JavaScript is disabled in your browser. Please enable JavaScript to view this website.
AB192050

Biotin Anti-Hepatitis C Virus Core Antigen antibody [H6-29]

Be the first to review this product! Submit a review

|

(1 Publication)

Mouse Monoclonal POLG antibody - conjugated to Biotin. Suitable for WB, ICC/IF, IHC-Fr and reacts with Hepatitis C virus samples. Cited in 1 publication.

View Alternative Names

Genome polyprotein

3 Images
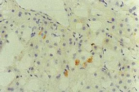
Immunohistochemistry (Frozen sections) - Biotin Anti-Hepatitis C Virus Core Antigen antibody [H6-29] (AB192050)
  • IHC-Fr

Supplier Data

Immunohistochemistry (Frozen sections) - Biotin Anti-Hepatitis C Virus Core Antigen antibody [H6-29] (AB192050)

Immunohistochemical analysis of Human liver tissue from a patient with chronic hepatitis C, labeling Hepatitis C Virus NS4A using ab192050. Counterstained with hematoxylin.

Immunocytochemistry/ Immunofluorescence - Biotin Anti-Hepatitis C Virus Core Antigen antibody [H6-29] (AB192050)
  • ICC/IF

Supplier Data

Immunocytochemistry/ Immunofluorescence - Biotin Anti-Hepatitis C Virus Core Antigen antibody [H6-29] (AB192050)

Immunofluorescence analysis of acetone-fixed cells from chimpanzee liver infected with recombinant vaccinia virus containing a Hepatitis C virus genome cDNA cells, labeling Hepatitis C Virus NS4A using ab192050.

Western blot - Biotin Anti-Hepatitis C Virus Core Antigen antibody [H6-29] (AB192050)
  • WB

Supplier Data

Western blot - Biotin Anti-Hepatitis C Virus Core Antigen antibody [H6-29] (AB192050)

All lanes:

Western blot - Biotin Anti-Hepatitis C Virus Core Antigen antibody [H6-29] (ab192050)

All lanes:

chimpanzee liver infected with recombinant vaccinia virus containing a Hepatitis C virus genome cDNA cell lysate

Predicted band size: 22 kDa

Observed band size: 22 kDa

false

Key facts

Host species

Mouse

Clonality

Monoclonal

Clone number

H6-29

Isotype

IgG2a

Light chain type

kappa

Conjugation

Biotin

Excitation/Emission
Carrier free

No

Reacts with

Hepatitis C virus

Applications

ICC/IF, IHC-Fr, WB

applications

Reactivity data

{ "title": "Reactivity Data", "filters": { "stats": ["", "Species", "Dilution Info", "Notes"], "tabs": { "all-applications": {"fullname" : "All Applications", "shortname": "All Applications"}, "WB" : {"fullname" : "Western blot", "shortname":"WB"}, "ICCIF" : {"fullname" : "Immunocytochemistry/ Immunofluorescence", "shortname":"ICC/IF"}, "IHCFr" : {"fullname" : "Immunohistochemistry (Frozen sections)", "shortname":"IHC-Fr"} }, "product-promise": { "all": "all", "testedAndGuaranteed": "tested", "guaranteed": "expected", "predicted": "predicted", "notRecommended": "not-recommended" } }, "values": { "Hepatitis C virus": { "WB-species-checked": "testedAndGuaranteed", "WB-species-dilution-info": "", "WB-species-notes": "<p></p>", "ICCIF-species-checked": "testedAndGuaranteed", "ICCIF-species-dilution-info": "", "ICCIF-species-notes": "<p></p>", "IHCFr-species-checked": "testedAndGuaranteed", "IHCFr-species-dilution-info": "", "IHCFr-species-notes": "<p></p>" } } }

Product details

Biotin conjugated [biotin] / [IgG] = 6.6.

Properties and storage information

Form
Liquid
Purification technique
Affinity purification Protein A
Storage buffer
pH: 6 - 8.5 Constituents: PBS, 50% Glycerol (glycerin, glycerine)
Shipped at conditions
Blue Ice
Appropriate short-term storage duration
1-2 weeks
Appropriate short-term storage conditions
+4°C
Appropriate long-term storage conditions
-20°C
Aliquoting information
Upon delivery aliquot
Storage information
Avoid freeze / thaw cycle|Store in the dark

Supplementary information

This supplementary information is collated from multiple sources and compiled automatically.

