JavaScript is disabled in your browser. Please enable JavaScript to view this website.
AB291072

Anti-BIRC6/APOLLON antibody [EPR24925-145]

  • BOND RX™ Validated
  • 20ul selling size
  • RabMAb
  • Recombinant
  • What is this?

Be the first to review this product! Submit a review

|

(1 Publication)

Rabbit Recombinant Monoclonal BIRC6/APOLLON antibody. Suitable for WB, IHC-P and reacts with Human, Mouse, Rat samples. Cited in 1 publication.

View Alternative Names

KIAA1289, BIRC6, Dual E2 ubiquitin-conjugating enzyme/E3 ubiquitin-protein ligase BIRC6, BIR repeat-containing ubiquitin-conjugating enzyme, Baculoviral IAP repeat-containing protein 6, Ubiquitin-conjugating BIR domain enzyme apollon, BRUCE, APOLLON

6 Images
Immunohistochemistry (Formalin/PFA-fixed paraffin-embedded sections) - Anti-BIRC6/APOLLON antibody [EPR24925-145] (AB291072)
  • IHC-P

Supplier Data

Immunohistochemistry (Formalin/PFA-fixed paraffin-embedded sections) - Anti-BIRC6/APOLLON antibody [EPR24925-145] (AB291072)

Immunohistochemical analysis of paraffin-embedded Rat testis tissue labeling BIRC6 with ab291072 at 1/500 (1.218 ug/ml) followed by a ready to use LeicaDS9800 (Bond™ Polymer Refine Detection) was used. Cytoplasmic staining on rat testis. The section was incubated with ab291072 for 30 mins at room temperature.The immunostaining was performed on a Leica Biosystems BOND® RX instrument Counterstained with Hematoxylin. Secondary antibody only control : Secondary antibody is a ready to use LeicaDS9800 (Bond™ Polymer Refine Detection) was used. Heat mediated antigen retrieval with Tris-EDTA buffer (pH 9.0, epitope retrieval solution2) for 20 mins

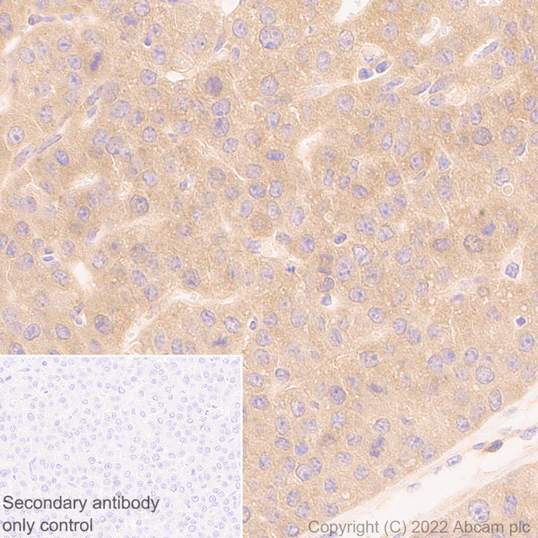
Immunohistochemistry (Formalin/PFA-fixed paraffin-embedded sections) - Anti-BIRC6/APOLLON antibody [EPR24925-145] (AB291072)
  • IHC-P

Supplier Data

Immunohistochemistry (Formalin/PFA-fixed paraffin-embedded sections) - Anti-BIRC6/APOLLON antibody [EPR24925-145] (AB291072)

Immunohistochemical analysis of paraffin-embedded Mouse liver cancer tissue labeling BIRC6 with ab291072 at 1/500 (1.218 ug/ml) followed by a ready to use LeicaDS9800 (Bond™ Polymer Refine Detection) was used. Cytoplasmic staining on mouse liver cancer. The section was incubated with ab291072 for 30 mins at room temperature.The immunostaining was performed on a Leica Biosystems BOND® RX instrument Counterstained with Hematoxylin. Secondary antibody only control : Secondary antibody is a ready to use LeicaDS9800 (Bond™ Polymer Refine Detection) was used. Heat mediated antigen retrieval with Tris-EDTA buffer (pH 9.0, epitope retrieval solution2) for 20 mins

