JavaScript is disabled in your browser. Please enable JavaScript to view this website.
AB323531

Biotin Anti-TCR beta antibody [EPR24928-66]

Be the first to review this product! Submit a review

|

(0 Publication)

Rabbit Recombinant Monoclonal T Cell Receptor antibody - conjugated to Biotin. Suitable for IHC-P and reacts with Human samples.

View Alternative Names

T cell receptor beta constant 1, TRBC1, TCR beta

2 Images
Immunohistochemistry (Formalin/PFA-fixed paraffin-embedded sections) - Biotin Anti-TCR beta antibody [EPR24928-66] (AB323531)
  • IHC-P

Lab

Immunohistochemistry (Formalin/PFA-fixed paraffin-embedded sections) - Biotin Anti-TCR beta antibody [EPR24928-66] (AB323531)

Negative staining of TRBC1 in a section of formalin-fixed paraffin-embedded human normal liver*.

Performed on a Leica BONDTM system. The section was pre-treated using heat mediated antigen retrieval with EDTA (pH 9.0, epitope retrieval solution 2) for 20mins, before blocking of endogenous biotin using ab64212. The section was then incubated with ab323531 at 5ug/ml, for 15 mins at room temperature and detected using an HRP conjugated ABC system. DAB was used as the chromogen. The section was then counterstained with haematoxylin and mounted with DPX. The inset secondary-only control image is taken from an identical assay without primary antibody.

For other IHC staining systems (automated and non-automated) customers should optimize variable parameters such as antigen retrieval conditions, primary antibody concentration and antibody incubation times.

*Tissue obtained from the Human Research Tissue Bank, supported by the NIHR Cambridge Biomedical Research Centre.

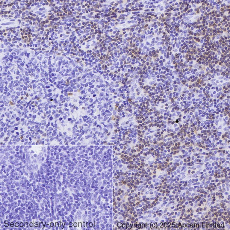
Immunohistochemistry (Formalin/PFA-fixed paraffin-embedded sections) - Biotin Anti-TCR beta antibody [EPR24928-66] (AB323531)
  • IHC-P

Lab

Immunohistochemistry (Formalin/PFA-fixed paraffin-embedded sections) - Biotin Anti-TCR beta antibody [EPR24928-66] (AB323531)

IHC image of TRBC1 staining in a section of formalin-fixed paraffin-embedded human normal tonsil*.

Performed on a Leica BONDTM system. The section was pre-treated using heat mediated antigen retrieval with EDTA (pH 9.0, epitope retrieval solution 2) for 20mins, before blocking of endogenous biotin using ab64212. The section was then incubated with ab323531 at 5ug/ml, for 15 mins at room temperature and detected using an HRP conjugated ABC system. DAB was used as the chromogen. The section was then counterstained with haematoxylin and mounted with DPX. The inset secondary-only control image is taken from an identical assay without primary antibody.

For other IHC staining systems (automated and non-automated) customers should optimize variable parameters such as antigen retrieval conditions, primary antibody concentration and antibody incubation times.

*Tissue obtained from the Human Research Tissue Bank, supported by the NIHR Cambridge Biomedical Research Centre.

  • Unconjugated

    Anti-TCR beta antibody [EPR24928-66]

  • Carrier free

    Anti-TCR beta antibody [EPR24928-66] - BSA and Azide free

Key facts

Host species

Rabbit

Clonality

Monoclonal

Clone number

EPR24928-66

Isotype

IgG

Conjugation

Biotin

Excitation/Emission
Carrier free

No

Reacts with

Human

Applications

IHC-P

applications

Immunogen

The exact immunogen used to generate this antibody is proprietary information.

Reactivity data

{ "title": "Reactivity Data", "filters": { "stats": ["", "Species", "Dilution Info", "Notes"], "tabs": { "all-applications": {"fullname" : "All Applications", "shortname": "All Applications"}, "IHCP" : {"fullname" : "Immunohistochemistry (Formalin/PFA-fixed paraffin-embedded sections)", "shortname":"IHC-P"} }, "product-promise": { "all": "all", "testedAndGuaranteed": "tested", "guaranteed": "expected", "predicted": "predicted", "notRecommended": "not-recommended" } }, "values": { "Human": { "IHCP-species-checked": "testedAndGuaranteed", "IHCP-species-dilution-info": "1/100", "IHCP-species-notes": "<p></p>" } } }

Product details

Patented technology
Our RabMAb® technology is a patented hybridoma-based technology for making rabbit monoclonal antibodies. For details on our patents, please refer to RabMAb® patents.

