JavaScript is disabled in your browser. Please enable JavaScript to view this website.
AB224181

Biotin Anti-IgG3 antibody [RM119]

Be the first to review this product! Submit a review

|

(1 Publication)

Rabbit Recombinant Monoclonal IGHG3 antibody - conjugated to Biotin. Suitable for IHC, ELISA, sELISA and reacts with Human samples. Cited in 1 publication. Immunogen corresponding to Full Length Protein corresponding to Human IGHG3.

View Alternative Names

Immunoglobulin heavy constant gamma 3, HDC, Heavy chain disease protein, Ig gamma-3 chain C region, IGHG3

5 Images
ELISA - Biotin Anti-IgG3 antibody [RM119] (AB224181)
  • ELISA

Supplier Data

ELISA - Biotin Anti-IgG3 antibody [RM119] (AB224181)

A titer ELISA using ab224181. The plate was coated with different amounts of human IgG3. A serial dilution of ab224181 was used as the primary antibody. An alkaline phosphatase conjugated anti-rabbit IgG as the secondary antibody.

Sandwich ELISA - Biotin Anti-IgG3 antibody [RM119] (AB224181)
  • sELISA

Supplier Data

Sandwich ELISA - Biotin Anti-IgG3 antibody [RM119] (AB224181)

Sandwich ELISA using ab224181 as the capture antibody (100ng/well), and a biotinylated anti-human light chains ( κ+ λ) antibody as the detection antibody, followed by a HRP conjugated streptavidin.

ELISA - Biotin Anti-IgG3 antibody [RM119] (AB224181)
  • ELISA

Supplier Data

ELISA - Biotin Anti-IgG3 antibody [RM119] (AB224181)

ELISA of human immunoglobulins shows ab224181 only reacted to human IgG3. No cross reactivity with Human IgG1, IgG2, IgG4, IgE, IgD, IgA, mouse IgG, rat IgG, or goat IgG. The plate was coated with 50 ng/well of different immunoglobulins. 200 ng/mL, 50 ng/mL, or 10 ng/mL of ab224181 was used as the primary antibody. An alkaline phosphatase conjugated anti-rabbit IgG was used as the secondary antibody.

Sandwich ELISA - Biotin Anti-IgG3 antibody [RM119] (AB224181)
  • sELISA

Supplier Data

Sandwich ELISA - Biotin Anti-IgG3 antibody [RM119] (AB224181)

Sandwich ELISA using ab224181 as the capture antibody (100ng/well), and a biotinylated anti-human light chains ( κ+ λ) antibody as the detection antibody, followed by an HRP conjugated streptavidin.

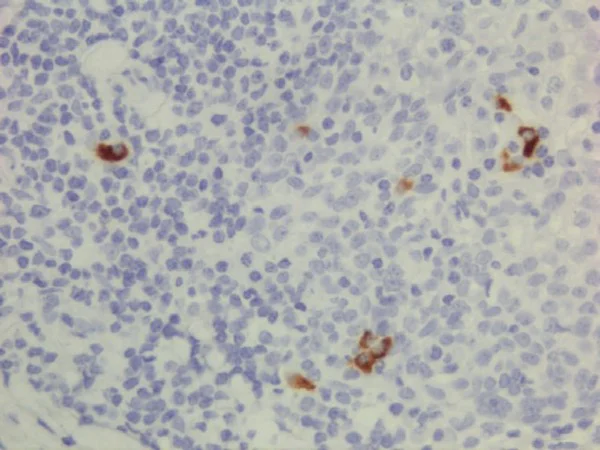
Immunohistochemistry - Biotin Anti-IgG3 antibody [RM119] (AB224181)
  • IHC

Supplier Data

Immunohistochemistry - Biotin Anti-IgG3 antibody [RM119] (AB224181)

Human lymphoid tissue stained for human IgG3 using ab224181 at 5 μg/ml in immunohistochemical analysis.

Key facts

Host species

Rabbit

Clonality

Monoclonal

Clone number

RM119

Isotype

IgG

Conjugation

Biotin

Excitation/Emission
Carrier free

No

Reacts with

Human

Applications

ELISA, IHC, sELISA

applications

Immunogen

Full Length Protein corresponding to Human IGHG3. The exact immunogen used to generate this antibody is proprietary information.

