JavaScript is disabled in your browser. Please enable JavaScript to view this website.
AB217072

Biotin Anti-CD146 antibody [EPR3208]

3

(1 Review)

|

(1 Publication)

Rabbit Recombinant Monoclonal CD146 antibody - conjugated to Biotin. Suitable for IHC-P and reacts with Human samples. Cited in 1 publication.

View Alternative Names

CD146, MUC18, MCAM, Cell surface glycoprotein MUC18, Cell surface glycoprotein P1H12, Melanoma cell adhesion molecule, Melanoma-associated antigen A32, Melanoma-associated antigen MUC18, S-endo 1 endothelial-associated antigen

1 Images
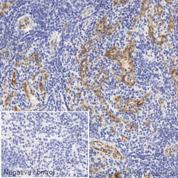
Immunohistochemistry (Formalin/PFA-fixed paraffin-embedded sections) - Biotin Anti-CD146 antibody [EPR3208] (AB217072)
  • IHC-P

Lab

Immunohistochemistry (Formalin/PFA-fixed paraffin-embedded sections) - Biotin Anti-CD146 antibody [EPR3208] (AB217072)

IHC image of CD146 staining in a section of formalin-fixed paraffin-embedded normal human spleen*, performed on a Leica BOND™. The section was pre-treated using heat mediated antigen retrieval with sodium citrate buffer (pH6, epitope retrieval solution 1) for 20mins, before blocking of endogenous biotin using ab64212. The section was then incubated with ab217072, 1/100 dilution, for 15 mins at room temperature and detected using an HRP conjugated ABC system. DAB was used as the chromogen. The section was then counterstained with haematoxylin and mounted with DPX. The inset negative control image is taken from an identical assay without primary antibody.

For other IHC staining systems (automated and non-automated) customers should optimize variable parameters such as antigen retrieval conditions, primary antibody concentration and antibody incubation times.

*Tissue obtained from the Human Research Tissue Bank, supported by the NIHR Cambridge Biomedical Research Centre

  • 675 PerCP

    PerCP Anti-CD146 antibody [EPR3208]

  • 519 Alexa Fluor® 488

    Alexa Fluor® 488 Anti-CD146 antibody [EPR3208]

  • 578 PE

    PE Anti-CD146 antibody [EPR3208]

  • 660 APC

    APC Anti-CD146 antibody [EPR3208]

  • HRP

    HRP Anti-CD146 antibody [EPR3208]

  • 665 Alexa Fluor® 647

    Alexa Fluor® 647 Anti-CD146 antibody [EPR3208]

  • 565 Alexa Fluor® 555

    Alexa Fluor® 555 Anti-CD146 antibody [EPR3208]

  • 617 Alexa Fluor® 594

    Alexa Fluor® 594 Anti-CD146 antibody [EPR3208]

  • Unconjugated

    Anti-CD146 antibody [EPR3208]

  • Carrier free

    Anti-CD146 antibody [EPR3208] - BSA and Azide free

Key facts

Host species

Rabbit

Clonality

Monoclonal

Clone number

EPR3208

Isotype

IgG

Conjugation

Biotin

Excitation/Emission
Carrier free

No

Reacts with

Human

Applications

IHC-P

applications

Immunogen

The exact immunogen used to generate this antibody is proprietary information.

Reactivity data

{ "title": "Reactivity Data", "filters": { "stats": ["", "Species", "Dilution Info", "Notes"], "tabs": { "all-applications": {"fullname" : "All Applications", "shortname": "All Applications"}, "IHCP" : {"fullname" : "Immunohistochemistry (Formalin/PFA-fixed paraffin-embedded sections)", "shortname":"IHC-P"} }, "product-promise": { "all": "all", "testedAndGuaranteed": "tested", "guaranteed": "expected", "predicted": "predicted", "notRecommended": "not-recommended" } }, "values": { "Human": { "IHCP-species-checked": "testedAndGuaranteed", "IHCP-species-dilution-info": "1/100", "IHCP-species-notes": "<p></p>" }, "Mouse": { "IHCP-species-checked": "predicted", "IHCP-species-dilution-info": "", "IHCP-species-notes": "" }, "Rat": { "IHCP-species-checked": "predicted", "IHCP-species-dilution-info": "", "IHCP-species-notes": "" } } }

Product details

Patented technology
Our RabMAb® technology is a patented hybridoma-based technology for making rabbit monoclonal antibodies. For details on our patents, please refer to RabMAb® patents.

