JavaScript is disabled in your browser. Please enable JavaScript to view this website.
AB321782

Biotin Anti-Glutathione Peroxidase 3/GPx-3 antibody [EPR22815-112]

Be the first to review this product! Submit a review

|

(0 Publication)

Rabbit Recombinant Monoclonal Glutathione Peroxidase 3/GPx-3 antibody - conjugated to Biotin. Suitable for IHC-P and reacts with Mouse samples.

View Alternative Names

Glutathione peroxidase 3, GPx-3, GSHPx-3, Plasma glutathione peroxidase, GPx-P, GSHPx-P, Gpx3

1 Images
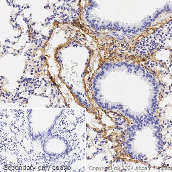
Immunohistochemistry (Formalin/PFA-fixed paraffin-embedded sections) - Biotin Anti-Glutathione Peroxidase 3/GPx-3 antibody [EPR22815-112] (AB321782)
  • IHC-P

Lab

Immunohistochemistry (Formalin/PFA-fixed paraffin-embedded sections) - Biotin Anti-Glutathione Peroxidase 3/GPx-3 antibody [EPR22815-112] (AB321782)

IHC image of Uteroglobin staining in a section of formalin-fixed paraffin-embedded mouse lung.

Performed on a Leica BOND™ system. The section was pre-treated using heat mediated antigen retrieval with EDTA buffer (pH 9.0, epitope retrieval solution 2) for 20mins, before blocking of endogenous biotin using ab64212. The section was then incubated with ab321782 at 5μg/ml (1/100), for 15 mins at room temperature and detected using an HRP conjugated ABC system. DAB was used as the chromogen. The section was then counterstained with haematoxylin and mounted with DPX. The inset secondary-only control image is taken from an identical assay without primary antibody.

For other IHC staining systems (automated and non-automated) customers should optimize variable parameters such as antigen retrieval conditions, primary antibody concentration and antibody incubation times.

  • 519 Alexa Fluor® 488

    Alexa Fluor® 488 Anti-Glutathione Peroxidase 3/GPx-3 antibody [EPR22815-112]

  • Carrier free

    Anti-Glutathione Peroxidase 3/GPx-3 antibody [EPR22815-112] - BSA and Azide free (Capture)

  • Unconjugated

    Anti-Glutathione Peroxidase 3/GPx-3 antibody [EPR22815-112]

  • Carrier free

    Anti-Glutathione Peroxidase 3/GPx-3 antibody [EPR22815-112] - BSA and Azide free

Key facts

Host species

Rabbit

Clonality

Monoclonal

Clone number

EPR22815-112

Isotype

IgG

Conjugation

Biotin

Excitation/Emission
Carrier free

No

Reacts with

Mouse

Applications

IHC-P

applications

Immunogen

The exact immunogen used to generate this antibody is proprietary information.

Reactivity data

{ "title": "Reactivity Data", "filters": { "stats": ["", "Species", "Dilution Info", "Notes"], "tabs": { "all-applications": {"fullname" : "All Applications", "shortname": "All Applications"}, "IHCP" : {"fullname" : "Immunohistochemistry (Formalin/PFA-fixed paraffin-embedded sections)", "shortname":"IHC-P"} }, "product-promise": { "all": "all", "testedAndGuaranteed": "tested", "guaranteed": "expected", "predicted": "predicted", "notRecommended": "not-recommended" } }, "values": { "Mouse": { "IHCP-species-checked": "testedAndGuaranteed", "IHCP-species-dilution-info": "1/100", "IHCP-species-notes": "<p></p>" } } }

Product details

Patented technology
Our RabMAb® technology is a patented hybridoma-based technology for making rabbit monoclonal antibodies. For details on our patents, please refer to RabMAb® patents.

What are the advantages of a recombinant monoclonal antibody?
This product is a recombinant monoclonal antibody, which offers several advantages including:

  • - High batch-to-batch consistency and reproducibility
  • - Improved sensitivity and specificity
  • - Long-term security of supply
  • - Animal-free batch production

For more information, read more on recombinant antibodies.

Properties and storage information

Form
Liquid
Purification technique
Affinity purification Protein A
Storage buffer
pH: 7.4 Preservative: 0.02% Sodium azide Constituents: PBS, 30% Glycerol (glycerin, glycerine), 1% BSA
Shipped at conditions
Blue Ice
Appropriate short-term storage duration
1-2 weeks
Appropriate short-term storage conditions
+4°C
Appropriate long-term storage conditions
-20°C
Aliquoting information
Upon delivery aliquot
Storage information
Avoid freeze / thaw cycle|Store in the dark

Supplementary information

This supplementary information is collated from multiple sources and compiled automatically.

Glutathione Peroxidase 3 also known as GPx-3 or 3GPx is an antioxidant enzyme important for protecting cells from oxidative damage by reducing hydrogen peroxide and organic hydroperoxides. It is a member of the glutathione peroxidase family and has a molecular mass of approximately 23 kDa. GPx-3 is expressed mainly in the kidney and subsequently released into the bloodstream playing an important role in its extracellular antioxidant defense mechanism.
Biological function summary

GPx-3 helps maintain cellular redox balance and is involved in detoxifying harmful oxidative agents. It does not form part of any larger complex but works independently to reduce peroxides with the help of glutathione an important reducing agent. GPx-3 has significant activities in plasma and extracellular fluids indicating its role in protecting the body from oxidative stress away from cellular environments.

Pathways

GPx-3 functions in the glutathione metabolic pathway and the defense system against oxidative stress. It works together with proteins such as glutathione reductase to recycle oxidized glutathione back to its reduced form allowing continuous protection against reactive oxygen species. This pathway is essential for maintaining balance between oxidative stress and antioxidant defense in the organism.

GPx-3 has been linked to cardiovascular diseases and certain types of cancer. Low levels of GPx-3 in plasma have been associated with increased risk of thrombosis as antioxidant defenses are compromised. In cancer studies altered GPx-3 expression is often observed thought to affect the progression of disease by changing the cellular redox environment. Other proteins that interact with GPx-3 during disease conditions include thioredoxin and catalase both influencing and being regulated by redox states in diseased tissues.

Product protocols

For this product, it's our understanding that no specific protocols are required. You can visit:

Target data

Protects cells and enzymes from oxidative damage, by catalyzing the reduction of hydrogen peroxide, lipid peroxides and organic hydroperoxide, by glutathione.
See full target information Gpx3

Product promise

We are committed to supporting your work with high-quality reagents, and we're here for you every step of the way. In the unlikely event that one of our products does not perform as expected, you're protected by our Product Promise.
For full details, please see our Terms & Conditions

Please note: All products are 'FOR RESEARCH USE ONLY. NOT FOR USE IN DIAGNOSTIC OR THERAPEUTIC PROCEDURES'.

For licensing inquiries, please contact partnerships@abcam.com