JavaScript is disabled in your browser. Please enable JavaScript to view this website.
AB202924

Biotin Anti-IL-11RA antibody [EPR5446]

Be the first to review this product! Submit a review

|

(1 Publication)

Rabbit Recombinant Monoclonal IL-11RA antibody - conjugated to Biotin. Suitable for IHC-P and reacts with Human samples. Cited in 1 publication.

View Alternative Names

Interleukin-11 receptor subunit alpha, IL-11 receptor subunit alpha, IL-11R subunit alpha, IL-11R-alpha, IL-11RA, IL11RA

1 Images
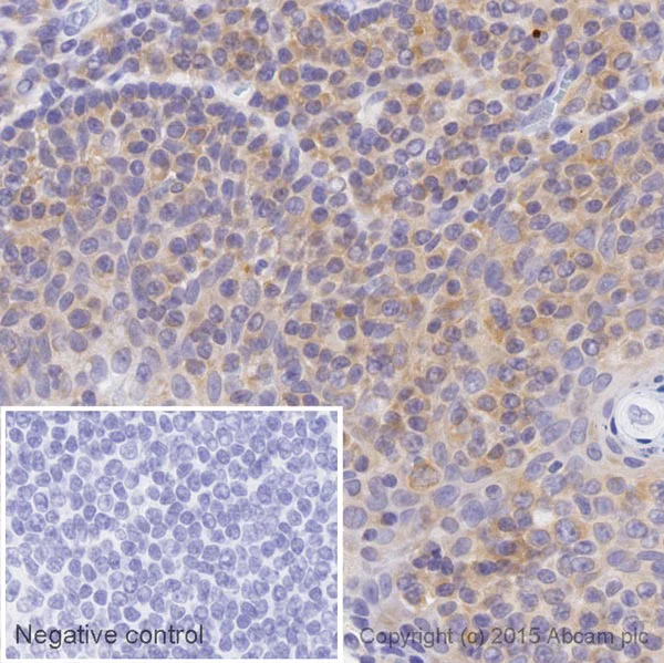
Immunohistochemistry (Formalin/PFA-fixed paraffin-embedded sections) - Biotin Anti-IL-11RA antibody [EPR5446] (AB202924)
  • IHC-P

Lab

Immunohistochemistry (Formalin/PFA-fixed paraffin-embedded sections) - Biotin Anti-IL-11RA antibody [EPR5446] (AB202924)

IHC image of IL-11RA staining in a section of formalin-fixed paraffin-embedded normal human tonsil*, performed on a Leica BondTM. The section was pre-treated using heat mediated antigen retrieval with sodium citrate buffer (pH6, epitope retrieval solution 1) for 20 mins, before blocking of endogenous biotin using ab64212. The section was then incubated with ab202924, 1/50 dilution, for 15 mins at room temperature and detected using an HRP conjugated ABC system. DAB was used as the chromogen. The section was then counterstained with haematoxylin and mounted with DPX. The inset negative control image is taken from an identical assay without primary antibody.

For other IHC staining systems (automated and non-automated) customers should optimize variable parameters such as antigen retrieval conditions, primary antibody concentration and antibody incubation times.

*Tissue obtained from the Human Research Tissue Bank, supported by the NIHR Cambridge Biomedical Research Centre

  • 578 PE

    PE Anti-IL-11RA antibody [EPR5446]

  • 660 APC

    APC Anti-IL-11RA antibody [EPR5446]

  • HRP

    HRP Anti-IL-11RA antibody [EPR5446]

  • 519 Alexa Fluor® 488

    Alexa Fluor® 488 Anti-IL-11RA antibody [EPR5446]

  • 665 Alexa Fluor® 647

    Alexa Fluor® 647 Anti-IL-11RA antibody [EPR5446]

  • 617 Alexa Fluor® 594

    Alexa Fluor® 594 Anti-IL-11RA antibody [EPR5446]

  • 565 Alexa Fluor® 555

    Alexa Fluor® 555 Anti-IL-11RA antibody [EPR5446]

  • 603 Alexa Fluor® 568

    Alexa Fluor® 568 Anti-IL-11RA antibody [EPR5446]

  • 775 Alexa Fluor® 750

    Alexa Fluor® 750 Anti-IL-11RA antibody [EPR5446]

  • Unconjugated

    Anti-IL-11RA antibody [EPR5446]

  • Carrier free

    Anti-IL-11RA antibody [EPR5446] - BSA and Azide free

Key facts

Host species

Rabbit

Clonality

Monoclonal

Clone number

EPR5446

Isotype

IgG

Conjugation

Biotin

Excitation/Emission
Carrier free

No

Reacts with

Human

Applications

IHC-P

applications

Immunogen

The exact immunogen used to generate this antibody is proprietary information.

