JavaScript is disabled in your browser. Please enable JavaScript to view this website.
AB271820

Biotin Anti-S100A4 antibody [S100A4/1481]

Be the first to review this product! Submit a review

|

(1 Publication)

Mouse Monoclonal S100A4 antibody - conjugated to Biotin. Suitable for Protein Array, IHC-P and reacts with Human samples. Cited in 1 publication. Immunogen corresponding to Recombinant Fragment Protein within Mouse S100a4 aa 1 to C-terminus.

View Alternative Names

CAPL, MTS1, S100A4, Protein S100-A4, Calvasculin, Metastasin, Placental calcium-binding protein, Protein Mts1, S100 calcium-binding protein A4

3 Images
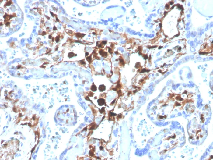
Immunohistochemistry (Formalin/PFA-fixed paraffin-embedded sections) - Biotin Anti-S100A4 antibody [S100A4/1481] (AB271820)
  • IHC-P

Unknown

Immunohistochemistry (Formalin/PFA-fixed paraffin-embedded sections) - Biotin Anti-S100A4 antibody [S100A4/1481] (AB271820)

Formalin-fixed, paraffin-embedded human Placenta tissue stained for S100A4 using ab271820 at 4 μg/ml in immunohistochemical analysis

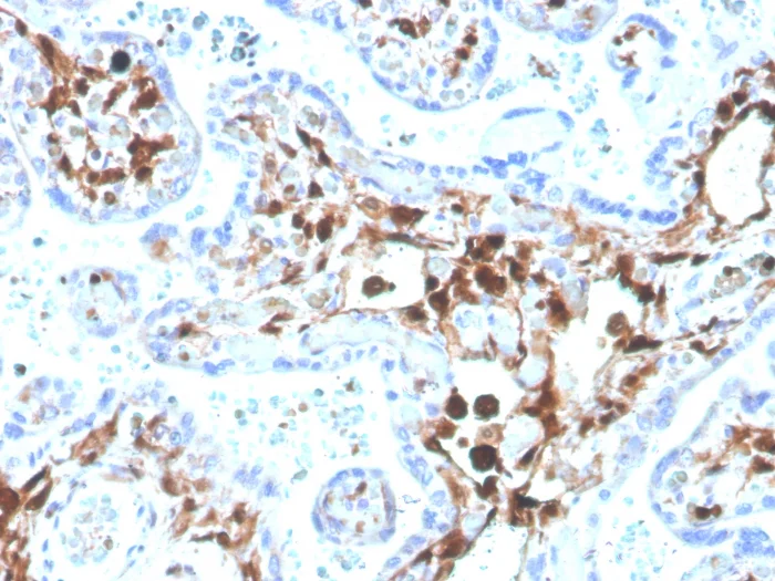
Immunohistochemistry (Formalin/PFA-fixed paraffin-embedded sections) - Biotin Anti-S100A4 antibody [S100A4/1481] (AB271820)
  • IHC-P

Unknown

Immunohistochemistry (Formalin/PFA-fixed paraffin-embedded sections) - Biotin Anti-S100A4 antibody [S100A4/1481] (AB271820)

Formalin-fixed, paraffin-embedded human Placenta tissue stained for S100A4 using ab271820 at 4 μg/ml in immunohistochemical analysis

Protein Array - Biotin Anti-S100A4 antibody [S100A4/1481] (AB271820)
  • Protein Array

Unknown

Protein Array - Biotin Anti-S100A4 antibody [S100A4/1481] (AB271820)

Analysis of Protein Array containing more than 19,000 full-length human proteins using ab271820. Z- and S- Score : The Z-score represents the strength of a signal that a monoclonal antibody (MAb) (in combination with a fluorescently-tagged anti-IgG secondary antibody) produces when binding to a particular protein on the HuProtTM array. Z-scores are described in units of standard deviations (SD's) above the mean value of all signals generated on that array. If targets on HuProtTM are arranged in descending order of the Z-score, the S-score is the difference (also in units of SD's) between the Z-score. S-score therefore represents the relative target specificity of a MAb to its intended target. A MAb is considered to specific to its intended target, if the MAb has an S-score of at least 2.5. For example, if a MAb binds to protein X with a Z-score of 43 and to protein Y with a Z-score of 14, then the S-score for the binding of that MAb to protein X is equal to 29.

Key facts

Host species

Mouse

Clonality

Monoclonal

Clone number

S100A4/1481

Isotype

IgG1

Light chain type

kappa

Conjugation

Biotin

Excitation/Emission
Carrier free

No

Reacts with

Human

Applications

IHC-P, Protein Array

applications

Immunogen

Recombinant Fragment Protein within Mouse S100a4 aa 1 to C-terminus. The exact immunogen used to generate this antibody is proprietary information.

