JavaScript is disabled in your browser. Please enable JavaScript to view this website.
AB201502

Biotin Anti-Lumican antibody [EPR8898(2)]

0

(1 Review)

|

(1 Publication)

Rabbit Recombinant Monoclonal Lumican antibody - conjugated to Biotin. Suitable for IHC-P and reacts with Human samples. Cited in 1 publication.

View Alternative Names

LDC, SLRR2D, LUM, Lumican, Keratan sulfate proteoglycan lumican, KSPG lumican

1 Images
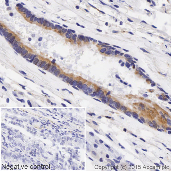
Immunohistochemistry (Formalin/PFA-fixed paraffin-embedded sections) - Biotin Anti-Lumican antibody [EPR8898(2)] (AB201502)
  • IHC-P

Lab

Immunohistochemistry (Formalin/PFA-fixed paraffin-embedded sections) - Biotin Anti-Lumican antibody [EPR8898(2)] (AB201502)

IHC image of Lumican staining in a section of formalin-fixed paraffin-embedded human lung cancer*, performed on a Leica Bond system using the standard protocol B. The section was pre-treated using heat mediated antigen retrieval with sodium citrate buffer (pH6, epitope retrieval solution 1) for 20 mins. The section was then incubated with ab201502 at 1/50 dilution for 15 mins at room temperature and detected using an HRP conjugated ABC system. DAB was used as the chromogen. The section was then counterstained with haematoxylin and mounted with DPX.

The inset negative control image is taken from an identical assay without primary antibody.

For other IHC staining systems (automated and non-automated) customers should optimize variable parameters such as antigen retrieval conditions, primary antibody concentration and antibody incubation times.

*Tissue obtained from the Human Research Tissue Bank, supported by the NIHR Cambridge Biomedical Research Centre

  • 665 Alexa Fluor® 647

    Alexa Fluor® 647 Anti-Lumican antibody [EPR8898(2)]

  • 578 PE

    PE Anti-Lumican antibody [EPR8898(2)]

  • HRP

    HRP Anti-Lumican antibody [EPR8898(2)]

  • 519 Alexa Fluor® 488

    Alexa Fluor® 488 Anti-Lumican antibody [EPR8898(2)]

  • 617 Alexa Fluor® 594

    Alexa Fluor® 594 Anti-Lumican antibody [EPR8898(2)]

  • 565 Alexa Fluor® 555

    Alexa Fluor® 555 Anti-Lumican antibody [EPR8898(2)]

  • 775 Alexa Fluor® 750

    Alexa Fluor® 750 Anti-Lumican antibody [EPR8898(2)]

Key facts

Host species

Rabbit

Clonality

Monoclonal

Clone number

EPR8898(2)

Isotype

IgG

Conjugation

Biotin

Excitation/Emission
Carrier free

No

Reacts with

Human

Applications

IHC-P

applications

Immunogen

The exact immunogen used to generate this antibody is proprietary information.

Reactivity data

{ "title": "Reactivity Data", "filters": { "stats": ["", "Species", "Dilution Info", "Notes"], "tabs": { "all-applications": {"fullname" : "All Applications", "shortname": "All Applications"}, "IHCP" : {"fullname" : "Immunohistochemistry (Formalin/PFA-fixed paraffin-embedded sections)", "shortname":"IHC-P"} }, "product-promise": { "all": "all", "testedAndGuaranteed": "tested", "guaranteed": "expected", "predicted": "predicted", "notRecommended": "not-recommended" } }, "values": { "Human": { "IHCP-species-checked": "testedAndGuaranteed", "IHCP-species-dilution-info": "1/50", "IHCP-species-notes": "<p></p>" }, "Mouse": { "IHCP-species-checked": "predicted", "IHCP-species-dilution-info": "", "IHCP-species-notes": "" }, "Rat": { "IHCP-species-checked": "predicted", "IHCP-species-dilution-info": "", "IHCP-species-notes": "" } } }

Product details

Patented technology
Our RabMAb® technology is a patented hybridoma-based technology for making rabbit monoclonal antibodies. For details on our patents, please refer to RabMAb® patents.

What are the advantages of a recombinant monoclonal antibody?
This product is a recombinant monoclonal antibody, which offers several advantages including:

  • - High batch-to-batch consistency and reproducibility
  • - Improved sensitivity and specificity
  • - Long-term security of supply
  • - Animal-free batch production

For more information, read more on recombinant antibodies.

Properties and storage information

Form
Liquid
Purification technique
Affinity purification Protein A
Storage buffer
pH: 7.4 Preservative: 0.02% Sodium azide Constituents: PBS, 30% Glycerol (glycerin, glycerine), 1% BSA
Shipped at conditions
Blue Ice
Appropriate short-term storage duration
1-2 weeks
Appropriate short-term storage conditions
+4°C
Appropriate long-term storage conditions
-20°C
Aliquoting information
Upon delivery aliquot
Storage information
Avoid freeze / thaw cycle|Stable for 12 months at -20°C|Store in the dark

Product protocols

For this product, it's our understanding that no specific protocols are required. You can visit:

Publications (1)

Recent publications for all applications. Explore the full list and refine your search

iScience 27:110668 PubMed39246442

2024

Multiplex imaging of localized prostate tumors reveals altered spatial organization of AR-positive cells in the microenvironment.

Applications

Unspecified application

Species

Unspecified reactive species

Çiğdem Ak,Zeynep Sayar,Guillaume Thibault,Erik A Burlingame,M J Kuykendall,Jennifer Eng,Alex Chitsazan,Koei Chin,Andrew C Adey,Christopher Boniface,Paul T Spellman,George V Thomas,Ryan P Kopp,Emek Demir,Young Hwan Chang,Vasilis Stavrinides,Sebnem Ece Eksi
View all publications

Product promise

We are committed to supporting your work with high-quality reagents, and we're here for you every step of the way. In the unlikely event that one of our products does not perform as expected, you're protected by our Product Promise.
For full details, please see our Terms & Conditions

Please note: All products are 'FOR RESEARCH USE ONLY. NOT FOR USE IN DIAGNOSTIC OR THERAPEUTIC PROCEDURES'.

For licensing inquiries, please contact partnerships@abcam.com