JavaScript is disabled in your browser. Please enable JavaScript to view this website.
AB272113

Biotin Anti-AKT1 (phospho S473) antibody [17F6.B11]

Be the first to review this product! Submit a review

|

(0 Publication)

Mouse Monoclonal AKT1 phospho S473 antibody - conjugated to Biotin. Suitable for IHC-P, ELISA and reacts with Human, Synthetic peptide samples. Immunogen corresponding to Synthetic Peptide within Human AKT1 phospho S473.

View Alternative Names

PKB, RAC, AKT1, RAC-alpha serine/threonine-protein kinase, Protein kinase B, Protein kinase B alpha, Proto-oncogene c-Akt, RAC-PK-alpha, PKB alpha

3 Images
Immunohistochemistry (Formalin/PFA-fixed paraffin-embedded sections) - Biotin Anti-AKT1 (phospho S473) antibody [17F6.B11] (AB272113)
  • IHC-P

Unknown

Immunohistochemistry (Formalin/PFA-fixed paraffin-embedded sections) - Biotin Anti-AKT1 (phospho S473) antibody [17F6.B11] (AB272113)

Formalin-fixed, parafin embedded prostate )stained for AKT1 (red, left) using ab272113 at 20 μg/mL, followed by Streptavidin-HRP at 10 μg/mL. Counterstain : hematoxylin (purple). Negative control : right image.

Immunohistochemistry (Formalin/PFA-fixed paraffin-embedded sections) - Biotin Anti-AKT1 (phospho S473) antibody [17F6.B11] (AB272113)
  • IHC-P

Unknown

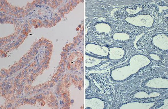
Immunohistochemistry (Formalin/PFA-fixed paraffin-embedded sections) - Biotin Anti-AKT1 (phospho S473) antibody [17F6.B11] (AB272113)

Formalin-fixed, paraffin embedded human prostate tissue stained for AKT1 (left) using ab272113 at 20 μg/mL, followed by Streptavidin-HRP at 10 μg/mL. Nuclear counterstain : hematoxylin. Antigen retrieval : Citrate, pH 6.2, pressure cooker.

Negative control (right) used pH9 antigen retrieval.

ELISA - Biotin Anti-AKT1 (phospho S473) antibody [17F6.B11] (AB272113)
  • ELISA

Unknown

ELISA - Biotin Anti-AKT1 (phospho S473) antibody [17F6.B11] (AB272113)

ELISA of BSA conjugated Akt phospho S473 (red) and AKT non-phospho S473 (blue) at 0.1 μg/well using ab272113 at 5 μg/mL and 3-fold serial diluted, followed by Streptavidin-Peroxidase at 1/10,000. Substrate : TMB.

Key facts

Host species

Mouse

Clonality

Monoclonal

Clone number

17F6.B11

Isotype

IgG1

Conjugation

Biotin

Excitation/Emission
Carrier free

No

Reacts with

Human

Applications

ELISA, IHC-P

applications

Immunogen

Synthetic Peptide within Human AKT1 phospho S473. The exact immunogen used to generate this antibody is proprietary information.

P31749

Specificity

A BLAST analysis was used to suggest cross-reactivity with AKT pS473 from human, mouse, rat and chimpanzee sources based on 100% homology with the immunizing sequence. Cross-reactivity with AKT from other sources has not been determined. Cross-reactivity with AKT2 and AKT3 has not been determined.

