JavaScript is disabled in your browser. Please enable JavaScript to view this website.
AB6581

Biotin Anti-Collagen IV antibody

3

(1 Review)

|

(10 Publications)

Rabbit Polyclonal COL4A1 antibody - conjugated to Biotin. Suitable for IP, ELISA, WB, IHC-P and reacts with Human, Cow samples. Cited in 10 publications. Immunogen corresponding to Native Full Length Protein corresponding to Human COL4A1.

View Alternative Names

Collagen alpha-1(IV) chain, COL4A1

1 Images
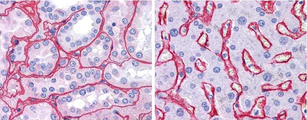
Immunohistochemistry (Formalin/PFA-fixed paraffin-embedded sections) - Biotin Anti-Collagen IV antibody (AB6581)
  • IHC-P

Supplier Data

Immunohistochemistry (Formalin/PFA-fixed paraffin-embedded sections) - Biotin Anti-Collagen IV antibody (AB6581)

Immunohistochemical analysis of formalin-fixed paraffin-embedded human tissue sections, labelling Collagen IV with ab6581 at a concentration of 10 μg/mL for 1 hour at room temperature. The left panel is human kidney sections with the right panel being human liver sections. Antigen retrival was performed with 0.01 M sodium citrate buffer at pH 6.0 at 99°C for 20 mins. The secondary used was a rabbit peroxidase secondary antibody at a 1/10,000 dilution incubated for 45 mins at room temperature. Counterstaining against nuclear DNA was hematoxylin.

Key facts

Host species

Rabbit

Clonality

Polyclonal

Isotype

IgG

Conjugation

Biotin

Excitation/Emission
Carrier free

No

Reacts with

Human, Cow

Applications

WB, IP, IHC-P, ELISA

applications

Immunogen

Native Full Length Protein corresponding to Human COL4A1.

P02462

Specificity

Anti-Collagen Type IV has been prepared by immunoaffinity chromatography using immobilized antigens followed by extensive cross-adsorption against other collagens, human serum proteins and non-collagen extracellular matrix proteins to remove any unwanted specificities. Some class-specific anti-collagens may be specific for three-dimensional epitopes which may result in diminished reactivity with denatured collagen or formalin-fixed, paraffin embedded tissues.  This antibody reacts with most mammalian Type IV collagens and has negligible cross-reactivity with Type I, II, III, V and VI collagens. Non-specific cross-reaction of anti-collagen antibodies with other human serum proteins or non-collagen extracellular matrix proteins is negligible.

Reactivity data

{ "title": "Reactivity Data", "filters": { "stats": ["", "Species", "Dilution Info", "Notes"], "tabs": { "all-applications": {"fullname" : "All Applications", "shortname": "All Applications"}, "IP" : {"fullname" : "Immunoprecipitation", "shortname":"IP"}, "ELISA" : {"fullname" : "ELISA", "shortname":"ELISA"}, "WB" : {"fullname" : "Western blot", "shortname":"WB"}, "IHCP" : {"fullname" : "Immunohistochemistry (Formalin/PFA-fixed paraffin-embedded sections)", "shortname":"IHC-P"} }, "product-promise": { "all": "all", "testedAndGuaranteed": "tested", "guaranteed": "expected", "predicted": "predicted", "notRecommended": "not-recommended" } }, "values": { "Human": { "IP-species-checked": "guaranteed", "IP-species-dilution-info": "", "IP-species-notes": "<p></p>", "ELISA-species-checked": "guaranteed", "ELISA-species-dilution-info": "", "ELISA-species-notes": "<p></p>", "WB-species-checked": "guaranteed", "WB-species-dilution-info": "", "WB-species-notes": "<p>Not recommended for use under denaturing conditions.</p>", "IHCP-species-checked": "guaranteed", "IHCP-species-dilution-info": "1/1000 - 1/5000", "IHCP-species-notes": "<p></p>" }, "Cow": { "IP-species-checked": "guaranteed", "IP-species-dilution-info": "", "IP-species-notes": "<p></p>", "ELISA-species-checked": "guaranteed", "ELISA-species-dilution-info": "", "ELISA-species-notes": "<p></p>", "WB-species-checked": "guaranteed", "WB-species-dilution-info": "", "WB-species-notes": "<p>Not recommended for use under denaturing conditions.</p>", "IHCP-species-checked": "predicted", "IHCP-species-dilution-info": "", "IHCP-species-notes": "" }, "Mammals": { "IP-species-checked": "predicted", "IP-species-dilution-info": "", "IP-species-notes": "", "ELISA-species-checked": "predicted", "ELISA-species-dilution-info": "", "ELISA-species-notes": "", "WB-species-checked": "predicted", "WB-species-dilution-info": "", "WB-species-notes": "", "IHCP-species-checked": "predicted", "IHCP-species-dilution-info": "", "IHCP-species-notes": "" } } }

Product details

At least 11 genetically distinct gene products are collectively referred to as 'collagen types' or other proteins and proteoglycans of the extracellular matrix. In humans, collagens are composed of about 20 unique protein chains which under go various types of post-translational modifications and are ultimately assembled into a triple helix. This results in great diversity between collagen types. Collagens are highly conserved throughout evolution and are characterized by an uninterrupted "Glycine-X-Y" triplet repeat that is a necessary part of the triple helical structure. For these reasons it is often extremely difficult to generate antibodies with specificities to collagens. The development of type specific antibodies is dependent on NON-DENATURED three-dimensional epitopes. This preparation results in a native conformation of the protein.