What are the advantages of a recombinant monoclonal antibody?
This product is a recombinant monoclonal antibody, which offers several advantages including:

  • - High batch-to-batch consistency and reproducibility
  • - Improved sensitivity and specificity
  • - Long-term security of supply
  • - Animal-free batch production

For more information, read more on recombinant antibodies.

Properties and storage information

Form
Liquid
Purification technique
Affinity purification Protein A
Storage buffer
pH: 7.4 Preservative: 0.02% Sodium azide Constituents: PBS, 30% Glycerol (glycerin, glycerine), 1% BSA
Shipped at conditions
Blue Ice
Appropriate short-term storage duration
1-2 weeks
Appropriate short-term storage conditions
+4°C
Appropriate long-term storage conditions
-20°C
Aliquoting information
Upon delivery aliquot
Storage information
Avoid freeze / thaw cycle|Store in the dark

Supplementary information

This supplementary information is collated from multiple sources and compiled automatically.

CD146 also known as MCAM or MUC18 is a cell adhesion molecule that belongs to the immunoglobulin superfamily. With a mass of approximately 113 kDa CD146 is expressed mainly on the surface of endothelial cells but it can also be found on smooth muscle cells some T-cells and in certain cancerous tissues. This protein plays a role in cell-cell adhesion contributing to the integrity and signaling functions within tissue microenvironments.
Biological function summary

CD146 influences the migration and organization of cells within the vascular system. It serves as a component of cell adhesion complexes facilitating interactions between endothelial cells and other cell types. Additionally CD146 contributes to angiogenesis the process by which new blood vessels form from existing vasculature which is critical during tissue development and repair. This function makes it an important element in maintaining normal physiological processes.

Pathways

CD146 participates in the Wnt/β-catenin and MAPK signaling pathways which are vital in cell proliferation and differentiation. Through the Wnt/β-catenin pathway CD146 interacts with other proteins like Frizzled receptors to regulate gene transcription. In the MAPK pathway it is linked with signaling cascades that involve proteins such as ERK leading to cellular responses necessary for growth and response to external stimuli.

CD146 has been implicated in melanoma progression and cardiovascular diseases. Its overexpression in melanoma associates it with increased tumor growth and metastasis often involving interactions with other adhesion molecules like integrins. In cardiovascular diseases CD146 relates to atherosclerosis as its expression on endothelial cells can promote inflammatory responses. Understanding these connections provides insights into potential therapeutic targets for treating these conditions.

Product protocols

For this product, it's our understanding that no specific protocols are required. You can visit:

Target data

Plays a role in cell adhesion, and in cohesion of the endothelial monolayer at intercellular junctions in vascular tissue. Its expression may allow melanoma cells to interact with cellular elements of the vascular system, thereby enhancing hematogeneous tumor spread. Could be an adhesion molecule active in neural crest cells during embryonic development. Acts as a surface receptor that triggers tyrosine phosphorylation of FYN and PTK2/FAK1, and a transient increase in the intracellular calcium concentration.
See full target information MCAM

Publications (1)

Recent publications for all applications. Explore the full list and refine your search

Nature materials 22:511-523 PubMed36928381

2023

Combinatorial treatment rescues tumour-microenvironment-mediated attenuation of MALT1 inhibitors in B-cell lymphomas.

Applications

Unspecified application

Species

Unspecified reactive species

Shivem B Shah,Christopher R Carlson,Kristine Lai,Zhe Zhong,Grazia Marsico,Katherine M Lee,Nicole E Félix Vélez,Elisabeth B Abeles,Mayar Allam,Thomas Hu,Lauren D Walter,Karen E Martin,Khanjan Gandhi,Scott D Butler,Rishi Puri,Angela L McCleary-Wheeler,Wayne Tam,Olivier Elemento,Katsuyoshi Takata,Christian Steidl,David W Scott,Lorena Fontan,Hideki Ueno,Benjamin D Cosgrove,Giorgio Inghirami,Andrés J García,Ahmet F Coskun,Jean L Koff,Ari Melnick,Ankur Singh
View all publications

Product promise

We are committed to supporting your work with high-quality reagents, and we're here for you every step of the way. In the unlikely event that one of our products does not perform as expected, you're protected by our Product Promise.
For full details, please see our Terms & Conditions

Please note: All products are 'FOR RESEARCH USE ONLY. NOT FOR USE IN DIAGNOSTIC OR THERAPEUTIC PROCEDURES'.

For licensing inquiries, please contact partnerships@abcam.com