Reactivity data

{ "title": "Reactivity Data", "filters": { "stats": ["", "Species", "Dilution Info", "Notes"], "tabs": { "all-applications": {"fullname" : "All Applications", "shortname": "All Applications"}, "IHCP" : {"fullname" : "Immunohistochemistry (Formalin/PFA-fixed paraffin-embedded sections)", "shortname":"IHC-P"}, "ELISA" : {"fullname" : "ELISA", "shortname":"ELISA"} }, "product-promise": { "all": "all", "testedAndGuaranteed": "tested", "guaranteed": "expected", "predicted": "predicted", "notRecommended": "not-recommended" } }, "values": { "Human": { "IHCP-species-checked": "testedAndGuaranteed", "IHCP-species-dilution-info": "20 µg/mL", "IHCP-species-notes": "<p></p> Perform heat-mediated antigen retrieval with citrate buffer pH 6 before commencing with IHC staining protocol.", "ELISA-species-checked": "guaranteed", "ELISA-species-dilution-info": "", "ELISA-species-notes": "" }, "Mouse": { "IHCP-species-checked": "predicted", "IHCP-species-dilution-info": "", "IHCP-species-notes": "", "ELISA-species-checked": "predicted", "ELISA-species-dilution-info": "", "ELISA-species-notes": "" }, "Rat": { "IHCP-species-checked": "predicted", "IHCP-species-dilution-info": "", "IHCP-species-notes": "", "ELISA-species-checked": "predicted", "ELISA-species-dilution-info": "", "ELISA-species-notes": "" }, "Chimpanzee": { "IHCP-species-checked": "predicted", "IHCP-species-dilution-info": "", "IHCP-species-notes": "", "ELISA-species-checked": "predicted", "ELISA-species-dilution-info": "", "ELISA-species-notes": "" }, "Synthetic peptide": { "IHCP-species-checked": "notRecommended", "IHCP-species-dilution-info": "", "IHCP-species-notes": "", "ELISA-species-checked": "testedAndGuaranteed", "ELISA-species-dilution-info": "5 µg/mL", "ELISA-species-notes": "<p></p>" } } }

You may be interested in:

AB126433

Akt (pS473) + total Akt ELISA Kit

3

1 Reviews

View product

We recommend this product because it’s often used in the same experiment or related research.

We advise that you always check the datasheet to ensure it fits your experiments, or contact ourtechnical teamfor help.

Product details

Properties and storage information

Form
Liquid
Purification technique
Affinity purification Protein A
Purification notes
Purified from tissue culture supernatant.
Storage buffer
Preservative: 0.01% Sodium azide Constituents: 1% BSA, 0.88% Sodium chloride, 0.424% Potassium phosphate solution
Shipped at conditions
Blue Ice
Appropriate short-term storage duration
1-2 weeks
Appropriate short-term storage conditions
+4°C
Appropriate long-term storage conditions
-20°C
Aliquoting information
Upon delivery aliquot
Storage information
Avoid freeze / thaw cycle|Store in the dark

Supplementary information

This supplementary information is collated from multiple sources and compiled automatically.

AKT1 also known as Protein Kinase B (PKB) is a serine/threonine kinase involved in various cellular processes. AKT1 plays an important role in mediating signals for cell survival growth and metabolism. This protein has a molecular weight of approximately 56 kDa. AKT1 is ubiquitously expressed in many tissues including the brain heart and lungs showing its importance in multiple physiological contexts. Phosphorylation of AKT1 at serine 473 denoted as p-AKT S473 is an important modification that regulates its activity.
Biological function summary

AKT1 regulates a broad spectrum of cellular functions through signaling pathways. It is an important player in the phosphatidylinositol 3-kinase (PI3K) and AKT pathway forming part of a complex involved in promoting cell survival and growth. AKT1 interacts closely with other proteins such as mTOR influencing cellular metabolism and autophagy. The phosphorylation state of AKT1 is critical for its activity with modifications like p-AKT S473 impacting its interaction with cellular substrates.

Pathways

AKT1 participates in the PI3K/AKT/mTOR signaling cascade instrumental in cell proliferation and metabolism. AKT1 integrates signals from insulin and growth factors modulating pathways that control cell growth and glucose uptake. This pathway involves proteins like mTOR and phospho-AKT which coordinate cellular responses to external stimuli. AKT1’s phosphorylation at serine 473 and the involvement of AKT1 E17K a gain-of-function mutation influence these pathways significantly.

AKT1 has associations with cancer and metabolic disorders. Dysregulation of the PI3K/AKT/mTOR pathway involving AKT1 and mTOR often results in oncogenic transformation and uncontrolled cellular proliferation. In cancer such as breast cancer AKT1 mutations including AKT1 E17K are implicated altering cell signals for growth. Additionally AKT1 is connected to metabolic disorders such as Type 2 diabetes where it affects insulin signaling and glucose metabolism highlighting its interaction with metabolic proteins like mTOR and phospho-AKT.

