JavaScript is disabled in your browser. Please enable JavaScript to view this website.
AB201496

Biotin Anti-GBA antibody [EPR5142]

Be the first to review this product! Submit a review

|

(1 Publication)

Rabbit Recombinant Monoclonal GBA antibody - conjugated to Biotin. Suitable for IHC-P and reacts with Human samples. Cited in 1 publication.

View Alternative Names

GBA, GC, GLUC, GBA1, Lysosomal acid glucosylceramidase, Lysosomal acid GCase, Acid beta-glucosidase, Alglucerase, Beta-glucocerebrosidase, Beta-glucosylceramidase 1, Cholesterol glucosyltransferase, Cholesteryl-beta-glucosidase, D-glucosyl-N-acylsphingosine glucohydrolase, Glucosylceramidase beta 1, Imiglucerase, Lysosomal cholesterol glycosyltransferase, Lysosomal galactosylceramidase, Lysosomal glycosylceramidase, Beta-GC, SGTase

1 Images
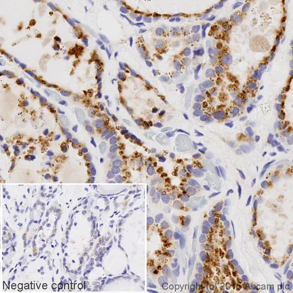
Immunohistochemistry (Formalin/PFA-fixed paraffin-embedded sections) - Biotin Anti-GBA antibody [EPR5142] (AB201496)
  • IHC-P

Lab

Immunohistochemistry (Formalin/PFA-fixed paraffin-embedded sections) - Biotin Anti-GBA antibody [EPR5142] (AB201496)

IHC image of GBA staining in a section of formalin-fixed paraffin-embedded normal human thyroid*, performed on a Leica Bond system using the standard protocol B. The section was pre-treated using heat mediated antigen retrieval with sodium citrate buffer (pH6, epitope retrieval solution 1) for 20 mins. The section was then incubated with ab201496 at 1/50 dilution, for 15 mins at room temperature and detected using an HRP conjugated ABC system. DAB was used as the chromogen. The section was then counterstained with haematoxylin and mounted with DPX.

The inset negative control image is taken from an identical assay without primary antibody.

For other IHC staining systems (automated and non-automated) customers should optimize variable parameters such as antigen retrieval conditions, primary antibody concentration and antibody incubation times.

*Tissue obtained from the Human Research Tissue Bank, supported by the NIHR Cambridge Biomedical Research Centre.

Key facts

Host species

Rabbit

Clonality

Monoclonal

Clone number

EPR5142

Isotype

IgG

Conjugation

Biotin

Excitation/Emission
Carrier free

No

Reacts with

Human

Applications

IHC-P

applications

Immunogen

The exact immunogen used to generate this antibody is proprietary information.

Reactivity data

{ "title": "Reactivity Data", "filters": { "stats": ["", "Species", "Dilution Info", "Notes"], "tabs": { "all-applications": {"fullname" : "All Applications", "shortname": "All Applications"}, "IHCP" : {"fullname" : "Immunohistochemistry (Formalin/PFA-fixed paraffin-embedded sections)", "shortname":"IHC-P"} }, "product-promise": { "all": "all", "testedAndGuaranteed": "tested", "guaranteed": "expected", "predicted": "predicted", "notRecommended": "not-recommended" } }, "values": { "Human": { "IHCP-species-checked": "testedAndGuaranteed", "IHCP-species-dilution-info": "1/50 - 1/100", "IHCP-species-notes": "<p></p>" } } }

Product details

Patented technology
Our RabMAb® technology is a patented hybridoma-based technology for making rabbit monoclonal antibodies. For details on our patents, please refer to RabMAb® patents.

What are the advantages of a recombinant monoclonal antibody?
This product is a recombinant monoclonal antibody, which offers several advantages including:

  • - High batch-to-batch consistency and reproducibility
  • - Improved sensitivity and specificity
  • - Long-term security of supply
  • - Animal-free batch production

For more information, read more on recombinant antibodies.

Properties and storage information

Form
Liquid
Purification technique
Affinity purification Protein A
Storage buffer
pH: 7.4 Preservative: 0.02% Sodium azide Constituents: PBS, 30% Glycerol (glycerin, glycerine), 1% BSA
Shipped at conditions
Blue Ice
Appropriate short-term storage duration
1-2 weeks
Appropriate short-term storage conditions
+4°C
Appropriate long-term storage conditions
-20°C
Aliquoting information
Upon delivery aliquot
Storage information
Avoid freeze / thaw cycle|Store in the dark

Supplementary information

This supplementary information is collated from multiple sources and compiled automatically.

