JavaScript is disabled in your browser. Please enable JavaScript to view this website.
AB271228

Biotin Anti-IL-2 antibody

Be the first to review this product! Submit a review

|

(1 Publication)

Rabbit Polyclonal IL-2 antibody - conjugated to Biotin. Suitable for WB, sELISA and reacts with Recombinant fragment - Human samples. Cited in 1 publication. Immunogen corresponding to Recombinant Fragment Protein within Human IL2 aa 1 to C-terminus.

View Alternative Names

Interleukin-2, IL-2, T-cell growth factor, TCGF, IL2

2 Images
Sandwich ELISA - Biotin Anti-IL-2 antibody (AB271228)
  • sELISA

Supplier Data

Sandwich ELISA - Biotin Anti-IL-2 antibody (AB271228)

Human hIL-2 was detected by sandwich ELISA (using 100μl/well) using a concentration of 0.25-1.0 μg/ml of ab271228. This antibody in conjunction with an appropriate capture antibody, allows the detection of at least 0.2 – 0.4 ng/well of recombinant hIL-2 protein.

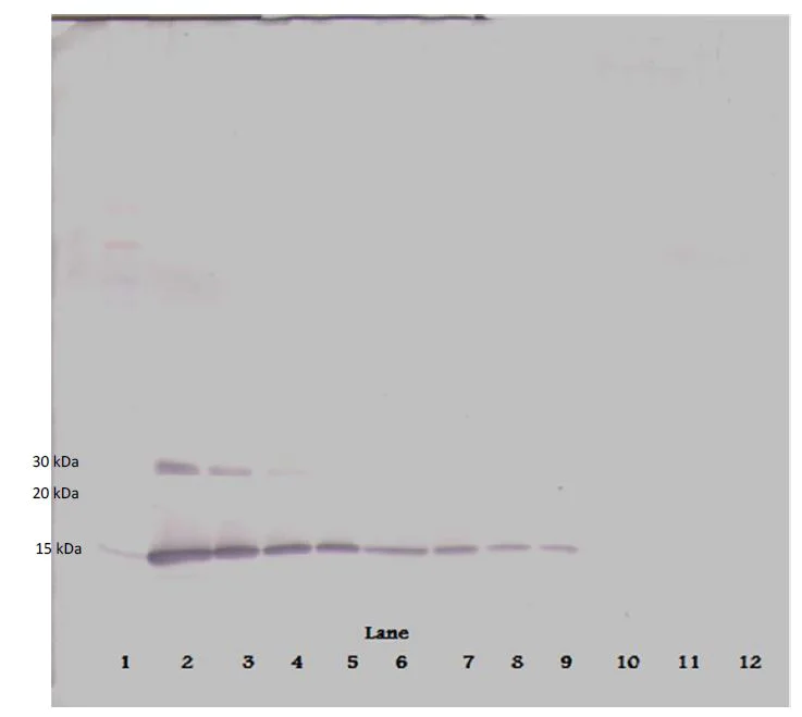
Western blot - Biotin Anti-IL-2 antibody (AB271228)
  • WB

Supplier Data

Western blot - Biotin Anti-IL-2 antibody (AB271228)

Western blot analysis of varying levels of Recombinant human IL-2 protein using ab271228 at 0.1 μg/ml.

Used in conjunction with compatible secondary reagents the detection limit for recombinant IL-2 is 1.5 - 3.0 ng/lane, under either reducing or non-reducing conditions.

Lane ng/lane
1 Marker
2 250
3 125
4 62.5
5 31.25
6 15.625
7 7.8
8 3.9
9 1.95
10 0.975
11 0.4875
12 0.24

All lanes:

Western blot - Biotin Anti-IL-2 antibody (ab271228)

Predicted band size: 17 kDa

false

Key facts

Host species

Rabbit

Clonality

Polyclonal

Isotype

IgG

Conjugation

Biotin

Excitation/Emission
Carrier free

No

Applications

WB, sELISA

applications

Immunogen

Recombinant Fragment Protein within Human IL2 aa 1 to C-terminus. The exact immunogen used to generate this antibody is proprietary information.