Product protocols

For this product, it's our understanding that no specific protocols are required. You can visit:

Target data

AKT1 is one of 3 closely related serine/threonine-protein kinases (AKT1, AKT2 and AKT3) called the AKT kinase, and which regulate many processes including metabolism, proliferation, cell survival, growth and angiogenesis (PubMed : 11882383, PubMed : 15526160, PubMed : 15861136, PubMed : 21432781, PubMed : 21620960, PubMed : 31204173). This is mediated through serine and/or threonine phosphorylation of a range of downstream substrates (PubMed : 11882383, PubMed : 15526160, PubMed : 21432781, PubMed : 21620960, PubMed : 29343641, PubMed : 31204173). Over 100 substrate candidates have been reported so far, but for most of them, no isoform specificity has been reported (PubMed : 11882383, PubMed : 15526160, PubMed : 21432781, PubMed : 21620960). AKT is responsible of the regulation of glucose uptake by mediating insulin-induced translocation of the SLC2A4/GLUT4 glucose transporter to the cell surface (By similarity). Phosphorylation of PTPN1 at 'Ser-50' negatively modulates its phosphatase activity preventing dephosphorylation of the insulin receptor and the attenuation of insulin signaling (By similarity). Phosphorylation of TBC1D4 triggers the binding of this effector to inhibitory 14-3-3 proteins, which is required for insulin-stimulated glucose transport (PubMed : 11994271). AKT also regulates the storage of glucose in the form of glycogen by phosphorylating GSK3A at 'Ser-21' and GSK3B at 'Ser-9', resulting in inhibition of its kinase activity (By similarity). Phosphorylation of GSK3 isoforms by AKT is also thought to be one mechanism by which cell proliferation is driven (By similarity). AKT also regulates cell survival via the phosphorylation of MAP3K5 (apoptosis signal-related kinase) (PubMed : 11154276). Phosphorylation of 'Ser-83' decreases MAP3K5 kinase activity stimulated by oxidative stress and thereby prevents apoptosis (PubMed : 11154276). AKT mediates insulin-stimulated protein synthesis by phosphorylating TSC2 at 'Ser-939' and 'Thr-1462', thereby activating the mTORC1 signaling pathway, and leading to both phosphorylation of 4E-BP1 and in activation of RPS6KB1 (PubMed : 12150915, PubMed : 12172553). Also regulates the mTORC1 signaling pathway by catalyzing phosphorylation of CASTOR1 and DEPDC5 (PubMed : 31548394, PubMed : 33594058). AKT plays a role as key modulator of the AKT-mTOR signaling pathway controlling the tempo of the process of newborn neurons integration during adult neurogenesis, including correct neuron positioning, dendritic development and synapse formation (By similarity). Part of a positive feedback loop of mTORC2 signaling by mediating phosphorylation of MAPKAP1/SIN1, promoting mTORC2 activation (By similarity). AKT is involved in the phosphorylation of members of the FOXO factors (Forkhead family of transcription factors), leading to binding of 14-3-3 proteins and cytoplasmic localization (PubMed : 10358075). In particular, FOXO1 is phosphorylated at 'Thr-24', 'Ser-256' and 'Ser-319' (PubMed : 10358075). FOXO3 and FOXO4 are phosphorylated on equivalent sites (PubMed : 10358075). AKT has an important role in the regulation of NF-kappa-B-dependent gene transcription and positively regulates the activity of CREB1 (cyclic AMP (cAMP)-response element binding protein) (PubMed : 9829964). The phosphorylation of CREB1 induces the binding of accessory proteins that are necessary for the transcription of pro-survival genes such as BCL2 and MCL1 (PubMed : 9829964). AKT phosphorylates 'Ser-454' on ATP citrate lyase (ACLY), thereby potentially regulating ACLY activity and fatty acid synthesis (By similarity). Activates the 3B isoform of cyclic nucleotide phosphodiesterase (PDE3B) via phosphorylation of 'Ser-273', resulting in reduced cyclic AMP levels and inhibition of lipolysis (By similarity). Phosphorylates