JavaScript is disabled in your browser. Please enable JavaScript to view this website.
AB271823

Biotin Anti-CD47 antibody [CD47/2937]

Be the first to review this product! Submit a review

|

(1 Publication)

Mouse Monoclonal CD47 antibody - conjugated to Biotin. Suitable for Protein Array, IHC-P and reacts with Human samples. Cited in 1 publication. Immunogen corresponding to Recombinant Fragment Protein within Human CD47 aa 1-150.

View Alternative Names

CD47, MER6, Leukocyte surface antigen CD47, Antigenic surface determinant protein OA3, Integrin-associated protein, Protein MER6, IAP

3 Images
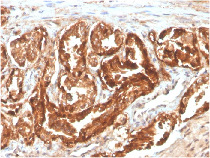
Immunohistochemistry (Formalin/PFA-fixed paraffin-embedded sections) - Biotin Anti-CD47 antibody [CD47/2937] (AB271823)
  • IHC-P

Unknown

Immunohistochemistry (Formalin/PFA-fixed paraffin-embedded sections) - Biotin Anti-CD47 antibody [CD47/2937] (AB271823)

Formalin-fixed, paraffin-embedded human prostate carcinoma tissue stained for CD47 using ab271823 at 4 μg/ml in immunohistochemical analysis.

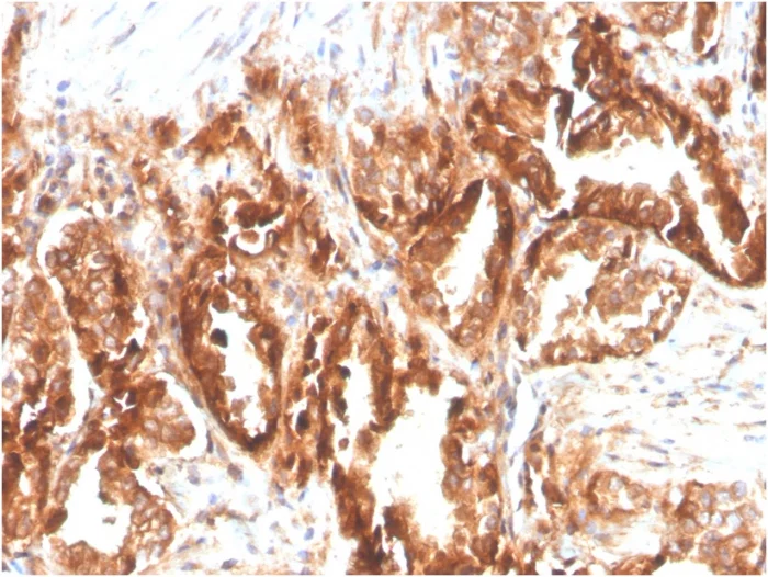
Immunohistochemistry (Formalin/PFA-fixed paraffin-embedded sections) - Biotin Anti-CD47 antibody [CD47/2937] (AB271823)
  • IHC-P

Unknown

Immunohistochemistry (Formalin/PFA-fixed paraffin-embedded sections) - Biotin Anti-CD47 antibody [CD47/2937] (AB271823)

Formalin-fixed, paraffin-embedded human prostate carcinoma tissue stained for CD47 using ab271823 at 4 μg/ml in immunohistochemical analysis.

Protein Array - Biotin Anti-CD47 antibody [CD47/2937] (AB271823)
  • Protein Array

Unknown

Protein Array - Biotin Anti-CD47 antibody [CD47/2937] (AB271823)

Analysis of Protein Array containing more than 19,000 full-length human proteins using ab271823 Z- and S- Score : The Z-score represents the strength of a signal that a monoclonal antibody (MAb) (in combination with a fluorescently-tagged anti-IgG secondary antibody) produces when binding to a particular protein on the HuProtTM array. Z-scores are described in units of standard deviations (SD's) above the mean value of all signals generated on that array. If targets on HuProtTM are arranged in descending order of the Z-score, the S-score is the difference (also in units of SD's) between the Z-score. S-score therefore represents the relative target specificity of a MAb to its intended target. A MAb is considered to specific to its intended target, if the MAb has an S-score of at least 2.5. For example, if a MAb binds to protein X with a Z-score of 43 and to protein Y with a Z-score of 14, then the S-score for the binding of that MAb to protein X is equal to 29.

Key facts

Host species

Mouse

Clonality

Monoclonal

Clone number

CD47/2937

Isotype

IgG2c

Light chain type

kappa

Conjugation

Biotin

Excitation/Emission
Carrier free

No

Reacts with

Human

Applications

IHC-P, Protein Array

applications

Immunogen

Recombinant Fragment Protein within Human CD47 aa 1-150. The exact immunogen used to generate this antibody is proprietary information.

