JavaScript is disabled in your browser. Please enable JavaScript to view this website.
AB195903

Biotin Anti-beta III Tubulin antibody [EP1569Y] - Neuronal Marker

  • BOND RX™ Validated
  • RabMAb
  • Recombinant
  • Lab Essentials
  • What is this?

Be the first to review this product! Submit a review

|

(0 Publication)

Rabbit Recombinant Monoclonal Beta-3-tubulin antibody - conjugated to Biotin. Neuron marker. Suitable for IHC-P and reacts with Human samples.

View Alternative Names

TUBB4, TUBB3, Tubulin beta-3 chain, Tubulin beta-4 chain, Tubulin beta-III

1 Images
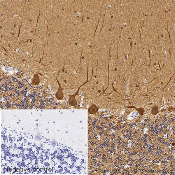
Immunohistochemistry (Formalin/PFA-fixed paraffin-embedded sections) - Biotin Anti-beta III Tubulin antibody [EP1569Y] - Neuronal Marker (AB195903)
  • IHC-P

Lab

Immunohistochemistry (Formalin/PFA-fixed paraffin-embedded sections) - Biotin Anti-beta III Tubulin antibody [EP1569Y] - Neuronal Marker (AB195903)

IHC image of beta III Tubulin staining in a section of formalin-fixed paraffin-embedded normal human cerebellum, performed on a Leica BOND™. The section was pre-treated using heat mediated antigen retrieval with sodium citrate buffer (pH6, epitope retrieval solution 1) for 20mins, before blocking of endogenous biotin using ab64212. The section was then incubated with ab195903, 1/100 dilution, for 15 mins at room temperature and detected using an HRP conjugated ABC system. DAB was used as the chromogen. The section was then counterstained with haematoxylin and mounted with DPX. The inset negative control image is taken from an identical assay without primary antibody.

For other IHC staining systems (automated and non-automated) customers should optimize variable parameters such as antigen retrieval conditions, primary antibody concentration and antibody incubation times.

  • Unconjugated

    Anti-beta III Tubulin antibody [EP1569Y] - Neuronal Marker

  • HRP

    HRP Anti-beta III Tubulin antibody [EP1569Y] - Neuronal Marker

  • 660 APC

    APC Anti-beta III Tubulin antibody [EP1569Y] - Neuronal Marker

  • 578 PE

    PE Anti-beta III Tubulin antibody [EP1569Y] - Neuronal Marker

  • 665 Alexa Fluor® 647

    Alexa Fluor® 647 Anti-beta III Tubulin antibody [EP1569Y] - Neuronal Marker

  • 565 Alexa Fluor® 555

    Alexa Fluor® 555 Anti-beta III Tubulin antibody [EP1569Y] - Neuronal Marker

  • 519 FITC

    FITC Anti-beta III Tubulin antibody [EP1569Y] - Neuronal Marker

  • 617 Alexa Fluor® 594

    Alexa Fluor® 594 Anti-beta III Tubulin antibody [EP1569Y] - Neuronal Marker

  • Carrier free

    Anti-beta III Tubulin antibody [EP1569Y] - BSA and Azide free

  • 519 Alexa Fluor® 488

    Alexa Fluor® 488 Anti-beta III Tubulin antibody [EP1569Y] - Neuronal Marker

Key facts

Host species

Rabbit

Clonality

Monoclonal

Clone number

EP1569Y

Isotype

IgG

Conjugation

Biotin

Excitation/Emission
Carrier free

No

Reacts with

Human

Applications

IHC-P

applications

Immunogen

The exact immunogen used to generate this antibody is proprietary information.

