JavaScript is disabled in your browser. Please enable JavaScript to view this website.
AB271815

Biotin Anti-Estrogen Receptor antibody [ESR1/3373]

Be the first to review this product! Submit a review

|

(1 Publication)

Mouse Monoclonal Estrogen Receptor alpha antibody - conjugated to Biotin. Suitable for Protein Array, IHC-P and reacts with Human samples. Cited in 1 publication. Immunogen corresponding to Recombinant Full Length Protein corresponding to Human ESR1.

View Alternative Names

ESR, NR3A1, ESR1, Estrogen receptor, ER, ER-alpha, Estradiol receptor, Nuclear receptor subfamily 3 group A member 1

3 Images
Immunohistochemistry (Formalin/PFA-fixed paraffin-embedded sections) - Biotin Anti-Estrogen Receptor antibody [ESR1/3373] (AB271815)
  • IHC-P

Unknown

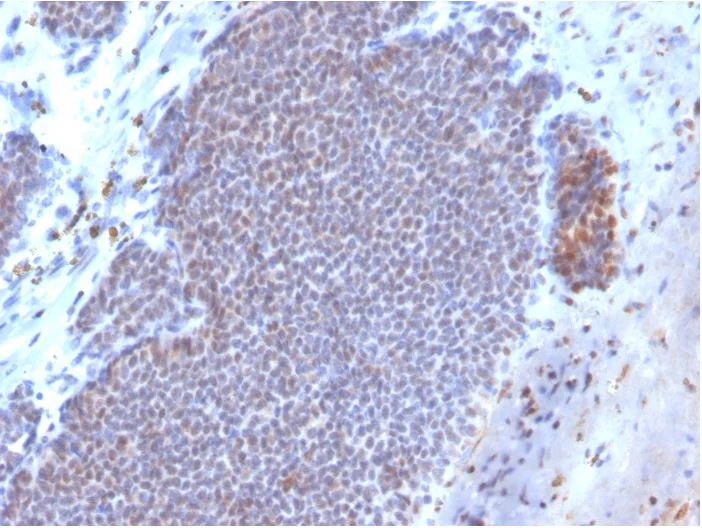
Immunohistochemistry (Formalin/PFA-fixed paraffin-embedded sections) - Biotin Anti-Estrogen Receptor antibody [ESR1/3373] (AB271815)

Formalin-fixed, paraffin-embedded human breast carcinoma stained for estrogen receptor-α using ab271815 at 4μg/mL in immunohistochemical analysis.

Immunohistochemistry (Formalin/PFA-fixed paraffin-embedded sections) - Biotin Anti-Estrogen Receptor antibody [ESR1/3373] (AB271815)
  • IHC-P

Unknown

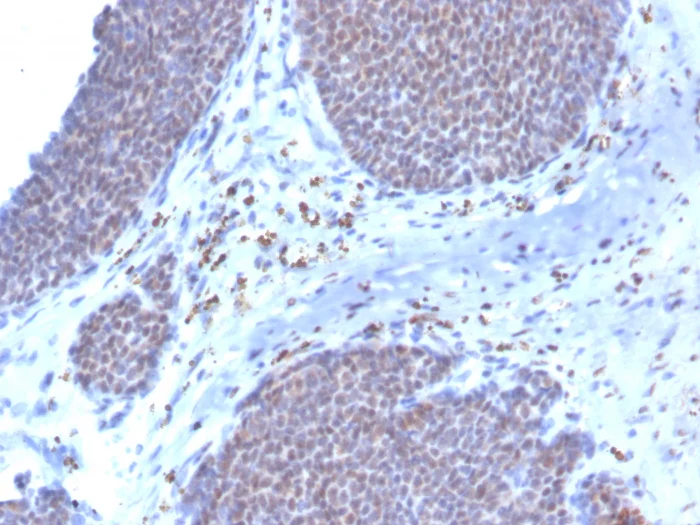
Immunohistochemistry (Formalin/PFA-fixed paraffin-embedded sections) - Biotin Anti-Estrogen Receptor antibody [ESR1/3373] (AB271815)

Formalin-fixed, paraffin-embedded human breast carcinoma stained for estrogen receptor-α using ab271815 at 4μg/mL in immunohistochemical analysis.