P01860

Reactivity data

{ "title": "Reactivity Data", "filters": { "stats": ["", "Species", "Dilution Info", "Notes"], "tabs": { "all-applications": {"fullname" : "All Applications", "shortname": "All Applications"}, "IHC" : {"fullname" : "Immunohistochemistry", "shortname":"IHC"}, "ELISA" : {"fullname" : "ELISA", "shortname":"ELISA"}, "sELISA" : {"fullname" : "Sandwich ELISA", "shortname":"sELISA"} }, "product-promise": { "all": "all", "testedAndGuaranteed": "tested", "guaranteed": "expected", "predicted": "predicted", "notRecommended": "not-recommended" } }, "values": { "Human": { "IHC-species-checked": "testedAndGuaranteed", "IHC-species-dilution-info": "2-5 µg/mL", "IHC-species-notes": "<p></p>", "ELISA-species-checked": "testedAndGuaranteed", "ELISA-species-dilution-info": "", "ELISA-species-notes": "<p></p>", "sELISA-species-checked": "testedAndGuaranteed", "sELISA-species-dilution-info": "", "sELISA-species-notes": "<p>Use: 50 ng/well - 200 ng/well (for Capture); 0.05 μg/mL - 0.2 μg/mL (for Detection).</p>" }, "Mouse": { "IHC-species-checked": "notRecommended", "IHC-species-dilution-info": "2-5 g/mL", "IHC-species-notes": "<p></p>", "ELISA-species-checked": "notRecommended", "ELISA-species-dilution-info": "", "ELISA-species-notes": "<p></p>", "sELISA-species-checked": "notRecommended", "sELISA-species-dilution-info": "", "sELISA-species-notes": "<p>Use: 50 ng/well - 200 ng/well (for Capture); 0.05 μg/mL - 0.2 μg/mL (for Detection).</p>" }, "Rat": { "IHC-species-checked": "notRecommended", "IHC-species-dilution-info": "2-5 g/mL", "IHC-species-notes": "<p></p>", "ELISA-species-checked": "notRecommended", "ELISA-species-dilution-info": "", "ELISA-species-notes": "<p></p>", "sELISA-species-checked": "notRecommended", "sELISA-species-dilution-info": "", "sELISA-species-notes": "<p>Use: 50 ng/well - 200 ng/well (for Capture); 0.05 μg/mL - 0.2 μg/mL (for Detection).</p>" }, "Goat": { "IHC-species-checked": "notRecommended", "IHC-species-dilution-info": "2-5 g/mL", "IHC-species-notes": "<p></p>", "ELISA-species-checked": "notRecommended", "ELISA-species-dilution-info": "", "ELISA-species-notes": "<p></p>", "sELISA-species-checked": "notRecommended", "sELISA-species-dilution-info": "", "sELISA-species-notes": "<p>Use: 50 ng/well - 200 ng/well (for Capture); 0.05 μg/mL - 0.2 μg/mL (for Detection).</p>" } } }

Properties and storage information

Form
Liquid
Purification technique
Affinity purification Protein A
Purification notes
ab224181 was purified from an animal origin–free culture supernatant.
Storage buffer
Preservative: 0.09% Sodium azide Constituents: PBS, 50% Glycerol (glycerin, glycerine), 1% BSA
Shipped at conditions
Blue Ice
Appropriate short-term storage duration
1-2 weeks
Appropriate short-term storage conditions
+4°C
Appropriate long-term storage conditions
-20°C
Aliquoting information
Upon delivery aliquot
Storage information
Stable for 12 months at -20°C|Store in the dark

Supplementary information

This supplementary information is collated from multiple sources and compiled automatically.

IgG3 also known as gamma rat IgG3 and 1gG3 is an immunoglobulin G subclass involved in immune response. It has a molecular mass of approximately 150 kDa. This antibody is expressed in B cells and circulates throughout the bloodstream. It plays a mechanical role in immune defense by recognizing and binding to antigens assisting in pathogen neutralization and immune activation.
Biological function summary

IgG3 is part of a complex network within the immune system. It binds to native proteins on the surface of pathogens enhancing their recognition by phagocytes. IgG3 function includes efficient complement activation which is critical for the opsonization and elimination of antigens. Mouse IgG3 is often used in research to study similar immune functions in animal models.

Pathways

IgG3 is integral in the complement cascade and Fc receptor signaling pathways. It interacts with proteins such as C1q and FcγRIII which mediate antibody-dependent cellular cytotoxicity and phagocytosis. These pathways illustrate how IgG3 links innate and adaptive immune responses making it essential for maintaining immune homeostasis.

IgG3 has associations with autoimmune conditions like rheumatoid arthritis and certain infectious diseases. Abnormal IgG3 function can contribute to disease progression or resistance. It connects to other proteins like rheumatoid factor and other IgG subclasses through these conditions influencing the pathophysiology and potential therapeutic responses.

Product protocols

For this product, it's our understanding that no specific protocols are required. You can visit:

Target data

Constant region of immunoglobulin heavy chains. Immunoglobulins, also known as antibodies, are membrane-bound or secreted glycoproteins produced by B lymphocytes. In the recognition phase of humoral immunity, the membrane-bound immunoglobulins serve as receptors which, upon binding of a specific antigen, trigger the clonal expansion and differentiation of B lymphocytes into immunoglobulins-secreting plasma cells. Secreted immunoglobulins mediate the effector phase of humoral immunity, which results in the elimination of bound antigens (PubMed : 20176268, PubMed : 22158414). The antigen binding site is formed by the variable domain of one heavy chain, together with that of its associated light chain. Thus, each immunoglobulin has two antigen binding sites with remarkable affinity for a particular antigen. The variable domains are assembled by a process called V-(D)-J rearrangement and can then be subjected to somatic hypermutations which, after exposure to antigen and selection, allow affinity maturation for a particular antigen (PubMed : 17576170, PubMed : 20176268).
See full target information IGHG3

Publications (1)

Recent publications for all applications. Explore the full list and refine your search

Oxidative medicine and cellular longevity 2019:1970818 PubMed31093311

2019

CIAPIN1 Targeted NHE1 and ERK1/2 to Suppress NSCLC Cells' Metastasis and Predicted Good Prognosis in NSCLC Patients Receiving Pulmonectomy.

Applications

Unspecified application

Species

Unspecified reactive species

Jian Wang,Ying Zhou,Li Ma,Shannan Cao,Wei Gao,Qingqing Xiong,Kaiyuan Wang,Lili Yang
View all publications

Product promise

We are committed to supporting your work with high-quality reagents, and we're here for you every step of the way. In the unlikely event that one of our products does not perform as expected, you're protected by our Product Promise.
For full details, please see our Terms & Conditions

Please note: All products are 'FOR RESEARCH USE ONLY. NOT FOR USE IN DIAGNOSTIC OR THERAPEUTIC PROCEDURES'.

For licensing inquiries, please contact partnerships@abcam.com