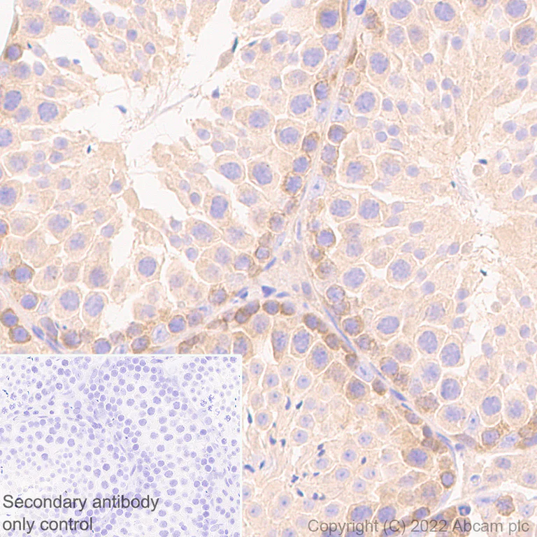
Immunohistochemistry (Formalin/PFA-fixed paraffin-embedded sections) - Anti-BIRC6/APOLLON antibody [EPR24925-145] (AB291072)
  • IHC-P

Supplier Data

Immunohistochemistry (Formalin/PFA-fixed paraffin-embedded sections) - Anti-BIRC6/APOLLON antibody [EPR24925-145] (AB291072)

Immunohistochemical analysis of paraffin-embedded Mouse testis tissue labeling BIRC6 with ab291072 at 1/500 (1.218 ug/ml) followed by a ready to use LeicaDS9800 (Bond™ Polymer Refine Detection) was used. Cytoplasmic staining on mouse testis. The section was incubated with ab291072 for 30 mins at room temperature.The immunostaining was performed on a Leica Biosystems BOND® RX instrument Counterstained with Hematoxylin. Secondary antibody only control : Secondary antibody is a ready to use LeicaDS9800 (Bond™ Polymer Refine Detection) was used. Heat mediated antigen retrieval with Tris-EDTA buffer (pH 9.0, epitope retrieval solution2) for 20 mins

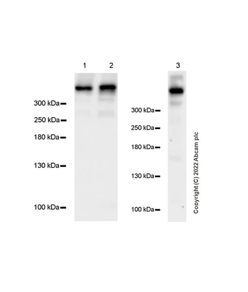
Western blot - Anti-BIRC6/APOLLON antibody [EPR24925-145] (AB291072)
  • WB

Supplier Data

Western blot - Anti-BIRC6/APOLLON antibody [EPR24925-145] (AB291072)

Blocking and diluting buffer and concentration : 5% NFDM/TBST Lysates were prepared from fresh materials and used for Western blotting immediately to minimize protein degradation.

All lanes:

Western blot - Anti-BIRC6/APOLLON antibody [EPR24925-145] (ab291072) at 1/1000 dilution

Lane 1:

HeLa (human cervix adenocarcinoma epithelial cell) whole cell lysate 20 µg

Lane 2:

293T (human embryonic kidney epithelial cell) whole cell lysate 20 µg

Lane 3:

A20 (mouse reticum sarcoma B lymphocyte) whole cell lysate 20 µg

Secondary

All lanes:

Western blot - Goat Anti-Rabbit IgG H&L (HRP) (<a href='/en-us/products/secondary-antibodies/goat-rabbit-igg-h-l-hrp-ab97051'>ab97051</a>) at 1/100000 dilution

Observed band size: 530 kDa

false

Exposure time: 48s

Western blot - Anti-BIRC6/APOLLON antibody [EPR24925-145] (AB291072)
  • WB

Supplier Data

Western blot - Anti-BIRC6/APOLLON antibody [EPR24925-145] (AB291072)

Blocking and diluting buffer and concentration : 5% NFDM/TBST The expression level of BIRC6 protein is downregulated in response to doxorubicin treatment (PMID : 23409057). Lysates were prepared from fresh materials and used for Western blotting immediately to minimize protein degradation.

All lanes:

Western blot - Anti-BIRC6/APOLLON antibody [EPR24925-145] (ab291072) at 1/1000 dilution

Lane 1:

Untreated HeLa (human cervix adenocarcinoma epithelial cell) whole cell lysate 20 µg

Lane 2:

HeLa treated with /mL doxorubicin for 24 hours, whole cell lysate 20 µg

Secondary

All lanes:

Western blot - Goat Anti-Rabbit IgG H&L (HRP) (<a href='/en-us/products/secondary-antibodies/goat-rabbit-igg-h-l-hrp-ab97051'>ab97051</a>) at 1/100000 dilution

Observed band size: 530 kDa

false

Exposure time: 81s

Western blot - Anti-BIRC6/APOLLON antibody [EPR24925-145] (AB291072)
  • WB

Supplier Data

Western blot - Anti-BIRC6/APOLLON antibody [EPR24925-145] (AB291072)

Blocking and diluting buffer and concentration : 5% NFDM/TBST Lysates were prepared from fresh materials and used for Western blotting immediately to minimize protein degradation.

