JavaScript is disabled in your browser. Please enable JavaScript to view this website.
AB204679

Biotin Anti-VEGFD antibody [EPR8457]

Be the first to review this product! Submit a review

|

(1 Publication)

Rabbit Recombinant Monoclonal VEGFD antibody - conjugated to Biotin. Suitable for IHC-P and reacts with Human samples. Cited in 1 publication.

View Alternative Names

FIGF, VEGFD, Vascular endothelial growth factor D, VEGF-D, c-Fos-induced growth factor

1 Images
Immunohistochemistry (Formalin/PFA-fixed paraffin-embedded sections) - Biotin Anti-VEGFD antibody [EPR8457] (AB204679)
  • IHC-P

Lab

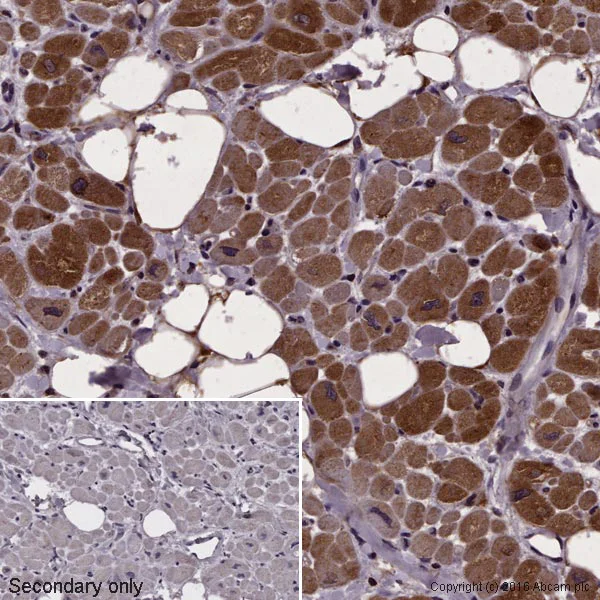
Immunohistochemistry (Formalin/PFA-fixed paraffin-embedded sections) - Biotin Anti-VEGFD antibody [EPR8457] (AB204679)

IHC image of VEGFD staining in a section of formalin-fixed paraffin-embedded human heart muscle*. The section was pre-treated using heat mediated antigen retrieval with sodium citrate buffer (pH6, epitope retrieval solution 1) for 20mins, performed on a Leica BONDTM. The section was then incubated overnight at +4°C with ab204679 at 1/100 dilution. Detection was via an HRP conjugated ABC system and DAB was used as the chromogen (ab103723), diluted 1/100 and incubated for 10min at room temperature. The section was then counterstained with haematoxylin and mounted with DPX.

The inset negative control image is taken from an identical assay without primary antibody.

For other IHC staining systems (automated and non-automated) customers should optimize variable parameters such as antigen retrieval conditions, primary antibody concentration and antibody incubation times.

*Tissue obtained from the Human Research Tissue Bank, supported by the NIHR Cambridge Biomedical Research Centre

Key facts

Host species

Rabbit

Clonality

Monoclonal

Clone number

EPR8457

Isotype

IgG

Conjugation

Biotin

Excitation/Emission
Carrier free

No

Reacts with

Human

Applications

IHC-P

applications

Immunogen

The exact immunogen used to generate this antibody is proprietary information.

Reactivity data

{ "title": "Reactivity Data", "filters": { "stats": ["", "Species", "Dilution Info", "Notes"], "tabs": { "all-applications": {"fullname" : "All Applications", "shortname": "All Applications"}, "IHCP" : {"fullname" : "Immunohistochemistry (Formalin/PFA-fixed paraffin-embedded sections)", "shortname":"IHC-P"} }, "product-promise": { "all": "all", "testedAndGuaranteed": "tested", "guaranteed": "expected", "predicted": "predicted", "notRecommended": "not-recommended" } }, "values": { "Human": { "IHCP-species-checked": "testedAndGuaranteed", "IHCP-species-dilution-info": "1/100", "IHCP-species-notes": "<p></p>" }, "Mouse": { "IHCP-species-checked": "predicted", "IHCP-species-dilution-info": "", "IHCP-species-notes": "" }, "Rat": { "IHCP-species-checked": "predicted", "IHCP-species-dilution-info": "", "IHCP-species-notes": "" } } }

Product details

Patented technology
Our RabMAb® technology is a patented hybridoma-based technology for making rabbit monoclonal antibodies. For details on our patents, please refer to RabMAb® patents.

