JavaScript is disabled in your browser. Please enable JavaScript to view this website.
AB317767

Biotin Anti-SLC7A5/LAT1 antibody [EPR17573]

Be the first to review this product! Submit a review

|

(0 Publication)

Rabbit Recombinant Monoclonal SLC7A5/LAT1 antibody - conjugated to Biotin. Suitable for IHC-P and reacts with Human samples.

View Alternative Names

CD98LC, LAT1, MPE16, SLC7A5, Large neutral amino acids transporter small subunit 1, 4F2 light chain, CD98 light chain, Integral membrane protein E16, L-type amino acid transporter 1, Solute carrier family 7 member 5, y+ system cationic amino acid transporter, 4F2 LC, 4F2LC, E16, hLAT1

1 Images
Immunocytochemistry/ Immunofluorescence - Biotin Anti-SLC7A5/LAT1 antibody [EPR17573] (AB317767)
  • ICC/IF

Lab

Immunocytochemistry/ Immunofluorescence - Biotin Anti-SLC7A5/LAT1 antibody [EPR17573] (AB317767)

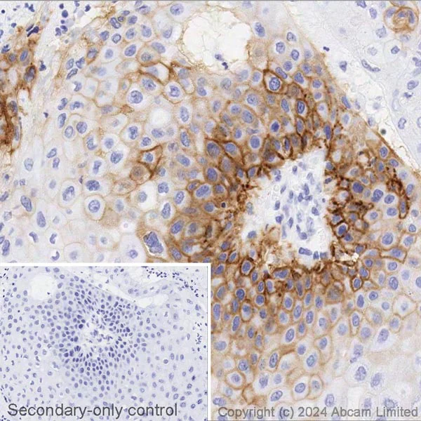
IHC image of SLC7A5/LAT1 staining in a section of formalin-fixed paraffin-embedded human lung squamous carcinoma*.

Performed on a Leica BONDTM system. The section was pre-treated using heat mediated antigen retrieval with EDTA buffer (pH 9.0, epitope retrieval solution 2) for 20mins, before blocking of endogenous biotin using ab64212. The section was then incubated with ab317767 at 5ug/ml, for 15 mins at room temperature and detected using an HRP conjugated ABC system. DAB was used as the chromogen. The section was then counterstained with haematoxylin and mounted with DPX. The inset secondary-only control image is taken from an identical assay without primary antibody.

For other IHC staining systems (automated and non-automated) customers should optimize variable parameters such as antigen retrieval conditions, primary antibody concentration and antibody incubation times.

*Tissue obtained from the Human Research Tissue Bank, supported by the NIHR Cambridge Biomedical Research Centre.

  • Unconjugated

    Anti-SLC7A5/LAT1 antibody [EPR17573]

  • Carrier free

    Anti-SLC7A5/LAT1 antibody [EPR17573] - BSA and Azide free

Key facts

Host species

Rabbit

Clonality

Monoclonal

Clone number

EPR17573

Isotype

IgG

Conjugation

Biotin

Excitation/Emission
Carrier free

No

Reacts with

Human, Human

Applications

IHC-P

applications

Immunogen

The exact immunogen used to generate this antibody is proprietary information.

Reactivity data

{ "title": "Reactivity Data", "filters": { "stats": ["", "Species", "Dilution Info", "Notes"], "tabs": { "all-applications": {"fullname" : "All Applications", "shortname": "All Applications"}, "IHCP" : {"fullname" : "Immunohistochemistry (Formalin/PFA-fixed paraffin-embedded sections)", "shortname":"IHC-P"} }, "product-promise": { "all": "all", "testedAndGuaranteed": "tested", "guaranteed": "expected", "predicted": "predicted", "notRecommended": "not-recommended" } }, "values": { "Human": { "IHCP-species-checked": "testedAndGuaranteed", "IHCP-species-dilution-info": "1/100", "IHCP-species-notes": "<p></p> Perform heat-mediated antigen retrieval with citrate buffer pH 6 before commencing with IHC staining protocol." } } }

Product details

Patented technology
Our RabMAb® technology is a patented hybridoma-based technology for making rabbit monoclonal antibodies. For details on our patents, please refer to RabMAb® patents.

What are the advantages of a recombinant monoclonal antibody?
This product is a recombinant monoclonal antibody, which offers several advantages including:

  • - High batch-to-batch consistency and reproducibility
  • - Improved sensitivity and specificity
  • - Long-term security of supply
  • - Animal-free batch production

For more information, read more on recombinant antibodies.

