JavaScript is disabled in your browser. Please enable JavaScript to view this website.
AB317766

Biotin Anti-DPP4 antibody [EPR18215]

Be the first to review this product! Submit a review

|

(0 Publication)

Rabbit Recombinant Monoclonal DPP4 antibody - conjugated to Biotin. Suitable for IHC-P, WB and reacts with Rat, Mouse samples.

View Alternative Names

CD26, Cd26, Dpp4, Dipeptidyl peptidase 4, Dipeptidyl peptidase IV, T-cell activation antigen CD26, Thymocyte-activating molecule, DPP IV, THAM

2 Images
Immunohistochemistry (Formalin/PFA-fixed paraffin-embedded sections) - Biotin Anti-DPP4 antibody [EPR18215] (AB317766)
  • IHC-P

Lab

Immunohistochemistry (Formalin/PFA-fixed paraffin-embedded sections) - Biotin Anti-DPP4 antibody [EPR18215] (AB317766)

Negative staining of DPP4 in a section of formalin-fixed paraffin-embedded rat normal skeletal muscle.

Performed on a Leica BONDTM system. The section was pre-treated using heat mediated antigen retrieval with EDTA buffer (pH 9.0, epitope retrieval solution 2) for 20mins, before blocking of endogenous biotin using ab64212. The section was then incubated with ab317766 at 0.5 ug/ml, for 15 mins at room temperature and detected using an HRP conjugated ABC system. DAB was used as the chromogen. The section was then counterstained with haematoxylin and mounted with DPX. The inset secondary-only control image is taken from an identical assay without primary antibody.

For other IHC staining systems (automated and non-automated) customers should optimize variable parameters such as antigen retrieval conditions, primary antibody concentration and antibody incubation times.

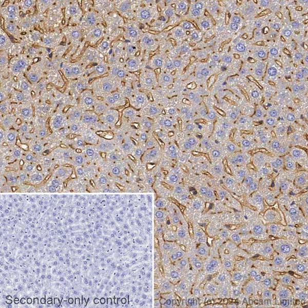
Immunohistochemistry (Formalin/PFA-fixed paraffin-embedded sections) - Biotin Anti-DPP4 antibody [EPR18215] (AB317766)
  • IHC-P

Lab

Immunohistochemistry (Formalin/PFA-fixed paraffin-embedded sections) - Biotin Anti-DPP4 antibody [EPR18215] (AB317766)

IHC image of DPP4 staining in a section of formalin-fixed paraffin-embedded normal rat liver.

Performed on a Leica BONDTM system. The section was pre-treated using heat mediated antigen retrieval with EDTA buffer (pH 9.0, epitope retrieval solution 2) for 20mins, before blocking of endogenous biotin using ab64212. The section was then incubated with ab317766 at 0.5 ug/ml, for 15 mins at room temperature and detected using an HRP conjugated ABC system. DAB was used as the chromogen. The section was then counterstained with haematoxylin and mounted with DPX. The inset secondary-only control image is taken from an identical assay without primary antibody.

For other IHC staining systems (automated and non-automated) customers should optimize variable parameters such as antigen retrieval conditions, primary antibody concentration and antibody incubation times.

Key facts

Host species

Rabbit

Clonality

Monoclonal

Clone number

EPR18215

Isotype

IgG

Conjugation

Biotin

Excitation/Emission
Carrier free

No

Reacts with

Rat, Mouse, Rat

Applications

IHC-P, WB

applications

Immunogen

The exact immunogen used to generate this antibody is proprietary information.

Reactivity data

{ "title": "Reactivity Data", "filters": { "stats": ["", "Species", "Dilution Info", "Notes"], "tabs": { "all-applications": {"fullname" : "All Applications", "shortname": "All Applications"}, "IHCP" : {"fullname" : "Immunohistochemistry (Formalin/PFA-fixed paraffin-embedded sections)", "shortname":"IHC-P"}, "WB" : {"fullname" : "Western blot", "shortname":"WB"} }, "product-promise": { "all": "all", "testedAndGuaranteed": "tested", "guaranteed": "expected", "predicted": "predicted", "notRecommended": "not-recommended" } }, "values": { "Mouse": { "IHCP-species-checked": "guaranteed", "IHCP-species-dilution-info": "", "IHCP-species-notes": "<p></p>", "WB-species-checked": "guaranteed", "WB-species-dilution-info": "", "WB-species-notes": "<p></p>" }, "Rat": { "IHCP-species-checked": "testedAndGuaranteed", "IHCP-species-dilution-info": "1/1000", "IHCP-species-notes": "<p></p> Perform heat-mediated antigen retrieval with citrate buffer pH 6 before commencing with IHC staining protocol.", "WB-species-checked": "guaranteed", "WB-species-dilution-info": "", "WB-species-notes": "<p></p>" } } }

Product details

Patented technology
Our RabMAb® technology is a patented hybridoma-based technology for making rabbit monoclonal antibodies. For details on our patents, please refer to RabMAb® patents.

