JavaScript is disabled in your browser. Please enable JavaScript to view this website.
AB271277

Biotin Anti-NGF antibody

Be the first to review this product! Submit a review

|

(0 Publication)

Rabbit Polyclonal NGF antibody - conjugated to Biotin. Suitable for ELISA, WB and reacts with Recombinant fragment - Human samples. Immunogen corresponding to Recombinant Full Length Protein corresponding to Human NGF.

View Alternative Names

NGFB, NGF, Beta-nerve growth factor, Beta-NGF

2 Images
ELISA - Biotin Anti-NGF antibody (AB271277)
  • ELISA

Unknown

ELISA - Biotin Anti-NGF antibody (AB271277)

Human NGF was detected by sandwich ELISA (using 100 µl/well) using a concentration of 0.25-1.0 µg/ml of ab271277. This antibody in conjunction with an appropriate capture antibody, allows the detection of at least XXXX of recombinant NGF protein.

Western blot - Biotin Anti-NGF antibody (AB271277)
  • WB

Supplier Data

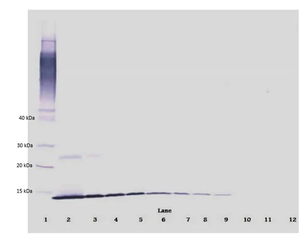
Western blot - Biotin Anti-NGF antibody (AB271277)

Lane 1 : Marker.
Lane 2 : Recombinant hNGF at 250ng/lane.
Lane 3 : Recombinant hNGF at 125ng/lane.
Lane 4 : Recombinant hNGF at 62.5ng/lane.
Lane 5 : Recombinant hNGF at 31.25ng/lane.
Lane 6 : Recombinant hNGF at 15.625ng/lane.
Lane 7 : Recombinant hNGF at 7.8ng/lane.
Lane 8 : Recombinant hNGF at 3.9ng/lane.
Lane 9 : Recombinant hNGF at 1.95ng/lane.
Lane 10 : Recombinant hNGF at 0.975ng/lane.
Lane 11 : Recombinant hNGF at 0.4875ng/lane.
Lane 12 : Recombinant hNGF at 0.24ng/lane.

All lanes:

Western blot - Biotin Anti-NGF antibody (ab271277)

Predicted band size: 26 kDa

false

Key facts

Host species

Rabbit

Clonality

Polyclonal

Isotype

IgG

Conjugation

Biotin

Excitation/Emission
Carrier free

No

Applications

WB, ELISA

applications

Immunogen

Recombinant Full Length Protein corresponding to Human NGF.

P01138

Reactivity data

{ "title": "Reactivity Data", "filters": { "stats": ["", "Species", "Dilution Info", "Notes"], "tabs": { "all-applications": {"fullname" : "All Applications", "shortname": "All Applications"}, "ELISA" : {"fullname" : "ELISA", "shortname":"ELISA"}, "WB" : {"fullname" : "Western blot", "shortname":"WB"} }, "product-promise": { "all": "all", "testedAndGuaranteed": "tested", "guaranteed": "expected", "predicted": "predicted", "notRecommended": "not-recommended" } }, "values": { "Recombinant fragment - Human": { "ELISA-species-checked": "testedAndGuaranteed", "ELISA-species-dilution-info": "0.25-1 µg/mL", "ELISA-species-notes": "<p>Human NGF<strong> </strong>was detected by sandwich ELISA (using 100μl/well) using a concentration of 0.25-1.0 μg/ml of ab271277. This antibody in conjunction with an appropriate capture antibody, allows the detection of at least 0.2 – 0.4 ng/well of recombinant NGF protein.</p>", "WB-species-checked": "testedAndGuaranteed", "WB-species-dilution-info": "0.1-0.2 µg/mL", "WB-species-notes": "<p>When used in conjunction with compatible secondary reagents, the detection limit for recombinant human NGF is 1.5 - 3.0 ng/lane, under either reducing or non-reducing conditions.</p>" } } }

Properties and storage information

Form
Lyophilized
Reconstitution
Reconstitute in sterile PBS with 0.1% BSA to 0.1 - 1.0 mg/ml.
Purification technique
Affinity purification
Storage buffer
Constituents: PBS, 0.1% BSA
Shipped at conditions
Blue Ice
Appropriate short-term storage duration
1-2 weeks
Appropriate short-term storage conditions
+4°C
Appropriate long-term storage conditions
-20°C
Aliquoting information
Upon delivery aliquot
Storage information
Avoid freeze / thaw cycle|Store in the dark

Product protocols

For this product, it's our understanding that no specific protocols are required. You can visit:

Target data

Nerve growth factor is important for the development and maintenance of the sympathetic and sensory nervous systems (PubMed : 14976160, PubMed : 20978020). Extracellular ligand for the NTRK1 and NGFR receptors, activates cellular signaling cascades to regulate neuronal proliferation, differentiation and survival (Probable) (PubMed : 20978020). The immature NGF precursor (proNGF) functions as a ligand for the heterodimeric receptor formed by SORCS2 and NGFR, and activates cellular signaling cascades that lead to inactivation of RAC1 and/or RAC2, reorganization of the actin cytoskeleton and neuronal growth cone collapse. In contrast to mature NGF, the precursor form (proNGF) promotes neuronal apoptosis (in vitro) (By similarity). Inhibits metalloproteinase-dependent proteolysis of platelet glycoprotein VI (PubMed : 20164177). Binds lysophosphatidylinositol and lysophosphatidylserine between the two chains of the homodimer. The lipid-bound form promotes histamine relase from mast cells, contrary to the lipid-free form (By similarity).
See full target information NGF

Product promise

We are committed to supporting your work with high-quality reagents, and we're here for you every step of the way. In the unlikely event that one of our products does not perform as expected, you're protected by our Product Promise.
For full details, please see our Terms & Conditions

Please note: All products are 'FOR RESEARCH USE ONLY. NOT FOR USE IN DIAGNOSTIC OR THERAPEUTIC PROCEDURES'.

For licensing inquiries, please contact partnerships@abcam.com