JavaScript is disabled in your browser. Please enable JavaScript to view this website.
AB271206

Biotin Anti-Interferon gamma antibody

Be the first to review this product! Submit a review

|

(1 Publication)

Rabbit Polyclonal Interferon gamma antibody - conjugated to Biotin. Suitable for WB, sELISA and reacts with Recombinant full length protein - Rat, Rat samples. Cited in 1 publication. Immunogen corresponding to Recombinant Fragment Protein within Rat Ifng aa 1 to C-terminus.

View Alternative Names

Interferon gamma, IFN-gamma, Ifng

2 Images
Sandwich ELISA - Biotin Anti-Interferon gamma antibody (AB271206)
  • sELISA

Supplier Data

Sandwich ELISA - Biotin Anti-Interferon gamma antibody (AB271206)

Rat INF-γ was detected by sandwich ELISA (using 100μl/well) using a concentration of 0.25-1.0 μg/ml of ab271206. This antibody in conjunction with an appropriate capture antibody, allows the detection of at least 0.2-0.4 ng/well of recombinant rat INF-γ protein.

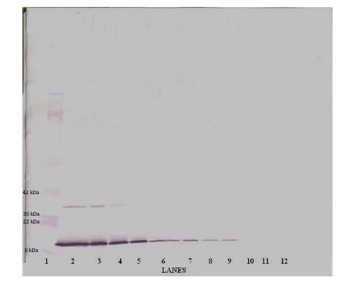
Western blot - Biotin Anti-Interferon gamma antibody (AB271206)
  • WB

Supplier Data

Western blot - Biotin Anti-Interferon gamma antibody (AB271206)

Western blot analysis of varying levels of Recombinant rat Interferon gamma protein using ab271206 at 0.2 μg/ml.

Lane ng/lane
1 Marker
2 250
3 125
4 62.5
5 31.25
6 15.625
7 7.8
8 3.9
9 1.95
10 0.975
11 0.4875
12 0.24

All lanes:

Western blot - Biotin Anti-Interferon gamma antibody (ab271206)

Predicted band size: 19 kDa

false

Key facts

Host species

Rabbit

Clonality

Polyclonal

Isotype

IgG

Conjugation

Biotin

Excitation/Emission
Carrier free

No

Reacts with

Rat

Applications

sELISA, WB

applications

Immunogen

Recombinant Fragment Protein within Rat Ifng aa 1 to C-terminus. The exact immunogen used to generate this antibody is proprietary information.

P01581

Reactivity data

{ "title": "Reactivity Data", "filters": { "stats": ["", "Species", "Dilution Info", "Notes"], "tabs": { "all-applications": {"fullname" : "All Applications", "shortname": "All Applications"}, "WB" : {"fullname" : "Western blot", "shortname":"WB"}, "sELISA" : {"fullname" : "Sandwich ELISA", "shortname":"sELISA"} }, "product-promise": { "all": "all", "testedAndGuaranteed": "tested", "guaranteed": "expected", "predicted": "predicted", "notRecommended": "not-recommended" } }, "values": { "Rat": { "WB-species-checked": "guaranteed", "WB-species-dilution-info": "", "WB-species-notes": "", "sELISA-species-checked": "testedAndGuaranteed", "sELISA-species-dilution-info": "", "sELISA-species-notes": "<p></p>" }, "Recombinant full length protein - Rat": { "WB-species-checked": "testedAndGuaranteed", "WB-species-dilution-info": "0.1-0.2 µg/mL", "WB-species-notes": "<p></p>", "sELISA-species-checked": "notRecommended", "sELISA-species-dilution-info": "", "sELISA-species-notes": "" } } }

Properties and storage information

Form
Lyophilized
Reconstitution
Reconstitute in PBS, 0.1% BSA
Purification technique
Affinity purification
Storage buffer
Constituents: PBS, 0.1% BSA
Shipped at conditions
Blue Ice
Appropriate short-term storage duration
1-2 weeks
Appropriate short-term storage conditions
+4°C
Appropriate long-term storage conditions
-20°C
Aliquoting information
Upon delivery aliquot
Storage information
Avoid freeze / thaw cycle|Store in the dark

Supplementary information

This supplementary information is collated from multiple sources and compiled automatically.