These antibodies are well suited to detect extracellular matrix proteins in normal as well as disease state tissues. Disruption of tissue organization is the hallmark of neoplasia. Malignant lesions can be distinguished from benign by examining the breakdown of basement membranes and loss of 3-dimensional architecture. Malignant cells are presumed to use matrix metalloproteases to degrade barriers created by the extracellular matrix which then allows metastasis to occur. Collagenases, stomelysins and gelatinases can collectively degrade all of the various components of the extracellular matrix, including fibrillar and non-fibrillar collagens and basement membrane glycoproteins.

Properties and storage information

Form
Liquid
Purification technique
Affinity purification Immunogen
Purification notes
Anti-Collagen Type IV has been prepared by immunoaffinity chromatography using immobilized antigens followed by extensive cross-adsorption against other collagens, human serum proteins and non-collagen extracellular matrix proteins to remove any unwanted specificities.
Storage buffer
Preservative: 0.01% Sodium azide Constituents: 1% BSA, 0.88% Sodium chloride, 0.424% Potassium phosphate solution
Shipped at conditions
Blue Ice
Appropriate short-term storage duration
1-2 weeks
Appropriate short-term storage conditions
+4°C
Appropriate long-term storage conditions
-20°C
Storage information
Avoid freeze / thaw cycle

Supplementary information

This supplementary information is collated from multiple sources and compiled automatically.

Collagen IV also known as COL4A1 or collagen type IV is a structural protein essential to the basement membrane in tissues. The molecular weight of collagen type 4 varies but it generally forms a high-molecular-weight complex. This protein expresses prominently in various tissues especially in the kidneys lens capsule of the eye and skin. Collagen IV comprises six different alpha chains where its distinctiveness lies in its non-fibrillar network-forming structure which serves as a supportive scaffold for tissues and contributes to tissue regeneration and cell adhesion.
Biological function summary

The highly organized network of collagen type IV plays a supreme role in maintaining the integrity and functionality of the basement membrane. It exists predominantly as part of a supramolecular complex associating with laminin nidogen and perlecan forming a multifunctional platform. This platform facilitates cellular signaling tissue elasticity and filtration functions. The basement membrane's selective permeability heavily relies on this network structure to regulate the exchange of molecules between tissues like blood vessels and epithelial sheets.

Pathways

Collagen IV contributes to several critical functions within the extracellular matrix organization and cell-matrix adhesion pathways. Specifically it interacts intimately with integrins and matrix metalloproteinases (MMPs) playing roles in angiogenesis and tissue repair. Additionally its interactions with other collagens and integrins within these pathways enhance cellular responses to mechanical stress and contribute to structural resilience in tissues.

Mutations or abnormalities in collagen IV are linked closely with hereditary conditions such as Alport syndrome and Goodpasture syndrome. These conditions often result in compromised structural integrity and function of the basement membrane particularly affecting the kidneys and lungs. Alterations in collagen IV can influence interactions with other proteins like collagen type IV-associated proteins altering normal physiological functions and leading to tissue dysfunction and disease manifestations.

Product protocols

For this product, it's our understanding that no specific protocols are required. You can visit:

Target data

Type IV collagen is the major structural component of glomerular basement membranes (GBM), forming a 'chicken-wire' meshwork together with laminins, proteoglycans and entactin/nidogen.. Arresten, comprising the C-terminal NC1 domain, inhibits angiogenesis and tumor formation. The C-terminal half is found to possess the anti-angiogenic activity. Specifically inhibits endothelial cell proliferation, migration and tube formation.
See full target information COL4A1

Publications (10)

Recent publications for all applications. Explore the full list and refine your search

Journal of neuroinflammation 21:72 PubMed38521959

2024

Inflammation-induced TRPV4 channels exacerbate blood-brain barrier dysfunction in multiple sclerosis.

Applications

Unspecified application

Species

Unspecified reactive species

Cathrin E Hansen,Alwin Kamermans,Kevin Mol,Kristina Berve,Carla Rodriguez-Mogeda,Wing Ka Fung,Bert van Het Hof,Ruud D Fontijn,Susanne M A van der Pol,Laura Michalick,Wolfgang M Kuebler,Boyd Kenkhuis,Willeke van Roon-Mom,Wolfgang Liedtke,Britta Engelhardt,Gijs Kooij,Maarten E Witte,Helga E de Vries

Journal of neuroinflammation 20:179 PubMed37516868

2023

Longitudinal positron emission tomography and postmortem analysis reveals widespread neuroinflammation in SARS-CoV-2 infected rhesus macaques.