GBA also known as glucosylceramidase is a lysosomal enzyme with a molecular mass of approximately 59 kDa. This enzyme breaks down glucosylceramide into glucose and ceramide. GBA is expressed predominantly in tissues with high metabolic activities such as the brain liver and spleen. Its function relies on its catalytic activity where substrates bind to its active site enabling the hydrolysis process necessary for maintaining cellular metabolism.
Biological function summary

GBA plays an important role in sphingolipid metabolism. It participates in the degradation of glycolipids within the lysosome contributing to lipid recycling. It acts independently rather than as a part of a major enzymatic complex. Through its role in degrading glucosylceramide GBA influences cellular homeostasis and bioenergetics ensuring balance in neural and systemic lipid levels.

Pathways

GBA’s enzymatic functions are integral to the glycosphingolipid metabolic pathway. It is involved in the downstream steps of the lysosomal degradation of glycosphingolipids. The pathway operates alongside other important proteins such as beta-glucosidase and CERT-related transfer proteins all of which contribute to membrane lipid organization and signal transduction processes.

GBA mutations are linked with Gaucher disease and Parkinson’s disease. In Gaucher disease deficient GBA activity leads to substrate accumulation resulting in hepatosplenomegaly and other systemic symptoms. Reduced GBA activity is also associated with increased alpha-synuclein aggregation in Parkinson’s disease implicating it in the pathogenesis of neurodegenerative disorders. The enzyme’s function in these diseases highlights its role in maintaining cellular equilibrium and signaling pathways.

Product protocols

For this product, it's our understanding that no specific protocols are required. You can visit:

Target data

Glucosylceramidase that catalyzes, within the lysosomal compartment, the hydrolysis of glucosylceramides/GlcCers (such as beta-D-glucosyl-(1<->1')-N-acylsphing-4-enine) into free ceramides (such as N-acylsphing-4-enine) and glucose (PubMed : 15916907, PubMed : 24211208, PubMed : 32144204, PubMed : 9201993). Plays a central role in the degradation of complex lipids and the turnover of cellular membranes (PubMed : 27378698). Through the production of ceramides, participates in the PKC-activated salvage pathway of ceramide formation (PubMed : 19279011). Catalyzes the glucosylation of cholesterol, through a transglucosylation reaction where glucose is transferred from GlcCer to cholesterol (PubMed : 24211208, PubMed : 26724485, PubMed : 32144204). GlcCer containing mono-unsaturated fatty acids (such as beta-D-glucosyl-N-(9Z-octadecenoyl)-sphing-4-enine) are preferred as glucose donors for cholesterol glucosylation when compared with GlcCer containing same chain length of saturated fatty acids (such as beta-D-glucosyl-N-octadecanoyl-sphing-4-enine) (PubMed : 24211208). Under specific conditions, may alternatively catalyze the reverse reaction, transferring glucose from cholesteryl 3-beta-D-glucoside to ceramide (Probable) (PubMed : 26724485). Can also hydrolyze cholesteryl 3-beta-D-glucoside producing glucose and cholesterol (PubMed : 24211208, PubMed : 26724485). Catalyzes the hydrolysis of galactosylceramides/GalCers (such as beta-D-galactosyl-(1<->1')-N-acylsphing-4-enine), as well as the transfer of galactose between GalCers and cholesterol in vitro, but with lower activity than with GlcCers (PubMed : 32144204). Contrary to GlcCer and GalCer, xylosylceramide/XylCer (such as beta-D-xyosyl-(1<->1')-N-acylsphing-4-enine) is not a good substrate for hydrolysis, however it is a good xylose donor for transxylosylation activity to form cholesteryl 3-beta-D-xyloside (PubMed : 33361282).
See full target information GBA1

Publications (1)

Recent publications for all applications. Explore the full list and refine your search

Journal of dairy science 106:9186-9199 PubMed37641277

2023

Inhibition of cluster antigen 36 protects against fatty acid-induced lipid accumulation, oxidative stress, and inflammation in bovine hepatocytes.

Applications

Unspecified application

Species

Unspecified reactive species

Chenchen Zhao,Jinxia Li,Menglin Liu,Linfang Chen,Yiwei Zhu,Wenwen Gao,Xiliang Du,Yuxiang Song,Guowen Liu,Lin Lei,Xinwei Li
View all publications

Product promise

We are committed to supporting your work with high-quality reagents, and we're here for you every step of the way. In the unlikely event that one of our products does not perform as expected, you're protected by our Product Promise.
For full details, please see our Terms & Conditions

Please note: All products are 'FOR RESEARCH USE ONLY. NOT FOR USE IN DIAGNOSTIC OR THERAPEUTIC PROCEDURES'.

For licensing inquiries, please contact partnerships@abcam.com