JavaScript is disabled in your browser. Please enable JavaScript to view this website.
AB201539

Biotin Anti-GRB2 antibody [Y237]

Be the first to review this product! Submit a review

|

(2 Publications)

Rabbit Recombinant Monoclonal GRB2 antibody - conjugated to Biotin. Suitable for IHC-P and reacts with Human samples. Cited in 2 publications.

View Alternative Names

ASH, GRB2, Growth factor receptor-bound protein 2, Adapter protein GRB2, Protein Ash, SH2/SH3 adapter GRB2

1 Images
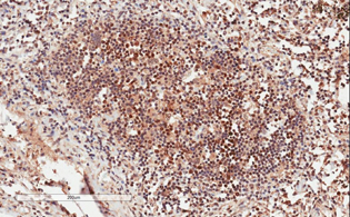
Immunohistochemistry (Formalin/PFA-fixed paraffin-embedded sections) - Biotin Anti-GRB2 antibody [Y237] (AB201539)
  • IHC-P

Lab

Immunohistochemistry (Formalin/PFA-fixed paraffin-embedded sections) - Biotin Anti-GRB2 antibody [Y237] (AB201539)

IHC image of GRB2 staining in a section of formalin-fixed paraffin-embedded normal human colon*. The section was pre-treated using pressure cooker heat mediated antigen retrieval with sodium citrate buffer (pH6) for 30mins, and incubated overnight at +4°C with ab201539 at 1/100 dilution. DAB was used as the chromogen (ab103723), diluted 1/100 and incubated for 10min at room temperature. The section was counterstained with haematoxylin and mounted with DPX. The inset negative control image is taken from an identical assay without primary antibody.

For other IHC staining systems (automated and non-automated) customers should optimize variable parameters such as antigen retrieval conditions, primary antibody concentration and antibody incubation times.

*Tissue obtained from the Human Research Tissue Bank, supported by the NIHR Cambridge Biomedical Research Centre.

Key facts

Host species

Rabbit

Clonality

Monoclonal

Clone number

Y237

Isotype

IgG

Conjugation

Biotin

Excitation/Emission
Carrier free

No

Reacts with

Human

Applications

IHC-P

applications

Immunogen

The exact immunogen used to generate this antibody is proprietary information.

Reactivity data

{ "title": "Reactivity Data", "filters": { "stats": ["", "Species", "Dilution Info", "Notes"], "tabs": { "all-applications": {"fullname" : "All Applications", "shortname": "All Applications"}, "IHCP" : {"fullname" : "Immunohistochemistry (Formalin/PFA-fixed paraffin-embedded sections)", "shortname":"IHC-P"} }, "product-promise": { "all": "all", "testedAndGuaranteed": "tested", "guaranteed": "expected", "predicted": "predicted", "notRecommended": "not-recommended" } }, "values": { "Human": { "IHCP-species-checked": "testedAndGuaranteed", "IHCP-species-dilution-info": "1/100", "IHCP-species-notes": "<p></p> Perform heat-mediated antigen retrieval via the pressure cooker method before commencing with IHC staining protocol." }, "Mouse": { "IHCP-species-checked": "predicted", "IHCP-species-dilution-info": "", "IHCP-species-notes": "" }, "Rat": { "IHCP-species-checked": "predicted", "IHCP-species-dilution-info": "", "IHCP-species-notes": "" } } }

Product details

Patented technology
Our RabMAb® technology is a patented hybridoma-based technology for making rabbit monoclonal antibodies. For details on our patents, please refer to RabMAb® patents.

Properties and storage information

Form
Liquid
Purification technique
Affinity purification Protein A
Storage buffer
pH: 7.4 Preservative: 0.01% Sodium azide Constituents: PBS, 50% Glycerol (glycerin, glycerine), 0.05% BSA
Shipped at conditions
Blue Ice
Appropriate short-term storage duration
1-2 weeks
Appropriate short-term storage conditions
+4°C
Appropriate long-term storage conditions
-20°C
Aliquoting information
Upon delivery aliquot
Storage information
Avoid freeze / thaw cycle|Store in the dark

Supplementary information

This supplementary information is collated from multiple sources and compiled automatically.

The GRB2 protein also known as growth factor receptor-bound protein 2 is instrumental in signal transduction. GRB2 has a molecular weight of about 25 kDa. It comprises one SH2 domain and two SH3 domains which facilitate its role in linking receptor tyrosine kinases to downstream signaling molecules. GRB2 is ubiquitously expressed in various tissues signifying its importance in diverse cellular functions.
Biological function summary

GRB2 functions as an adaptor protein that connects activated receptor tyrosine kinases to intracellular pathways. It often forms complexes with other proteins such as the SOS protein which further propagates signaling cascades critical for cell proliferation and differentiation. GRB2’s ability to mediate these interactions contributes to cellular responses to external stimuli including growth factors and hormones.