Reactivity data

{ "title": "Reactivity Data", "filters": { "stats": ["", "Species", "Dilution Info", "Notes"], "tabs": { "all-applications": {"fullname" : "All Applications", "shortname": "All Applications"}, "IHCP" : {"fullname" : "Immunohistochemistry (Formalin/PFA-fixed paraffin-embedded sections)", "shortname":"IHC-P"} }, "product-promise": { "all": "all", "testedAndGuaranteed": "tested", "guaranteed": "expected", "predicted": "predicted", "notRecommended": "not-recommended" } }, "values": { "Human": { "IHCP-species-checked": "testedAndGuaranteed", "IHCP-species-dilution-info": "1/50 - 1/100", "IHCP-species-notes": "<p></p>" } } }

Product details

Patented technology
Our RabMAb® technology is a patented hybridoma-based technology for making rabbit monoclonal antibodies. For details on our patents, please refer to RabMAb® patents.

What are the advantages of a recombinant monoclonal antibody?
This product is a recombinant monoclonal antibody, which offers several advantages including:

  • - High batch-to-batch consistency and reproducibility
  • - Improved sensitivity and specificity
  • - Long-term security of supply
  • - Animal-free batch production

For more information, read more on recombinant antibodies.

Properties and storage information

Form
Liquid
Purification technique
Affinity purification Protein A
Storage buffer
pH: 7.4 Preservative: 0.02% Sodium azide Constituents: PBS, 30% Glycerol (glycerin, glycerine), 1% BSA
Shipped at conditions
Blue Ice
Appropriate short-term storage duration
1-2 weeks
Appropriate short-term storage conditions
+4°C
Appropriate long-term storage conditions
-20°C
Aliquoting information
Upon delivery aliquot
Storage information
Stable for 12 months at -20°C|Store in the dark

Product protocols

For this product, it's our understanding that no specific protocols are required. You can visit:

Target data

Receptor for interleukin-11 (IL11). The receptor systems for IL6, LIF, OSM, CNTF, IL11 and CT1 can utilize IL6ST for initiating signal transmission. The IL11/IL11RA/IL6ST complex may be involved in the control of proliferation and/or differentiation of skeletogenic progenitor or other mesenchymal cells (Probable). Essential for the normal development of craniofacial bones and teeth. Restricts suture fusion and tooth number.. Soluble interleukin-11 receptor subunit alpha. Soluble form of IL11 receptor (sIL11RA) that acts as an agonist of IL11 activity (PubMed : 26876177, PubMed : 30279168). The IL11 : sIL11RA complex binds to IL6ST/gp130 on cell surfaces and induces signaling also on cells that do not express membrane-bound IL11RA in a process called IL11 trans-signaling (PubMed : 26876177, PubMed : 30279168).. Isoform HCR2. Soluble form of IL11 receptor (sIL11RA) that acts as an agonist of IL11 activity (PubMed : 26876177, PubMed : 30279168). The IL11 : sIL11RA complex binds to IL6ST/gp130 on cell surfaces and induces signaling also on cells that do not express membrane-bound IL11RA in a process called IL11 trans-signaling (PubMed : 26876177, PubMed : 30279168).
See full target information IL11RA

Publications (1)

Recent publications for all applications. Explore the full list and refine your search

International journal of oncology 55:1077-1089 PubMed31545408

2019

Genome profiling revealed the activation of IL2RG/JAK3/STAT5 in peripheral T‑cell lymphoma expressing the ITK‑SYK fusion gene.

Applications

Unspecified application

Species

Unspecified reactive species

Lei-Lei Zhang,Hua-Xiong Pan,Yi-Xuan Wang,Tao Guo,Lin Liu
View all publications

Product promise

We are committed to supporting your work with high-quality reagents, and we're here for you every step of the way. In the unlikely event that one of our products does not perform as expected, you're protected by our Product Promise.
For full details, please see our Terms & Conditions

Please note: All products are 'FOR RESEARCH USE ONLY. NOT FOR USE IN DIAGNOSTIC OR THERAPEUTIC PROCEDURES'.

For licensing inquiries, please contact partnerships@abcam.com