JavaScript is disabled in your browser. Please enable JavaScript to view this website.
AB197603

Biotin Anti-Desmin antibody [Y66] - Cytoskeleton Marker

Be the first to review this product! Submit a review

|

(1 Publication)

Rabbit Monoclonal Desmin antibody - conjugated to Biotin. Cytoskeleton marker. Suitable for IHC-P and reacts with Human samples. Cited in 1 publication.

View Alternative Names

Desmin, DES

1 Images
Immunohistochemistry (Formalin/PFA-fixed paraffin-embedded sections) - Biotin Anti-Desmin antibody [Y66] - Cytoskeleton Marker (AB197603)
  • IHC-P

Lab

Immunohistochemistry (Formalin/PFA-fixed paraffin-embedded sections) - Biotin Anti-Desmin antibody [Y66] - Cytoskeleton Marker (AB197603)

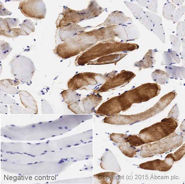
IHC image of Desmin staining in a section of formalin-fixed paraffin-embedded Normal Human Skeletal Muscle*, performed on a Leica BondTM. The section was pre-treated using heat mediated antigen retrieval with sodium citrate buffer (pH6, epitope retrieval solution 1) for 20 mins, before blocking of endogenous biotin using ab64212. The section was then incubated with ab197603, 1/50 dilution, for 15 mins at room temperature and detected using an HRP conjugated ABC system. DAB was used as the chromogen. The section was then counterstained with haematoxylin and mounted with DPX. The inset negative control image is taken from an identical assay without primary antibody.

For other IHC staining systems (automated and non-automated) customers should optimize variable parameters such as antigen retrieval conditions, primary antibody concentration and antibody incubation times.

*Tissue obtained from the Human Research Tissue Bank, supported by the NIHR Cambridge Biomedical Research Centre.

  • Unconjugated

    Anti-Desmin antibody [Y66] - Cytoskeleton Marker

  • 519 Alexa Fluor® 488

    Alexa Fluor® 488 Anti-Desmin antibody [Y66] - Cytoskeleton Marker

  • 660 APC

    APC Anti-Desmin antibody [Y66] - Cytoskeleton Marker

  • 565 Alexa Fluor® 555

    Alexa Fluor® 555 Anti-Desmin antibody [Y66] - Cytoskeleton Marker

  • 578 PE

    PE Anti-Desmin antibody [Y66] - Cytoskeleton Marker

  • HRP

    HRP Anti-Desmin antibody [Y66] - Cytoskeleton Marker

  • Carrier free

    Anti-Desmin antibody [Y66] - BSA and Azide free

  • 665 Alexa Fluor® 647

    Alexa Fluor® 647 Anti-Desmin antibody [Y66] - Cytoskeleton Marker

  • 617 Alexa Fluor® 594

    Alexa Fluor® 594 Anti-Desmin antibody [Y66] - Cytoskeleton Marker

Key facts

Host species

Rabbit

Clonality

Monoclonal

Clone number

Y66

Isotype

IgG

Conjugation

Biotin

Excitation/Emission
Carrier free

No

Reacts with

Human

Applications

IHC-P

applications

Immunogen

The exact immunogen used to generate this antibody is proprietary information.

Epitope

ab197603 reacts with an epitope located in the C terminal region of desmin.

Reactivity data

{ "title": "Reactivity Data", "filters": { "stats": ["", "Species", "Dilution Info", "Notes"], "tabs": { "all-applications": {"fullname" : "All Applications", "shortname": "All Applications"}, "IHCP" : {"fullname" : "Immunohistochemistry (Formalin/PFA-fixed paraffin-embedded sections)", "shortname":"IHC-P"} }, "product-promise": { "all": "all", "testedAndGuaranteed": "tested", "guaranteed": "expected", "predicted": "predicted", "notRecommended": "not-recommended" } }, "values": { "Human": { "IHCP-species-checked": "testedAndGuaranteed", "IHCP-species-dilution-info": "1/50", "IHCP-species-notes": "<p></p> Perform heat-mediated antigen retrieval with citrate buffer pH 6 before commencing with IHC staining protocol." }, "Mouse": { "IHCP-species-checked": "predicted", "IHCP-species-dilution-info": "", "IHCP-species-notes": "" }, "Rat": { "IHCP-species-checked": "predicted", "IHCP-species-dilution-info": "", "IHCP-species-notes": "" }, "Guinea pig": { "IHCP-species-checked": "predicted", "IHCP-species-dilution-info": "", "IHCP-species-notes": "" } } }

Product details

Patented technology
Our RabMAb® technology is a patented hybridoma-based technology for making rabbit monoclonal antibodies. For details on our patents, please refer to RabMAb® patents.

