JavaScript is disabled in your browser. Please enable JavaScript to view this website.
AB317768

Biotin Anti-TIMP1 antibody [EPR18352]

Be the first to review this product! Submit a review

|

(0 Publication)

Rabbit Recombinant Monoclonal TIMP1 antibody - conjugated to Biotin. Suitable for IHC-P and reacts with Human samples.

View Alternative Names

CLGI, TIMP, TIMP1, Metalloproteinase inhibitor 1, Erythroid-potentiating activity, Fibroblast collagenase inhibitor, Tissue inhibitor of metalloproteinases 1, EPA, Collagenase inhibitor, TIMP-1

2 Images
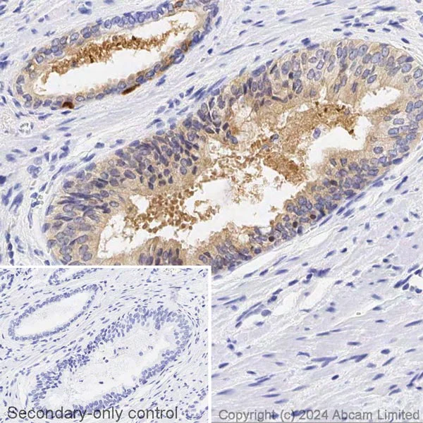
Immunohistochemistry (Formalin/PFA-fixed paraffin-embedded sections) - Biotin Anti-TIMP1 antibody [EPR18352] (AB317768)
  • IHC-P

Lab

Immunohistochemistry (Formalin/PFA-fixed paraffin-embedded sections) - Biotin Anti-TIMP1 antibody [EPR18352] (AB317768)

IHC image of TIMP1 staining in a section of formalin-fixed paraffin-embedded human prostate carcinoma*.

Performed on a Leica BONDTM system. The section was pre-treated using heat mediated antigen retrieval with EDTA buffer (pH 9.0, epitope retrieval solution 2) for 20mins, before blocking of endogenous biotin using ab64212. The section was then incubated with ab317768 at 5 ug/ml, for 15 mins at room temperature and detected using an HRP conjugated ABC system. DAB was used as the chromogen. The section was then counterstained with haematoxylin and mounted with DPX. The inset secondary-only control image is taken from an identical assay without primary antibody.

For other IHC staining systems (automated and non-automated) customers should optimize variable parameters such as antigen retrieval conditions, primary antibody concentration and antibody incubation times.

*Tissue obtained from the Human Research Tissue Bank, supported by the NIHR Cambridge Biomedical Research Centre.

Immunohistochemistry (Formalin/PFA-fixed paraffin-embedded sections) - Biotin Anti-TIMP1 antibody [EPR18352] (AB317768)
  • IHC-P

Lab

Immunohistochemistry (Formalin/PFA-fixed paraffin-embedded sections) - Biotin Anti-TIMP1 antibody [EPR18352] (AB317768)

Negative staining of TIMP1 in a section of formalin-fixed paraffin-embedded human normal brain*.

Performed on a Leica BONDTM system. The section was pre-treated using heat mediated antigen retrieval with EDTA buffer (pH 9.0, epitope retrieval solution 2) for 20mins, before blocking of endogenous biotin using ab64212. The section was then incubated with ab317768 at 5 ug/ml, for 15 mins at room temperature and detected using an HRP conjugated ABC system. DAB was used as the chromogen. The section was then counterstained with haematoxylin and mounted with DPX. The inset secondary-only control image is taken from an identical assay without primary antibody.

For other IHC staining systems (automated and non-automated) customers should optimize variable parameters such as antigen retrieval conditions, primary antibody concentration and antibody incubation times.

*Tissue obtained from the Human Research Tissue Bank, supported by the NIHR Cambridge Biomedical Research Centre.

Key facts

Host species

Rabbit

Clonality

Monoclonal

Clone number

EPR18352

Isotype

IgG

Conjugation

Biotin

Excitation/Emission
Carrier free

No

Reacts with

Human

Applications

IHC-P

applications

Immunogen

The exact immunogen used to generate this antibody is proprietary information.

