JavaScript is disabled in your browser. Please enable JavaScript to view this website.
AB323685

Biotin Anti-CD90 / Thy1 antibody [EPR3132]

Be the first to review this product! Submit a review

|

(0 Publication)

Rabbit Recombinant Monoclonal CD90 / Thy1 antibody - conjugated to Biotin. Suitable for IHC-P and reacts with Human samples.

View Alternative Names

CD90, Thy-1 membrane glycoprotein, CDw90, Thy-1 antigen, THY1

1 Images
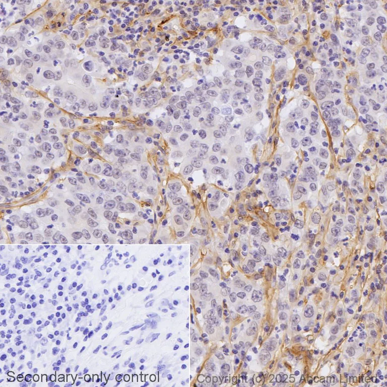
Immunohistochemistry (Formalin/PFA-fixed paraffin-embedded sections) - Biotin Anti-CD90 / Thy1 antibody [EPR3132] (AB323685)
  • IHC-P

Lab

Immunohistochemistry (Formalin/PFA-fixed paraffin-embedded sections) - Biotin Anti-CD90 / Thy1 antibody [EPR3132] (AB323685)

IHC image of THY1 staining in a section of formalin-fixed paraffin-embedded human colon carcinoma*.

Performed on a Leica BONDTM system. The section was pre-treated using heat mediated antigen retrieval with EDTA (pH 9.0, epitope retrieval solution 2) for 20mins, before blocking of endogenous biotin using ab64212. The section was then incubated with ab323685 at 10µg/ml, for 15 mins at room temperature and detected using an HRP conjugated ABC system. DAB was used as the chromogen. The section was then counterstained with haematoxylin and mounted with DPX. The inset secondary-only control image is taken from an identical assay without primary antibody.

For other IHC staining systems (automated and non-automated) customers should optimize variable parameters such as antigen retrieval conditions, primary antibody concentration and antibody incubation times.

*Tissue obtained from the Human Research Tissue Bank, supported by the NIHR Cambridge Biomedical Research Centre.

Key facts

Host species

Rabbit

Clonality

Monoclonal

Clone number

EPR3132

Isotype

IgG

Conjugation

Biotin

Excitation/Emission
Carrier free

No

Reacts with

Human

Applications

IHC-P

applications

Immunogen

The exact immunogen used to generate this antibody is proprietary information.

Specificity

This antibody reacts with mouse samples in WB, but does not work on mouse samples in other applications. Rat cross-reactivity has been tested by western blot only.

Reactivity data

{ "title": "Reactivity Data", "filters": { "stats": ["", "Species", "Dilution Info", "Notes"], "tabs": { "all-applications": {"fullname" : "All Applications", "shortname": "All Applications"}, "IHCP" : {"fullname" : "Immunohistochemistry (Formalin/PFA-fixed paraffin-embedded sections)", "shortname":"IHC-P"} }, "product-promise": { "all": "all", "testedAndGuaranteed": "tested", "guaranteed": "expected", "predicted": "predicted", "notRecommended": "not-recommended" } }, "values": { "Human": { "IHCP-species-checked": "testedAndGuaranteed", "IHCP-species-dilution-info": "1/50", "IHCP-species-notes": "<p></p> Perform heat-mediated antigen retrieval with Tris/EDTA buffer pH 9.0 before commencing with IHC staining protocol." } } }

Product details

Patented technology
Our RabMAb® technology is a patented hybridoma-based technology for making rabbit monoclonal antibodies. For details on our patents, please refer to RabMAb® patents.

What are the advantages of a recombinant monoclonal antibody?
This product is a recombinant monoclonal antibody, which offers several advantages including:

  • - High batch-to-batch consistency and reproducibility
  • - Improved sensitivity and specificity
  • - Long-term security of supply
  • - Animal-free batch production

For more information, read more on recombinant antibodies.

Properties and storage information

Form
Liquid
Purification technique
Affinity purification Protein A
Storage buffer
pH: 7.4 Preservative: 0.02% Sodium azide Constituents: PBS, 30% Glycerol (glycerin, glycerine), 1% BSA
Shipped at conditions
Blue Ice
Appropriate short-term storage duration
1-2 weeks
Appropriate short-term storage conditions
+4°C
Appropriate long-term storage conditions
-20°C
Aliquoting information
Upon delivery aliquot
Storage information
Avoid freeze / thaw cycle|Store in the dark

Supplementary information

This supplementary information is collated from multiple sources and compiled automatically.

CD90 also known as Thy1 is a glycoprotein with a molecular mass of approximately 25-37 kDa. It is highly conserved across species and found on the surface of various cell types including fibroblasts neurons and endothelial cells. CD90 is expressed in these cells in tissues such as the brain thymus and lungs. Researchers use anti-CD90 antibodies for detection often in combination with CD90 FITC in immunofluorescence assays. CD90 serves as a useful cell marker particularly in identifying mesenchymal stem cells (MSCs).
Biological function summary

CD90 plays a role in cell-cell and cell-matrix interactions contributing to cellular adhesion migration and signal transduction. It functions as part of a complex involving integrins which mediate its interaction with the extracellular matrix. This protein also influences T-cell activation reflecting its importance in immune response regulation. Its presence aids in modulating response to injury and promoting tissue repair due to its association with stem and progenitor cells.

Pathways

CD90 engagement affects focal adhesion and MAPK signaling pathways. It interacts with integrins like αvβ3 and α5β1 influencing cell movement and proliferation processes. CD90 involvement in these pathways allows it to regulate responses important for cell survival and communication within various tissues. These interactions highlight the protein's role in maintaining cellular homeostasis and regulating physiological processes.

CD90 has associations with fibrosis and cancer. In fibrotic conditions CD90 expression affects fibroblast activity influencing tissue scarring in organs such as the liver and lungs. In cancer CD90 modifies tumor progression and metastasis by impacting cell adhesion and migration with connections to proteins like TGF-beta which further drive these processes. Understanding CD90 in disease contexts facilitates the development of therapeutic strategies aimed at modulating its activity.

Product protocols

For this product, it's our understanding that no specific protocols are required. You can visit:

Target data

May play a role in cell-cell or cell-ligand interactions during synaptogenesis and other events in the brain.
See full target information THY1

Product promise

We are committed to supporting your work with high-quality reagents, and we're here for you every step of the way. In the unlikely event that one of our products does not perform as expected, you're protected by our Product Promise.
For full details, please see our Terms & Conditions

Please note: All products are 'FOR RESEARCH USE ONLY. NOT FOR USE IN DIAGNOSTIC OR THERAPEUTIC PROCEDURES'.

For licensing inquiries, please contact partnerships@abcam.com