Interferon gamma (IFN-γ) also known as type II interferon is a cytokine that plays an important role in immune response. IFN-γ has a molecular weight of about 17 kDa and is produced by T cells and natural killer (NK) cells. IFN-γ binds to the interferon gamma receptor initiating a signaling cascade that activates various genes involved in immune functions. It is expressed mainly in activated immune cells within lymphoid tissues and inflamed sites during immune responses.
Biological function summary

This cytokine is significant in promoting macrophage activation enhancing the antigen presentation process and boosting the antimicrobial activity of phagocytes. IFN-γ is not part of a larger protein complex but works as a homodimer in signal transduction. Its production heightens the Th1 immune response by stimulating the differentiation of naïve T cells into Th1 cells which is essential for effective cellular immunity.

Pathways

IFN-γ is integrally involved in the JAK-STAT signaling pathway alongside another critical cytokine Interleukin-12. This pathway further amplifies the immune response by regulating the expression of genes associated with cellular defense mechanisms. IFN-γ also interacts with the NF-kB pathway influencing inflammation and the activation of further immune responses. These interactions show a network of cooperativity with proteins like STAT1 and NF-kB essential for executing its biological roles.

IFN-γ is linked to autoimmune diseases such as rheumatoid arthritis and multiple sclerosis where its elevated levels can exacerbate inflammatory processes. It connects to other proteins like TNF-alpha in promoting the inflammatory cascade. Moreover lower levels of IFN-γ are associated with a heightened risk of infections like tuberculosis demonstrating its vital role in pathogen defense. Therefore understanding IFN-γ and its interactions can be key in developing therapeutic approaches against these conditions.

Product protocols

For this product, it's our understanding that no specific protocols are required. You can visit:

Target data

Type II interferon produced by immune cells such as T-cells and NK cells that plays crucial roles in antimicrobial, antiviral, and antitumor responses by activating effector immune cells and enhancing antigen presentation. Primarily signals through the JAK-STAT pathway after interaction with its receptor IFNGR1 to affect gene regulation. Upon IFNG binding, IFNGR1 intracellular domain opens out to allow association of downstream signaling components JAK2, JAK1 and STAT1, leading to STAT1 activation, nuclear translocation and transcription of IFNG-regulated genes. Many of the induced genes are transcription factors such as IRF1 that are able to further drive regulation of a next wave of transcription. Plays a role in class I antigen presentation pathway by inducing a replacement of catalytic proteasome subunits with immunoproteasome subunits. In turn, increases the quantity, quality, and repertoire of peptides for class I MHC loading. Increases the efficiency of peptide generation also by inducing the expression of activator PA28 that associates with the proteasome and alters its proteolytic cleavage preference. Up-regulates as well MHC II complexes on the cell surface by promoting expression of several key molecules such as cathepsins B/CTSB, H/CTSH, and L/CTSL (By similarity). Participates in the regulation of hematopoietic stem cells during development and under homeostatic conditions by affecting their development, quiescence, and differentiation (By similarity).
See full target information Ifng

Publications (1)

Recent publications for all applications. Explore the full list and refine your search

Journal of clinical laboratory analysis 36:e24232 PubMed34995016

2022

A combined biomarker panel shows improved sensitivity and specificity for detection of ovarian cancer.

Applications

Unspecified application

Species

Unspecified reactive species

Lu Mao,Yong Tang,Ming-Jing Deng,Chun-Tao Huang,Dong Lan,Wen-Zheng Nong,Li Li,Qi Wang
View all publications

Product promise

We are committed to supporting your work with high-quality reagents, and we're here for you every step of the way. In the unlikely event that one of our products does not perform as expected, you're protected by our Product Promise.
For full details, please see our Terms & Conditions

Please note: All products are 'FOR RESEARCH USE ONLY. NOT FOR USE IN DIAGNOSTIC OR THERAPEUTIC PROCEDURES'.

For licensing inquiries, please contact partnerships@abcam.com