PIKFYVE on 'Ser-318', which results in increased PI(3)P-5 activity (By similarity). The Rho GTPase-activating protein DLC1 is another substrate and its phosphorylation is implicated in the regulation cell proliferation and cell growth (By similarity). Signals downstream of phosphatidylinositol 3-kinase (PI(3)K) to mediate the effects of various growth factors such as platelet-derived growth factor (PDGF), epidermal growth factor (EGF), insulin and insulin-like growth factor 1 (IGF1) (PubMed : 12176338, PubMed : 12964941). AKT mediates the antiapoptotic effects of IGF1 (By similarity). Essential for the SPATA13-mediated regulation of cell migration and adhesion assembly and disassembly (PubMed : 19934221). May be involved in the regulation of the placental development (By similarity). Phosphorylates STK4/MST1 at 'Thr-120' and 'Thr-387' leading to inhibition of its : kinase activity, nuclear translocation, autophosphorylation and ability to phosphorylate FOXO3 (PubMed : 17726016). Phosphorylates STK3/MST2 at 'Thr-117' and 'Thr-384' leading to inhibition of its : cleavage, kinase activity, autophosphorylation at Thr-180, binding to RASSF1 and nuclear translocation (PubMed : 20086174). Phosphorylates SRPK2 and enhances its kinase activity towards SRSF2 and ACIN1 and promotes its nuclear translocation (PubMed : 19592491). Phosphorylates RAF1 at 'Ser-259' and negatively regulates its activity (PubMed : 10576742). Phosphorylation of BAD stimulates its pro-apoptotic activity (PubMed : 10926925). Phosphorylates KAT6A at 'Thr-369' and this phosphorylation inhibits the interaction of KAT6A with PML and negatively regulates its acetylation activity towards p53/TP53 (PubMed : 23431171). Phosphorylates palladin (PALLD), modulating cytoskeletal organization and cell motility (PubMed : 20471940). Phosphorylates prohibitin (PHB), playing an important role in cell metabolism and proliferation (PubMed : 18507042). Phosphorylates CDKN1A, for which phosphorylation at 'Thr-145' induces its release from CDK2 and cytoplasmic relocalization (PubMed : 16982699). These recent findings indicate that the AKT1 isoform has a more specific role in cell motility and proliferation (PubMed : 16139227). Phosphorylates CLK2 thereby controlling cell survival to ionizing radiation (PubMed : 20682768). Phosphorylates PCK1 at 'Ser-90', reducing the binding affinity of PCK1 to oxaloacetate and changing PCK1 into an atypical protein kinase activity using GTP as donor (PubMed : 32322062). Also acts as an activator of TMEM175 potassium channel activity in response to growth factors : forms the lysoK(GF) complex together with TMEM175 and acts by promoting TMEM175 channel activation, independently of its protein kinase activity (PubMed : 32228865). Acts as a regulator of mitochondrial calcium uptake by mediating phosphorylation of MICU1 in the mitochondrial intermembrane space, impairing MICU1 maturation (PubMed : 30504268). Acts as an inhibitor of tRNA methylation by mediating phosphorylation of the N-terminus of METTL1, thereby inhibiting METTL1 methyltransferase activity (PubMed : 15861136). In response to LPAR1 receptor pathway activation, phosphorylates Rabin8/RAB3IP which alters its activity and phosphorylates WDR44 which induces WDR44 binding to Rab11, thereby switching Rab11 vesicular function from preciliary trafficking to endocytic recycling (PubMed : 31204173).
See full target information AKT1 phospho S473

Product promise

We are committed to supporting your work with high-quality reagents, and we're here for you every step of the way. In the unlikely event that one of our products does not perform as expected, you're protected by our Product Promise.
For full details, please see our Terms & Conditions

Please note: All products are 'FOR RESEARCH USE ONLY. NOT FOR USE IN DIAGNOSTIC OR THERAPEUTIC PROCEDURES'.

For licensing inquiries, please contact partnerships@abcam.com