All lanes:

Western blot - Anti-BIRC6/APOLLON antibody [EPR24925-145] (ab291072) at 1/2000 dilution

Lane 1:

NIH/3T3 (mouse embryonic fibroblast) whole cell lysate 20 µg

Lane 2:

PC-12 (rat adrenal gland pheochromocytoma) whole cell lysate 20 µg

Secondary

All lanes:

Western blot - Goat Anti-Rabbit IgG H&L (HRP) (<a href='/en-us/products/secondary-antibodies/goat-rabbit-igg-h-l-hrp-ab97051'>ab97051</a>) at 1/100000 dilution

Observed band size: 530 kDa

false

Exposure time: 48s

  • Carrier free

    Anti-BIRC6/APOLLON antibody [EPR24925-145] (BSA and Azide free)

Key facts

Host species

Rabbit

Clonality

Monoclonal

Clone number

EPR24925-145

Isotype

IgG

Carrier free

No

Reacts with

Human, Mouse, Rat

Applications

WB, IHC-P

applications

Immunogen

The exact immunogen used to generate this antibody is proprietary information.

Reactivity data

{ "title": "Reactivity Data", "filters": { "stats": ["", "Species", "Dilution Info", "Notes"], "tabs": { "all-applications": {"fullname" : "All Applications", "shortname": "All Applications"}, "WB" : {"fullname" : "Western blot", "shortname":"WB"}, "IHCP" : {"fullname" : "Immunohistochemistry (Formalin/PFA-fixed paraffin-embedded sections)", "shortname":"IHC-P"}, "ICCIF" : {"fullname" : "Immunocytochemistry/ Immunofluorescence", "shortname":"ICC/IF"}, "FlowCytIntra" : {"fullname" : "Flow Cytometry (Intracellular)", "shortname":"Flow Cyt (Intra)"}, "IP" : {"fullname" : "Immunoprecipitation", "shortname":"IP"} }, "product-promise": { "all": "all", "testedAndGuaranteed": "tested", "guaranteed": "expected", "predicted": "predicted", "notRecommended": "not-recommended" } }, "values": { "Human": { "WB-species-checked": "testedAndGuaranteed", "WB-species-dilution-info": "1/1000 - 1/2000", "WB-species-notes": "<p></p>", "IHCP-species-checked": "notRecommended", "IHCP-species-dilution-info": "", "IHCP-species-notes": "<p></p> Perform heat-mediated antigen retrieval with Tris/EDTA buffer pH 9.0 before commencing with IHC staining protocol.", "ICCIF-species-checked": "notRecommended", "ICCIF-species-dilution-info": "", "ICCIF-species-notes": "<p></p>", "FlowCytIntra-species-checked": "notRecommended", "FlowCytIntra-species-dilution-info": "", "FlowCytIntra-species-notes": "<p></p>", "IP-species-checked": "notRecommended", "IP-species-dilution-info": "", "IP-species-notes": "<p></p>" }, "Mouse": { "WB-species-checked": "testedAndGuaranteed", "WB-species-dilution-info": "1/1000 - 1/2000", "WB-species-notes": "<p></p>", "IHCP-species-checked": "testedAndGuaranteed", "IHCP-species-dilution-info": "1/500", "IHCP-species-notes": "<p></p> Perform heat-mediated antigen retrieval with Tris/EDTA buffer pH 9.0 before commencing with IHC staining protocol.", "ICCIF-species-checked": "notRecommended", "ICCIF-species-dilution-info": "", "ICCIF-species-notes": "", "FlowCytIntra-species-checked": "notRecommended", "FlowCytIntra-species-dilution-info": "", "FlowCytIntra-species-notes": "", "IP-species-checked": "notRecommended", "IP-species-dilution-info": "", "IP-species-notes": "" }, "Rat": { "WB-species-checked": "testedAndGuaranteed", "WB-species-dilution-info": "1/1000 - 1/2000", "WB-species-notes": "<p></p>", "IHCP-species-checked": "testedAndGuaranteed", "IHCP-species-dilution-info": "1/500", "IHCP-species-notes": "<p></p> Perform heat-mediated antigen retrieval with Tris/EDTA buffer pH 9.0 before commencing with IHC staining protocol.", "ICCIF-species-checked": "notRecommended", "ICCIF-species-dilution-info": "", "ICCIF-species-notes": "", "FlowCytIntra-species-checked": "notRecommended", "FlowCytIntra-species-dilution-info": "", "FlowCytIntra-species-notes": "", "IP-species-checked": "notRecommended", "IP-species-dilution-info": "", "IP-species-notes": "" } } }

Product details

Patented technology
Our RabMAb® technology is a patented hybridoma-based technology for making rabbit monoclonal antibodies. For details on our patents, please refer to RabMAb® patents.

