JavaScript is disabled in your browser. Please enable JavaScript to view this website.
AB195902

Biotin Anti-VEGFA antibody [EP1176Y]

Be the first to review this product! Submit a review

|

(1 Publication)

Rabbit Recombinant Monoclonal VEGFA antibody - conjugated to Biotin. Suitable for IHC-P and reacts with Human samples. Cited in 1 publication.

View Alternative Names

VEGF, VEGFA, L-VEGF, Vascular permeability factor, VPF

1 Images
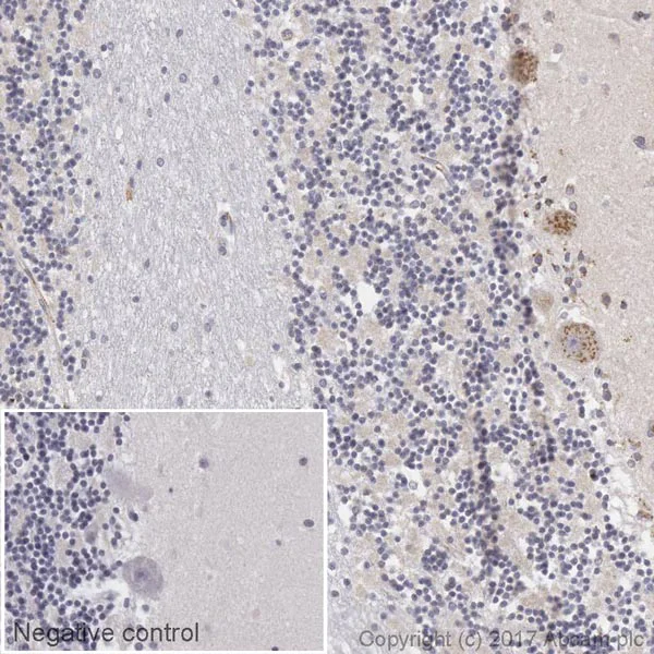
Immunohistochemistry (Formalin/PFA-fixed paraffin-embedded sections) - Biotin Anti-VEGFA antibody [EP1176Y] (AB195902)
  • IHC-P

Lab

Immunohistochemistry (Formalin/PFA-fixed paraffin-embedded sections) - Biotin Anti-VEGFA antibody [EP1176Y] (AB195902)

IHC image of VEGF staining in a section of formalin-fixed paraffin-embedded normal human cerebellum.

The section was pre-treated using heat mediated antigen retrieval with sodium citrate buffer (pH6) in a Biocare Medical NxGen pressure cooker using retrieval settings of 110oC for 8 minutes. Non-specific protein-protein interactions were then blocked in TBS containing 0.025% (v/v) Triton X-100, 0.3M (w/v) glycine and 1% (w/v) BSA for 1h at room temperature. The section was then incubated overnight at +4°C with ab195902 at 1/100 dilution. DAB was used as the chromogen (ab103723), diluted 1/100 and incubated for 10min at room temperature. The section was counterstained with haematoxylin and mounted with DPX. The inset negative control image is taken from an identical assay without primary antibody.

For other IHC staining systems (automated and non-automated) customers should optimize variable parameters such as antigen retrieval conditions, primary antibody concentration and antibody incubation times.

Key facts

Host species

Rabbit

Clonality

Monoclonal

Clone number

EP1176Y

Isotype

IgG

Conjugation

Biotin

Excitation/Emission
Carrier free

No

Reacts with

Human, Human, Mouse

Applications

IHC-P

applications

Immunogen

The exact immunogen used to generate this antibody is proprietary information.

Reactivity data

{ "title": "Reactivity Data", "filters": { "stats": ["", "Species", "Dilution Info", "Notes"], "tabs": { "all-applications": {"fullname" : "All Applications", "shortname": "All Applications"}, "IHCP" : {"fullname" : "Immunohistochemistry (Formalin/PFA-fixed paraffin-embedded sections)", "shortname":"IHC-P"} }, "product-promise": { "all": "all", "testedAndGuaranteed": "tested", "guaranteed": "expected", "predicted": "predicted", "notRecommended": "not-recommended" } }, "values": { "Human": { "IHCP-species-checked": "testedAndGuaranteed", "IHCP-species-dilution-info": "1/100", "IHCP-species-notes": "<p></p> Perform heat-mediated antigen retrieval via the pressure cooker method before commencing with IHC staining protocol." }, "Mouse": { "IHCP-species-checked": "predicted", "IHCP-species-dilution-info": "", "IHCP-species-notes": "" } } }

Product details

Patented technology
Our RabMAb® technology is a patented hybridoma-based technology for making rabbit monoclonal antibodies. For details on our patents, please refer to RabMAb® patents.

What are the advantages of a recombinant monoclonal antibody?
This product is a recombinant monoclonal antibody, which offers several advantages including:

  • - High batch-to-batch consistency and reproducibility
  • - Improved sensitivity and specificity
  • - Long-term security of supply
  • - Animal-free batch production

For more information, read more on recombinant antibodies.