What are the advantages of a recombinant monoclonal antibody?
This product is a recombinant monoclonal antibody, which offers several advantages including:

  • - High batch-to-batch consistency and reproducibility
  • - Improved sensitivity and specificity
  • - Long-term security of supply
  • - Animal-free batch production

For more information, read more on recombinant antibodies.

Properties and storage information

Form
Liquid
Purification technique
Affinity purification Protein A
Storage buffer
pH: 7.4 Preservative: 0.02% Sodium azide Constituents: PBS, 30% Glycerol (glycerin, glycerine), 1% BSA
Shipped at conditions
Blue Ice
Appropriate short-term storage duration
1-2 weeks
Appropriate short-term storage conditions
+4°C
Appropriate long-term storage conditions
-20°C
Aliquoting information
Upon delivery aliquot
Storage information
Avoid freeze / thaw cycle|Store in the dark

Supplementary information

This supplementary information is collated from multiple sources and compiled automatically.

Dipeptidyl peptidase 4 also known as DPP4 or CD26 functions as a serine exopeptidase. This enzyme is involved in cleaving dipeptides from the N-terminus of polypeptides. DPP4 with a mass of approximately 110 kDa is expressed in various tissues such as the liver intestines kidney and lymphocytes. It exists in both a membrane-bound form and a soluble form in blood plasma.
Biological function summary

DPP4 plays a significant role in glucose metabolism and immune function. The enzyme interacts with members of the immune system and regulates proteins such as chemokines growth factors and neuropeptides. DPP4 acts independently and is not known to be part of a larger complex. It modulates biological processes by inactivating peptide hormones and signaling molecules which impacts glucose homeostasis and immune responses.

Pathways

DPP4 impacts the incretin signaling pathway and the immune response pathway. Incretin hormones like glucagon-like peptide-1 (GLP-1) and glucose-dependent insulinotropic polypeptide (GIP) are substrates of DPP4 and play important roles in glucose metabolism. DPP4 also interacts with proteins such as adenosine deaminase (ADA) which impacts T-cell function and immune regulation. The regulation of these pathways by DPP4 influences metabolic and immune health.

DPP4 involvement is relevant in type 2 diabetes and immunological disorders. In type 2 diabetes DPP4 inhibitors modulate the incretin hormones improving glycemic control. Proteins like GLP-1 are affected by DPP4 activity connecting it to diabetes management. In autoimmune diseases altered DPP4 expression can impact immune cell functions influencing conditions such as rheumatoid arthritis. Through its effects on ADA and associated pathways DPP4 can influence both metabolic and immune-related disorders.

Product protocols

For this product, it's our understanding that no specific protocols are required. You can visit:

Target data

Cell surface glycoprotein receptor involved in the costimulatory signal essential for T-cell receptor (TCR)-mediated T-cell activation. Acts as a positive regulator of T-cell coactivation, by binding at least ADA, CAV1, IGF2R, and PTPRC. Its binding to CAV1 and CARD11 induces T-cell proliferation and NF-kappa-B activation in a T-cell receptor/CD3-dependent manner. Its interaction with ADA also regulates lymphocyte-epithelial cell adhesion. In association with FAP is involved in the pericellular proteolysis of the extracellular matrix (ECM), the migration and invasion of endothelial cells into the ECM. May be involved in the promotion of lymphatic endothelial cells adhesion, migration and tube formation. When overexpressed, enhanced cell proliferation, a process inhibited by GPC3. Also acts as a serine exopeptidase with a dipeptidyl peptidase activity that regulates various physiological processes by cleaving peptides in the circulation, including many chemokines, mitogenic growth factors, neuropeptides and peptide hormones. Removes N-terminal dipeptides sequentially from polypeptides having unsubstituted N-termini provided that the penultimate residue is proline.
See full target information Dpp4

Product promise

We are committed to supporting your work with high-quality reagents, and we're here for you every step of the way. In the unlikely event that one of our products does not perform as expected, you're protected by our Product Promise.
For full details, please see our Terms & Conditions

Please note: All products are 'FOR RESEARCH USE ONLY. NOT FOR USE IN DIAGNOSTIC OR THERAPEUTIC PROCEDURES'.

For licensing inquiries, please contact partnerships@abcam.com