Reactivity data

{ "title": "Reactivity Data", "filters": { "stats": ["", "Species", "Dilution Info", "Notes"], "tabs": { "all-applications": {"fullname" : "All Applications", "shortname": "All Applications"}, "IHCP" : {"fullname" : "Immunohistochemistry (Formalin/PFA-fixed paraffin-embedded sections)", "shortname":"IHC-P"} }, "product-promise": { "all": "all", "testedAndGuaranteed": "tested", "guaranteed": "expected", "predicted": "predicted", "notRecommended": "not-recommended" } }, "values": { "Human": { "IHCP-species-checked": "testedAndGuaranteed", "IHCP-species-dilution-info": "1/100", "IHCP-species-notes": "<p></p> Perform heat-mediated antigen retrieval with citrate buffer pH 6 before commencing with IHC staining protocol." } } }

Product details

Patented technology
Our RabMAb® technology is a patented hybridoma-based technology for making rabbit monoclonal antibodies. For details on our patents, please refer to RabMAb® patents.

What are the advantages of a recombinant monoclonal antibody?
This product is a recombinant monoclonal antibody, which offers several advantages including:

  • - High batch-to-batch consistency and reproducibility
  • - Improved sensitivity and specificity
  • - Long-term security of supply
  • - Animal-free batch production

For more information, read more on recombinant antibodies.

Properties and storage information

Form
Liquid
Purification technique
Affinity purification Protein A
Storage buffer
pH: 7.4 Preservative: 0.02% Sodium azide Constituents: PBS, 30% Glycerol (glycerin, glycerine), 1% BSA
Shipped at conditions
Blue Ice
Appropriate short-term storage duration
1-2 weeks
Appropriate short-term storage conditions
+4°C
Appropriate long-term storage conditions
-20°C
Aliquoting information
Upon delivery aliquot
Storage information
Avoid freeze / thaw cycle|Store in the dark

Supplementary information

This supplementary information is collated from multiple sources and compiled automatically.

Tissue Inhibitor of Metalloproteinase 1 (TIMP1) is a protein with a molecular mass of approximately 28 kDa. The protein inhibits metalloproteinases by binding to them preventing the breakdown of the extracellular matrix. This action regulates extracellular environment and tissue remodeling. TIMP1 is also known by the name Erythroid-Potentiating Activity (EPA). It is expressed in various tissues including the liver and the brain and can be found in high levels in the blood serum.
Biological function summary

TIMP1 plays several essential roles beyond inhibiting metalloproteinases. It supports cell proliferation and influences apoptosis. It is part of a larger TIMP family and does not function as part of a complex per se but interacts closely with matrix metalloproteinases (MMPs). By regulating MMP activity TIMP1 balances processes like tissue growth and inflammatory responses which are important for normal development and repair.

Pathways

TIMP1 participates in the regulation of the matrix metalloproteinase pathway impacting tissue homeostasis and repair. It closely associates with proteins such as MMP-9 and MMP-2 within this pathway. TIMP1 also plays a role in cytokine signaling pathways which influence immune responses by interacting with other signaling molecules and receptors that govern these pathways.

TIMP1's regulation of MMPs links it to cancer and cardiovascular disease progression. Overexpression of TIMP1 associates with tumor growth and metastasis where it can modulate interactions with other proteins like MMP-9 leading to altered tissue invasion and angiogenesis. Additionally TIMP1 imbalance connects to tissue fibrosis in cardiovascular disorders working in tandem with proteins such as MMP-2 which affects the structural remodeling and function of tissues within the cardiovascular system.

Product protocols

For this product, it's our understanding that no specific protocols are required. You can visit:

Target data

Metalloproteinase inhibitor that functions by forming one to one complexes with target metalloproteinases, such as collagenases, and irreversibly inactivates them by binding to their catalytic zinc cofactor. Acts on MMP1, MMP2, MMP3, MMP7, MMP8, MMP9, MMP10, MMP11, MMP12, MMP13 and MMP16. Does not act on MMP14. Also functions as a growth factor that regulates cell differentiation, migration and cell death and activates cellular signaling cascades via CD63 and ITGB1. Plays a role in integrin signaling. Mediates erythropoiesis in vitro; but, unlike IL3, it is species-specific, stimulating the growth and differentiation of only human and murine erythroid progenitors.
See full target information TIMP1

Product promise

We are committed to supporting your work with high-quality reagents, and we're here for you every step of the way. In the unlikely event that one of our products does not perform as expected, you're protected by our Product Promise.
For full details, please see our Terms & Conditions

Please note: All products are 'FOR RESEARCH USE ONLY. NOT FOR USE IN DIAGNOSTIC OR THERAPEUTIC PROCEDURES'.

For licensing inquiries, please contact partnerships@abcam.com