Reactivity data

{ "title": "Reactivity Data", "filters": { "stats": ["", "Species", "Dilution Info", "Notes"], "tabs": { "all-applications": {"fullname" : "All Applications", "shortname": "All Applications"}, "IHCP" : {"fullname" : "Immunohistochemistry (Formalin/PFA-fixed paraffin-embedded sections)", "shortname":"IHC-P"} }, "product-promise": { "all": "all", "testedAndGuaranteed": "tested", "guaranteed": "expected", "predicted": "predicted", "notRecommended": "not-recommended" } }, "values": { "Human": { "IHCP-species-checked": "testedAndGuaranteed", "IHCP-species-dilution-info": "1/100", "IHCP-species-notes": "<p></p> Perform heat-mediated antigen retrieval with citrate buffer pH 6 before commencing with IHC staining protocol." }, "Mouse": { "IHCP-species-checked": "predicted", "IHCP-species-dilution-info": "", "IHCP-species-notes": "" }, "Rat": { "IHCP-species-checked": "predicted", "IHCP-species-dilution-info": "", "IHCP-species-notes": "" }, "Zebrafish": { "IHCP-species-checked": "predicted", "IHCP-species-dilution-info": "", "IHCP-species-notes": "" } } }

You may be interested in:

AB235644

Human Beta-III Tubulin ELISA Kit

0

0 Reviews

View product

We recommend this product because it’s often used in the same experiment or related research.

We advise that you always check the datasheet to ensure it fits your experiments, or contact ourtechnical teamfor help.

Product details

Patented technology
Our RabMAb® technology is a patented hybridoma-based technology for making rabbit monoclonal antibodies. For details on our patents, please refer to RabMAb® patents.

What are the advantages of a recombinant monoclonal antibody?
This product is a recombinant monoclonal antibody, which offers several advantages including:

  • - High batch-to-batch consistency and reproducibility
  • - Improved sensitivity and specificity
  • - Long-term security of supply
  • - Animal-free batch production

For more information, read more on recombinant antibodies.

Properties and storage information

Form
Liquid
Purification technique
Affinity purification Protein A
Storage buffer
pH: 7.4 Preservative: 0.02% Sodium azide Constituents: PBS, 30% Glycerol (glycerin, glycerine), 1% BSA
Shipped at conditions
Blue Ice
Appropriate short-term storage duration
1-2 weeks
Appropriate short-term storage conditions
+4°C
Appropriate long-term storage conditions
-20°C
Aliquoting information
Upon delivery aliquot
Storage information
Avoid freeze / thaw cycle|Store in the dark

Supplementary information

This supplementary information is collated from multiple sources and compiled automatically.

Beta III tubulin often referred to as βIII tubulin or beta-tubulin 3 is a microtubule element involved in the cellular cytoskeleton structure. This protein with a molecular mass of approximately 55 kDa plays an important role in the development and maintenance of neuron structures. It is most prominently expressed in neurons within the central and peripheral nervous systems. In these cells beta III tubulin contributes to microtubule polymerization facilitating the formation of the intricate network necessary for cell shape intracellular transport and division.
Biological function summary

Beta III tubulin acts in stabilizing microtubules which are essential for proper neuronal function. It exists as part of the tubulin dimer complex partnering with alpha-tubulin to form the building blocks of microtubules. This particular isotype is often used as a marker for neuronal differentiation due to its specific expression pattern in neural tissues. Its regulation and expression levels are important for neurogenesis and maintaining neuronal plasticity.

Pathways

Beta III tubulin plays a role in neuron-specific intracellular transport and signaling pathways like the Rho GTPase and MAPK signaling pathways. These pathways are involved in cell cycle regulation and apoptotic processes. Relationships with other proteins such as kinesins and dyneins are important in these pathways influencing intracellular transport and signaling through binding and moving along the microtubule tracks created by beta-tubulin isotypes including beta III tubulin.

Abnormal beta III tubulin expression has been associated with cancer particularly in tumors originating from neuronal lineage such as glioblastomas. Overexpression or mutations can contribute to chemoresistance complicating treatment for certain types of cancer. Beta III tubulin is also linked to neurodevelopmental disorders as it affects proper neural network formation and stability. Its relationship with tumor protein p53 is noted in cancer pathways as p53 can influence beta III tubulin expression impacting cellular proliferation and apoptosis in oncogenic processes.

