }

Product details

Patented technology
Our RabMAb® technology is a patented hybridoma-based technology for making rabbit monoclonal antibodies. For details on our patents, please refer to RabMAb® patents.

What are the advantages of a recombinant monoclonal antibody?
This product is a recombinant monoclonal antibody, which offers several advantages including:

  • - High batch-to-batch consistency and reproducibility
  • - Improved sensitivity and specificity
  • - Long-term security of supply
  • - Animal-free batch production

For more information, read more on recombinant antibodies.

Properties and storage information

Form
Liquid
Purification technique
Affinity purification Protein A
Storage buffer
pH: 7.2 - 7.4 Preservative: 0.01% Sodium azide Constituents: PBS, 40% Glycerol (glycerin, glycerine), 0.05% BSA
Shipped at conditions
Blue Ice
Appropriate short-term storage duration
1-2 weeks
Appropriate short-term storage conditions
+4°C
Appropriate long-term storage conditions
-20°C
Aliquoting information
Upon delivery aliquot
Storage information
Avoid freeze / thaw cycle

Product protocols

For this product, it's our understanding that no specific protocols are required. You can visit:

Target data

Is a key player in the control of plasma membrane curvature, membrane shaping and membrane remodeling. Required in muscle cells for the formation of T-tubules, tubular invaginations of the plasma membrane that function in depolarization-contraction coupling (PubMed : 24755653). Is a negative regulator of endocytosis (By similarity). Is also involved in the regulation of intracellular vesicles sorting, modulation of BACE1 trafficking and the control of amyloid-beta production (PubMed : 27179792). In neuronal circuits, endocytosis regulation may influence the internalization of PHF-tau aggregates (By similarity). May be involved in the regulation of MYC activity and the control cell proliferation (PubMed : 8782822). Has actin bundling activity and stabilizes actin filaments against depolymerization in vitro (PubMed : 28893863).
See full target information BIN1

Publications (6)

Recent publications for all applications. Explore the full list and refine your search

International journal of molecular sciences 24: PubMed36614108

2022

Polycystin-1 Is a Crucial Regulator of BIN1 Expression and T-Tubule Remodeling Associated with the Development of Dilated Cardiomyopathy.

Applications

Unspecified application

Species

Unspecified reactive species

Magda C Díaz-Vesga,Raúl Flores-Vergara,Jaime A Riquelme,Marcelo Llancaqueo,Gina Sánchez,Cecilia Vergara,Luis Michea,Paulina Donoso,Andrew F G Quest,Ivonne Olmedo,Zully Pedrozo

Experimental & molecular medicine 54:493-502 PubMed35379934

2022

Tomatidine-stimulated maturation of human embryonic stem cell-derived cardiomyocytes for modeling mitochondrial dysfunction.

Applications

Unspecified application

Species

Unspecified reactive species

Ye Seul Kim,Jung Won Yoon,Dasol Kim,Seunghak Choi,Hyoung Kyu Kim,Jae Boum Youm,Jin Han,Soon Chul Heo,Sung-Ae Hyun,Jung-Wook Seo,Deok-Ho Kim,Jae Ho Kim

The Journal of biological chemistry 294:4477-4487 PubMed30692199

2019

Reduction of the expression of the late-onset Alzheimer's disease (AD) risk-factor does not affect amyloid pathology in an AD mouse model.

Applications

Unspecified application

Species

Unspecified reactive species

Robert J Andrew,Pierre De Rossi,Phuong Nguyen,Haley R Kowalski,Aleksandra J Recupero,Thomas Guerbette,Sofia V Krause,Richard C Rice,Lisa Laury-Kleintop,Steven L Wagner,Gopal Thinakaran

Journal of cellular biochemistry 120:4644-4653 PubMed30260023

2018

microRNA-211 promotes proliferation, migration, and invasion ability of oral squamous cell carcinoma cells via targeting the bridging integrator 1 protein.

Applications

Unspecified application

Species

Unspecified reactive species

Jiabao Zheng,Jiali Wang,Yunlong Jia,Tianxu Liu,Yuqing Duan,Xing Liang,Lihua Liu

Molecular neurodegeneration 12:82 PubMed29110684

2017

Multiscale network modeling of oligodendrocytes reveals molecular components of myelin dysregulation in Alzheimer's disease.

Applications

IHC-P, WB

Species

Mouse, Mouse

Andrew T McKenzie,Sarah Moyon,Minghui Wang,Igor Katsyv,Won-Min Song,Xianxiao Zhou,Eric B Dammer,Duc M Duong,Joshua Aaker,Yongzhong Zhao,Noam Beckmann,Pei Wang,Jun Zhu,James J Lah,Nicholas T Seyfried,Allan I Levey,Pavel Katsel,Vahram Haroutunian,Eric E Schadt,Brian Popko,Patrizia Casaccia,Bin Zhang

Oncogene 36:6235-6243 PubMed28714960

2017

BIN1 reverses PD-L1-mediated immune escape by inactivating the c-MYC and EGFR/MAPK signaling pathways in non-small cell lung cancer.

Applications

Unspecified application

Species

Unspecified reactive species

J Wang,Y Jia,S Zhao,X Zhang,X Wang,X Han,Y Wang,M Ma,J Shi,L Liu
View all publications

Product promise

We are committed to supporting your work with high-quality reagents, and we're here for you every step of the way. In the unlikely event that one of our products does not perform as expected, you're protected by our Product Promise.
For full details, please see our Terms & Conditions

Please note: All products are 'FOR RESEARCH USE ONLY. NOT FOR USE IN DIAGNOSTIC OR THERAPEUTIC PROCEDURES'.

For licensing inquiries, please contact partnerships@abcam.com