JavaScript is disabled in your browser. Please enable JavaScript to view this website.
AB317601

Biotin Anti-CD68 antibody [KP1]

Be the first to review this product! Submit a review

|

(0 Publication)

Mouse Recombinant Monoclonal CD68 antibody - conjugated to Biotin. Suitable for IHC-P, WB and reacts with Human samples.

View Alternative Names

CD68, Macrosialin, Gp110

1 Images
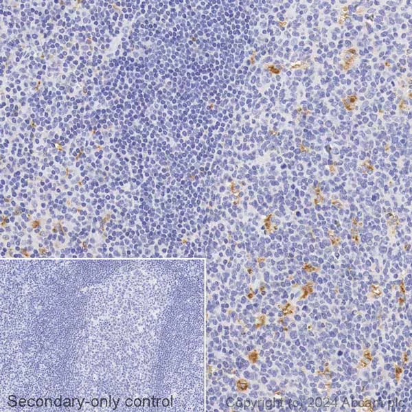
Immunohistochemistry (Formalin/PFA-fixed paraffin-embedded sections) - Biotin Anti-CD68 antibody [KP1] (AB317601)
  • IHC-P

Lab

Immunohistochemistry (Formalin/PFA-fixed paraffin-embedded sections) - Biotin Anti-CD68 antibody [KP1] (AB317601)

IHC image of CD68 staining in a section of formalin-fixed paraffin-embedded normal human tonsil*.

Performed on a Leica BOND™ system. The section was pre-treated using heat mediated antigen retrieval with EDTA buffer (pH 9.0, epitope retrieval solution 2) for 20mins, before blocking of endogenous biotin using ab64212. The section was then incubated with ab317601 at 0.5µg/ml, for 15 mins at room temperature and detected using an HRP conjugated ABC system. DAB was used as the chromogen. The section was then counterstained with haematoxylin and mounted with DPX. The inset secondary-only control image is taken from an identical assay without primary antibody.

For other IHC staining systems (automated and non-automated) customers should optimize variable parameters such as antigen retrieval conditions, primary antibody concentration and antibody incubation times.

*Tissue obtained from the Human Research Tissue Bank, supported by the NIHR Cambridge Biomedical Research Centre.

Key facts

Host species

Mouse

Clonality

Monoclonal

Clone number

KP1

Isotype

IgG1

Conjugation

Biotin

Excitation/Emission
Carrier free

No

Reacts with

Human, Human

Applications

IHC-P, WB

applications

Immunogen

The exact immunogen used to generate this antibody is proprietary information.

Reactivity data

{ "title": "Reactivity Data", "filters": { "stats": ["", "Species", "Dilution Info", "Notes"], "tabs": { "all-applications": {"fullname" : "All Applications", "shortname": "All Applications"}, "IHCP" : {"fullname" : "Immunohistochemistry (Formalin/PFA-fixed paraffin-embedded sections)", "shortname":"IHC-P"}, "WB" : {"fullname" : "Western blot", "shortname":"WB"} }, "product-promise": { "all": "all", "testedAndGuaranteed": "tested", "guaranteed": "expected", "predicted": "predicted", "notRecommended": "not-recommended" } }, "values": { "Human": { "IHCP-species-checked": "testedAndGuaranteed", "IHCP-species-dilution-info": "0.5 µg/mL", "IHCP-species-notes": "<p></p>", "WB-species-checked": "guaranteed", "WB-species-dilution-info": "", "WB-species-notes": "<p></p>" } } }

Product details

What are the advantages of a recombinant monoclonal antibody?
This product is a recombinant monoclonal antibody, which offers several advantages including:

  • - High batch-to-batch consistency and reproducibility
  • - Improved sensitivity and specificity
  • - Long-term security of supply
  • - Animal-free batch production

For more information, read more on recombinant antibodies.

Want a custom formulation?
This antibody clone is manufactured by Abcam. If you require a custom buffer formulation or conjugation for your experiments, please contact orders@abcam.com

Properties and storage information

Form
Liquid
Purification technique
Affinity purification Protein A
Storage buffer
pH: 7.4 Preservative: 0.02% Sodium azide Constituents: PBS, 30% Glycerol (glycerin, glycerine), 1% BSA
Shipped at conditions
Blue Ice
Appropriate short-term storage duration
1-2 weeks
Appropriate short-term storage conditions
+4°C
Appropriate long-term storage conditions
-20°C
Aliquoting information
Upon delivery aliquot
Storage information
Avoid freeze / thaw cycle|Store in the dark

Supplementary information

This supplementary information is collated from multiple sources and compiled automatically.

CD68 is a glycoprotein that functions as a scavenger receptor. It plays an important role in the regulation of cellular debris and apoptotic cell clearance. Researchers often refer to it as KP1 or macrosialin in the literature. CD68 with a molecular weight of approximately 110 kDa is highly expressed in macrophages and monocytes. The mucin-like structure of CD68 allows it to be heavily glycosylated which aids in its function. Researchers detect CD68 in tissues through methods like immunohistochemistry (IHC) immunofluorescence and CD68 staining and it is widely used as a macrophage marker in research.
Biological function summary

CD68 facilitates functions associated with the innate immune response. It serves as an important part of macrophages which contribute to immune surveillance and tissue homeostasis. Though it primarily operates on its own in some contexts CD68 might assist in forming complexes with other receptors to modulate phagocytic activity. This target is significant in atherosclerotic plaque stability as macrophages engulf lipids and cell debris through processes facilitated by CD68.

Pathways

CD68 is involved in pathways connected to inflammation and phagocytosis. The CD68 protein works closely with other scavenger receptors like CD36 to mediate uptake of oxidized low-density lipoproteins (oxLDL) in the lipid metabolism pathway. Additionally CD68 engagement can influence the toll-like receptor (TLR) signaling pathways thereby linking innate immunity and inflammatory responses critical for host defense and disease progression.

CD68 is associated with atherosclerosis and multiple sclerosis. In atherosclerosis its role becomes evident as it accumulates in macrophages within the plaques making it a marker of disease severity. In multiple sclerosis CD68 expression in macrophages and microglia indicates active demyelination and inflammation. It also relates to proteins such as CD36 in atherosclerosis where both mediate the uptake of modified LDL contributing to foam cell formation in plaques.

Product protocols

For this product, it's our understanding that no specific protocols are required. You can visit:

Target data

Could play a role in phagocytic activities of tissue macrophages, both in intracellular lysosomal metabolism and extracellular cell-cell and cell-pathogen interactions. Binds to tissue- and organ-specific lectins or selectins, allowing homing of macrophage subsets to particular sites. Rapid recirculation of CD68 from endosomes and lysosomes to the plasma membrane may allow macrophages to crawl over selectin-bearing substrates or other cells.
See full target information CD68

Product promise

We are committed to supporting your work with high-quality reagents, and we're here for you every step of the way. In the unlikely event that one of our products does not perform as expected, you're protected by our Product Promise.
For full details, please see our Terms & Conditions

Please note: All products are 'FOR RESEARCH USE ONLY. NOT FOR USE IN DIAGNOSTIC OR THERAPEUTIC PROCEDURES'.

For licensing inquiries, please contact partnerships@abcam.com