P07091

Reactivity data

{ "title": "Reactivity Data", "filters": { "stats": ["", "Species", "Dilution Info", "Notes"], "tabs": { "all-applications": {"fullname" : "All Applications", "shortname": "All Applications"}, "ProteinArray" : {"fullname" : "Protein Array", "shortname":"Protein Array"}, "IHCP" : {"fullname" : "Immunohistochemistry (Formalin/PFA-fixed paraffin-embedded sections)", "shortname":"IHC-P"} }, "product-promise": { "all": "all", "testedAndGuaranteed": "tested", "guaranteed": "expected", "predicted": "predicted", "notRecommended": "not-recommended" } }, "values": { "Human": { "ProteinArray-species-checked": "testedAndGuaranteed", "ProteinArray-species-dilution-info": "", "ProteinArray-species-notes": "<p></p>", "IHCP-species-checked": "testedAndGuaranteed", "IHCP-species-dilution-info": "2-4 µg/mL", "IHCP-species-notes": "<p></p> Perform heat-mediated antigen retrieval with Tris/EDTA buffer pH 9.0 before commencing with IHC staining protocol." } } }

Properties and storage information

Form
Liquid
Purification technique
Affinity purification Protein A/G
Storage buffer
pH: 7.2 - 7.4 Preservative: 0.05% Sodium azide Constituents: PBS, 0.05% BSA
Shipped at conditions
Blue Ice
Appropriate short-term storage duration
1-2 weeks
Appropriate short-term storage conditions
+4°C
Appropriate long-term storage conditions
-20°C
Aliquoting information
Upon delivery aliquot
Storage information
Avoid freeze / thaw cycle

Supplementary information

This supplementary information is collated from multiple sources and compiled automatically.

S100A4 also known as metastasin or MTS1 is a protein with a molecular weight of approximately 12 kDa. It functions by binding calcium which induces conformational changes aiding in its interaction with target proteins. S100A4 is part of the S100 family of proteins characterized by two EF-hand calcium-binding motifs. Expression of S100A4 is observed in various cell types including fibroblasts endothelial cells and several tumor cells where it contributes to processes like cell motility invasion and angiogenesis.
Biological function summary

The role of S100A4 extends beyond mere calcium binding; it associates with the cytoskeleton promoting cell structures related to movement and metastasis. It does not act alone but often partners with proteins like myosin IIA to regulate cytoskeletal dynamics. Additionally S100A4 modulates extracellular matrix components and interacts with signaling pathways that control cancer progression making it significant in both normal physiological contexts and pathological states.

Pathways

Functional activities of S100A4 integrate into important pathways involved in cellular movement and metastasis. S100A4 plays roles in the regulation of the Wnt/β-catenin pathway which is pivotal for cell-cell interaction and fate determination. It also interacts with matrix metalloproteinases like MMPs thereby managing processes of tissue invasion and remodeling essential in cancer metastasis. Other pathways influencing cell adhesion and signal transduction may indirectly involve S100A4 through related proteins.

Elevated S100A4 levels have implications in cancer particularly in enhancing metastasis in breast and colorectal cancers. The protein promotes tumor developments by inducing changes in the tumor microenvironment making it a target of interest in oncology. S100A4 also interacts with proteins like p53 and β-catenin which are critical in the pathology of tumors. Moreover S100A4 contributes to fibrotic diseases accentuating tissue remodeling activities by modulating fibroblast behavior and extracellular matrix deposition.

Product protocols

For this product, it's our understanding that no specific protocols are required. You can visit:

Target data

Calcium-binding protein that plays a role in various cellular processes including motility, angiogenesis, cell differentiation, apoptosis, and autophagy (PubMed : 16707441, PubMed : 23752197, PubMed : 30713770). Increases cell motility and invasiveness by interacting with non-muscle myosin heavy chain (NMMHC) IIA/MYH9 (PubMed : 16707441). Mechanistically, promotes filament depolymerization and increases the amount of soluble myosin-IIA, resulting in the formation of stable protrusions facilitating chemotaxis (By similarity). Also modulates the pro-apoptotic function of TP53 by binding to its C-terminal transactivation domain within the nucleus and reducing its protein levels (PubMed : 23752197). Within the extracellular space, stimulates cytokine production including granulocyte colony-stimulating factor and CCL24 from T-lymphocytes (By similarity). In addition, stimulates T-lymphocyte chemotaxis by acting as a chemoattractant complex with PGLYRP1 that promotes lymphocyte migration via CCR5 and CXCR3 receptors (PubMed : 26654597, PubMed : 30713770).
See full target information S100A4

Publications (1)

Recent publications for all applications. Explore the full list and refine your search

Journal of immunology research 2022:3351268 PubMed35571569

2022

Echinacoside Induces Mitochondria-Mediated Pyroptosis through Raf/MEK/ERK Signaling in Non-Small Cell Lung Cancer Cells.

Applications

Unspecified application

Species

Unspecified reactive species

Ye Shi,Hui Cao,Zhengcheng Liu,Lei Xi,Changqing Dong
View all publications

Product promise

We are committed to supporting your work with high-quality reagents, and we're here for you every step of the way. In the unlikely event that one of our products does not perform as expected, you're protected by our Product Promise.
For full details, please see our Terms & Conditions

Please note: All products are 'FOR RESEARCH USE ONLY. NOT FOR USE IN DIAGNOSTIC OR THERAPEUTIC PROCEDURES'.

For licensing inquiries, please contact partnerships@abcam.com