Properties and storage information

Form
Liquid
Purification technique
Affinity purification Protein A
Storage buffer
pH: 7.4 Preservative: 0.02% Sodium azide Constituents: PBS, 30% Glycerol (glycerin, glycerine), 1% BSA
Shipped at conditions
Blue Ice
Appropriate short-term storage duration
1-2 weeks
Appropriate short-term storage conditions
+4°C
Appropriate long-term storage conditions
-20°C
Aliquoting information
Upon delivery aliquot
Storage information
Avoid freeze / thaw cycle|Store in the dark

Supplementary information

This supplementary information is collated from multiple sources and compiled automatically.

The SLC7A5/LAT1 or LAT1 transporter also known as the large neutral amino acid transporter small subunit 1 plays an important role in facilitating the transport of large neutral amino acids across cell membranes. LAT1 is a heterodimer with a heavy chain known usually as SLC3A2 forming a functional transporter which is around 40-50 kDa in mass. LAT1 is highly expressed in tissues with high metabolic rates like the brain placenta and some cancer cells making it important for nutrient transport in these areas.
Biological function summary

The LAT1 transporter mediates the uptake of essential amino acids which are critical for protein synthesis and cellular metabolism. It functions as part of the LAT1-SLC3A2 heterodimer complex ensuring effective transport across the blood-brain barrier and into other metabolically active tissues. This activity supports cellular growth and proliferation underlining its importance in rapidly dividing cells such as in cancer.

Pathways

LAT1 plays a critical role in the mTOR signaling pathway which is central to regulating cell growth and metabolism in response to nutrient availability. LAT1's transport function influences the activation of mTORC1 by ensuring a steady supply of leucine an amino acid that activates this complex. LAT1 is also integral to the cross-pathway interaction with the insulin signaling pathway enhancing nutrient-dependent growth signals in conjunction with other transporters.

Abnormal LAT1 function links closely with cancer and neurological disorders. Its overexpression often marks various tumors where it supports cancer cell survival by sustaining amino acid supply often in conjunction with increased SLC3A2 expression. In neurological contexts LAT1 impairments can contribute to disorders involving neurotransmitter imbalances as it participates in amino acid transport critical for neurotransmitter synthesis.

Product protocols

For this product, it's our understanding that no specific protocols are required. You can visit:

Target data

The heterodimer with SLC3A2 functions as a sodium-independent, high-affinity transporter that mediates uptake of large neutral amino acids such as phenylalanine, tyrosine, leucine, histidine, methionine, tryptophan, valine, isoleucine and alanine (PubMed : 10049700, PubMed : 10574970, PubMed : 11557028, PubMed : 11564694, PubMed : 12117417, PubMed : 12225859, PubMed : 15769744, PubMed : 18262359, PubMed : 25998567, PubMed : 30867591, PubMed : 9751058). The heterodimer with SLC3A2 mediates the uptake of L-DOPA (By similarity). Functions as an amino acid exchanger (PubMed : 11557028, PubMed : 12117417, PubMed : 12225859, PubMed : 30867591). May play a role in the transport of L-DOPA across the blood-brain barrier (By similarity). May act as the major transporter of tyrosine in fibroblasts (Probable). May mediate blood-to-retina L-leucine transport across the inner blood-retinal barrier (By similarity). Can mediate the transport of thyroid hormones diiodothyronine (T2), triiodothyronine (T3) and thyroxine (T4) across the cell membrane (PubMed : 11564694). When associated with LAPTM4B, the heterodimer formed by SLC3A2 and SLC7A5 is recruited to lysosomes to promote leucine uptake into these organelles, and thereby mediates mTORC1 activation (PubMed : 25998567). Involved in the uptake of toxic methylmercury (MeHg) when administered as the L-cysteine or D,L-homocysteine complexes (PubMed : 12117417). Involved in the cellular activity of small molecular weight nitrosothiols, via the stereoselective transport of L-nitrosocysteine (L-CNSO) across the membrane (PubMed : 15769744).. (Microbial infection) In case of hepatitis C virus/HCV infection, the complex formed by SLC3A2 and SLC7A5/LAT1 plays a role in HCV propagation by facilitating viral entry into host cell and increasing L-leucine uptake-mediated mTORC1 signaling activation, thereby contributing to HCV-mediated pathogenesis.
See full target information SLC7A5

Product promise

We are committed to supporting your work with high-quality reagents, and we're here for you every step of the way. In the unlikely event that one of our products does not perform as expected, you're protected by our Product Promise.
For full details, please see our Terms & Conditions

Please note: All products are 'FOR RESEARCH USE ONLY. NOT FOR USE IN DIAGNOSTIC OR THERAPEUTIC PROCEDURES'.

For licensing inquiries, please contact partnerships@abcam.com