Q08722

Reactivity data

{ "title": "Reactivity Data", "filters": { "stats": ["", "Species", "Dilution Info", "Notes"], "tabs": { "all-applications": {"fullname" : "All Applications", "shortname": "All Applications"}, "ProteinArray" : {"fullname" : "Protein Array", "shortname":"Protein Array"}, "IHCP" : {"fullname" : "Immunohistochemistry (Formalin/PFA-fixed paraffin-embedded sections)", "shortname":"IHC-P"} }, "product-promise": { "all": "all", "testedAndGuaranteed": "tested", "guaranteed": "expected", "predicted": "predicted", "notRecommended": "not-recommended" } }, "values": { "Human": { "ProteinArray-species-checked": "testedAndGuaranteed", "ProteinArray-species-dilution-info": "", "ProteinArray-species-notes": "<p></p>", "IHCP-species-checked": "testedAndGuaranteed", "IHCP-species-dilution-info": "2-4 µg/mL", "IHCP-species-notes": "<p></p> Perform heat-mediated antigen retrieval with Tris/EDTA buffer pH 9.0 before commencing with IHC staining protocol." } } }

Properties and storage information

Form
Liquid
Purification technique
Affinity purification Protein A/G
Storage buffer
pH: 7.2 - 7.4 Preservative: 0.05% Sodium azide Constituents: PBS, 0.05% BSA
Shipped at conditions
Blue Ice
Appropriate short-term storage duration
1-2 weeks
Appropriate short-term storage conditions
+4°C
Appropriate long-term storage conditions
-20°C
Aliquoting information
Upon delivery aliquot
Storage information
Avoid freeze / thaw cycle

Supplementary information

This supplementary information is collated from multiple sources and compiled automatically.

CD47 also referred to as integrin-associated protein carries a molecular weight of approximately 50 kDa. This protein is broadly expressed across various cell types notably on erythrocytes leukocytes and endothelial cells. Its transmembrane glycoprotein structure allows it to perform various cellular functions. CD47 interacts with specific ligands prominently SIRPα which are present on immune cells such as macrophages and dendritic cells. The engagement of CD47 with these ligands plays a major role in cellular signaling processes.
Biological function summary

CD47 functions as a "don't eat me" signal inhibiting phagocytosis by binding to SIRPα on macrophages. This protein is also important for cell adhesion and migration and can modulate interactions with integrins. While not a part of a large complex CD47 associates with various cytoskeletal and membrane proteins to maintain cellular architecture and transmission of mechanical forces. Additionally its interaction with thrombospondins influences angiogenesis and nitric oxide signaling.

Pathways

CD47 is extensively involved in the regulation of the immune response and angiogenesis. The interaction between CD47 and SIRPα plays a part in the regulation of macrophage activity impacting the immune signaling pathway. CD47 also interacts with integrins allowing it to contribute to the angiogenesis pathway which is critical in the formation of new blood vessels. These interactions help coordinate complex cellular responses and maintain tissue homeostasis.

CD47 levels have associations with cancer and chronic inflammatory diseases. In cancer CD47 overexpression can allow tumor cells to evade the immune response by downregulating phagocytosis through SIRPα interaction. Therapeutically targeting CD47 using agents like anti-CD47 antibodies shows potential for enhancing anti-tumor immunity. Additionally CD47 is involved in atherosclerosis where its interaction with thrombospondin-1 contributes to disease pathogenesis by affecting nitric oxide signaling and vascular remodeling.

Product protocols

For this product, it's our understanding that no specific protocols are required. You can visit:

Target data

Adhesive protein that mediates cell-to-cell interactions (PubMed : 11509594, PubMed : 15383453). Acts as a receptor for thrombospondin THBS1 and as modulator of integrin signaling through the activation of heterotrimeric G proteins (PubMed : 19004835, PubMed : 7691831, PubMed : 8550562). Involved in signal transduction, cardiovascular homeostasis, inflammation, apoptosis, angiogenesis, cellular self-renewal, and immunoregulation (PubMed : 11509594, PubMed : 15383453, PubMed : 19004835, PubMed : 27742621, PubMed : 32679764, PubMed : 7691831, PubMed : 8550562). Plays a role in modulating pulmonary endothelin EDN1 signaling (PubMed : 27742621). Modulates nitrous oxide (NO) signaling, in response to THBS1, hence playing a role as a pressor agent, supporting blood pressure (By similarity). Plays an important role in memory formation and synaptic plasticity in the hippocampus (By similarity). Receptor for SIRPA, binding to which prevents maturation of immature dendritic cells and inhibits cytokine production by mature dendritic cells (PubMed : 11509594). Interaction with SIRPG mediates cell-cell adhesion, enhances superantigen-dependent T-cell-mediated proliferation and costimulates T-cell activation (PubMed : 15383453). Positively modulates FAS-dependent apoptosis in T-cells, perhaps by enhancing FAS clustering (By similarity). Plays a role in suppressing angiogenesis and may be involved in metabolic dysregulation during normal aging (PubMed : 32679764). In response to THBS1, negatively modulates wound healing (By similarity). Inhibits stem cell self-renewal, in response to THBS1, probably by regulation of the stem cell transcription factors POU5F1/OCT4, SOX2, MYC/c-Myc and KLF4 (By similarity). May play a role in membrane transport and/or integrin dependent signal transduction (PubMed : 7691831). May prevent premature elimination of red blood cells (By similarity).
See full target information CD47

Publications (1)

Recent publications for all applications. Explore the full list and refine your search

Journal of immunology research 2022:3351268 PubMed35571569

2022

Echinacoside Induces Mitochondria-Mediated Pyroptosis through Raf/MEK/ERK Signaling in Non-Small Cell Lung Cancer Cells.

Applications

Unspecified application

Species

Unspecified reactive species

Ye Shi,Hui Cao,Zhengcheng Liu,Lei Xi,Changqing Dong
View all publications

Product promise

We are committed to supporting your work with high-quality reagents, and we're here for you every step of the way. In the unlikely event that one of our products does not perform as expected, you're protected by our Product Promise.
For full details, please see our Terms & Conditions

Please note: All products are 'FOR RESEARCH USE ONLY. NOT FOR USE IN DIAGNOSTIC OR THERAPEUTIC PROCEDURES'.

For licensing inquiries, please contact partnerships@abcam.com