JavaScript is disabled in your browser. Please enable JavaScript to view this website.
AB322913

Biotin Anti-IgG2 antibody [EPR4418]

Be the first to review this product! Submit a review

|

(0 Publication)

Rabbit Recombinant Monoclonal IGHG2 antibody - conjugated to Biotin. Suitable for IHC-P and reacts with Human samples.

View Alternative Names

Immunoglobulin heavy constant gamma 2, Ig gamma-2 chain C region, Ig gamma-2 chain C region DOT, Ig gamma-2 chain C region TIL, Ig gamma-2 chain C region ZIE, IGHG2

2 Images
Immunohistochemistry (Formalin/PFA-fixed paraffin-embedded sections) - Biotin Anti-IgG2 antibody [EPR4418] (AB322913)
  • IHC-P

Lab

Immunohistochemistry (Formalin/PFA-fixed paraffin-embedded sections) - Biotin Anti-IgG2 antibody [EPR4418] (AB322913)

Negative staining of IgG2 in a section of formalin-fixed paraffin-embedded human normal cerebral cortex*.

Performed on a Leica BOND™ system. The section was pre-treated using heat mediated antigen retrieval with EDTA (pH 9.0, epitope retrieval solution 2) for 20mins, before blocking of endogenous biotin using ab64212. The section was then incubated with ab322913 at 0.1µg/ml, for 15 mins at room temperature and detected using an HRP conjugated ABC system. DAB was used as the chromogen. The section was then counterstained with haematoxylin and mounted with DPX. The inset secondary-only control image is taken from an identical assay without primary antibody.

For other IHC staining systems (automated and non-automated) customers should optimize variable parameters such as antigen retrieval conditions, primary antibody concentration and antibody incubation times.

*Tissue obtained from the Human Research Tissue Bank, supported by the NIHR Cambridge Biomedical Research Centre.

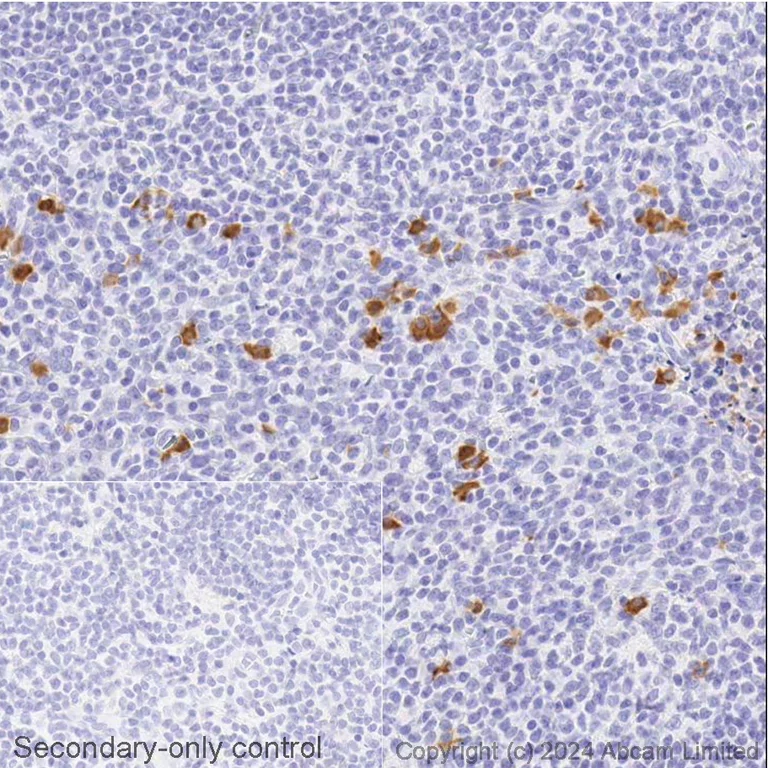
Immunohistochemistry (Formalin/PFA-fixed paraffin-embedded sections) - Biotin Anti-IgG2 antibody [EPR4418] (AB322913)
  • IHC-P

Lab

Immunohistochemistry (Formalin/PFA-fixed paraffin-embedded sections) - Biotin Anti-IgG2 antibody [EPR4418] (AB322913)

IHC image of IgG2 staining in a section of formalin-fixed paraffin-embedded human normal tonsil*.