Applications

Unspecified application

Species

Unspecified reactive species

Juliana M Nieuwland,Erik Nutma,Ingrid H C H M Philippens,Kinga P Böszörményi,Edmond J Remarque,Jaco Bakker,Lisette Meijer,Noor Woerdman,Zahra C Fagrouch,Babs E Verstrepen,Jan A M Langermans,Ernst J Verschoor,Albert D Windhorst,Ronald E Bontrop,Helga E de Vries,Marieke A Stammes,Jinte Middeldorp

Fluids and barriers of the CNS 20:24 PubMed37013659

2023

Direct association with the vascular basement membrane is a frequent feature of myelinating oligodendrocytes in the neocortex.

Applications

Unspecified application

Species

Unspecified reactive species

Justine S C Palhol,Maddalena Balia,Fernando Sánchez-Román Terán,Mélody Labarchède,Etienne Gontier,Arne Battefeld

Stem cell research & therapy 9:324 PubMed30463594

2018

Characterization, recellularization, and transplantation of rat decellularized testis scaffold with bone marrow-derived mesenchymal stem cells.

Applications

Unspecified application

Species

Unspecified reactive species

Elias Kargar-Abarghouei,Zahra Vojdani,Ashraf Hassanpour,Sanaz Alaee,Tahereh Talaei-Khozani

Stem cell research & therapy 9:252 PubMed30257706

2018

Decellularized human ovarian scaffold based on a sodium lauryl ester sulfate (SLES)-treated protocol, as a natural three-dimensional scaffold for construction of bioengineered ovaries.

Applications

Unspecified application

Species

Unspecified reactive species

Ashraf Hassanpour,Tahereh Talaei-Khozani,Elias Kargar-Abarghouei,Vahid Razban,Zahra Vojdani

ACS applied materials & interfaces 8:21848-60 PubMed27136321

2016

In Vitro Multitissue Interface Model Supports Rapid Vasculogenesis and Mechanistic Study of Vascularization across Tissue Compartments.

Applications

Unspecified application

Species

Unspecified reactive species

Kevin P Buno,Xuemei Chen,Justin A Weibel,Stephanie N Thiede,Suresh V Garimella,Mervin C Yoder,Sherry L Voytik-Harbin

Molecular medicine reports 11:3734-40 PubMed25592406

2015

Qianliening capsules influence the apoptosis of benign prostatic hyperplasia epithelial-1 cells by regulating the extracellular matrix.

Applications

Unspecified application

Species

Unspecified reactive species

Jianheng Zhou,Jiumao Lin,Liya Liu,Yuqing Zheng,Zhenfeng Hong

Macromolecular bioscience 13:1135-49 PubMed23832790

2013

Collagen-polymer guidance of vessel network formation and stabilization by endothelial colony forming cells in vitro.

Applications

IHC

Species

Unspecified reactive species

Catherine F Whittington,Mervin C Yoder,Sherry L Voytik-Harbin

Journal of immunology (Baltimore, Md. : 1950) 189:2181-90 PubMed22844119

2012

Impaired humoral immunity and tolerance in K14-VEGFR-3-Ig mice that lack dermal lymphatic drainage.

Applications

Unspecified application

Species

Unspecified reactive species

Susan N Thomas,Joseph M Rutkowski,Miriella Pasquier,Emma L Kuan,Kari Alitalo,Gwendalyn J Randolph,Melody A Swartz

The Journal of neuroscience : the official journal of the Society for Neuroscience 32:9805-16 PubMed22815495

2012

Matrix metalloprotease 8-dependent extracellular matrix cleavage at the blood-CSF barrier contributes to lethality during systemic inflammatory diseases.

Applications

IHC

Species

Mouse

Roosmarijn E Vandenbroucke,Eline Dejonckheere,Philippe Van Lint,Delphine Demeestere,Elien Van Wonterghem,Ineke Vanlaere,Leen Puimège,Filip Van Hauwermeiren,Riet De Rycke,Conor Mc Guire,Cristina Campestre,Carlos López-Otin,Patrick Matthys,Georges Leclercq,Claude Libert
View all publications

Product promise

We are committed to supporting your work with high-quality reagents, and we're here for you every step of the way. In the unlikely event that one of our products does not perform as expected, you're protected by our Product Promise.
For full details, please see our Terms & Conditions

Please note: All products are 'FOR RESEARCH USE ONLY. NOT FOR USE IN DIAGNOSTIC OR THERAPEUTIC PROCEDURES'.

For licensing inquiries, please contact partnerships@abcam.com