JavaScript is disabled in your browser. Please enable JavaScript to view this website.
AB197526

Biotin Anti-AIF antibody [E20] - Mitochondrial Marker

Be the first to review this product! Submit a review

|

(1 Publication)

Rabbit Recombinant Monoclonal AIF antibody - conjugated to Biotin. Mitochondrion marker. Suitable for IHC-P and reacts with Human samples. Cited in 1 publication.

View Alternative Names

AIF, PDCD8, AIFM1, Programmed cell death protein 8

1 Images
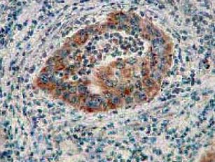
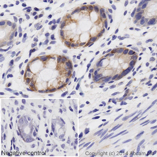
Immunohistochemistry (Formalin/PFA-fixed paraffin-embedded sections) - Biotin Anti-AIF antibody [E20] - Mitochondrial Marker (AB197526)
  • IHC-P

Lab

Immunohistochemistry (Formalin/PFA-fixed paraffin-embedded sections) - Biotin Anti-AIF antibody [E20] - Mitochondrial Marker (AB197526)

IHC image of AIF staining in a section of formalin-fixed paraffin-embedded Hu_Colon_Norm*, performed on a Leica Bond system using the standard protocol B. The section was pre-treated using heat mediated antigen retrieval with sodium citrate buffer (pH6, epitope retrieval solution 1) for 20 mins. The section was then incubated with ab197526 at 1/100 dilution for 15 mins at room temperature and detected using an HRP conjugated ABC system. DAB was used as the chromogen. The section was then counterstained with haematoxylin and mounted with DPX. The inset negative control image is taken from an identical assay without primary antibody.

For other IHC staining systems (automated and non-automated) customers should optimize variable parameters such as antigen retrieval conditions, primary antibody concentration and antibody incubation times.

*Tissue obtained from the Human Research Tissue Bank, supported by the NIHR Cambridge Biomedical Research Centre

  • 665 Alexa Fluor® 647

    Alexa Fluor® 647 Anti-AIF antibody [E20] - Mitochondrial Marker

  • Unconjugated

    Anti-AIF antibody [E20] - Mitochondrial Marker

  • Carrier free

    Anti-AIF antibody [E20] - BSA and Azide free

Key facts

Host species

Rabbit

Clonality

Monoclonal

Clone number

E20

Isotype

IgG

Conjugation

Biotin

Excitation/Emission
Carrier free

No

Reacts with

Human

Applications

IHC-P

applications

Immunogen

The exact immunogen used to generate this antibody is proprietary information.

Reactivity data

{ "title": "Reactivity Data", "filters": { "stats": ["", "Species", "Dilution Info", "Notes"], "tabs": { "all-applications": {"fullname" : "All Applications", "shortname": "All Applications"}, "IHCP" : {"fullname" : "Immunohistochemistry (Formalin/PFA-fixed paraffin-embedded sections)", "shortname":"IHC-P"} }, "product-promise": { "all": "all", "testedAndGuaranteed": "tested", "guaranteed": "expected", "predicted": "predicted", "notRecommended": "not-recommended" } }, "values": { "Human": { "IHCP-species-checked": "testedAndGuaranteed", "IHCP-species-dilution-info": "1/100", "IHCP-species-notes": "<p></p>" }, "Mouse": { "IHCP-species-checked": "predicted", "IHCP-species-dilution-info": "", "IHCP-species-notes": "" }, "Rat": { "IHCP-species-checked": "predicted", "IHCP-species-dilution-info": "", "IHCP-species-notes": "" } } }

Product details

Patented technology
Our RabMAb® technology is a patented hybridoma-based technology for making rabbit monoclonal antibodies. For details on our patents, please refer to RabMAb® patents.

Properties and storage information

Form
Liquid
Purification technique
Affinity purification Protein A
Storage buffer
pH: 7.4 Preservative: 0.02% Sodium azide Constituents: PBS, 30% Glycerol (glycerin, glycerine), 1% BSA
Shipped at conditions
Blue Ice
Appropriate short-term storage duration
1-2 weeks
Appropriate short-term storage conditions
+4°C
Appropriate long-term storage conditions
-20°C
Aliquoting information
Upon delivery aliquot
Storage information
Avoid freeze / thaw cycle|Store in the dark

Supplementary information

This supplementary information is collated from multiple sources and compiled automatically.