The Hepatitis C Virus Core Antigen also known as HCV Core Protein or simply HCV Core is an essential structural component of the Hepatitis C virus. This protein with a mass of approximately 21 kDa plays a fundamental role in the formation of the viral nucleocapsid. It expresses extensively in the liver cells of infected individuals serving as a target for the diagnostic 'anti-HCV ELISA'. The HCV Core Protein interacts with host cellular machinery facilitating viral replication and pathogenesis.
Biological function summary

The HCV Core Protein influences various cellular processes and immune responses in the host. It can modulate the host's gene expression interfere with cell signaling and affect apoptosis thereby promoting viral persistence. The protein often forms a part of heterogeneous complexes interacting with both viral and host proteins to alter cellular environments in favor of viral replication. This multifaceted role makes it an important target for research in understanding hepatitis C pathogenesis.

Pathways

The HCV Core Protein participates in disrupting signaling pathways such as the NF-kB and TGF-beta pathways. In these pathways HCV Core can bind with cellular proteins that are key regulators including p53 and retinoblastoma protein to exert its effects on cell cycle regulation and immune modulation. These interactions help the virus to counteract antiviral responses and contribute to liver diseases.

The HCV Core Protein is closely associated with hepatitis C infection and its progression to liver cirrhosis and hepatocellular carcinoma. By interacting with proteins like the tumor suppressor p53 the core protein plays a role in the development of liver cancer. Understanding these interactions is important in developing therapeutic strategies to combat the effects of chronic hepatitis C infection.

Product protocols

For this product, it's our understanding that no specific protocols are required. You can visit:

Target data

Mature core protein. Packages viral RNA to form a viral nucleocapsid, and promotes virion budding (Probable). Participates in the viral particle production as a result of its interaction with the non-structural protein 5A (By similarity). Binds RNA and may function as a RNA chaperone to induce the RNA structural rearrangements taking place during virus replication (By similarity). Modulates viral translation initiation by interacting with viral IRES and 40S ribosomal subunit (By similarity). Affects various cell signaling pathways, host immunity and lipid metabolism (Probable). Prevents the establishment of cellular antiviral state by blocking the interferon-alpha/beta (IFN-alpha/beta) and IFN-gamma signaling pathways and by blocking the formation of phosphorylated STAT1 and promoting ubiquitin-mediated proteasome-dependent degradation of STAT1 (By similarity). Activates STAT3 leading to cellular transformation (PubMed : 12208879). Regulates the activity of cellular genes, including c-myc and c-fos (By similarity). May repress the promoter of p53, and sequester CREB3 and SP110 isoform 3/Sp110b in the cytoplasm (By similarity). Represses cell cycle negative regulating factor CDKN1A, thereby interrupting an important check point of normal cell cycle regulation (By similarity). Targets transcription factors involved in the regulation of inflammatory responses and in the immune response : suppresses TNF-induced NF-kappa-B activation, and activates AP-1 (By similarity). Binds to dendritic cells (DCs) via C1QR1, resulting in down-regulation of T-lymphocytes proliferation (By similarity). Alters lipid metabolism by interacting with hepatocellular proteins involved in lipid accumulation and storage (By similarity). Induces up-regulation of FAS promoter activity, and thereby contributes to the increased triglyceride accumulation in hepatocytes (steatosis) (By similarity).. Envelope glycoprotein E1. Forms a heterodimer with envelope glycoprotein E2, which mediates virus attachment to the host cell, virion internalization through clathrin-dependent endocytosis and fusion with host membrane (By similarity). Fusion with the host cell is most likely mediated by both E1 and E2, through conformational rearrangements of the heterodimer required for fusion rather than a classical class II fusion mechanism (By similarity). E1/E2 heterodimer binds host apolipoproteins such as APOB and ApoE thereby forming a lipo-viro-particle (LVP) (By similarity). APOE associated to the LVP allows the initial virus attachment to cell surface receptors such as the heparan sulfate proteoglycans (HSPGs), syndecan-1 (SDC1), syndecan-1 (SDC2), the low-density lipoprotein receptor (LDLR) and scavenger receptor class B type I (SCARB1) (By similarity). The cholesterol transfer activity of SCARB1 allows E2 exposure and binding of E2 to SCARB1 and the tetraspanin CD81 (By similarity). E1/E2 heterodimer binding on CD81 activates the epithelial growth factor receptor (EGFR) signaling pathway (By similarity). Diffusion of the complex E1-E2-EGFR-SCARB1-CD81 to the cell lateral membrane allows further interaction with Claudin 1 (CLDN1) and occludin (OCLN) to finally trigger HCV entry (By similarity).. Envelope glycoprotein E2. Forms a heterodimer with envelope glycoprotein E1, which mediates virus attachment to the host cell, virion internalization through clathrin-dependent endocytosis and fusion with host membrane (By similarity). Fusion with the host cell is most likely mediated by both E1 and E2, through conformational rearrangements of the heterodimer required for fusion rather than a classical class II fusion mechanism (By similarity). The interaction between envelope glycoprotein E2 and host apolipoprotein E/APOE allows the proper assembly, maturation and infectivity of the viral particles (By similarity). This interaction is probably promoted via the up-regulation of cellular autophagy by the virus (By similarity). E1/E2 heterodimer binds host apolipoproteins such as APOB and APOE thereby forming a lipo-viro-particle (LVP) (By similarity). APOE associated to the LVP allows the initial virus attachment to cell surface receptors such as the heparan sulfate proteoglycans (HSPGs), syndecan-1 (SDC1), syndecan-1 (SDC2), the low-density lipoprotein receptor (LDLR) and scavenger receptor class B type I (SCARB1) (By similarity). The cholesterol transfer activity of SCARB1 allows E2 exposure and binding of E2 to SCARB1 and the tetraspanin CD81 (By similarity). E1/E2 heterodimer binding on CD81 activates the epithelial growth factor receptor (EGFR) signaling pathway (By similarity). Diffusion of the complex E1-E2-EGFR-SCARB1-CD81 to the cell lateral membrane allows further interaction with Claudin 1 (CLDN1) and occludin (OCLN) to finally trigger HCV entry (By similarity). Inhibits host EIF2AK2/PKR activation, preventing the establishment of an antiviral state (By similarity). Viral ligand for CD209/DC-SIGN and CLEC4M/DC-SIGNR, which are respectively found on dendritic cells (DCs), and on liver sinusoidal endothelial cells and macrophage-like cells of lymph node sinuses (By similarity). These interactions allow the capture of circulating HCV particles by these cells and subsequent facilitated transmission to permissive cells such as hepatocytes and lymphocyte subpopulations (By similarity). The interaction between E2 and host amino acid transporter complex formed by SLC3A2 and SLC7A5/LAT1 may facilitate viral entry into host cell (By similarity).. Viroporin p7. Ion channel protein that acts as a viroporin and plays an essential role in the assembly, envelopment and secretion of viral particles (By similarity). Regulates the host cell secretory pathway, which induces the intracellular retention of viral glycoproteins and favors assembly of viral particles (By similarity). Creates a pore in acidic organelles and releases Ca(2+) and H(+) in the cytoplasm