Protein Array - Biotin Anti-Estrogen Receptor antibody [ESR1/3373] (AB271815)
  • Protein Array

Unknown

Protein Array - Biotin Anti-Estrogen Receptor antibody [ESR1/3373] (AB271815)

Analysis of Protein Array containing more than 19,000 full-length human proteins using ab271815.

Z- and S- Score : The Z-score represents the strength of a signal that a monoclonal antibody (MAb) (in combination with a fluorescently-tagged anti-IgG secondary antibody) produces when binding to a particular protein on the HuProtTM array. Z-scores are described in units of standard deviations (SD's) above the mean value of all signals generated on that array. If targets on HuProtTM are arranged in descending order of the Z-score, the S-score is the difference (also in units of SD's) between the Z-score. S-score therefore represents the relative target specificity of a MAb to its intended target. A MAb is considered to specific to its intended target, if the MAb has an S-score of at least 2.5. For example, if a MAb binds to protein X with a Z-score of 43 and to protein Y with a Z-score of 14, then the S-score for the binding of that MAb to protein X is equal to 29.

  • Carrier free

    Anti-Estrogen Receptor antibody [ESR1/3373] - BSA and Azide free

  • Unconjugated

    Anti-Estrogen Receptor antibody [ESR1/3373]

Key facts

Host species

Mouse

Clonality

Monoclonal

Clone number

ESR1/3373

Isotype

IgG2a

Light chain type

kappa

Conjugation

Biotin

Excitation/Emission
Carrier free

No

Reacts with

Human

Applications

IHC-P, Protein Array

applications

Immunogen

Recombinant Full Length Protein corresponding to Human ESR1.

P03372

Reactivity data

{ "title": "Reactivity Data", "filters": { "stats": ["", "Species", "Dilution Info", "Notes"], "tabs": { "all-applications": {"fullname" : "All Applications", "shortname": "All Applications"}, "ProteinArray" : {"fullname" : "Protein Array", "shortname":"Protein Array"}, "IHCP" : {"fullname" : "Immunohistochemistry (Formalin/PFA-fixed paraffin-embedded sections)", "shortname":"IHC-P"} }, "product-promise": { "all": "all", "testedAndGuaranteed": "tested", "guaranteed": "expected", "predicted": "predicted", "notRecommended": "not-recommended" } }, "values": { "Human": { "ProteinArray-species-checked": "testedAndGuaranteed", "ProteinArray-species-dilution-info": "", "ProteinArray-species-notes": "<p></p>", "IHCP-species-checked": "testedAndGuaranteed", "IHCP-species-dilution-info": "2-4 µg/mL", "IHCP-species-notes": "<p></p>" } } }

Properties and storage information

Form
Liquid
Purification technique
Affinity purification Protein A/G
Purification notes
Purified from Bioreactor Concentrate.
Storage buffer
pH: 7.2 - 7.4 Preservative: 0.05% Sodium azide Constituents: PBS, 0.05% BSA
Shipped at conditions
Blue Ice
Appropriate short-term storage duration
1-2 weeks
Appropriate short-term storage conditions
+4°C
Appropriate long-term storage conditions
-20°C
Aliquoting information
Upon delivery aliquot
Storage information
Avoid freeze / thaw cycle

Supplementary information

This supplementary information is collated from multiple sources and compiled automatically.