AIF short for Apoptosis-Inducing Factor is a flavoprotein characterized by its mass of approximately 57 kDa. It resides in the mitochondria of cells where it plays a decisive role in apoptosis. Under normal conditions AIF remains in the mitochondrial intermembrane space but when cells receive apoptotic signals AIF translocates to the nucleus leading to chromatin condensation and large-scale DNA fragmentation. The protein is also known as AIFM1 and performs functions beyond apoptosis including regulation of reactive oxygen species. Often analyzed using tools like a mitochondrial AB marker researchers use AIF as an important part of understanding cell death mechanisms.
Biological function summary

AIF functions as an important element in mitochondrial-mediated apoptosis. Once released from mitochondria AIF triggers a caspase-independent pathway of apoptosis making it distinct from other pathways where caspases are central. While not part of a larger protein complex AIF interacts closely with several mitochondrial and nuclear elements to execute its functions. Researchers often monitor AIF activity using apoptosis ELISA kits which help in precise detection and quantification of this protein within cellular systems.

Pathways

The presence and activity of AIF align with the broader apoptotic pathway and mitochondrial respiration. AIF links significantly with other molecules like cytochrome c released during apoptosis although cytochrome c follows a caspase-dependent pathway. It also shows involvement in various cellular injury and stress response pathways reinforcing its role as a major player in cellular fate decisions and intrinsic apoptotic mechanisms.

AIF holds relevance in neurodegenerative disorders such as Parkinson's disease and certain forms of cancer. Misregulation or mutations in AIF can lead to increased susceptibility to these conditions highlighting its importance in maintaining normal cellular and mitochondrial function. AIF also interacts with other proteins implicated in these disorders such as E2F1 in cancer which shares similar apoptotic regulatory roles. These interactions highlight the biological significance of AIF beyond its fundamental apoptosis function making it a potential target for therapeutic interventions.

Product protocols

For this product, it's our understanding that no specific protocols are required. You can visit:

Target data

Functions both as NADH oxidoreductase and as regulator of apoptosis (PubMed : 17094969, PubMed : 20362274, PubMed : 23217327, PubMed : 33168626). In response to apoptotic stimuli, it is released from the mitochondrion intermembrane space into the cytosol and to the nucleus, where it functions as a proapoptotic factor in a caspase-independent pathway (PubMed : 20362274). Release into the cytoplasm is mediated upon binding to poly-ADP-ribose chains (By similarity). The soluble form (AIFsol) found in the nucleus induces 'parthanatos' i.e. caspase-independent fragmentation of chromosomal DNA (PubMed : 20362274). Binds to DNA in a sequence-independent manner (PubMed : 27178839). Interacts with EIF3G, and thereby inhibits the EIF3 machinery and protein synthesis, and activates caspase-7 to amplify apoptosis (PubMed : 17094969). Plays a critical role in caspase-independent, pyknotic cell death in hydrogen peroxide-exposed cells (PubMed : 19418225). In contrast, participates in normal mitochondrial metabolism. Plays an important role in the regulation of respiratory chain biogenesis by interacting with CHCHD4 and controlling CHCHD4 mitochondrial import (PubMed : 26004228).. Isoform 4. Has NADH oxidoreductase activity. Does not induce nuclear apoptosis.. Isoform 5. Pro-apoptotic isoform.
See full target information AIFM1

Publications (1)

Recent publications for all applications. Explore the full list and refine your search

American journal of physiology. Heart and circulatory physiology 321:H905-H919 PubMed34506227

2021

Altered stress hormone levels affect in vivo vascular function in the hAPP23 overexpressing mouse model of Alzheimer's disease.

Applications

Unspecified application

Species

Unspecified reactive species

Jhana O Hendrickx,Sofie De Moudt,Debby Van Dam,Peter Paul De Deyn,Paul Fransen,Guido R Y De Meyer
View all publications

Product promise

We are committed to supporting your work with high-quality reagents, and we're here for you every step of the way. In the unlikely event that one of our products does not perform as expected, you're protected by our Product Promise.
For full details, please see our Terms & Conditions

Please note: All products are 'FOR RESEARCH USE ONLY. NOT FOR USE IN DIAGNOSTIC OR THERAPEUTIC PROCEDURES'.

For licensing inquiries, please contact partnerships@abcam.com