of infected cells, leading to a productive viral infection (By similarity). High levels of cytoplasmic Ca(2+) may trigger membrane trafficking and transport of viral ER-associated proteins to viroplasms, sites of viral genome replication (Probable). This ionic imbalance induces the assembly of the inflammasome complex, which triggers the maturation of pro-IL-1beta into IL-1beta through the action of caspase-1 (By similarity). Targets also host mitochondria and induces mitochondrial depolarization (By similarity). In addition of its role as a viroporin, acts as a lipid raft adhesion factor (By similarity).. Protease NS2. Cysteine protease required for the proteolytic auto-cleavage between the non-structural proteins NS2 and NS3 (By similarity). The N-terminus of NS3 is required for the function of NS2 protease (active region NS2-3) (By similarity). Promotes the initiation of viral particle assembly by mediating the interaction between structural and non-structural proteins (By similarity).. Serine protease/helicase NS3. Displays three enzymatic activities : serine protease with a chymotrypsin-like fold, NTPase and RNA helicase (By similarity). NS3 serine protease, in association with NS4A, is responsible for the cleavages of NS3-NS4A, NS4A-NS4B, NS4B-NS5A and NS5A-NS5B (By similarity). The NS3/NS4A complex prevents phosphorylation of host IRF3, thus preventing the establishment of dsRNA induced antiviral state (By similarity). The NS3/NS4A complex induces host amino acid transporter component SLC3A2, thus contributing to HCV propagation (By similarity). NS3 RNA helicase binds to RNA and unwinds both dsDNA and dsRNA in the 3' to 5' direction, and likely resolves RNA complicated stable secondary structures in the template strand (By similarity). Binds a single ATP and catalyzes the unzipping of a single base pair of dsRNA (By similarity). Inhibits host antiviral proteins TBK1 and IRF3 thereby preventing the establishment of an antiviral state (By similarity). Cleaves host MAVS/CARDIF thereby preventing the establishment of an antiviral state (By similarity). Cleaves host TICAM1/TRIF, thereby disrupting TLR3 signaling and preventing the establishment of an antiviral state (By similarity).. Non-structural protein 4A. Peptide cofactor which forms a non-covalent complex with the N-terminal of NS3 serine protease (By similarity). The NS3/NS4A complex prevents phosphorylation of host IRF3, thus preventing the establishment of dsRNA induced antiviral state (By similarity). The NS3/NS4A complex induces host amino acid transporter component SLC3A2, thus contributing to HCV propagation (By similarity).. Non-structural protein 4B. Induces a specific membrane alteration that serves as a scaffold for the virus replication complex (By similarity). This membrane alteration gives rise to the so-called ER-derived membranous web that contains the replication complex (By similarity). NS4B self-interaction contributes to its function in membranous web formation (By similarity). Promotes host TRIF protein degradation in a CASP8-dependent manner thereby inhibiting host TLR3-mediated interferon signaling (By similarity). Disrupts the interaction between STING and TBK1 contributing to the inhibition of interferon signaling (By similarity).. Non-structural protein 5A. Phosphorylated protein that is indispensable for viral replication and assembly (By similarity). Both hypo- and hyperphosphorylated states are required for the viral life cycle (By similarity). The hyperphosphorylated form of NS5A is an inhibitor of viral replication (By similarity). Involved in RNA-binding and especially in binding to the viral genome (By similarity). Zinc is essential for RNA-binding (By similarity). Participates in the viral particle production as a result of its interaction with the mature viral core protein (By similarity). Its interaction with host VAPB may target the viral replication complex to vesicles (By similarity). Down-regulates viral IRES translation initiation (By similarity). Mediates interferon resistance, presumably by interacting with and inhibiting host EIF2AK2/PKR (By similarity). Prevents BIN1-induced apoptosis (By similarity). Acts as a transcriptional activator of some host genes important for viral replication when localized in the nucleus (By similarity). Via the interaction with host PACSIN2, modulates lipid droplet formation in order to promote virion assembly (By similarity). Modulates TNFRSF21/DR6 signaling pathway for viral propagation (PubMed : 9557650).. RNA-directed RNA polymerase. RNA-dependent RNA polymerase that performs primer-template recognition and RNA synthesis during viral replication. Initiates RNA transcription/replication at a flavin adenine dinucleotide (FAD), resulting in a 5'- FAD cap on viral RNAs. In this way, recognition of viral 5' RNA by host pattern recognition receptors can be bypassed, thereby evading activation of antiviral pathways.
See full target information Genome polyprotein

Additional targets

POLG_HCV1

Publications (1)

Recent publications for all applications. Explore the full list and refine your search

Experimental neurology 327:113234 PubMed32044330

2020

Pioglitazone activates paraoxonase-2 in the brain: A novel neuroprotective mechanism.

Applications

Unspecified application

Species

Unspecified reactive species

Jennifer K Blackburn,Daniel W Curry,Anna N Thomsen,Robert H Roth,John D Elsworth
View all publications

Product promise

We are committed to supporting your work with high-quality reagents, and we're here for you every step of the way. In the unlikely event that one of our products does not perform as expected, you're protected by our Product Promise.
For full details, please see our Terms & Conditions

Please note: All products are 'FOR RESEARCH USE ONLY. NOT FOR USE IN DIAGNOSTIC OR THERAPEUTIC PROCEDURES'.

For licensing inquiries, please contact partnerships@abcam.com