The Estrogen Receptor (ER) also known by its alternate names NR3A1 (nuclear receptor subfamily 3 group A member 1) is a nuclear hormone receptor that binds estrogens such as the 17 beta estradiol molecule. Its molecular mass is approximately 66 kDa. This receptor locates mainly in the cytoplasm and nucleus of cells within tissues such as the breast uterus and bone. The ER exists in two primary subtypes ER alpha and ER beta which differ in their tissue distribution and functional roles.
Biological function summary

The Estrogen Receptor functions as a transcription factor that regulates gene expression when it binds to its ligand which is commonly estradiol. Upon binding 17 beta estradiol the receptor dimerizes and interacts with specific DNA sequences to influence transcription. It significantly regulates genes responsible for cell growth differentiation and reproductive functions. The estradiol chemical structure allows for specific interactions with ER altering the transcriptional regulation in a ligand-dependent manner. Though functioning mainly as a monomer ER can form heterodimers with other nuclear receptors affecting its biological role.

Pathways

The Estrogen Receptor is an important player in the genomic signaling pathway where it modulates the expression of numerous target genes by direct DNA binding. It also participates in the non-genomic signaling pathway where it involves the activation of second messengers and kinases. ER closely associates with important proteins such as coactivators and corepressors in these pathways. Estradiol chemical formula interactions facilitate molecular events involving ER-alpha to influence components of cell proliferation and survival.

The Estrogen Receptor is intricately linked to breast cancer and osteoporosis. Dysfunction in ER signaling promotes the proliferation of breast cancer cells often requiring targeted therapies that inhibit its action. In osteoporosis ER activity impacts bone density and turnover through regulation of osteoclasts and osteoblasts. The receptor's interaction with growth factor receptors like HER2 in breast cancer further highlights its significance in disease pathogenesis.

Product protocols

For this product, it's our understanding that no specific protocols are required. You can visit:

Target data

The protein expressed by the gene ESR1 functions as a nuclear hormone receptor involved in regulating eukaryotic gene expression, affecting cellular proliferation and differentiation in target tissues. It mediates ligand-dependent nuclear transactivation either through direct homodimer binding to estrogen response elements (ERE) or by associating with other transcription factors like AP-1/c-Jun, c-Fos, ATF-2, Sp1, and Sp3, allowing ERE-independent signaling. Ligand binding triggers a conformational change, facilitating the interaction with coactivator complexes through LXXLL motifs. This interaction leads to mutual transrepression with NF-kappa-B in a cell-type-specific manner, reducing NF-kappa-B DNA-binding activity and transcription from the IL6 promoter while displacing coregulators like RELA/p65. It can antagonistically or synergistically interact with NF-kappa-B for transcription activation, involving recruitment to adjacent response elements, working with CREBBP. Additionally, it activates the transcription of TFF1 and mediates membrane-initiated signaling through kinase cascades. It's crucial for MTA1-mediated transcriptional regulation of BRCA1 and BCAS3. Isoform 3 specifically activates NOS3 and endothelial nitric oxide production, while isoforms lacking certain functional domains modulate transcriptional activity by competitive ligand or DNA binding and heterodimerization with the full-length receptor, capable of binding to ERE and inhibiting isoform 1. This supplementary information is collated from multiple sources and compiled automatically.
See full target information ESR1

Publications (1)

Recent publications for all applications. Explore the full list and refine your search

Journal of immunology research 2022:3351268 PubMed35571569

2022

Echinacoside Induces Mitochondria-Mediated Pyroptosis through Raf/MEK/ERK Signaling in Non-Small Cell Lung Cancer Cells.

Applications

Unspecified application

Species

Unspecified reactive species

Ye Shi,Hui Cao,Zhengcheng Liu,Lei Xi,Changqing Dong
View all publications

Product promise

We are committed to supporting your work with high-quality reagents, and we're here for you every step of the way. In the unlikely event that one of our products does not perform as expected, you're protected by our Product Promise.
For full details, please see our Terms & Conditions

Please note: All products are 'FOR RESEARCH USE ONLY. NOT FOR USE IN DIAGNOSTIC OR THERAPEUTIC PROCEDURES'.

For licensing inquiries, please contact partnerships@abcam.com