What are the advantages of a recombinant monoclonal antibody?
This product is a recombinant monoclonal antibody, which offers several advantages including:

  • - High batch-to-batch consistency and reproducibility
  • - Improved sensitivity and specificity
  • - Long-term security of supply
  • - Animal-free batch production

For more information, read more on recombinant antibodies.

Properties and storage information

Form
Liquid
Purification technique
Affinity purification Protein A
Storage buffer
pH: 7.2 - 7.4 Preservative: 0.01% Sodium azide Constituents: PBS, 40% Glycerol (glycerin, glycerine), 0.05% BSA
Shipped at conditions
Blue Ice
Appropriate short-term storage duration
1-2 weeks
Appropriate short-term storage conditions
+4°C
Appropriate long-term storage conditions
-20°C
Aliquoting information
Upon delivery aliquot
Storage information
Avoid freeze / thaw cycle

Product protocols

For this product, it's our understanding that no specific protocols are required. You can visit:

Target data

Anti-apoptotic protein known as inhibitor of apoptosis (IAP) which can regulate cell death by controlling caspases and by acting as an E3 ubiquitin-protein ligase (PubMed : 14765125, PubMed : 15200957, PubMed : 18329369). Unlike most IAPs, does not contain a RING domain and it is not a RING-type E3 ligase (PubMed : 15200957, PubMed : 36758104, PubMed : 36758105, PubMed : 36758106). Instead acts as a dual E2/E3 enzyme that combines ubiquitin conjugating (E2) and ubiquitin ligase (E3) activities in a single polypeptide (PubMed : 15200957, PubMed : 36758104, PubMed : 36758105, PubMed : 36758106). Ubiquitination is mediated by a non-canonical E1 ubiquitin activating enzyme UBA6 (PubMed : 36758104, PubMed : 36758105, PubMed : 36758106). Ubiquitinates CASP3, CASP7 and CASP9 and inhibits their caspase activity; also ubiquitinates their procaspases but to a weaker extent (PubMed : 15200957, PubMed : 36758104, PubMed : 36758105, PubMed : 36758106). Ubiquitinates pro-apoptotic factors DIABLO/SMAC and HTRA2 (PubMed : 15200957, PubMed : 36758104, PubMed : 36758105, PubMed : 36758106). DIABLO/SMAC antagonizes the caspase inhibition activity of BIRC6 by competing for the same binding sites as the caspases (PubMed : 18329369, PubMed : 36758106). Ubiquitinates the autophagy protein MAP1LC3B; this activity is also inhibited by DIABLO/SMAC (PubMed : 36758105). Important regulator for the final stages of cytokinesis (PubMed : 18329369). Crucial for normal vesicle targeting to the site of abscission, but also for the integrity of the midbody and the midbody ring, and its striking ubiquitin modification (PubMed : 18329369).
See full target information BIRC6

Publications (1)

Recent publications for all applications. Explore the full list and refine your search

ACS omega 9:7782-7792 PubMed38405482

2024

BIRC6 Modulates the Protein Stability of Axin to Regulate the Growth, Stemness, and Resistance of Renal Cancer Cells via the β-Catenin Pathway.

Applications

Unspecified application

Species

Unspecified reactive species

Kaihua Zhong,Xiaohong Wang,Heyuan Zhang,Nanhui Chen,Yang Mai,Sipin Dai,Lawei Yang,Dong Chen,Weifeng Zhong
View all publications

Product promise

We are committed to supporting your work with high-quality reagents, and we're here for you every step of the way. In the unlikely event that one of our products does not perform as expected, you're protected by our Product Promise.
For full details, please see our Terms & Conditions

Please note: All products are 'FOR RESEARCH USE ONLY. NOT FOR USE IN DIAGNOSTIC OR THERAPEUTIC PROCEDURES'.

For licensing inquiries, please contact partnerships@abcam.com