Performed on a Leica BOND™ system. The section was pre-treated using heat mediated antigen retrieval with EDTA (pH 9.0, epitope retrieval solution 2) for 20mins, before blocking of endogenous biotin using ab64212. The section was then incubated with ab322913 at 0.1µg/ml, for 15 mins at room temperature and detected using an HRP conjugated ABC system. DAB was used as the chromogen. The section was then counterstained with haematoxylin and mounted with DPX. The inset secondary-only control image is taken from an identical assay without primary antibody.

For other IHC staining systems (automated and non-automated) customers should optimize variable parameters such as antigen retrieval conditions, primary antibody concentration and antibody incubation times.

*Tissue obtained from the Human Research Tissue Bank, supported by the NIHR Cambridge Biomedical Research Centre.

Key facts

Host species

Rabbit

Clonality

Monoclonal

Clone number

EPR4418

Isotype

IgG

Conjugation

Biotin

Excitation/Emission
Carrier free

No

Reacts with

Human

Applications

IHC-P

applications

Immunogen

The exact immunogen used to generate this antibody is proprietary information.

Specificity

ab134050 does not cross-react with human IgG1, IgG3 or IgG4.

Reactivity data

{ "title": "Reactivity Data", "filters": { "stats": ["", "Species", "Dilution Info", "Notes"], "tabs": { "all-applications": {"fullname" : "All Applications", "shortname": "All Applications"}, "IHCP" : {"fullname" : "Immunohistochemistry (Formalin/PFA-fixed paraffin-embedded sections)", "shortname":"IHC-P"} }, "product-promise": { "all": "all", "testedAndGuaranteed": "tested", "guaranteed": "expected", "predicted": "predicted", "notRecommended": "not-recommended" } }, "values": { "Human": { "IHCP-species-checked": "testedAndGuaranteed", "IHCP-species-dilution-info": "1/5000", "IHCP-species-notes": "<p></p> Perform heat-mediated antigen retrieval with Tris/EDTA buffer pH 9.0 before commencing with IHC staining protocol." } } }

Product details

Patented technology
Our RabMAb® technology is a patented hybridoma-based technology for making rabbit monoclonal antibodies. For details on our patents, please refer to RabMAb® patents.

What are the advantages of a recombinant monoclonal antibody?
This product is a recombinant monoclonal antibody, which offers several advantages including:

  • - High batch-to-batch consistency and reproducibility
  • - Improved sensitivity and specificity
  • - Long-term security of supply
  • - Animal-free batch production

For more information, read more on recombinant antibodies.

Species reactivity
Mouse, Rat: We have preliminary internal testing data to indicate this antibody may not react with these species.
Please contact us for more information.

Properties and storage information

Form
Liquid
Storage buffer
pH: 7.4 Preservative: 0.02% Sodium azide Constituents: PBS, 30% Glycerol (glycerin, glycerine), 1% BSA
Shipped at conditions
Blue Ice
Appropriate short-term storage duration
1-2 weeks
Appropriate short-term storage conditions
+4°C
Appropriate long-term storage conditions
-20°C

Product protocols

For this product, it's our understanding that no specific protocols are required. You can visit:

Target data

Constant region of immunoglobulin heavy chains. Immunoglobulins, also known as antibodies, are membrane-bound or secreted glycoproteins produced by B lymphocytes. In the recognition phase of humoral immunity, the membrane-bound immunoglobulins serve as receptors which, upon binding of a specific antigen, trigger the clonal expansion and differentiation of B lymphocytes into immunoglobulins-secreting plasma cells. Secreted immunoglobulins mediate the effector phase of humoral immunity, which results in the elimination of bound antigens (PubMed : 20176268, PubMed : 22158414). The antigen binding site is formed by the variable domain of one heavy chain, together with that of its associated light chain. Thus, each immunoglobulin has two antigen binding sites with remarkable affinity for a particular antigen. The variable domains are assembled by a process called V-(D)-J rearrangement and can then be subjected to somatic hypermutations which, after exposure to antigen and selection, allow affinity maturation for a particular antigen (PubMed : 17576170, PubMed : 20176268).
See full target information IGHG2

Product promise

We are committed to supporting your work with high-quality reagents, and we're here for you every step of the way. In the unlikely event that one of our products does not perform as expected, you're protected by our Product Promise.
For full details, please see our Terms & Conditions

Please note: All products are 'FOR RESEARCH USE ONLY. NOT FOR USE IN DIAGNOSTIC OR THERAPEUTIC PROCEDURES'.

For licensing inquiries, please contact partnerships@abcam.com