Properties and storage information

Form
Liquid
Purification technique
Affinity purification Protein A
Storage buffer
pH: 7.4 Preservative: 0.02% Sodium azide Constituents: PBS, 30% Glycerol (glycerin, glycerine), 1% BSA
Shipped at conditions
Blue Ice
Appropriate short-term storage duration
1-2 weeks
Appropriate short-term storage conditions
+4°C
Appropriate long-term storage conditions
-20°C
Aliquoting information
Upon delivery aliquot
Storage information
Stable for 12 months at -20°C|Store in the dark

Supplementary information

This supplementary information is collated from multiple sources and compiled automatically.

VEGFD also known as vascular endothelial growth factor D plays a role in angiogenesis and lymphangiogenesis by interacting with VEGF receptors. This protein has a molecular mass of approximately 32 kDa. It is typically expressed in the lungs heart skeletal muscle and small intestine. VEGFD undergoes several proteolytic processes to gain full activity highlighting its functional complexity in the body.
Biological function summary

Vascular endothelial growth factor D promotes the proliferation and migration of endothelial cells facilitating vascular formation and remodeling. It forms part of the VEGF protein family which is known for its involvement in various vascular processes. The protein's action is largely mediated through its binding to VEGFR-2 and VEGFR-3. This binding activates downstream signaling pathways that contribute to the growth and maintenance of blood and lymphatic vessels.

Pathways

The functioning of VEGFD is important in the vascular endothelial growth factor signaling pathway and the PI3K-Akt signaling pathway. These pathways are essential for the regulation of cellular processes such as survival growth and motility of endothelial cells. VEGFD is closely related to other members of the VEGF family including VEGFA and VEGFC which similarly interact with VEGF receptors to regulate vascular development and function.

Abnormal levels or activity of VEGFD can lead to pathological conditions such as cancer and lymphedema. In several cancers VEGFD is implicated in tumor angiogenesis aiding the tumor in acquiring nutrients and oxygen. Furthermore in lymphedema issues related to lymphatic vessel development can involve VEGFD alongside VEGFC contributing to fluid retention and tissue swelling. These associations highlight the importance of understanding VEGFD's functions in various pathological contexts.

Product protocols

For this product, it's our understanding that no specific protocols are required. You can visit:

Target data

Growth factor active in angiogenesis, lymphangiogenesis and endothelial cell growth, stimulating their proliferation and migration and also has effects on the permeability of blood vessels. May function in the formation of the venous and lymphatic vascular systems during embryogenesis, and also in the maintenance of differentiated lymphatic endothelium in adults. Binds and activates VEGFR-2 (KDR/FLK1) and VEGFR-3 (FLT4) receptors.
See full target information VEGFD

Publications (1)

Recent publications for all applications. Explore the full list and refine your search

International journal of molecular sciences 20: PubMed31835537

2019

Evidence for the Desmosomal Cadherin Desmoglein-3 in Regulating YAP and Phospho-YAP in Keratinocyte Responses to Mechanical Forces.

Applications

Unspecified application

Species

Unspecified reactive species

Jutamas Uttagomol,Usama Sharif Ahmad,Ambreen Rehman,Yunying Huang,Ana C Laly,Angray Kang,Jan Soetaert,Randy Chance,Muy-Teck Teh,John T Connelly,Hong Wan
View all publications

Product promise

We are committed to supporting your work with high-quality reagents, and we're here for you every step of the way. In the unlikely event that one of our products does not perform as expected, you're protected by our Product Promise.
For full details, please see our Terms & Conditions

Please note: All products are 'FOR RESEARCH USE ONLY. NOT FOR USE IN DIAGNOSTIC OR THERAPEUTIC PROCEDURES'.

For licensing inquiries, please contact partnerships@abcam.com