P60568

Reactivity data

{ "title": "Reactivity Data", "filters": { "stats": ["", "Species", "Dilution Info", "Notes"], "tabs": { "all-applications": {"fullname" : "All Applications", "shortname": "All Applications"}, "WB" : {"fullname" : "Western blot", "shortname":"WB"}, "sELISA" : {"fullname" : "Sandwich ELISA", "shortname":"sELISA"} }, "product-promise": { "all": "all", "testedAndGuaranteed": "tested", "guaranteed": "expected", "predicted": "predicted", "notRecommended": "not-recommended" } }, "values": { "Recombinant fragment - Human": { "WB-species-checked": "testedAndGuaranteed", "WB-species-dilution-info": "0.1-0.2 µg/mL", "WB-species-notes": "<p></p>", "sELISA-species-checked": "testedAndGuaranteed", "sELISA-species-dilution-info": "", "sELISA-species-notes": "<p></p>" } } }

Properties and storage information

Form
Lyophilized
Reconstitution
Reconstitute in sterile PBS with 0.1% BSA to 0.1 - 1.0 mg/ml.
Purification technique
Affinity purification
Storage buffer
Constituents: PBS, 0.1% BSA
Shipped at conditions
Blue Ice
Appropriate short-term storage duration
1-2 weeks
Appropriate short-term storage conditions
+4°C
Appropriate long-term storage conditions
-20°C
Aliquoting information
Upon delivery aliquot
Storage information
Avoid freeze / thaw cycle|Store in the dark

Product protocols

For this product, it's our understanding that no specific protocols are required. You can visit:

Target data

Cytokine produced by activated CD4-positive helper T-cells and to a lesser extend activated CD8-positive T-cells and natural killer (NK) cells that plays pivotal roles in the immune response and tolerance (PubMed : 6438535). Binds to a receptor complex composed of either the high-affinity trimeric IL-2R (IL2RA/CD25, IL2RB/CD122 and IL2RG/CD132) or the low-affinity dimeric IL-2R (IL2RB and IL2RG) (PubMed : 16293754, PubMed : 16477002). Interaction with the receptor leads to oligomerization and conformation changes in the IL-2R subunits resulting in downstream signaling starting with phosphorylation of JAK1 and JAK3 (PubMed : 7973659). In turn, JAK1 and JAK3 phosphorylate the receptor to form a docking site leading to the phosphorylation of several substrates including STAT5 (PubMed : 8580378). This process leads to activation of several pathways including STAT, phosphoinositide-3-kinase/PI3K and mitogen-activated protein kinase/MAPK pathways (PubMed : 25142963). Functions as a T-cell growth factor and can increase NK-cell cytolytic activity as well (PubMed : 6608729). Promotes strong proliferation of activated B-cells and subsequently immunoglobulin production (PubMed : 6438535). Plays a pivotal role in regulating the adaptive immune system by controlling the survival and proliferation of regulatory T-cells, which are required for the maintenance of immune tolerance. Moreover, participates in the differentiation and homeostasis of effector T-cell subsets, including Th1, Th2, Th17 as well as memory CD8-positive T-cells.
See full target information IL2

Publications (1)

Recent publications for all applications. Explore the full list and refine your search

The journal of obstetrics and gynaecology research 49:2417-2426 PubMed37464974

2023

Human Wharton's jelly-derived mesenchymal stem cells prevent pregnancy loss in a rat by JAK/STAT-mediated immunomodulation.

Applications

Unspecified application

Species

Unspecified reactive species

Xiaoying Ding,Rongrong Wu,Beibei Jin,Chunyu Zhu,Yuquan Zhang,Xiaoqing Yang
View all publications

Product promise

We are committed to supporting your work with high-quality reagents, and we're here for you every step of the way. In the unlikely event that one of our products does not perform as expected, you're protected by our Product Promise.
For full details, please see our Terms & Conditions

Please note: All products are 'FOR RESEARCH USE ONLY. NOT FOR USE IN DIAGNOSTIC OR THERAPEUTIC PROCEDURES'.

For licensing inquiries, please contact partnerships@abcam.com