Properties and storage information

Form
Liquid
Purification technique
Affinity purification Protein A
Storage buffer
pH: 7.4 Preservative: 0.02% Sodium azide Constituents: PBS, 30% Glycerol (glycerin, glycerine), 1% BSA
Shipped at conditions
Blue Ice
Appropriate short-term storage duration
1-2 weeks
Appropriate short-term storage conditions
+4°C
Appropriate long-term storage conditions
-20°C
Aliquoting information
Upon delivery aliquot
Storage information
Avoid freeze / thaw cycle|Store in the dark

Supplementary information

This supplementary information is collated from multiple sources and compiled automatically.

Desmin also referred to as Desmin 20 is an intermediate filament protein with a molecular weight of approximately 53 kDa. Primarily found in muscle cells desmin provides structural integrity to cells being an important component of the cytoskeleton. Desmin expression is highly specific to cardiac skeletal and smooth muscle tissues and it can be detected using desmin marker techniques like desmin IHC (Immunohistochemistry). Desmin staining or desmin stain methods are commonly employed in diagnostic labs to visualize this protein within tissue samples.
Biological function summary

Desmin plays a significant role in maintaining cellular architecture by anchoring organelles such as nuclei and mitochondria within the cytoplasm. It associates with other proteins to form desmin intermediate filament networks which facilitate force transmission and maintain mechanical integrity. This protein does not operate in isolation but is part of a larger complex of cytoskeletal elements that reinforce muscle cell shape and resilience. Its interactions and binding with other cytoskeletal components confirm its essential role in muscle structure.

Pathways

Desmin links closely to the cell structure and function pathways providing stability during muscle contraction processes. It interacts with other proteins including actin and tubulin within the cytoskeleton network ensuring coordinated responses to mechanical stress. Specifically desmin integrates into pathways related to the maintenance of the sarcomere structure thereby connecting to additional important proteins like myosin and dystrophin which collectively uphold muscular function and integrity.

Desmin mutations can lead to myopathies such as desmin-related myopathy (DRM) or cardiomyopathy where the structural disruptions result in abnormal muscle function. These conditions typically manifest as muscle weakness or cardiac abnormalities. Furthermore its relationship to the sarcomere suggests interactions with proteins like dystrophin in muscular dystrophies where desmin integrity critically influences disease progression and severity. Understanding desmin's link to such disorders underpins its role as a diagnostic marker and a potential therapeutic target in muscle-related diseases.

Product protocols

For this product, it's our understanding that no specific protocols are required. You can visit:

Target data

Muscle-specific type III intermediate filament essential for proper muscular structure and function. Plays a crucial role in maintaining the structure of sarcomeres, inter-connecting the Z-disks and forming the myofibrils, linking them not only to the sarcolemmal cytoskeleton, but also to the nucleus and mitochondria, thus providing strength for the muscle fiber during activity (PubMed : 25358400). In adult striated muscle they form a fibrous network connecting myofibrils to each other and to the plasma membrane from the periphery of the Z-line structures (PubMed : 24200904, PubMed : 25394388, PubMed : 26724190). May act as a sarcomeric microtubule-anchoring protein : specifically associates with detyrosinated tubulin-alpha chains, leading to buckled microtubules and mechanical resistance to contraction. Required for nuclear membrane integrity, via anchoring at the cell tip and nuclear envelope, resulting in maintenance of microtubule-derived intracellular mechanical forces (By similarity). Contributes to the transcriptional regulation of the NKX2-5 gene in cardiac progenitor cells during a short period of cardiomyogenesis and in cardiac side population stem cells in the adult. Plays a role in maintaining an optimal conformation of nebulette (NEB) on heart muscle sarcomeres to bind and recruit cardiac alpha-actin (By similarity).
See full target information DES

Publications (1)

Recent publications for all applications. Explore the full list and refine your search

Frontiers in immunology 16:1586174 PubMed40519909

2025

Small extracellular vesicles from human umbilical cord mesenchymal stem cells delivering miR-202-5p alleviate renal ischemia-reperfusion injury by targeting the GOLIM4/PI3K/AKT axis.

Applications

Unspecified application

Species

Unspecified reactive species

Xiang Peng,Wei Shi,Haitao Yu,Zhenwei Feng,Zongjie Wei,Weiyang He,Xin Gou,Yongpeng Xie
View all publications

Product promise

We are committed to supporting your work with high-quality reagents, and we're here for you every step of the way. In the unlikely event that one of our products does not perform as expected, you're protected by our Product Promise.
For full details, please see our Terms & Conditions

Please note: All products are 'FOR RESEARCH USE ONLY. NOT FOR USE IN DIAGNOSTIC OR THERAPEUTIC PROCEDURES'.

For licensing inquiries, please contact partnerships@abcam.com