Pathways

GRB2 plays an important role in the Ras-MAPK signaling pathway. It interacts with proteins like SOS and Ras enabling signal transduction from the cell surface to the nucleus which is vital for processes such as cell growth and survival. GRB2 is also implicated in the PI3K-Akt pathway connecting it to another set of signaling proteins that regulate metabolism growth and survival.

GRB2 has significant associations with cancer and immune disorders. Aberrant activation of pathways involving GRB2 can lead to uncontrolled cell proliferation contributing to oncogenesis in different cancers. Additionally GRB2’s interactions with proteins like BCR-ABL in chronic myeloid leukemia highlight its potential role as a therapeutic target. GRB2 inhibitors could therefore offer promising avenues for treating such conditions by disrupting its pathological signaling interactions.

Product protocols

For this product, it's our understanding that no specific protocols are required. You can visit:

Target data

Non-enzymatic adapter protein that plays a pivotal role in precisely regulated signaling cascades from cell surface receptors to cellular responses, including signaling transduction and gene expression (PubMed : 11726515, PubMed : 37626338). Thus, participates in many biological processes including regulation of innate and adaptive immunity, autophagy, DNA repair or necroptosis (PubMed : 35831301, PubMed : 37626338, PubMed : 38182563). Controls signaling complexes at the T-cell antigen receptor to facilitate the activation, differentiation, and function of T-cells (PubMed : 36864087, PubMed : 9489702). Mechanistically, engagement of the TCR leads to phosphorylation of the adapter protein LAT, which serves as docking site for GRB2 (PubMed : 9489702). In turn, GRB2 establishes a a connection with SOS1 that acts as a guanine nucleotide exchange factor and serves as a critical regulator of KRAS/RAF1 leading to MAPKs translocation to the nucleus and activation (PubMed : 12171928, PubMed : 25870599). Functions also a role in B-cell activation by amplifying Ca(2+) mobilization and activation of the ERK MAP kinase pathway upon recruitment to the phosphorylated B-cell antigen receptor (BCR) (PubMed : 25413232, PubMed : 29523808). Plays a role in switching between autophagy and programmed necrosis upstream of EGFR by interacting with components of necrosomes including RIPK1 and with autophagy regulators SQSTM1 and BECN1 (PubMed : 35831301, PubMed : 38182563). Regulates miRNA biogenesis by forming a functional ternary complex with AGO2 and DICER1 (PubMed : 37328606). Functions in the replication stress response by protecting DNA at stalled replication forks from MRE11-mediated degradation. Mechanistically, inhibits RAD51 ATPase activity to stabilize RAD51 on stalled replication forks (PubMed : 38459011). Additionally, directly recruits and later releases MRE11 at DNA damage sites during the homology-directed repair (HDR) process (PubMed : 34348893).. Isoform 2. Does not bind to phosphorylated epidermal growth factor receptor (EGFR) but inhibits EGF-induced transactivation of a RAS-responsive element. Acts as a dominant negative protein over GRB2 and by suppressing proliferative signals, may trigger active programmed cell death. Mechanistically, inhibits RAS-ERK signaling and downstream cell proliferation by competing with GRB2 for SOS1 binding and thus by regulating SOS1 membrane recruitment (PubMed : 36171279).
See full target information GRB2

Publications (2)

Recent publications for all applications. Explore the full list and refine your search

Gut 63:1457-67 PubMed24173294

2013

Gene expression profiling-derived immunohistochemistry signature with high prognostic value in colorectal carcinoma.

Applications

WB

Species

Human

Wenjun Chang,Xianhua Gao,Yifang Han,Yan Du,Qizhi Liu,Lei Wang,Xiaojie Tan,Qi Zhang,Yan Liu,Yan Zhu,Yongwei Yu,Xinjuan Fan,Hongwei Zhang,Weiping Zhou,Jianping Wang,Chuangang Fu,Guangwen Cao

RNA (New York, N.Y.) 16:430-41 PubMed20026621

2009

Intended transcriptional silencing with siRNA results in gene repression through sequence-specific off-targeting.

Applications

WB

Species

Human

Joshua Moses,Amber Goodchild,Laurent P Rivory
View all publications

Product promise

We are committed to supporting your work with high-quality reagents, and we're here for you every step of the way. In the unlikely event that one of our products does not perform as expected, you're protected by our Product Promise.
For full details, please see our Terms & Conditions

Please note: All products are 'FOR RESEARCH USE ONLY. NOT FOR USE IN DIAGNOSTIC OR THERAPEUTIC PROCEDURES'.

For licensing inquiries, please contact partnerships@abcam.com