What are the advantages of a recombinant monoclonal antibody?
This product is a recombinant monoclonal antibody, which offers several advantages including:

  • - High batch-to-batch consistency and reproducibility
  • - Improved sensitivity and specificity
  • - Long-term security of supply
  • - Animal-free batch production

For more information, read more on recombinant antibodies.

Properties and storage information

Form
Liquid
Purification technique
Affinity purification Protein A
Storage buffer
pH: 7.4 Preservative: 0.02% Sodium azide Constituents: PBS, 30% Glycerol (glycerin, glycerine), 1% BSA
Shipped at conditions
Blue Ice
Appropriate short-term storage duration
1-2 weeks
Appropriate short-term storage conditions
-20°C
Appropriate long-term storage conditions
-20°C
Aliquoting information
Upon delivery aliquot
Storage information
Avoid freeze / thaw cycle|Store in the dark

Supplementary information

This supplementary information is collated from multiple sources and compiled automatically.

TCR beta also known as T-cell receptor beta is an integral component of the T-cell receptor (TCR) complex. It weighs approximately 40-50 kDa and is expressed on the surface of T cells. TCR beta contributes to the recognition of antigens by interacting with peptide fragments presented by major histocompatibility complex (MHC) molecules. This interaction is essential for T-cell activation which plays a significant role in the adaptive immune response.
Biological function summary

TCR beta is part of the T-cell receptor complex. This complex is critical for antigen recognition and T-cell signaling. The complex comprises multiple subunits including CD3 chains that facilitate signal transduction upon antigen binding. This initiates a cascade of intracellular events leading to T-cell activation and proliferation. TCR beta's role in this complex makes it essential for recognizing pathogens and initiating immune responses.

Pathways

TCR beta is involved in T-cell receptor signaling and adaptive immune pathways. It is closely associated with the Zap70 protein which transmits activation signals from the TCR upon antigen recognition. This signaling cascade further activates the MAPK and NF-κB pathways influencing T-cell differentiation and cytokine production. The interaction between TCR beta and these pathways highlights its fundamental role in immune system regulation.

Dysregulation of TCR beta can contribute to autoimmune diseases and certain types of cancer. For instance aberrant TCR signaling can lead to autoimmunity where T cells attack the body's own tissues. Additionally in some leukemias mutations or rearrangements involving the TCR beta chain can promote uncontrolled cell proliferation. TCR beta's involvement with HLA proteins in autoimmune conditions showcases its significance in disease development and management.

Product protocols

For this product, it's our understanding that no specific protocols are required. You can visit:

Target data

Constant region of T cell receptor (TR) beta chain (PubMed : 24600447). Alpha-beta T cell receptors are antigen specific receptors which are essential to the immune response and are present on the cell surface of T lymphocytes. Recognize peptide-major histocompatibility (MH) (pMH) complexes that are displayed by antigen presenting cells (APC), a prerequisite for efficient T cell adaptive immunity against pathogens (PubMed : 25493333). Binding of alpha-beta TR to pMH complex initiates TR-CD3 clustering on the cell surface and intracellular activation of LCK that phosphorylates the ITAM motifs of CD3G, CD3D, CD3E and CD247 enabling the recruitment of ZAP70. In turn, ZAP70 phosphorylates LAT, which recruits numerous signaling molecules to form the LAT signalosome. The LAT signalosome propagates signal branching to three major signaling pathways, the calcium, the mitogen-activated protein kinase (MAPK) kinase and the nuclear factor NF-kappa-B (NF-kB) pathways, leading to the mobilization of transcription factors that are critical for gene expression and essential for T cell growth and differentiation (PubMed : 23524462, PubMed : 9382891). The T cell repertoire is generated in the thymus, by V-(D)-J rearrangement. This repertoire is then shaped by intrathymic selection events to generate a peripheral T cell pool of self-MH restricted, non-autoaggressive T cells. Post-thymic interaction of alpha-beta TR with the pMH complexes shapes TR structural and functional avidity (PubMed : 15040585).
See full target information TRBC1

Product promise

We are committed to supporting your work with high-quality reagents, and we're here for you every step of the way. In the unlikely event that one of our products does not perform as expected, you're protected by our Product Promise.
For full details, please see our Terms & Conditions

Please note: All products are 'FOR RESEARCH USE ONLY. NOT FOR USE IN DIAGNOSTIC OR THERAPEUTIC PROCEDURES'.

For licensing inquiries, please contact partnerships@abcam.com