JavaScript is disabled in your browser. Please enable JavaScript to view this website.
AB24274

Biotin Anti-Apolipoprotein E antibody

Be the first to review this product! Submit a review

|

(1 Publication)

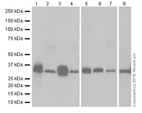
Goat Polyclonal Apolipoprotein E antibody - conjugated to Biotin. Suitable for ELISA, WB, ICC/IF and reacts with Human samples. Cited in 1 publication. Immunogen corresponding to Native Full Length Protein corresponding to Human APOE.

View Alternative Names

Apolipoprotein E, Apo-E, APOE

Key facts

Host species

Goat

Clonality

Polyclonal

Isotype

IgG

Conjugation

Biotin

Excitation/Emission
Carrier free

No

Reacts with

Human

Applications

WB, ICC/IF, ELISA

applications

Immunogen

Native Full Length Protein corresponding to Human APOE.

P02649

Reactivity data

{ "title": "Reactivity Data", "filters": { "stats": ["", "Species", "Dilution Info", "Notes"], "tabs": { "all-applications": {"fullname" : "All Applications", "shortname": "All Applications"}, "ELISA" : {"fullname" : "ELISA", "shortname":"ELISA"}, "WB" : {"fullname" : "Western blot", "shortname":"WB"}, "ICCIF" : {"fullname" : "Immunocytochemistry/ Immunofluorescence", "shortname":"ICC/IF"} }, "product-promise": { "all": "all", "testedAndGuaranteed": "tested", "guaranteed": "expected", "predicted": "predicted", "notRecommended": "not-recommended" } }, "values": { "Human": { "ELISA-species-checked": "guaranteed", "ELISA-species-dilution-info": "", "ELISA-species-notes": "<p></p>", "WB-species-checked": "guaranteed", "WB-species-dilution-info": "", "WB-species-notes": "<p>Dilution optimised using Chromogenic detection.</p>", "ICCIF-species-checked": "guaranteed", "ICCIF-species-dilution-info": "", "ICCIF-species-notes": "<p></p>" } } }

Properties and storage information

Form
Liquid
Purification technique
Affinity purification Immunogen
Purification notes
Purified by human apo E-Sepharose chromatography, then labeled with biotin.
Storage buffer
Preservative: 0.02% Sodium azide Constituents: 0.435% Sodium chloride, 0.2% PBS, 0.0292% EDTA
Shipped at conditions
Blue Ice
Appropriate short-term storage duration
1-2 weeks
Appropriate short-term storage conditions
+4°C
Appropriate long-term storage conditions
-20°C
Storage information
Avoid freeze / thaw cycle

Supplementary information

This supplementary information is collated from multiple sources and compiled automatically.

Apolipoprotein E (ApoE) also known as apolipoprotein e or apoE is a major protein involved in lipid metabolism. It has an approximate molecular weight of 34 kDa. This protein is mainly produced in the liver and brain where it plays a critical role in transporting lipoproteins fat-soluble vitamins and cholesterol. ApoE exists in three common isoforms: ApoE2 ApoE3 and ApoE4 each having different impacts on lipid binding and metabolic processes. Scientists often use an ApoE ELISA kit to quantify this protein in various samples providing insights into its expression in health and disease.
Biological function summary

ApoE mediates the binding internalization and catabolism of these lipoprotein particles facilitating their interaction with specific cell-surface receptors such as the LDL receptor. This protein operates as part of a complex that includes various other apolipoproteins and lipid molecules. The study of mouse apoe using tools like a mouse apoe ELISA provides valuable data due to its similar physiological functions in lipid transport and metabolism.

Pathways

In the lipid metabolism pathway ApoE interacts with proteins such as the LDL receptor influencing the clearance of chylomicron remnants and VLDL from the bloodstream. In the cardiovascular disease pathway this protein impacts cholesterol levels and promotes plaques stabilization. ApoE's role in these pathways offers insights into its interaction with related proteins like apolipoprotein B and LDL receptor which are critical for maintaining lipid equilibrium.

In Alzheimer’s disease ApoE4 isoform has a higher risk factor compared to ApoE3 and ApoE2 contributing to amyloid plaque formation through interactions with amyloid precursor protein. In cardiovascular diseases ApoE abnormalities influence atherosclerosis development with ApoE-deficient models showing increased susceptibility. ApoE's links to these diseases also connect it to other key proteins such as presenilin-1 in Alzheimer's disease and apolipoprotein B in cardiovascular disorders highlighting its extensive biological impact.