Product protocols

For this product, it's our understanding that no specific protocols are required. You can visit:

Target data

Tubulin is the major constituent of microtubules, a cylinder consisting of laterally associated linear protofilaments composed of alpha- and beta-tubulin heterodimers (PubMed : 34996871). Microtubules grow by the addition of GTP-tubulin dimers to the microtubule end, where a stabilizing cap forms (PubMed : 34996871). Below the cap, tubulin dimers are in GDP-bound state, owing to GTPase activity of alpha-tubulin (PubMed : 34996871). TUBB3 plays a critical role in proper axon guidance and maintenance (PubMed : 20074521). Binding of NTN1/Netrin-1 to its receptor UNC5C might cause dissociation of UNC5C from polymerized TUBB3 in microtubules and thereby lead to increased microtubule dynamics and axon repulsion (PubMed : 28483977). Plays a role in dorsal root ganglion axon projection towards the spinal cord (PubMed : 28483977).
See full target information TUBB3

Product promise

We are committed to supporting your work with high-quality reagents, and we're here for you every step of the way. In the unlikely event that one of our products does not perform as expected, you're protected by our Product Promise.
For full details, please see our Terms & Conditions

Associated Products

Select an associated product type
Alternative Product
Primary Antibodies

AB68193

Anti-beta III Tubulin antibody [EPR1568Y] - Neuronal Marker

primary-antibodies

beta-iii-tubulin-antibody-epr1568y-neuronal-marker-ab68193

4

(1 reviews)

Alternative Product
Primary Antibodies

AB215037

Anti-beta III Tubulin antibody [EPR19591] - Neuronal Marker

primary-antibodies

beta-iii-tubulin-antibody-epr19591-neuronal-marker-ab215037

0

(0 reviews)

Alternative Version
Primary Antibodies

AB190574

HRP Anti-beta III Tubulin antibody [EP1569Y] - Neuronal Marker

primary-antibodies

hrp-beta-iii-tubulin-antibody-ep1569y-neuronal-marker-ab190574

0

(0 reviews)

Alternative Version
Primary Antibodies

AB224977

APC Anti-beta III Tubulin antibody [EP1569Y] - Neuronal Marker

primary-antibodies

apc-beta-iii-tubulin-antibody-ep1569y-neuronal-marker-ab224977

0

(0 reviews)

Alternative Version
Primary Antibodies

AB224979

PE Anti-beta III Tubulin antibody [EP1569Y] - Neuronal Marker

primary-antibodies

pe-beta-iii-tubulin-antibody-ep1569y-neuronal-marker-ab224979

0

(0 reviews)

Alternative Version
Primary Antibodies

AB190575

Alexa Fluor® 647 Anti-beta III Tubulin antibody [EP1569Y] - Neuronal Marker

primary-antibodies

alexa-fluor-647-beta-iii-tubulin-antibody-ep1569y-neuronal-marker-ab190575

5

(2 reviews)

Alternative Version
Primary Antibodies

AB202519

Alexa Fluor® 555 Anti-beta III Tubulin antibody [EP1569Y] - Neuronal Marker

primary-antibodies

alexa-fluor-555-beta-iii-tubulin-antibody-ep1569y-neuronal-marker-ab202519

0

(0 reviews)

Alternative Version
Primary Antibodies

AB224978

FITC Anti-beta III Tubulin antibody [EP1569Y] - Neuronal Marker

primary-antibodies

fitc-beta-iii-tubulin-antibody-ep1569y-neuronal-marker-ab224978

0

(0 reviews)

Alternative Version
Primary Antibodies

AB201740

Alexa Fluor® 594 Anti-beta III Tubulin antibody [EP1569Y] - Neuronal Marker

primary-antibodies

alexa-fluor-594-beta-iii-tubulin-antibody-ep1569y-neuronal-marker-ab201740

0

(0 reviews)

Alternative Version
Primary Antibodies

AB221935

Anti-beta III Tubulin antibody [EP1569Y] - BSA and Azide free

primary-antibodies

beta-iii-tubulin-antibody-ep1569y-bsa-and-azide-free-ab221935

0

(0 reviews)

Alternative Version
Primary Antibodies

AB283728

Alexa Fluor® 488 Anti-beta III Tubulin antibody [EP1569Y] - Neuronal Marker

primary-antibodies

alexa-fluor-488-beta-iii-tubulin-antibody-ep1569y-neuronal-marker-ab283728

0

(0 reviews)

Please note: All products are 'FOR RESEARCH USE ONLY. NOT FOR USE IN DIAGNOSTIC OR THERAPEUTIC PROCEDURES'.

For licensing inquiries, please contact partnerships@abcam.com