Properties and storage information

Form
Liquid
Purification technique
Affinity purification Protein A
Storage buffer
pH: 7.4 Preservative: 0.02% Sodium azide Constituents: PBS, 30% Glycerol (glycerin, glycerine), 1% BSA
Shipped at conditions
Blue Ice
Appropriate short-term storage duration
1-2 weeks
Appropriate short-term storage conditions
+4°C
Appropriate long-term storage conditions
-20°C
Aliquoting information
Upon delivery aliquot
Storage information
Avoid freeze / thaw cycle|Store in the dark

Supplementary information

This supplementary information is collated from multiple sources and compiled automatically.

Vascular endothelial growth factor A (VEGFA) also known as VEGF or vascular permeability factor (VPF) is a protein that plays a central role in angiogenesis as well as in the growth of blood vessels. The molecular weight of VEGFA varies depending on the isoform typically ranging from 34 to 42 kDa. VEGFA is expressed in many tissues including fibroblasts macrophages endothelial cells and platelets. Its expression levels can increase in response to stimuli like hypoxia or inflammatory cytokines. VEGFA is an important target in research for therapies related to vascular diseases and cancer.
Biological function summary

VEGFA functions by promoting the proliferation and migration of vascular endothelial cells. It operates both as a homodimer and as part of complex signaling cascades interacting with VEGF receptors on cell surfaces to trigger downstream signals for angiogenesis. This includes endothelial cell growth migration and the new blood vessel formation process. VEGFA's activity is important for physiological processes such as wound healing and embryonic development and it also contributes to pathological conditions through its unregulated expression in diseases.

Pathways

Many processes involve VEGFA including the PI3K/AKT pathway and the MAPK/ERK pathway. These pathways regulate cell survival growth and differentiation. Other proteins like PLGF (placenta growth factor) and VEGFB often accompany VEGFA in these pathways aiding in distinct but overlapping roles. These interactions are transmitted through binding to VEGF receptors such as VEGFR-1 and VEGFR-2 subsequently activating various signaling cascades necessary for cellular and tissue homeostasis.

VEGFA relates to cancer and age-related macular degeneration among others. In cancer overexpression of VEGFA can lead to excessive angiogenesis supplying blood to tumors and facilitating tumor growth. In age-related macular degeneration upregulation of VEGFA contributes to the progression of the disease by promoting the formation of abnormal blood vessels under the retina. Anti-VEGFA therapies such as anti-VEGF antibodies (e.g. bevacizumab) can target these overexpressed pathways. VEGFA interacts with other proteins like HIF-1α which regulates its expression under hypoxia a common condition in tumors.

Product protocols

For this product, it's our understanding that no specific protocols are required. You can visit:

Target data

N-VEGF. Participates in the induction of key genes involved in the response to hypoxia and in the induction of angiogenesis such as HIF1A (PubMed : 35455969). Involved in protecting cells from hypoxia-mediated cell death (By similarity).. VEGFA. Growth factor active in angiogenesis, vasculogenesis and endothelial cell growth (PubMed : 34530889). Induces endothelial cell proliferation, promotes cell migration, inhibits apoptosis and induces permeabilization of blood vessels. Binds to the FLT1/VEGFR1 and KDR/VEGFR2 receptors, heparan sulfate and heparin. Binds to the NRP1/neuropilin-1 receptor. Binding to NRP1 initiates a signaling pathway needed for motor neuron axon guidance and cell body migration, including for the caudal migration of facial motor neurons from rhombomere 4 to rhombomere 6 during embryonic development (By similarity). Also binds the DEAR/FBXW7-AS1 receptor (PubMed : 17446437).. Isoform VEGF165B. Binds to the KDR receptor but does not activate downstream signaling pathways, does not activate angiogenesis and inhibits tumor growth.
See full target information VEGFA

Publications (1)

Recent publications for all applications. Explore the full list and refine your search

Journal of research in medical sciences : the official journal of Isfahan University of Medical Sciences 20:1039-45 PubMed26941806

2016

Apolipoprotein A1 as a novel anti-implantation biomarker in polycystic ovary syndrome: A case-control study.

Applications

Unspecified application

Species

Unspecified reactive species

Fatemehsadat Amjadi,Reza Aflatoonian,Shaghayegh Haghjoo Javanmard,Bita Saifi,Mahnaz Ashrafi,Mehdi Mehdizadeh
View all publications

Product promise

We are committed to supporting your work with high-quality reagents, and we're here for you every step of the way. In the unlikely event that one of our products does not perform as expected, you're protected by our Product Promise.
For full details, please see our Terms & Conditions

Please note: All products are 'FOR RESEARCH USE ONLY. NOT FOR USE IN DIAGNOSTIC OR THERAPEUTIC PROCEDURES'.

For licensing inquiries, please contact partnerships@abcam.com