Product protocols

For this product, it's our understanding that no specific protocols are required. You can visit:

Target data

APOE is an apolipoprotein, a protein associating with lipid particles, that mainly functions in lipoprotein-mediated lipid transport between organs via the plasma and interstitial fluids (PubMed : 14754908, PubMed : 1911868, PubMed : 6860692). APOE is a core component of plasma lipoproteins and is involved in their production, conversion and clearance (PubMed : 14754908, PubMed : 1911868, PubMed : 1917954, PubMed : 23620513, PubMed : 2762297, PubMed : 6860692, PubMed : 9395455). Apolipoproteins are amphipathic molecules that interact both with lipids of the lipoprotein particle core and the aqueous environment of the plasma (PubMed : 2762297, PubMed : 6860692, PubMed : 9395455). As such, APOE associates with chylomicrons, chylomicron remnants, very low density lipoproteins (VLDL) and intermediate density lipoproteins (IDL) but shows a preferential binding to high-density lipoproteins (HDL) (PubMed : 1911868, PubMed : 6860692). It also binds a wide range of cellular receptors including the LDL receptor/LDLR, the LDL receptor-related proteins LRP1, LRP2 and LRP8 and the very low-density lipoprotein receptor/VLDLR that mediate the cellular uptake of the APOE-containing lipoprotein particles (PubMed : 12950167, PubMed : 1530612, PubMed : 1917954, PubMed : 20030366, PubMed : 20303980, PubMed : 2063194, PubMed : 2762297, PubMed : 7635945, PubMed : 7768901, PubMed : 8756331, PubMed : 8939961). Finally, APOE has also a heparin-binding activity and binds heparan-sulfate proteoglycans on the surface of cells, a property that supports the capture and the receptor-mediated uptake of APOE-containing lipoproteins by cells (PubMed : 23676495, PubMed : 7635945, PubMed : 9395455, PubMed : 9488694). A main function of APOE is to mediate lipoprotein clearance through the uptake of chylomicrons, VLDLs, and HDLs by hepatocytes (PubMed : 1911868, PubMed : 1917954, PubMed : 23676495, PubMed : 29516132, PubMed : 9395455). APOE is also involved in the biosynthesis by the liver of VLDLs as well as their uptake by peripheral tissues ensuring the delivery of triglycerides and energy storage in muscle, heart and adipose tissues (PubMed : 2762297, PubMed : 29516132). By participating in the lipoprotein-mediated distribution of lipids among tissues, APOE plays a critical role in plasma and tissues lipid homeostasis (PubMed : 1917954, PubMed : 2762297, PubMed : 29516132). APOE is also involved in two steps of reverse cholesterol transport, the HDLs-mediated transport of cholesterol from peripheral tissues to the liver, and thereby plays an important role in cholesterol homeostasis (PubMed : 14754908, PubMed : 23620513, PubMed : 9395455). First, it is functionally associated with ABCA1 in the biogenesis of HDLs in tissues (PubMed : 14754908, PubMed : 23620513). Second, it is enriched in circulating HDLs and mediates their uptake by hepatocytes (PubMed : 9395455). APOE also plays an important role in lipid transport in the central nervous system, regulating neuron survival and sprouting (PubMed : 25173806, PubMed : 8939961). APOE is also involved in innate and adaptive immune responses, controlling for instance the survival of myeloid-derived suppressor cells (By similarity). Binds to the immune cell receptor LILRB4 (PubMed : 30333625). APOE may also play a role in transcription regulation through a receptor-dependent and cholesterol-independent mechanism, that activates MAP3K12 and a non-canonical MAPK signal transduction pathway that results in enhanced AP-1-mediated transcription of APP (PubMed : 28111074).. (Microbial infection) Through its interaction with HCV envelope glycoprotein E2, participates in the attachment of HCV to HSPGs and other receptors (LDLr, VLDLr, and SR-B1) on the cell surface and to the assembly, maturation and infectivity of HCV viral particles (PubMed : 25122793, PubMed : 29695434). This interaction is probably promoted via the up-regulation of cellular autophagy by the virus (PubMed : 29695434).
See full target information APOE

Publications (1)

Recent publications for all applications. Explore the full list and refine your search

International journal of molecular epidemiology an 5:53-70 PubMed24959311

2014

Practical detection of a definitive biomarker panel for Alzheimer's disease; comparisons between matched plasma and cerebrospinal fluid.

Applications

ELISA

Species

Human

Joanna L Richens,Kelly-Ann Vere,Roger A Light,Daniele Soria,Jonathan Garibaldi,A David Smith,Donald Warden,Gordon Wilcock,Nin Bajaj,Kevin Morgan,Paul O'Shea
View all publications

Product promise

We are committed to supporting your work with high-quality reagents, and we're here for you every step of the way. In the unlikely event that one of our products does not perform as expected, you're protected by our Product Promise.
For full details, please see our Terms & Conditions

Please note: All products are 'FOR RESEARCH USE ONLY. NOT FOR USE IN DIAGNOSTIC OR THERAPEUTIC PROCEDURES'.

For licensing inquiries, please contact partnerships@abcam.com